Endodontics is a complex and evolving field in dentistry focused on treating the root canal system, balancing biocompatibility and preservation of tooth structure with efficient techniques. (Image: Microgen/Shutterstock)
Endodontics is recognised as the most complicated treatment in dentistry and the most challenging one. The root canal system is an open pathway between the oral bacterial flora and multiple sensitive tissues and organs in our body. It is a dynamic science that we learn about every day and poses new challenging cases and enigmas to solve. Every material and technique used should consider the biocompatibility and longevity of the treatment and of course how to preserve the tooth structure whether internally or externally. Simple yet very efficient techniques should be part of our daily practice.
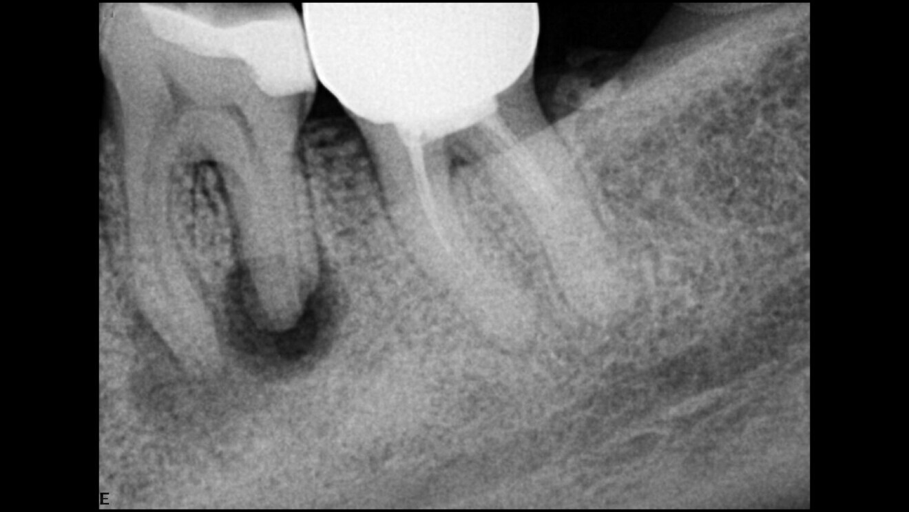
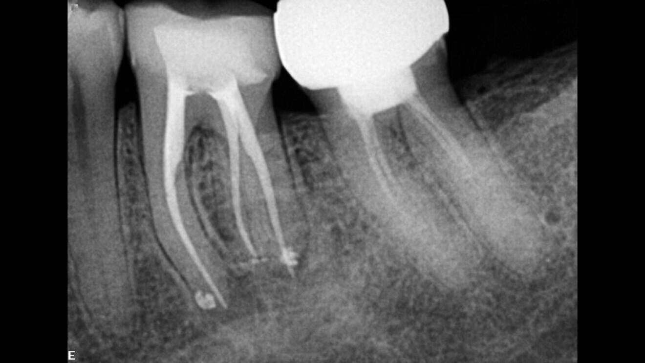
Starting with the diagnostic part, 3D imaging is an essential tool to complete the puzzle and find answers and to prepare a full treatment plan for a simple case as well as a complicated one. Artificial intelligence (AI) is a great addition regarding 3D imaging. For some time, I have been using the DTX Studio Clinic software, which has many AI features and enhanced image features that help me a great deal in my daily practice. When it is combined with the correct resolution and field of view for endodontics, it becomes a very powerful diagnostic tool. We recently upgraded our i-CAT unit to a DEXIS OP 3D unit, which has many advantages in the field of view and image quality, and it is just perfect when it is combined with the DTX software. Digital 3D imaging allows the discovery of unusual anatomy. In the case of a patient who presented complaining of pain and pressure on his tooth after undergoing root canal therapy some time before, careful reading of a CBCT scan of the area revealed a second canal in the central incisor and enabled us to locate the furcation (Figs. 1–3).
Figs. 1a & b: CBCT scan showing a second canal in the central incisor (E mode; field of view: 5 × 5 mm).
Fig. 1b
Fig. 2: Location of the furcation.
Fig. 3: Retreatment of the central incisor, after the shaping and obturation of both canals.
Cryotherapy in endodontics, an idea that I began applying several years ago, has snowballed. It involves using cold water in order to minimise postoperative endodontic discomfort to try to replace or minimise the use of analgesics. This is a very simple yet very effective solution to help our patients to overcome pain after undergoing root canal treatment.
