The layering concept using IPS e. max Ceram power materials
The most important factor when imitating the light-optical properties of natural dentition is brightness. It is important to be able to control this factor selectively during the production of the ceramic restoration. The new power materials in the IPS e. max Ceram range allow the dental technician to be the maestro of brightness.
The work routine in the dental laboratory and dental practice has changed a lot in recent years. Co-operation between dentist and dental technician has become multifaceted and complex. This enables the patient’s individual needs to be fulfilled on an even higher level. A prosthetic treatment plan is still an essential and fundamental factor. Contact with the patient is of great importance for the dental technician, in order to ensure a high-quality result. In addition, the dental technician should be a master of his/her craft and understand the anatomical, functional and esthetic factors of natural dentition.
Working with all-ceramic materials
Another important aspect for successful prosthetic treatment is the use of appropriate materials. In modern dentistry, permanently fixed restorations made entirely from all-ceramic material are highly relevant in the clinical routine. The ceramic layering materials and the multitude of framework materials available on the dental market offer a wide range of choice for a successful treatment concept – according to the different indications and the respective cases. However, due to the wide variety of products it is not always easy to select the best material. The dental technician’s job is to produce prosthetic restorations that have a long service life. Functional, biological and esthetic perfection should be adapted to the individual needs and requirements of the patient. For this, it is essential to become familiar with the material properties of the various different materials and know the specific features of the respective ceramic range. For example, it is advisable to make individual shade samples so that the light-optical properties of the ceramic material can be seen. The materials to be used should be ideally coordinated with one another in terms of biocompatibility, stability, esthetics, processing, chroma, brightness value and hue.
This article is an introduction into the new IPS e. max ® Ceram power materials. The new ceramic material’s indications and advantages will be presented using a patient case as an example.
The power concept
The well proven IPS e.max Ceram range has been extended with the Power Dentin and Power Incisal materials. The new power ceramic materials have a higher brightness value. The IPS e.max Ceram range now includes three different brightness values and small variations of opacity and chroma.
A comparison shows that the dentin materials have the lowest brightness value and that the new IPS e. max Ceram power materials enable the highest values to be achieved. In particular, a wider spectrum is available for creating a specific esthetical reproduction in a single-tooth restoration.
The power materials are specifically designed for the following situations:
- Reproducible natural brightness on translucent frameworks
- Controllable brightness
- Vibrant alternating layering to imitate natural teeth with a high brightness value
- Stable value in thin layering thicknesses
Patient case
One of the biggest challenges for the treatment team is the reconstruction of minimally invasively prepared anterior teeth. This situation requires a great amount of attention from the dental technician. There has to be a high level of understanding for the light-optical analysis of natural teeth and the ability to implement this in ceramic in an individual layering concept. In order to achieve an esthetically harmonious restoration, it is imperative to understand the light-dynamic characteristics of the respective ceramic range.
The power ceramic materials widen the selection range and with their high brightness value, they represent a clear added value to the IPS e. max Ceram range. The brightness value can be controlled significantly better. The dental technician can adjust the brightness throughout each of the various steps.
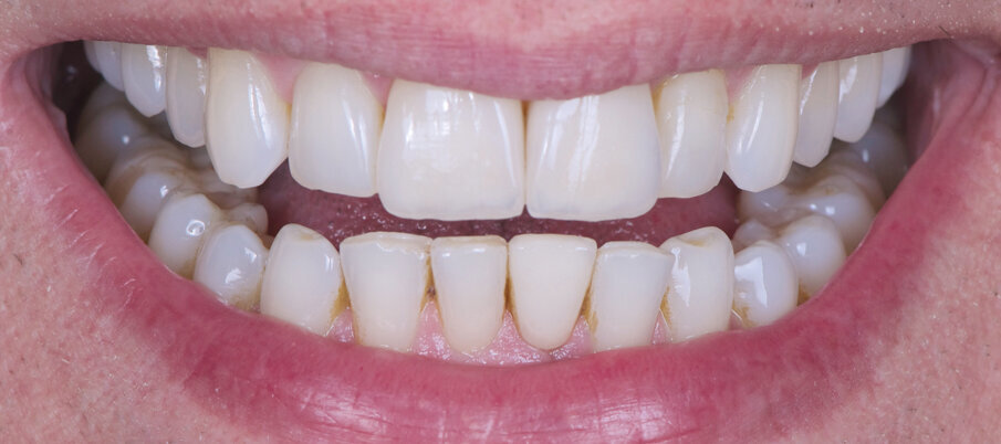
The versatility of the enhanced ceramic range is shown through a patient case. In this case, the patient’s two upper anterior teeth were to be restored with ceramic veneers (Fig. 1). The plan was to esthetically improve both the tooth shade and shape. The natural teeth were prepared using a minimally invasive technique. This created space for the ceramic veneers.
