Traditionally cosmetic dentistry was a term associated with the placement of crowns and veneers in the aesthetic zone, with many dentists adopting an aggressive preparation approach in order to facilitate the placement.
Advances in cosmetic orthodontics and digital dentistry, coupled with a change in mindset towards prioritising the preservation of tooth structure has lead to many patients presenting for a cosmetic solution for their smile to undergo a multi-disciplinary approach.
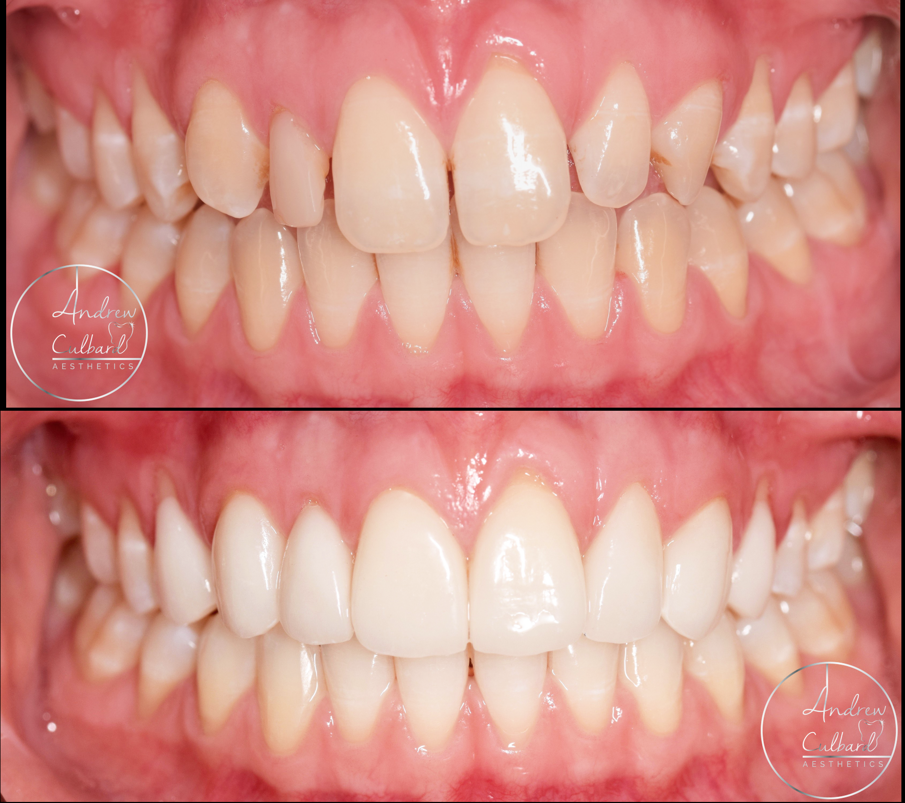
The Patient, a 21 year old female presented for cosmetic improvement of her teeth. In her own words, she wanted a wider and brighter smile with bigger teeth.
Clinically the following issues presented:
