Although the headquarters of COLTENE are in Switzerland, its endodontics plant is in southern Germany. At the factory, located in Langenau, a town between Stuttgart and Munich, 155 employees produce treatment auxiliaries and endodontic equipment in a fully automated and camera- and laser-controlled process. The German location houses an impressive logistics department thanks to the office’s central location. Dental Tribune was invited to learn more about the company’s endodontic products.
A now well-known expert in endodontics, Dr Barbara Müller has been responsible for the company’s endodontics business unit for over 20 years. She takes pride in the company’s achievements. Today, COLTENE is an international leader in the development and manufacture of dental consumables and solutions for a variety of applications. The company operates worldwide, with subsidiaries and distributors in over 120 countries. With the 1990 introduction of the ParaPost X System, COLTENE came to be known as a provider of endodontic solutions. This position has been further entrenched in recent years as the company’s portfolio of endodontic products has continued to grow.
An impressive endodontic range
The CanalPro line, for example, features a cordless endodontic motor, a fully automated electronic apex locator and a variety of rinsing solutions, which are colour-coded for procedural safety. ROEKO and HYGENIC paper points are sterile and highly absorbent, and being non-adhesive, allow for reliable and easy drying of the root canal. Fast and safe obturation can be conducted with GuttaFlow bioseal, a bioactive three-in-one obturation material that combines cold free-flow gutta-percha with a sealer and bioceramic in one outstanding filling system and with HYGENIC and ROEKO Guttapercha points. Recent studies have evaluated the in vitro toxicity of endodontic sealers such as GuttaFlow bioseal and GuttaFlow 2, as well as Angelus’s MTA-FILLAPEX and Dentsply Sirona’s AH Plus, on stem cells from the periodontal ligament. It was found that especially GuttaFlow bioseal and also GuttaFlow 2 showed lower toxicity levels and higher cell viabilities than the competing sealers did. In addition, GuttaFlow 2 demonstrated a better result in terms of microleakage and sealing ability than the competing sealers did.
COLTENE’s HyFlex instrument, probably its best-known product, has set a new benchmark for NiTi rotary files. HyFlex EDM, the latest generation, integrates the controlled memory effect of its predecessor, HyFlex CM. Furthermore, owing to an innovative manufacturing process using electrical discharge machining, HyFlex EDM has a specially hardened surface that makes the files stronger and more fracture-resistant. The controlled memory of both HyFlex CM and HyFlex EDM gives the instruments a number of important properties, including extreme flexibility, superior canal tracking, regeneration after repeat autoclaving and strong fatigue resistance.
To achieve these characteristics, HyFlex CM and HyFlex EDM are manufactured using a special thermomechanical process whereby the crystallographic phase transition from austenite to martensite at room temperature results in an advanced controlled memory of the material, making both files extremely flexible. “We successfully managed to give our NiTi material shape memory properties,” said Müller. “We did this by changing the DNA of the material through a switch from low to room temperature. Our idea became not only an innovation, but a product many of our competitors have tried unsuccessfully to copy.” Introduced at the International Dental Show in Germany two years ago, the new HyFlex EDM reduces the number of files needed to two to three, particularly in straight and larger canals.
Proven clinical experience
According to Müller, a number of clinical studies have demonstrated the efficacy of both systems. For example, Goo et al. compared the bending stiffness, cyclic fatigue and torsional fracture resistance of NiTi rotary instruments, including V-Taper 2, V-Taper 2H (both SS White), HyFlex CM, HyFlex EDM and ProTaper Next X2 (Dentsply Sirona). HyFlex EDM showed the highest cyclic fatigue resistance of the group, with V-Taper 2H and HyFlex CM coming in next. Overall, they showed high torsional resistance. In comparison with HyFlex CM, the EDM version demonstrated a higher fracture resistance.
In another study, Kaval et al. aimed to evaluate these properties in novel NiTi rotary files, including HyFlex EDM OneFile from COLTENE, ProTaper Gold and ProTaper Universal (both Dentsply Sirona). The results showed that HyFlex EDM OneFile demonstrated significantly higher cyclic fatigue resistance and higher distortion angle to fracture, but a lower torsional resistance than both ProTaper options. In addition, Pedulla et al. sought to measure the torsional and cyclic fatigue resistance of HyFlex EDM OneFile in comparison with VDW’s RECIPROC R25 and Dentsply Sirona’s WaveOne Primary. HyFlex was found to have a significantly higher cyclic fatigue resistance and higher angular rotation to fracture.
