Making an acceptable impression in dentistry requires not only the use of precision impression material but also the use of adjunct materials to help support the accuracy of the final impression. 3M introduced a line of products that are intended to be used together to maximize the efficiency of taking an impression while offering predictability to the clinician.
The following products were selected for this case:
- 3M Retraction Capsule
- 3M Intra-oral Syringes
- 3M Impression Trays
- 3M Imprint 4 Penta Heavy and Imprint 4 Light VPS Impression Material
Clinical Case
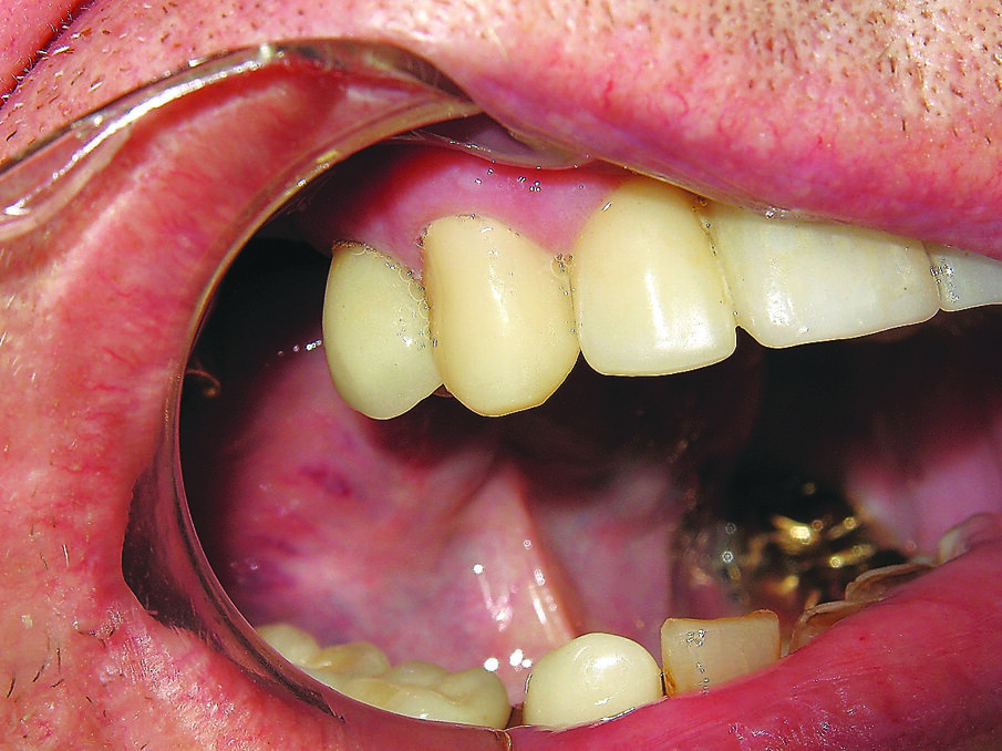
An 80-year-old male presented with a fractured and decalcified upper right canine (tooth #6). After reviewing clinical and radiographic findings it was determined that a full porcelain crown was the best treatment of choice.
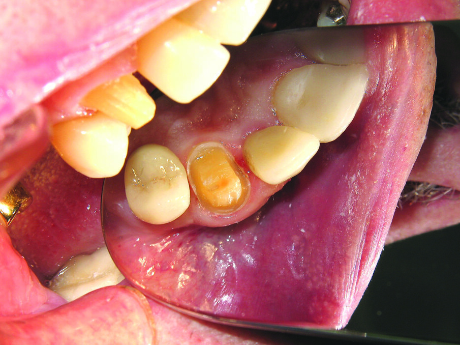
Initial impressions were obtained including a template for temporary fabrication, a study model and an opposing full arch mandibular impression (using 3M impression tray). After placing local anaesthetic, the tooth was prepped for a full porcelain crown (Fig. 1). Prior to the final impression, 3M retraction capsule (3M) paste was injected into the sulcus of tooth #6 (Fig. 2). The retraction paste contains 15% aluminum chloride and is intended to provide temporary tissue retraction and enable a clean, dry and controlled sulcus. 3M retraction capsule paste material can be used alone or in conjunction with retraction cord. The soft and narrow tip of the 3M retraction capsule corresponds in size and shape to a periodontal probe; designed for direct placement in the sulcus (Fig. 3).
