Fig 1: Pre-operative macro view of patient smile
Fig 2: Pre-operative retracted view
Fig 3: Smile after removal of old restorations
Fig 4: Retracted view after removal of old restorations
Fig 5: Digital Smile Design
Fig 7 : Direct mock-up to assess occlusion and obtain patient approval
Fig 8 : Silicone Index fabricated with putty impression material
Fig 9 : index with incisal wrap to help duplicating the thickness of the incisal edge
Fig 10: Direct placement technique for shade selection
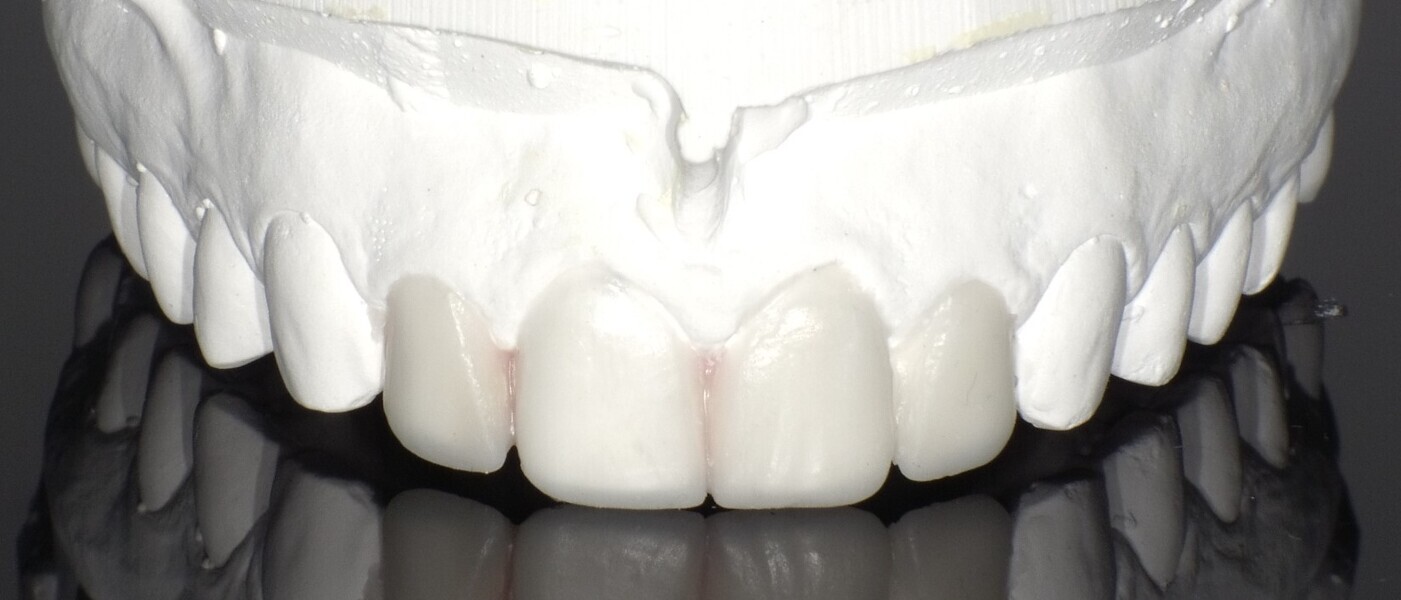
Fig 11 : Final recipe of shades for the restoration
Fig 12 : Shade confirmation using the Isolate Shade Mode of EyeSpecial CII camera
Fig 13: Shofu EyeSpecial camera
Fig 14: Natural aesthetics achieved with direct veneers
Fig 15: Patient smile post treatment