Furthermore, Lacono et al. aimed to measure the wear of HyFlex EDM after clinical application. No fractures were registered, no wear or degradation was reported, and the increased fatigue resistance of HyFlex EDM (compared with HyFlex CM) allowed it to remain usable for longer when shaping severely curved canals.
A case from the Philippines
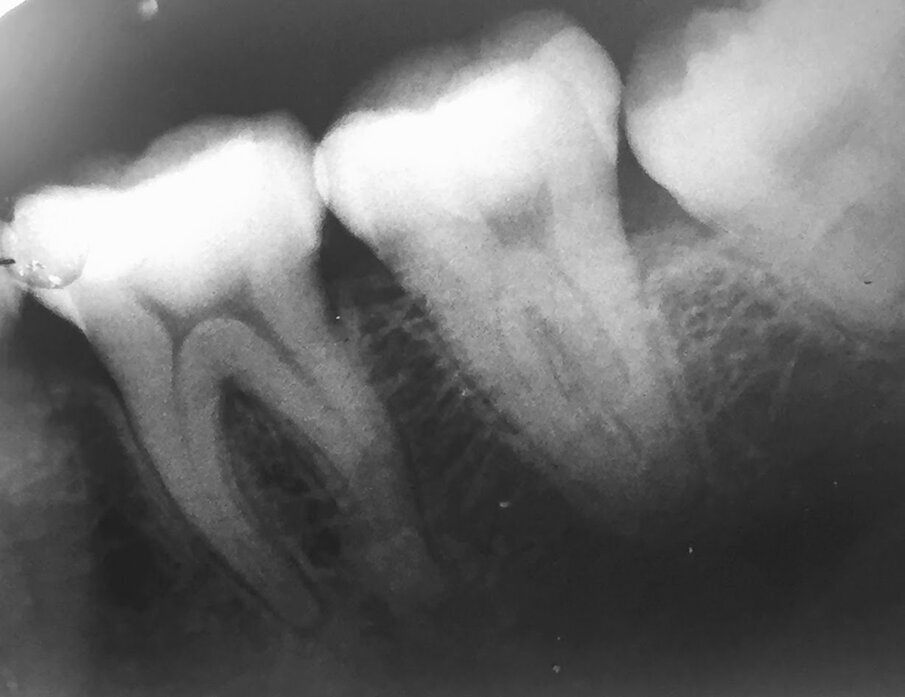
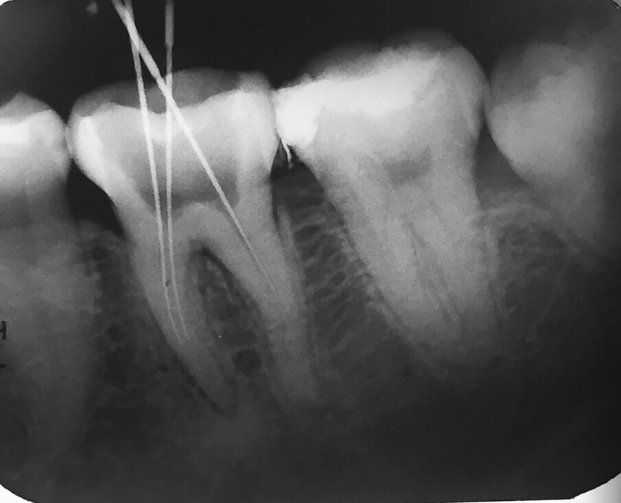
Dr Margaret Tui, a clinician based in the Philippines, agrees that the increased fatigue resistance and strong flexibility of both HyFlex systems allowed her to manage an S-shaped case more easily. At a recent COLTENE Train the Trainer event, she presented a mandibular first molar case with four canals that was referred to her by another dentist who could not negotiate the canal owing to its difficult anatomy. After utilising the crown-down technique and the HyFlex CM files to flare the coronal third of the distobuccal and distolingual canals, Tui then continued to use HyFlex EDM to negotiate the mesiobuccal and mesiolingual canals, as she had discovered a slight curvature in the middle third of the canals. As for the S-shaped distobuccal and distolingual canal, she continued with the Hyflex CM files. Post obturation radiograph showed properly shaped canals with proper healing.