1. Peg laterals and canines in the upper arch, with a generally anaesthetic tooth morphology throughout
2. Spaced upper arch with a lack of symmetry and some minor rotations on the canines
3. Lower arch had mild crowding
4. Starting shade was A3
5. The gingival zeniths were uneven, with some recession and a lack of keratinized tissue.
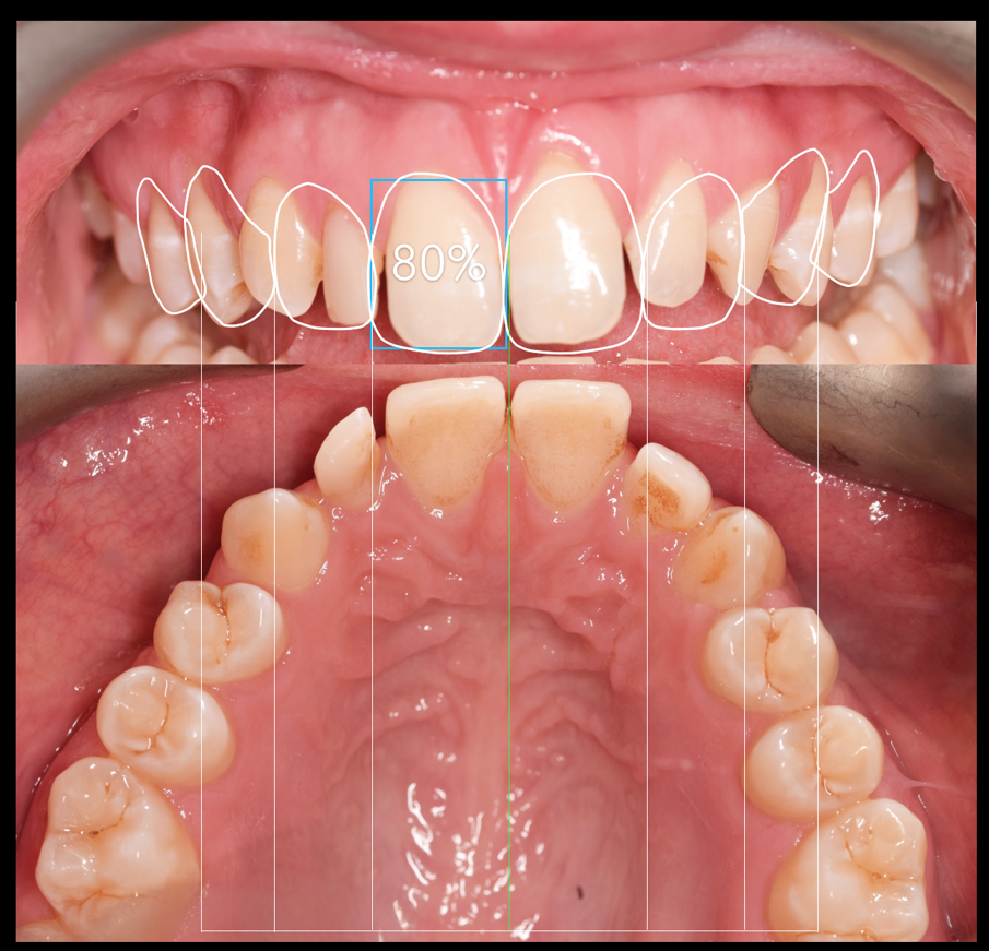
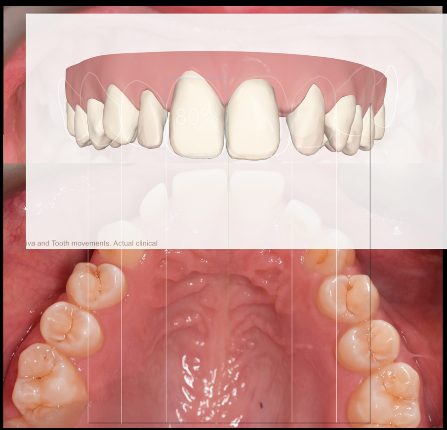
A treatment plan was constructed based on a facially driven smile design, with calibrated images measured against the invisalign clincheck software. The benefit to using a digital system here was to allow for accurate positioning of the anterior teeth for minimal preparation and the ideal restorative outcome. (Figs. 1a-f)
A 7 week invisalign programme allowed for enough movement in the upper arch, while resolving the mild crowing in the lower arch. The final tooth position can be seen in figure 1f.
