Comparison of the IPS d.SIGN and IPS Style ceramic systems
Change is exciting – also in day-to-day dental lab work. The author switched to using IPS Style layering ceramic some time ago. Before he started working with this ceramic system, he thoroughly tested the material and compared it to the product he had previously used.
The main aim of switching to a new ceramic system is to improve the quality of one’s results. We regularly used the fluorapatite-leucite glass-ceramic IPS d.SIGN® in our laboratory. Then, one day we asked ourselves the following question: Would IPS Style® (the first patented metal-ceramic material containing oxyapatite) offer a sound alternative to our accustomed product? We decided to test the new material on flat cobalt-chromium alloy samples. These test specimens enabled us to take a closer look at the layering ceramic. We used these base metal alloy samples (Colado CC) to examine and compare several properties of IPS d.SIGN and IPS Style: for example shade, brightness, shrinkage, fluorescence and dimensional stability.
Conditioning and opaquer application
One specimen was oxidized at 950°C with a holding time of one minute. The other sample was treated with a bonding agent. Two metal specimens with different bases were now sufficiently prepared for the application of the ceramic materials. Next, the samples were coated with IPS d.SIGN Paste Opaquer and IPS Style Ceram Powder Opaquer. The opaquer products of both systems have a smooth consistency. We had never used an opaquer in powder form before, so applying the IPS Style material was completely new to us. Nevertheless, we were impressed by its ease of application and the excellent results.
Shrinkage behaviour and shade effect
In the next step, we compared the Dentin and Transpa T Neutral materials as well as the Opal Effect OE1 materials. Each of the ceramics was applied to one of the metal samples. A line was drawn down the middle of the sample with a spatula for the purpose of comparing the shrinkage behaviour. The two different ceramics showed the same colour after firing. It was interesting to note that IPS Style exhibited less horizontal shrinkage than IPS d.SIGN (Fig. 1). The vertical shrinkage of both ceramics was almost identical. The samples were held next to each other and examined under a polarizing light. IPS Style was shown to be somewhat brighter than IPS d.SIGN.
Both materials exhibited almost the same level of fluorescence. In this comparison IPS Style was at a slight advantage because its Transpa T Neutral and the Incisal materials displayed a more lifelike fluorescence.
Dimensional stability and test results
The dimensional stability of the ceramics was clearly visible after the first firing cycle. The IPS Style layers successfully maintained their shape after firing. In contrast, IPS d.SIGN did not retain its shape completely. After this test series, we felt that we had gained enough information about the new material for our purposes. Even though the tests were relatively simple, they provided us with valuable insights into the two ceramic systems. Now we were ready to compare the two materials on the basis of an actual case study.
Case study
The patient was dissatisfied with the appearance of her upper teeth (Fig. 2). She wanted a new tooth colour, but wished the shape and position of her teeth to be maintained as best as possible. This simplified shade selection, since we “merely” had to select a slightly lighter tooth shade. Next, the teeth 15 to 25 were prepared (Fig. 3). Then a digital impression of the situation was taken with an intraoral scanner. From the manufacturing centre we were able to order both printed models and selective laser melting (SLM) metal copings. Both the models and the copings were produced simultaneously. This allowed us to start with the ceramic application immediately (Fig. 4). The restorations were built up on the frameworks with the two ceramic materials so that we could compare IPS Style and IPS d.SIGN in the patient’s mouth. A detailed description of the procedure involving the two ceramics is provided below.
Preparation of the copings
First, the metal copings were oxidized according to the instructions of the manufacturer and then the opaquer was applied. The IPS d.SIGN Paste Opaquer and the IPS Style Ceram Powder Opaquer exhibited excellent flow and masking properties (Fig. 5). Two firing cycles were adequate for producing the desired masking effect. The opaquer in paste form was easy to apply, since the material is supplied ready for use from the syringe. Depending on its application, the rather dense paste may have to be diluted with some Paste Opaquer Liquid.