Fig. 1: Workshop participants were able to test HyFlex EDM, the next generation one file NiTi system.
Fig. 2: Dr Barbara Müller, an expert in endodontics, introduced the COLTENE portfolio of endodontic products.
Fig. 3: Participants from Malaysia, the Philippines, and Taiwan listened to the product presentation such as the CanalPro cordless handpieces.
Fig. 4: Participants were able to work with the complete COLTENE Endodontics portfolio, such as the CanalPro motors, CanalPro irrigation solutions, and HyFlex instruments.
Fig. 5: Dr Margaret Tiu, Faculty Member (Assistant Professor A1), University of the East, College of Dentistry, Philippines and Past President (2008–2010) of the Endodontic Society of the Philippines (ESP)
Fig. 6: Dr Margaret Tiu presented a mandibular first molar case with four canals. She used a combination of HyFlex CM and HyFlex EDM to properly shape the canals.
Radiograph from referred dentist
Post obturation radiograph
References
Cytotoxicity of GuttaFlow Bioseal, GuttaFlow2, MTA Fillapex, and AH Plus on Human Periodontal Ligament Stem Cells, J Endod. 2017 May;43(5):816-822. doi: 10.1016/j.joen.2017.01.001. Epub 2017 Mar 23. https://www.ncbi.nlm.nih.gov/pubmed/28343929
Mechanical Properties of Various Heat-treated Nickel-Titanium Rotary Instruments, J Endod. 2017 Sep 23. pii: S0099-2399(17)30703-3. doi: 10.1016/j.joen.2017.05.025. [Epub ahead of print] https://www.ncbi.nlm.nih.gov/pubmed/?term=mechanical+properties+of+various+heat+treated+Goo+et+al.
Evaluation of the Cyclic Fatigue and Torsional Resistance of Novel Nickel-Titanium Rotary Files with Various Alloy Properties. J Endod. 2016 Dec;42(12):1840-1843. doi: 10.1016/j.joen.2016.07.015. Epub 2016 Oct 21. https://www.ncbi.nlm.nih.gov/pubmed/?term=Evaluation+of+the+Cyclic+Fatigue+and+Torsional+Resistance+of+Novel+Nickel-Titanium+Rotary+Files+with+Various+Alloy+Properties
Torsional and Cyclic Fatigue Resistance of a New Nickel-Titanium Instrument Manufactured by Electrical Discharge Machining. J Endod. 2016 Jan;42(1):156-9. doi: 10.1016/j.joen.2015.10.004. Epub 2015 Nov 14. https://www.ncbi.nlm.nih.gov/pubmed/?term=Torsional+and+Cyclic+Fatigue+Resistance+of+a+New+Nickel-Titanium+Instrument+Manufactured+by+Electrical+Discharge+Machining
Where in the past only an implant offered the last resort, today, thanks to modern endodontics, many damaged teeth can be preserved. With the total number ...
Whereas production times with zirconium of up to 14 hours are no exception, aesthetically appealing composite crowns can today be created within 35 minutes ...
Live webinar
Thu. 14 May 2026
8:00 pm UAE (Dubai)
Live webinar
Thu. 14 May 2026
10:00 pm UAE (Dubai)
Prof. Hani Ounsi DDS PhD FICD
Live webinar
Tue. 19 May 2026
7:00 pm UAE (Dubai)
Live webinar
Tue. 19 May 2026
9:00 pm UAE (Dubai)
Prof. Dr. med. dent. Ivo Krejci
Live webinar
Wed. 20 May 2026
3:00 pm UAE (Dubai)
Dr. Graham Carmichael BDSc (Hons), DClinDent (Pros), FRACDS, Dr. Robert Gottlander DDS
Live webinar
Wed. 20 May 2026
5:00 pm UAE (Dubai)
Live webinar
Wed. 20 May 2026
9:00 pm UAE (Dubai)
Prof. Dr. med. dent. Tim Joda PhD, MSc, eMBA
To post a reply please login or register