As the Baby Boomer population ages, the numbers of edentulous and partially edentulous patients increases, since tooth loss and age are related. Whether it is due to neglect, caries, medications or other systemic reasons, patients are presenting to practices all over the country needing extractions that can eventually lead to missing teeth of full arches that need implant supported restorations.
These patients often have aesthetic concerns from missing teeth, or ill-fitting or loose partial or full dentures and the inability to eat or function as they once did with teeth. Because of these concerns, it is important to incorporate some type of implants into the plan. Implants, whether narrow or traditional width, allow patients to smile, eat and function much more effectively.
Case
Figs.1-2: Pre Op situation upper right and left sides.
Fig.3: Flapless approach and initial pilot drill with tissue punch.
Fig.4: Parallel pin placed for verification.
Fig.5: Axiom REG selection (4,0x10 mm).
Fig.6: Implant placed flapless in #25.
Fig.7: Axiom concept for healing cap selection to form transmucosal passage for excellent final aesthetics.
Fig.8: Optimal inter implant distance with the Axiom placement guide.
Fig.9: Axiom REG placement flapless in #15,16 (4,0x10 ; 4,0x8 mm).
A 43-year-old female presents with missing premolar and molar upper right side (#15,16) and missing premolar upper left (#25). These teeth have been missing for 15+ years. A flapless approach was selected to minimize trauma and to facilitate quick healing. The Axiom Concept was utilized to create an emergence profile that would be difficult to detect from the natural dentition.
Fig.10: Axiom placement to 0,5 mm below crest of bone.
Fig.11: Second implant site prepared and tissue removed for flapless approach.
Fig.12: Heal check and Healing cap removal – note the proper tissue emergence profile and excellent health.
Fig.13: Heal check and Healing cap removal – note the proper tissue emergence profile and excellent health.
Fig.14: Stock Ti abutment selection 4 or 6 mm height.
Fig.15: Stock abutment placement with margin 0,5 mm subgingival.
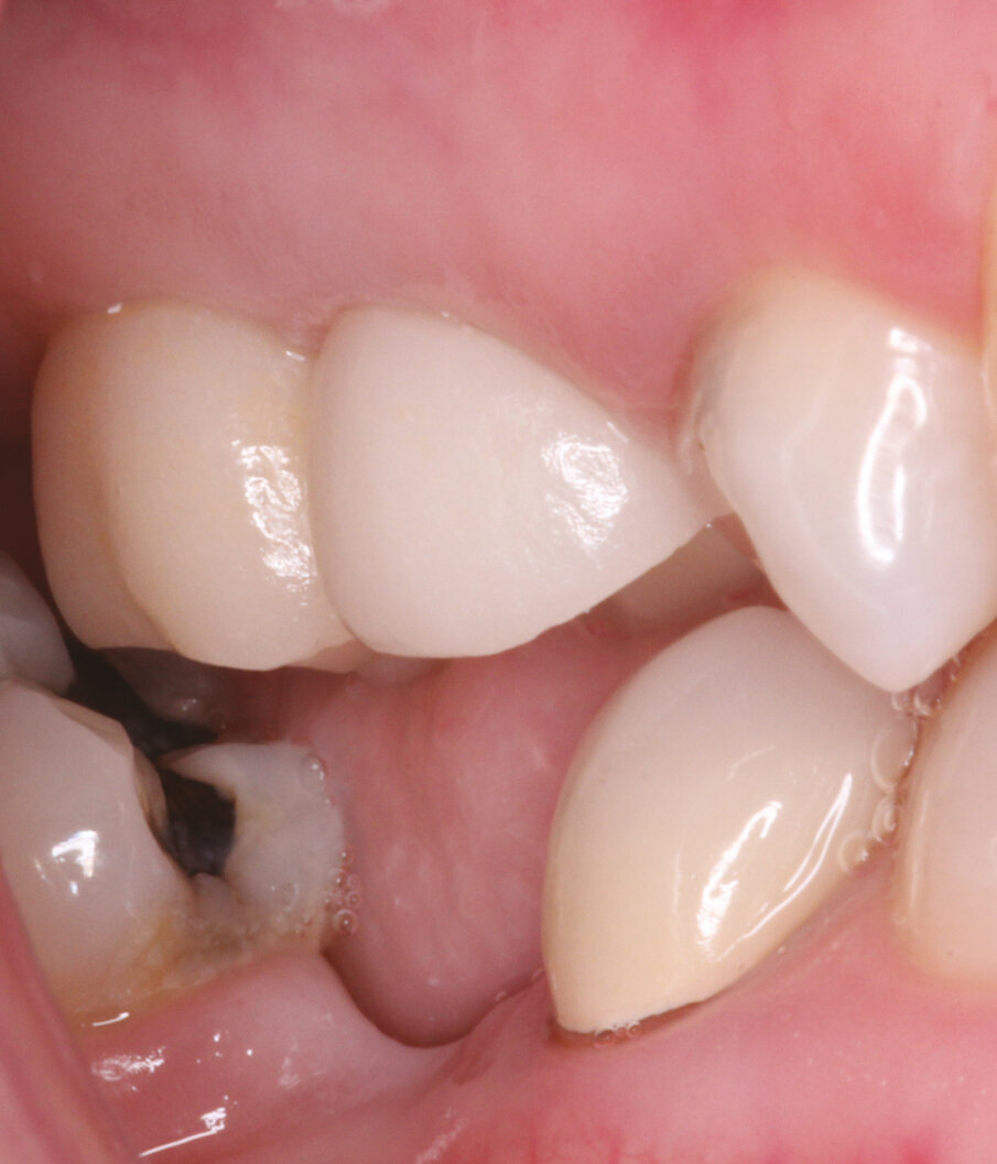
Figs.16: Final zirconia crowns placed
Figs.17: Final zirconia crowns placed
Figs.18-20: CT slices to confirm proper placement.
