Removable prosthetics as high-quality restorative treatment in the edentulous patient
Restorative treatment of the edentulous jaw requires, above all, sound knowledge of the function and statics of dental prosthetics. Customised pink-and-white aesthetics that match the expectation of the patient represent the “cherry on top” here, adding extra quality to the treatment.
We all know it, but let’s say it again: The number of edentulous patients will increase sharply over the coming years due to ongoing changes in demographics. The older people grow, the larger the number of edentulous patients will become. Complete prosthetics will therefore remain of high relevance for both clinicians and technicians and should not be neglected neither in the education and training nor in the day-to-day work of dental professionals. Sound knowledge coupled with clinical and technical expertise are essential to achieve satisfactory results. Upfront, complete dentures for edentulous patients appear to hold little promise from an economic point of view. However, the writer of this report maintains that this is a question of perspective. Complete denture prosthetics is a supreme discipline that allows a customised approach for each individual patient. An appropriate treatment strategy can be selected from a range of processing techniques to meet the individual needs of the patient being treated. Accordingly, outcomes range form e.g. highly aesthetic, custom-made tooth replacements to “basic” complete dentures manufactured using a digital method. Whichever method is used, function and statics will always be at a high level. Any compromises in statics and function would not be acceptable.
Preoperative situation
The 75-year-old female patient presented with severe periodontal damage in the upper and lower jaw (Figs 1 and 2). The oral cavity was free of inflammation and looked well maintained. However, the periodontium had been irreversibly damaged by periodontal disease. The clinical diagnosis showed that the teeth in the upper jaw could no longer be preserved. Some of the lower teeth also had to be removed. However, the lower premolars and canines were still in a good enough condition to be used as anchors for a dental prosthesis. A conversation was held with the patient to discuss her expectations and treatment options. She wanted to have dentures that could give her stability. Most important of all, she wanted. to be able to chew normally again. She also described her difficulties in speaking and expressed her discomfort about her appearance. She wished to have a “beautiful” smile again and be able to speak without impediment. In addition, the dentures should be easy to clean and handle and they should be hard-wearing. Implant-based treatment measures were not an option, as she wanted to avoid any additional surgical intervention. It was therefore decided to restore the upper jaw with a complete denture and the lower jaw with a partial model cast denture.
Treatment planning
Crafting a tooth replacement for a family member is always a special task for a dental technician; especially if, as in this case, said family member was the technician’s own grandma. This increases the challenge of a task that is already demanding (complete dentures). The goal was to create dentures that harmonize with the face of the patient in a naturally beautiful and discreet way. Functional and yet highly aesthetic dentures should be achieved.
Primary requirements of the patient on the dentures:
– Restored chewing function
– Improved phonetics
– Discreet integration of the dentures
– Individualized aesthetics
– Easy to clean
Figs: 1 and 2: Preoperative situation. The aesthetic and functional shortcomings are clearly visible on the baseline pictures.
Figs: 3: The anterior setup was tried in and the phonetic and aesthetic details adjusted as required.
Figs: 4 and 5: The teeth were set up on the models that were articulated in line with the jaw relation.
Fig: 6. The denture base was injection moulded and thenreduced to create space for creating soft tissue customisations.
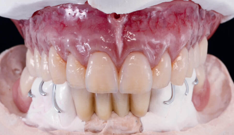
Figs: 7 and 8. The completed upper denture distinguishes itself through its characterizations with gingival composite and phonetically aligned teeth.
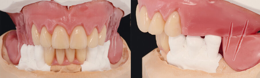
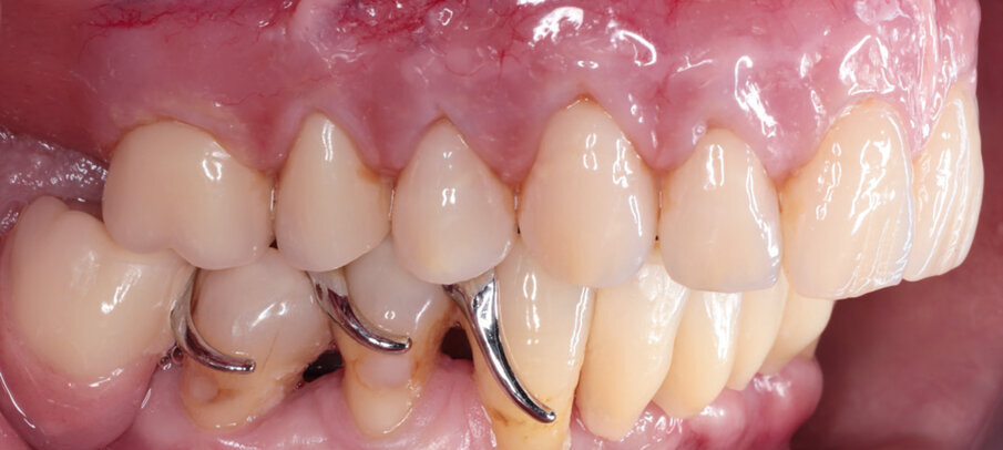
Fig: 9. Model cast denture in the lower jaw with an open periodontal design (self-cleansing).