The IPS Style Ceram Powder Opaquer, however, is mixed to the desired consistency with a matching liquid component. The product is easy to apply with a brush or a glass-ceramic or ceramic instrument. Margin material was used to create a shoulder, thereby enhancing the aesthetic appearance of the restoration and establishing a tight seal to the gingiva. The Margin materials of the IPS Style and IPS d.SIGN systems helped to create a beautiful margin (Figs 6 and 7).
First firing
In order to make a visual comparison of the layers placed with the two ceramics, the materials were mixed with Liquid Visual Eyes (Harvest Dental). The Visual Eyes Liquid is a product that renders the colour of the fired ceramic visible before the material is actually fired (Figs 8 and 9). The basic dentin layer was created with 25 % Cervical Transpa orange-pink and 25 % Cervical Transpa khaki mixed with 50 % Dentin B2. Unmixed Dentin material was used in the central part. The incisal mamelons were produced with a mixture of 80 % Dentin B2 and 20 % Special Incisal grey. In the horizontal cut-back space, Effect material Inter Incisal white-blue was applied. The incisal margin was completed with Opal Effect OE 1 and Transpa materials (neutral, orange grey). The mamelons and internal characteristics were created with a very fine separating instrument. After the first firing, the colours of IPS Style and IPS d.SIGN looked good and appeared almost identical (Fig. 10). IPS Style Ceram and IPS d.SIGN Transpa as well as Mamelon materials were used to make some slight adjustments to the shape of the anterior teeth. At this stage, a comparison showed that a few distal areas in the incisal edge of the IPS d.SIGN restoration were slightly more translucent.
Fig. 1: Test samples showing shrinkage behaviour. Left: Application of the ceramic on the metal sample. Centre: IPS d.SIGN Right: IPS Style
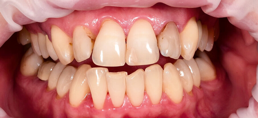
Fig. 2: Initial situation The patient wished to have the appearance of her upper teeth enhanced.
Fig. 3: Teeth 15 to 25 were prepared
Fig. 4: Printed model with SLM metal copings
Fig. 5: Comparison of the opaquer (left: IPS d.SIGN; right: IPS Style)
Fig. 6 & 7: Application of the ceramic margin using the Margin materials of the two ceramic systems (left: IPS d.SIGN; right: IPS Style)
Fig. 6 & 7: Application of the ceramic margin using the Margin materials of the two ceramic systems (left: IPS d.SIGN; right: IPS Style)
Fig. 8 & 9: The ceramic materials were mixed with Liquid Visual Eyes for the purpose of visually comparing the two materials during the layering proces (left: IPS d.SIGN; right: IPS Style)
Fig. 8 & 9: The ceramic materials were mixed with Liquid Visual Eyes for the purpose of visually comparing the two materials during the layering proces (left: IPS d.SIGN; right: IPS Style)
Fig. 10: Comparison of the crowns after the first firing (left: IPS d.SIGN; right: IPS Style)
Fig. 11: Adjustment of the incisal teeth with Transpa and Mamelon materials (left: IPS d.SIGN; right: IPS Style)
Fig. 12: Application of Transpa Dentin, Transpa Incisal and Transpa Impulse for the corrective firing cycle
Fig. 13: The two anterior crowns after the corrective firing (left: IPS d.SIGN; right: IPS Style)
Fig. 14: The final restoration (IPS d.SIGN) after the second corrective firing cycle
Fig. 15: The final restoration (IPS d.SIGN) after the second orrective firing cycle
Fig. 16: In terms of fluorescence, both materials met our criteria
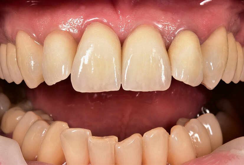
Fig. 17: The final choice fell on the IPS Style restorations: shown in the mouth
Fig. 18: The seated restorations (layered with IPS Style) harmoniously blend into the overall natural oral environment
Customisation of the layers and second firing
After the first corrective firing cycle, the teeth were customized with suitable IPS Ivocolor® stains. These materials are used to characterise restorations (e.g. mamelons), imitate enamel cracks and adjust the colour intensity and translucency of certain areas. Subsequently, the stains were fired.