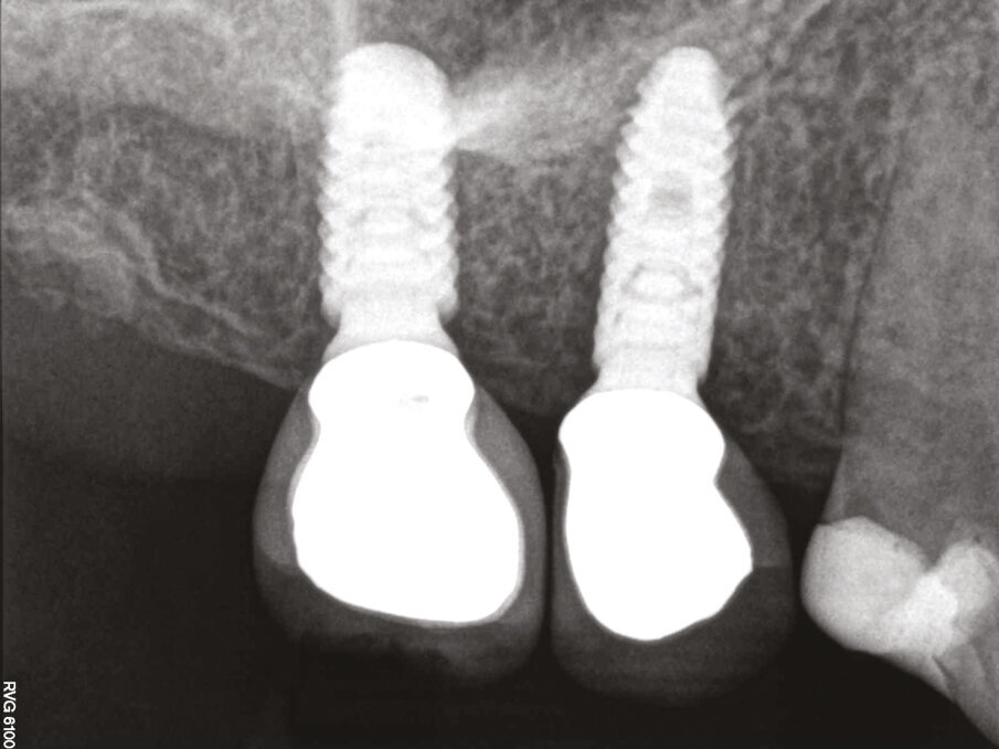
Fig.21: 1 year post x-ray showing bone formation over the top of the Axiom REG implants.
Figs.22-24: Final CT reconstructions and Pan xray.
Conclusion
In conclusion, by utilizing a minimally invasive technique, we can confidently provide the technical characteristics needed to keep the integrity of the peri-implant biological space on the day of surgery intact. This concept continues to provide this integrity at restorative phase by allowing the correct selection of a stock healing cap and matching stock abutment that should allow for an adjustment free final restoration. No part of the process has to be out of the treating doctors control.
With the clinical flexibility afforded by modern diagnostic tools and a restorative-minded approach to treatment, we can provide patients with implant restorations that offer the form and function of natural teeth, even in cases of advanced bone loss. With continued technological advancements and practitioner innovations, our capacity to improve the lives of our patients can only improve further, with the completely edentulous patient benefitting most from a well thought out restorative driven Implant System.
To post a reply please login or register