Figs: 10. Completed dentures on the upper and lower jaw models.
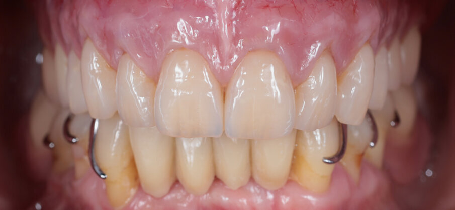
Figs: 11. Upper and lower dentures in situ. The customized pink and white esthetic effects make the dentures look very natural – the teeth look as though they have grown from the gums like natural teeth.
Figs: 12. Upper and lower dentures in situ. The customized pink and white esthetic effects make the dentures look very natural – the teeth look as though they have grown from the gums like natural teeth.
Figs: 13 and 14. View of the lips with inserted dentures in function.
Figs: 15 and 16. The patient with her dentures. New quality of life and stability
Anterior teeth and setup in the oral cavity
First, the teeth in the upper and lower jaw that could no longer be preserved were extracted and the extraction wounds were allowed to heal. After that, impressions of the oral situation were taken. The diagnostic casts were used to establish the arrangement of the upper anterior teeth. For this task, high-quality prefabricated denture teeth (SR Vivodent® S PE) were used. These moulds provide impressive individualized aesthetics for the anterior region. The expressive texture and internal stratification of the teeth lend an age-appropriate natural liveliness to the dentures. In addition, the teeth are made of a material that meets the requirements for durability, consisting of highly cross-linked DCL (Double Cross Linked) polymer. According to the manufacturer, the DCL polymer is a modified polymethyl methacrylate variant that offers higher compressive strength and better durability than conventional PMMAs – while the material’s flexibility is similar as that of conventional resins.
After the casts had been analysed, the teeth were set up according to the known parameters. Despite clearly defined aesthetic guidelines, it is crucial to check the setup on the patient and to adjust it as needed. The anterior setup was adjusted in the mouth of the patient to meet her individual aesthetic and phonetic requirements. The patient was instructed to perform various phonetic exercises and produce certain sounds so that her speech pattern could be observed. These observations were then used to adjust the arrangement of the teeth (Fig. 3). In this way, an ideal setup was achieved for the upper anterior tooth row.
Tooth setup
Master models were created on the basis of a mucostatic impression of the upper jaw. The models were then mounted on the articulator in a centric relation in line with the bite registration. The four anterior teeth in the lower jaw were set up to match the setup established in the oral cavity (Figs 4 and 5). In an intermediate step, a posterior try-in was performed with the help of wax rims to check the bite height defined in the oral cavity. Posterior setup was then performed accordingly. The teeth were set up in a one-tooth-to-two-teeth relation taking all the principles of complete denture prosthetics into account. The SR Orthotyp® S PE posterior moulds are also made from DCL polymer. The beautifully shaped tooth necks of the anterior and posterior moulds, modelled on nature, merit particular mentioning here. They facilitate the aesthetic conversion into composite because the shape imitates the appearance of solid teeth growing from the “gums”. A try-in of the setup in the oral cavity helped to verify the arrangement of the anterior teeth established in wax stage by stage.
Completing the dentures
A model cast framework was produced for the lower jaw. The dentures are locked into place in the mouth with the help of six clasps. If the patient should lose another tooth, the denture can be easily extended. Special care was taken to ensure that the model cast framework featured an open periodontal design to facilitate self-cleansing.
The SR IvoBase® system was used for transferring the maxillary wax-up into resin – a system that couples efficiency with reliability. The injection procedure offsets the chemical shrinkage of the resin during polymerization. High-strength PMMA-based IvoBase was used for the manufacture of the denture base. The waxed-up dentures were invested and the sprues attached. After the moulds had been cast and the wax boiled out from the plaster, the flask and the denture teeth were prepared for the application of the denture base material with the injection moulding technique. The predosed denture base material was mixed and filled into the injector together with the flask. The appropriate program was selected and the injection process started. The accuracy of fit on the plaster model was ideal on the first try; reworking was minimal.
A try-in of the setup in the oral cavity helped to verify the arrangement of the anterior teeth established in wax stage by stage. The patient was able to speak and laugh without any difficulty. She was pleased with her new set of teeth already at this stage.
