Nature has always captivated us with its beauty. Whether it is a landscape, a sunset or the intricate details of a leaf, one marvels at natural aesthetics. The goal of an artist is to copy nature in every medium: painting, sculpture, music, photography. It is easy to see parallels in dentistry. The teeth and soft tissue display details on the macroscopic and microscopic scale that make up all their beauty. Even the smile has characteristics that define what is beautiful and what is not. Like an artist, the dentist and the dental technician use all their combined talents to create lifelike restorations. The secret to imitating nature is in the details of daily practice and hard work.
Fortunately for dental practices and laboratories, technology has advanced considerably, making the ability to imitate nature much more achievable while paving the way for new practical methodologies. Performing a single restoration on a central maxillary incisor is a challenge, both technically and artistically. Whether it is a filling, a crown or an implant, all the skills of the artistic dentist must come into play because the patient naturally expects a result symmetrical to the contralateral tooth. Using the latest technology, it is as simple as the copy and paste function one is so accustomed to using on a computer. The dentist has gone from being an artist to a computer scientist with the same optics: copying nature in all its perfection.
On the basis of a clinical case without the utilisation of an intra-oral scan, I will demonstrate a workflow with CAD/CAM technology. This will show that the ability to copy nature has now become accessible to all practitioners.
Preparation
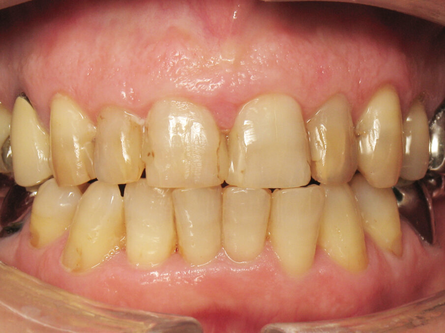
In this clinical case (Figs. 1 & 2), the patient wanted the aesthetic aspects of her smile to be improved without losing unique features she had come to consider as part of her look and personality. The maxillary anterior teeth showed caries and defective restorations, but their overall shape was satisfactory and they had a certain charm despite their defects. Although her premolars did not have an optimal aesthetic appearance, the patient’s budget limited treatment to the incisors and canines.
The first step was to take an impression of the preoperative oral condition. Although the dimensions and appearance did not conform to all the rules of dental aesthetics, they would be preserved because they had characteristics specific to the patient and they respected the occlusal dynamics. The impression of the teeth can be taken with an intra-oral scanner. However, the number of dentists who own intra-oral scanners is relatively low. The current materials allow for a satisfactory physicochemical impression and remain accessible to all dentists. A polyvinylsiloxane impression was performed in one step and two viscosities (V-Posil Putty Fast and V-Posil X-Light Fast, VOCO) to record the initial clinical situation (Fig. 3).
Temporisation
The second step was to prepare the provisional crowns by copying and pasting the patient’s teeth. After preparing the teeth, the impression is sent to the laboratory, which will scan and design the provisional crowns. Most CAD/CAM software possesses this copy and paste function (Fig. 4), so the scan and design processes take less than 1 hour. The six provisional crowns were then milled over the course of 1 hour and 30 minutes from a resin disc suitable for producing long-term provisional restorations (Structur CAD, VOCO; Figs. 5 & 6). Finishing the provisional crowns—checking the contact points, controlling the occlusion and polishing—required 30 minutes, allowing delivery of the crowns two days after taking the impression. The result obtained was strikingly natural (Fig. 7) thanks to the material’s aesthetic properties: natural shade, easy polishing and improvable with characterization. Concerning the form, the provisional crowns had an asymmetry that is found only in nature, being both spontaneous and pleasant. They were temporarily cemented in the mouth to validate the prosthetic project (Figs. 8 & 9). The material’s biocompatibility clinically allows for a three-year maximum period in which the crowns can be worn, making it a material perfectly suited for complex cases, or those requiring periodontal rehabilitation. The material’s composition provides not only excellent resistance to abrasion, but also the possibility of repair with a compatible composite. In this clinical case, the provisional crowns were kept in the mouth for one week—the time needed to prepare the definitive restorations. No defects were observed.
Fig. 1: Initial situation, smiling.
Fig. 2: Initial situation, frontal view with lips retracted.