While the retraction paste is in place, a 3M impression tray (Fig. 4) is fitted. The trays come in three sizes and require no adhesive. The self-retentive strips are designed to direct the flow of the impression material, minimizing defects and voids.
The 3M intra-oral syringe is loaded with the appropriate amount of Imprint 4 Light (Fig. 5). The syringes are single use, ergonomically designed, and can be prepared in advance (Figures 6-7). The syringe is designed for the loading of consistent amounts of wash for both single and multiple preps. There are markings and characteristics on the syringe that will accommodate specific amounts. Using the syringe is much easier than trying to guide the 3M Garant cartridge with extended mixing tips. The 3M intra-oral syringe uses less material and allows more accurate placement.
Fig. 1. Prepared tooth #6
Fig. 2. 3M retraction paste in place around preparation
Fig. 3. 3M Retraction Capsule and periodontal probe tips are similar in size.
Fig. 4. 3M Impression Tray
Fig. 5. 3M Intra-oral Syringe connects easily to a cartridge
Fig. 6. 3M Imprint 4 Light is placed from the 3M Garant Dispenser into a 3M Intraoral Syringe, and the tip can be directed for precise application
Fig. 6-7. 3M Imprint 4 Light is placed from the 3M Garant Dispenser into a 3M Intraoral Syringe, and the tip can be directed for precise application
Fig. 8. Loading 3M Imprint 4 material into the 3M Impression Tray using a 3M Pentamix 3 Automatic Mixing Unit
Fig. 9. Full-arch final impression
Fig. 10. Detail of impression
Fig. 12. Final restoration.
Once the Retraction Capsule material is placed, simply rinse the material at the time limit making sure no residue remains in the sulcus.
Next, Imprint 4 material is extruded from a Pentamix mixing unit into a 3M impression tray (Figure 8). Since the 3M intra-oral syringes can be prepared in advance, the material can be syringed around the prep while the tray is being loaded. The tray is gently placed and allowed to set. Imprint 4 Light (regular set material) has a maximum 1:00 minute intra-oral syringing time at room temperature.
Intra-oral set time for Imprint 4 regular set material is 2:00 minutes. When the impression is set, remove it and check for blue residue and excess pieces of impression ‘flash’. These may be on teeth or soft tissue. The final impression (Figs. 9-10) shows excellent marginal detail.
The colour contrast is easy to read, crisp and accurate, with no delamination.
Worth noting: In addition to providing a precise impression medium, Imprint 4 material (3M) has an active self-warming feature that accelerates the intraoral setting time. The setting time starts after placement and speeds up with body temperature.
A temporary crown (Figure 11) is fabricated using the pre-prep impression template. The Imprint 4 impression and models were sent to the lab where an all porcelain crown was fabricated.
The patient returned 10 days after the prep work for delivery of the restoration (Figure 12). No complications or problems occurred during temporization. The restoration was tried in, adjusted and bonded into place.
The patient is comfortable and pleased with the final result. Figure 11. Temporary crown. Figure 12. Final restoration.
Conclusion
The 3M products used in this restorative process helped create a beautiful restoration. The materials and delivery system are excellent.
3M Oral Care participated in the Saudi International Dental Conference from 9-11 Jan 2017 held at the Riyadh International Convention and Exhibition Center....
A case study by Dr. Carlos Eduardo Sabrosa, DDS, MSD, DScD featuring 3M™ RelyX™ Ultimate Adhesive Resin Cement.
Dr. Marcin Krupinski, Dr. Ektor Grammatopoulos
Dr. Marcin Krupinski, Dr. Ektor Grammatopoulos
To post a reply please login or register