Irrigation in endodontics is widely misunderstood, yet it is so simple when we understand the chemicals that we are using and what our goal is and how to achieve it. By giving each chemical the work or the target that it is supposed to achieve and by understanding chemical interactions—irrigation is a matter of dealing with different kinds of chemicals—we can achieve better, much faster and safer root canal disinfection. Before the use of sodium hypochlorite, it took up to 20–30 minutes, and now it takes seconds. A bacterial level of zero is in our reach, and it does not take rocket science to achieve it. Zero bacteria means that we can have a better prognosis for the root canal treatment and higher success rates for our retreatment as well in a single visit and no temporary dressing needed—the myth of calcium hydroxide is no more. By way of demonstration, consider the case of a necrotic molar with a relatively large radiolucency that we treated with a root canal treatment in a single visit following our irrigation protocol (Figs. 4–6).
Fig. 4: Necrotic molar with a relatively large radiolucency.
Fig. 7: The ZenFlex and Traverse files (Kerr Endodontics).
Nickel–titanium (NiTi) rotary files were a great invention that changed the world of endodontics, and the science of this alloy keeps on developing. In 2006, the first heat-treated files were released, a game-changer in the production of rotary files. The changes brought additional flexibility and torque resistance, increasing the safety of using NiTi rotary files. More recently, through yet another innovation in this field, flexibility and cutting resistance were combined in one file. The ZenFlex and Traverse files (Kerr Endodontics) have opened the way for a new era in file production. This innovation will give us the opportunity to use files in a very simple sequence whether in primary treatment or retreatment (Fig. 7).
Zero apicectomy, the art of combining root canal treatment and microsurgery to preserve tooth integrity and no longer removing the apex, has been proved a very successful technique not only in preserving the tooth structure but also in recreating a new periodontal ligament where the bone can grow vertically—an idea that was impossible before—in order to save the natural teeth, a new approach in endodontic microsurgery. In a trauma case in which there was an absence of cortical bone and apical bone around the mandibular central incisors and a very deep pocket reaching the apical area, a zero apicectomy and a root canal treatment were done, and 18 months later, against all odds, the bone had grown vertically, covering the buccal part of the root almost completely, and the apical bone was completely restored (Fig. 8).
These ideas and more are based on understanding what the problem is and how to create solutions that are focused on the preservation of teeth in their natural environment.
Figs. 8a–f: Absence of cortical bone and apical bone around both central incisors (a & b). Nine-month follow-up radiographs (c & d). Eighteen-month follow-up radiographs (e & f).
On Saturday, 10 September, Dr Phophi Kamposiora will be holding a day-long hands-on course sponsored by COLTENE titled “Posterior restorations for inlays,...
LA CHAUX-DE-FONDS, Switzerland: FKG Dentaire presents the Rooter X3000, redefining endodontic standards. This novel cordless endodontic motor combines ...
Registration for ROOTS SUMMIT 2024 is open, and the organisers would like to introduce some of the great speakers and their lecture topics for next year’s...
Where in the past only an implant offered the last resort, today, thanks to modern endodontics, many damaged teeth can be preserved. With the total number ...
DOHA, Qatar: In the past, studies showed that the technical quality of root canal treatments performed by general dental practitioners and students often ...
The Clinical Endodontics Postgraduate Diploma from CAPP-Tipton & BARD aims to enhance the endodontic skills of newly qualified dentists and experienced ...
PHILADELPHIA, US: New developments in small-scale robotics and nanotechnology offer previously unimagined opportunities for new diagnostic and therapeutic ...
Maillefer celebrates an anniversary: In 1889, exactly 130 years ago, Auguste Maillefer, dentist and former watchmaker, started manufacturing his own ...
Education
Live webinar Thu. 23 April 2026 7:00 pm UAE (Dubai)
RIYADH, Saudi Arabia: While many artificial intelligence (AI) systems for dental diagnosis demonstrate high accuracy, their real clinical value depends on ...
VIENNA, Austria: Many patients with disabilities are treated under general anaesthesia to manage anxiety or behavioural challenges. However, this approach ...
Held in January for the fourth time, Dentsply Sirona World Dubai has established itself as Dentsply Sirona’s flagship event for the Middle East, bringing ...
To post a reply please login or register