In this case, a reddish hue was imparted to the incisal edge with IPS Ivocolor Essence E21 basic red to achieve a “lip gloss infiltrated” effect in the dental enamel. For the second firing, the crowns were coated with Transpa Dentin, Transpa Incisal and Transpa Impulse (Figs 11 to 13).
Comparison of the results
After the second corrective firing of the different IPS Style Ceram Transpa materials, we were convinced that the product fulfilled all our criteria: The dimensional and shade stability of the ceramic was impressive. We effectively controlled the brightness of the material by adding Transpa T neutral. All in all, we were completely satisfied with the result. The colours of IPS Style were lifelike and they were identical to those of IPS d.SIGN. A direct comparison clearly shows the excellent colour coordination of the different ceramic ranges (Figs 14 and 15). Furthermore, the same shade system applies to the IPS e.max® all-ceramics and the SR Nexco® light-curing laboratory composite.
Summary
IPS Style is definitely capable of replacing IPS d.SIGN, which we used in our laboratory for quite some time. It completely satisfied us in terms of its shade and dimensional stability and its high strength. This ceramic offers us incredible flexibility and satisfies all our demands. Moreover, the ceramic system is geared towards modern manufacturing techniques:
At present, we use printed, milled and conventionally cast metal to fabricate the frameworks used in our laboratory. The different fabrication methods involve a wide range of CTEs. IPS Style accommodates this requirement and does not cause any problems related to fracture during firing. The ceramic is characterized by minimal shrinkage and high dimensional stability.
IPS d.SIGN, however, shows less dimensional stability and therefore does not perform as well in interdental areas and deep fissures. In this respect, it is less predictable than IPS Style. Nevertheless, the shade stability of IPS d.SIGN is comparable to that of IPS Style. In terms of fluorescence, both materials equally meet our criteria (Fig. 6). IPS Style Ceram Incisal and IPS Style Ceram Transpa T Neutral have a slightly more lifelike fluorescence than the corresponding IPS d.SIGN materials.
Conclusion
In the end, the IPS Style solution had a slight advantage. We chose it for the final restoration because of its beautiful tooth shapes and vital appearance in the mouth (Figs 17 and 18).
Acknowledgements
I would like to thank Dr Patricia Žujic for her collaboration on this case and Iris F., our patient, for her patience during this project. I would also like to thank all my colleagues and friends from the TTT Group at Ivoclar Vivadent in Vienna. This group provides us with incredible opportunities to exchange experiences and new ideas.
A retrospective of Ivoclar Vivadent’s successful history. An Interview with Robert Ganley, Ivoclar Vivadent’s CEO 2003 – 2019.
Removable prosthetics as high-quality restorative treatment in the edentulous patient
Single-tooth restorations with Tetric CAD
Live webinar
Thu. 14 May 2026
8:00 pm UAE (Dubai)
Live webinar
Thu. 14 May 2026
10:00 pm UAE (Dubai)
Prof. Hani Ounsi DDS PhD FICD
Live webinar
Tue. 19 May 2026
7:00 pm UAE (Dubai)
Live webinar
Tue. 19 May 2026
9:00 pm UAE (Dubai)
Prof. Dr. med. dent. Ivo Krejci
Live webinar
Wed. 20 May 2026
3:00 pm UAE (Dubai)
Dr. Graham Carmichael BDSc (Hons), DClinDent (Pros), FRACDS, Dr. Robert Gottlander DDS
Live webinar
Wed. 20 May 2026
5:00 pm UAE (Dubai)
Live webinar
Wed. 20 May 2026
9:00 pm UAE (Dubai)
Prof. Dr. med. dent. Tim Joda PhD, MSc, eMBA
To post a reply please login or register