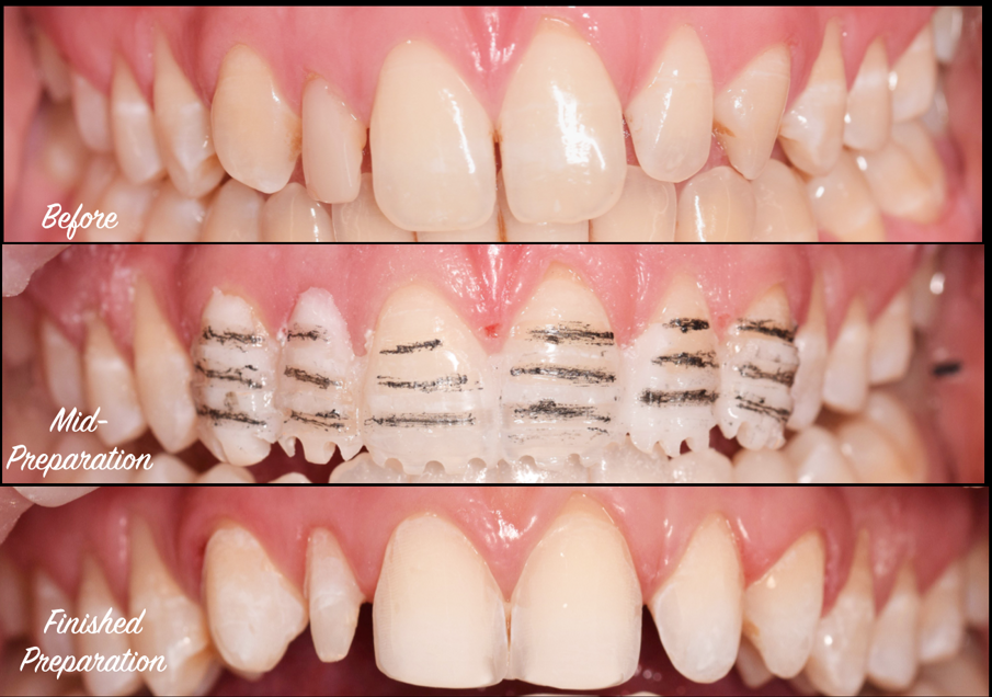
Post-ortho provisional retention was implemented with removal essix retainers which were used for home whitening of the upper and lower teeth. A final shade of BL3 was achieved, after 10 days of rehydration. In this time the lab created a diagnostic wax up guided by the smile design. A putty matrix was used to transfer the wax up to a trial smile (Fig. 2).
Once the trial smile was approved by both patient and dentist, the acrylic was used as a guide for crown lengthening on the UR2, and then as a preparation guide for the APT technique (Fig. 3a-d).
The final restoration from UR4- UL4 were created from pressed Emax and cemented using Variolink LC neutral. Finally, definitive essix retainers were constructed for retention.
By Dr Simona Chirico, Prof Massimo Mario Gagliani, Italy
The endodontic treatment of severely compromised teeth and their restoration represent an everyday ...
Digitalisation is the most revolutionary change in human existence of all time. It will have a more fundamental impact on our daily lives than the ...
Over the past decade, there has been a notable surge in the use of clear aligners, and their benefits and advantages have been extensively documented. ...
Dental Tribune MEA had the pleasure of speaking with Dr. Federico Emiliani and Dr. Roberto Turrini about their latest book, Black and White. This insightful...
Dubai, UAE: The field of orthodontics is constantly evolving with advancements in technology, and one of the most highly anticipated events in the region is...
CAPP Tipton Dental Academy and The British Academy of Restorative Dentistry (BARD) welcomed two groups of dentists from 18 different countries to Module 2 ...
As an oral surgeon and prosthodontist specialising in full-mouth rehabilitation, I have consistently sought to integrate advanced technologies into my ...
Dubai, UAE: Align Technology, Inc. a leading global medical device company that designs, manufactures, and sells the Invisalign system of clear aligners, ...
DOHA, Qatar: Virtual reality (VR) is rapidly gaining ground in dental training, particularly for restorative dentistry. A new bibliometric study from a team...
The collaborative efforts of the Kuwaiti Orthodontics Society (KOS) and the Center for Advanced Professional Practices (CAPP) lead to highly successful 1st ...
Live webinar
Thu. 14 May 2026
8:00 pm UAE (Dubai)
Live webinar
Thu. 14 May 2026
10:00 pm UAE (Dubai)
Prof. Hani Ounsi DDS PhD FICD
Live webinar
Tue. 19 May 2026
7:00 pm UAE (Dubai)
Live webinar
Tue. 19 May 2026
9:00 pm UAE (Dubai)
Prof. Dr. med. dent. Ivo Krejci
Live webinar
Wed. 20 May 2026
3:00 pm UAE (Dubai)
Dr. Graham Carmichael BDSc (Hons), DClinDent (Pros), FRACDS, Dr. Robert Gottlander DDS
Live webinar
Wed. 20 May 2026
5:00 pm UAE (Dubai)
Live webinar
Wed. 20 May 2026
9:00 pm UAE (Dubai)
Prof. Dr. med. dent. Tim Joda PhD, MSc, eMBA
To post a reply please login or register