Customising the denture base
The denture base was reduced – similar to a cut-back – for individual veneering to make the dentures look as discreet and natural-looking as possible (Fig. 6). The soft tissue (pink) aesthetics of the denture base could now be designed with a variety of shades to resemble the natural gums. With its comprehensive range of gingiva shades, the light-curing SR Nexco® lab composite is well suited for reproducing soft tissue characteristics. The material is easy to process due to its exceptional properties. It is optimally matched to the IvoBase denture base materials.
Generally, key anatomical features should be borne in mind when characterizing soft tissue parts to achieve a lifelike reproduction. For instance, keratinized gingiva has a light pink colour because less blood normally flows through it. By contrast, the mucogingival areas receive a far larger supply of blood (dark red) and are interspersed with fine blood vessels. Given the versatile range of gingiva shades, SR Nexco offers abundant possibilities for creating customised characterizations in these cases. The interplay of convex and concave surfaces in the area of the alveoli and subtle stippling effects lend three-dimensionality and depth to the gingiva and these characteristics were reproduced with the help of the paste-like materials. Although they looked already very natural, the anterior teeth were additionally slightly customised using SR Nexco – a step that in this case was motivated by the high aesthetic ambitions of the dental technician (who, just to remind you, is the grandson of the patient). Step by step, the complete upper denture was given a natural look with the help of the light-curing lab composites. Final polymerization was followed by mechanical polishing (Figs 7 and 8). The model cast denture for the lower jaw was also completed (Figs 9 and 10).
The result
The patient was impressed with her new upper and lower dentures right away. Once inserted, their natural and highly aesthetic effect became even more apparent (Figs 11 and 12). This effect can be attributed, among other things, to the micro- and macro-texture of the anterior teeth and the vibrant interplay of shades between the teeth and gingiva. The harmonious interaction between the white and pink aesthetics is impressive. With the dentures in situ, the functional, aesthetic and phonetic parameters were again verified (Figs 13 and 14). The preliminary work was worth it. The dentures met all the requirements. The patient was happy and relieved that her grandson had mastered the double challenge so well.
In her own words, she discovered a whole new zest for life (Figs 15 and 16). Her tooth replacements offer her a much more satisfying situation than her own “old” teeth did in the past few years. Not only is she able to speak and eat again without impediment but she can also laugh again with all her heart. She has received positive feedback from her circle of friends and acquaintances and that has encouraged her even more. My grandma’s quality of life has improved considerably and she feels much more positive about life. She is now interested in meeting up with friends again and become involved in the social life around her.
Summary
Processing technologies that enable restorative treatments customised to the needs of the individual patient are increasingly becoming established in complete denture prosthetics. For instance, digital methods allow the fabrication of solid“basic” dentures using relatively little effort. Alternatively, these basic applications can be supplemented with high-quality materials combined with – as cherry on top – a manual layering technique (gingiva) to create highly aesthetic results. Irrespective of economic aspects, the basic functional and static parameters always remain the same. Every complete denture ought to restore full functionality. Sound knowledge and experience in complete denture prosthetics provide the basis for achieving this.
Comparison of the IPS d.SIGN and IPS Style ceramic systems
Innovative, interactive and informative – this is a succinct description of the online version of this year’s International Expert Symposium (IES), ...
Exact reproduction of provisionals with IPS e.max Press Multi
A retrospective of Ivoclar Vivadent’s successful history. An Interview with Robert Ganley, Ivoclar Vivadent’s CEO 2003 – 2019.
Single-tooth restorations with Tetric CAD
The range of materials for PlanMill has been extended to include Tetric CAD and IPS e.max ZirCAD.
The Tetric CAD composite blocks and the IPS e.max ZirCAD ...
The layering concept using IPS e. max Ceram power materials
Dental technicians routinely produce monolithic crowns and partially veneered mandibular posterior bridges. As a result, they get very excited when ...
The Scientific Report on IPS e.max confirms the reliability of the system
Cervitec liquid from Ivoclar Vivadent now features an enhanced formula.
Live webinar
Thu. 14 May 2026
8:00 pm UAE (Dubai)
Live webinar
Thu. 14 May 2026
10:00 pm UAE (Dubai)
Prof. Hani Ounsi DDS PhD FICD
Live webinar
Tue. 19 May 2026
7:00 pm UAE (Dubai)
Live webinar
Tue. 19 May 2026
9:00 pm UAE (Dubai)
Prof. Dr. med. dent. Ivo Krejci
Live webinar
Wed. 20 May 2026
3:00 pm UAE (Dubai)
Dr. Graham Carmichael BDSc (Hons), DClinDent (Pros), FRACDS, Dr. Robert Gottlander DDS
Live webinar
Wed. 20 May 2026
5:00 pm UAE (Dubai)
Live webinar
Wed. 20 May 2026
9:00 pm UAE (Dubai)
Prof. Dr. med. dent. Tim Joda PhD, MSc, eMBA
To post a reply please login or register