Fig. 1: Starting situation. The upper right 1 and the upper left 1 are to be restored with veneers
Fig. 2: Determining the basic tooth shade
Fig. 3: Determining the light-optical characteristics with a special shade sample (in this case Opal Effect materials)
Fig. 4: Determining the tooth shade of the prepared teeth
Fig.5: Geller model with refractory dies
Fig. 6: Building the veneers up for the first firing
Fig. 7 & 8: Alternating the layers with the materials chosen during shade determination
Fig. 7 & 8: Alternating the layers with the materials chosen during shade determination
Fig. 9: Prepared for the second firing
Fig. 10: The veneers with a high light dynamic on the model
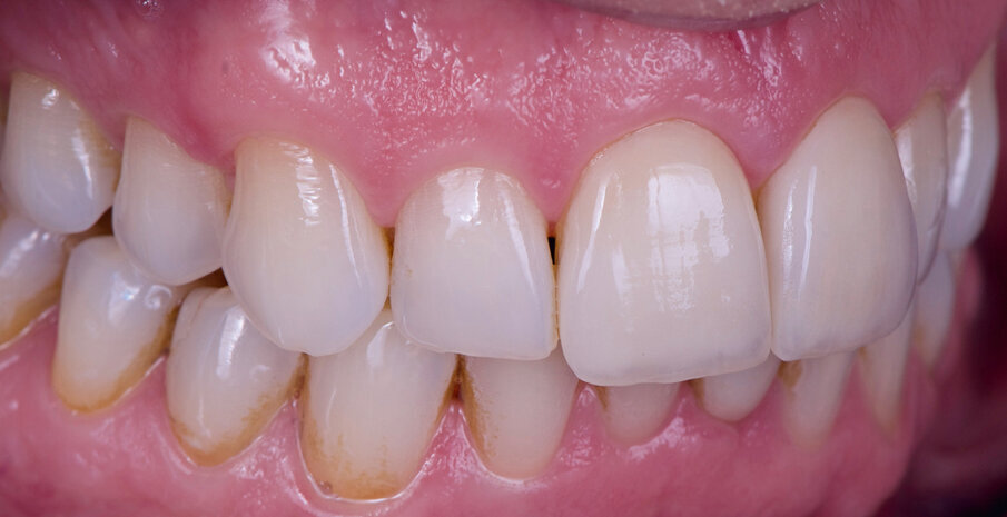
Fig. 11 & 12: Veneers on the UR 1 and UL 1: The brightness value of the adjacent teeth has been reproduced exactly. There is a natural in-depth effect within a minimal layering thickness.
Fig. 11 & 12: Veneers on the UR 1 and UL 1: The brightness value of the adjacent teeth has been reproduced exactly. There is a natural in-depth effect within a minimal layering thickness.
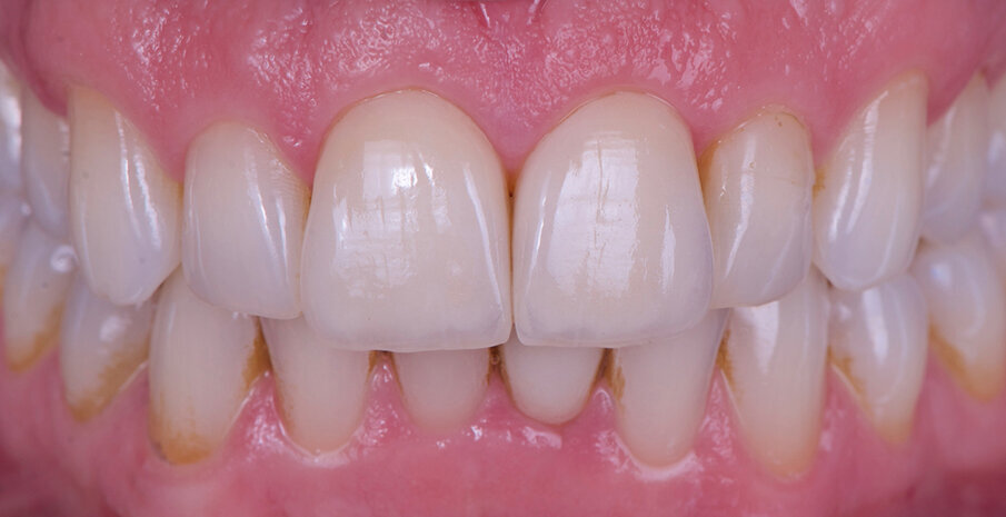
Fig. 13: Harmony in shade and shape: Both upper anteriors appear significantly stronger and have the desired lighter tooth shade.