Fig. 3: V-Posil impression.
Fig. 4: Screenshot of the design software.
Fig. 5: Structur CAD disc.
Fig. 6: Screenshot of the nesting software.
Fig. 7: Structur CAD provisional crown.
Fig. 8: Try-in of provisional crowns.
Fig. 9: Smile with provisional crowns.
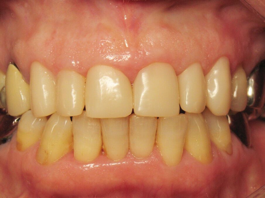
Fig. 10: Porcelain crowns luted with Futurabond DC and Bifix QM (VOCO).
Finalisation
During the last stage, after the functional and aesthetic validation of the provisional crowns, definitive porcelain crowns (IPS e.max, Ivoclar Vivadent) were milled also by copying the preoperative situation from the original scan. The provisional crowns were then removed, and the underlying teeth were cleaned. After fitting and validation within the mouth, the definitive crowns were luted (Futurabond DC and Bifix QM, VOCO; Fig. 10). The final result was a harmonious smile that did not distort the features the patient considered to be an important part of her facial personality (Fig. 11).
Discussion
Therapeutic success is measured by dental and periodontal health, as well as by patient satisfaction and feedback from the healthcare team. The skills of a caregiver are not limited to making the right diagnosis or defining the ideal treatment plan; technical skills are essential and mimicking nature is a daily challenge.
Dentistry has come a long way with the introduction and implementation of digital technologies, becoming faster and more precise as a result. These tools are becoming increasingly popular, and many practitioners are quickly equipping their offices and operatories. Contrary to what one might think, the acquisition of an intra-oral scanner for the office is not an absolute obligation for one to take advantage of the digital dentistry revolution. Digital dentistry, above all, is a concept and we have just seen that it allows for an unsuspected and perhaps surprising function: copy and paste.
“Technology is making significant progress in dentistry, it is up to us to appropriate it”
The advantages of copying and pasting are numerous and benefit everyone involved: dentist, dental technician and patient. For the dentist, the main advantage of copying and pasting is obtaining an intuitive result. On the one hand, the current materials (composite and porcelain), allow for a natural rendering. On the other hand, digital technology makes it possible to copy nature with all of her details. The use of computer-generated provisional restorations makes it possible to validate complex or demanding projects. In the end, restorations are both functional and aesthetic. They integrate perfectly with the occlusion because no major changes have been made. In addition, they integrate with the overall harmony of the face.
For the dental technician, the copy and paste function is part of his or her skill set. On the one hand, the laboratory scanner can capture every detail of the dental arch. On the other hand, milling machines can deliver strictly identical crowns over and over again as needed. The milling of a provisional disc or block will therefore validate the therapeutic project before moving to more expensive materials such as zirconia or lithium disilicate. In the same way, if returned to the laboratory, the cost will be lower by using a millable temporary resin. After provisional crowns are validated, the dental technician only needs to press a button to start producing the definitive crowns in the desired material.
For patients, digital dentistry is an education on just how far dentistry has evolved: technological advancements in clinical procedures are replacing many of those treatments of their bad childhood memories. It is now possible for the patient to reclaim the smile of his or her twenties. Better still, it is possible to copy the child’s juvenile smile and place it in the deteriorated dental arch of the father. The smile will become a legacy that will be passed down through families.
Conclusion
Technology is making significant progress in dentistry, it is up to us to appropriate it. The emergence of new tools, such as intra-oral scanners, and unique new materials, like millable temporary resins, makes it possible to develop new therapeutic concepts and procedures. Copying and pasting is now a part of the dentist’s, and dental technician’s, therapeutic armamentarium. A copycat is an artist who tries to capture nature in all its glory through painting. Now, a copyCAD is an artist who can capture nature in all its perfection through CAD/CAM technology.
Acknowledgements: The author wishes to thank Matthias Mehring of VOCO for his friendly support and support with materials. The author congratulates French certified dental technician Christophe Giraud for his talent and skills. The author is grateful to Tom Kershaw and Russ Perlman of VOCO America for proofreading and improving this article.
Editorial note: This article was published in digital―international magazine of digital dentistry, Vol 1., Issue 1/2020.
Tags:
To post a reply please login or register