Determining the shade
After a joint analysis of the initial situation and desired target, the tooth shade and the light-optical characteristics were assessed.
The shade guide from the respective ceramic range is important for determining the shade (hue), colour saturation (chroma) and colour brightness (value). The preoperative shade analysis showed a high brightness value in the body area of both teeth. The ceramic materials, which were selected through the shade determination, were set in an individual layering concept. Figs 2 to 4 illustrate the importance of targeted shade analysis with photographic documentation.
The power ceramic materials are especially well suited for tooth shades with a high brightness value. They make the reconstruction of young or bleached teeth easier. The advantages of the power ceramic materials can be seen in this minimally invasive situation.
If the brightness value cannot be helped by the framework material, it is all the more important to use a high value ceramic. A “greyness” within the restoration is therefore prevented. A grey shimmer can occur for example, when a translucent framework material is used or in situations where no framework is required.
Producing the veneers
In order to esthetically restore the anterior teeth, the veneers were individually built up on refractory dies (Figs 5 and 6). In this case, the prepared teeth have a slight discolouration, which needs to be masked by the ceramic layer. The high degree of reflection (value) made it possible to achieve the required brightness in a minimal layer thickness. Effect materials were used in the build-up to achieve a vibrant appearance. This way, the natural light-optical characteristics were imitated (Figs 7 to 9). An alternating layering concept, using the Power Incisal and the conventional incisal ceramic materials from the IPS e.max Ceram range, gave the ceramic veneer a very high light-dynamic effect with relatively little effort (Fig. 10). The interaction of the different brightness values created a natural in-depth effect within a minimal layering thickness (Figs 11 to 13).
Conclusion
To create a harmonious shade reproduction of natural teeth, it is important to imitate the information obtained during shade analysis using the light-dynamic characteristics in the material. The most important characteristic is the brightness (value). If this is not implemented exactly, even a non-professional will see the ceramic restoration at a short speaking distance. If the value is too high, the restoration will appear to be too white; if the value is too low, the restoration will seem too grey. It is important for the dental technician to be able to influence the brightness value of a veneer. This requires suitable ceramic materials and a patient-oriented working method. The new IPS e. max Ceram power materials are a big plus in everyday laboratory life when translucent framework materials are used and with minimally invasive restorations. The brightness value can even be altered at a later stage with these materials, e.g. if the try-in shows that the brightness has to be increased. This gives the dental technician a high degree of safety, because improvements are easy to achieve. A total remake of the veneer due to correction of the brightness can be avoided in many cases.
The power ceramic materials offer more safety in imitating the brightness value of natural dentition.
The range of materials for PlanMill has been extended to include Tetric CAD and IPS e.max ZirCAD.
The Tetric CAD composite blocks and the IPS e.max ZirCAD ...
Dental technicians routinely produce monolithic crowns and partially veneered mandibular posterior bridges. As a result, they get very excited when ...
Ivoclar Vivadent has announced the go-live of a new portal. Under the heading of "Highlights", the portal offers dental professionals and laboratory ...
Ivoclar Vivadent has announced the go-live of a new portal. Under the heading of "Highlights", the portal offers dental professionals and laboratory ...
Live webinar
Thu. 14 May 2026
8:00 pm UAE (Dubai)
Live webinar
Thu. 14 May 2026
10:00 pm UAE (Dubai)
Prof. Hani Ounsi DDS PhD FICD
Live webinar
Tue. 19 May 2026
7:00 pm UAE (Dubai)
Live webinar
Tue. 19 May 2026
9:00 pm UAE (Dubai)
Prof. Dr. med. dent. Ivo Krejci
Live webinar
Wed. 20 May 2026
3:00 pm UAE (Dubai)
Dr. Graham Carmichael BDSc (Hons), DClinDent (Pros), FRACDS, Dr. Robert Gottlander DDS
Live webinar
Wed. 20 May 2026
5:00 pm UAE (Dubai)
Live webinar
Wed. 20 May 2026
9:00 pm UAE (Dubai)
Prof. Dr. med. dent. Tim Joda PhD, MSc, eMBA
To post a reply please login or register