To assess the usability of pig jaws periodontal treatment model for low abrasive air polishing and to histologically gauge the effect of various instrumentation techniques.
Material and methods
- From 120 Pig mandibles, the buccal part of one molar was chosen randomly and fixed in a way allowing controlled instrumentation.
- Four modes of instrumentation were evaluated.
Group A: Low Abrasive airpolishing using glycine of 25 μm (EMS Perio Powder, EMS, Nyon, Switzerland).
Group B: Low Abrasive airpolishing using erythritol powder of 14 μm EMS PLUS Powder, EMS, Nyon, Switzerland).
- EMS Air Flow Master was used with a standard handpiece at a distance of 5mm to the gingival tissue in a continuously sweeping way for 5 s like subgingival biofilm removal
Group C: Piezoceramic scaling using Perio Slim PS instrument (EMS)
- EMS Piezon Master was used at medium power and water setting
- The instrument was kept parallel to the root surface at a pressure of approx. 1 N for 10 s
Group D: 7/8 Gracey Curette (Deppeler, Rolle, Switzerland)
- Five strokes of curette applied with a pressure of approximately 3 N
Group E: Untreated biopsy samples served as negative control
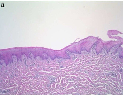
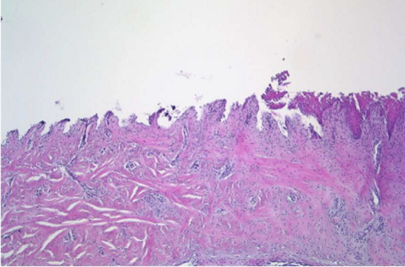
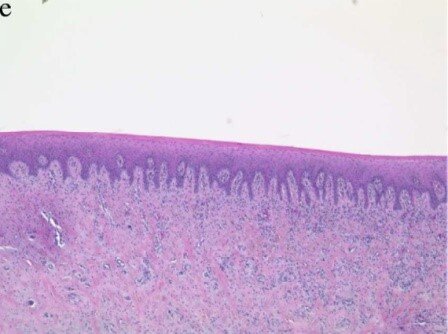
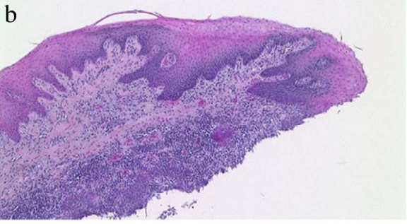
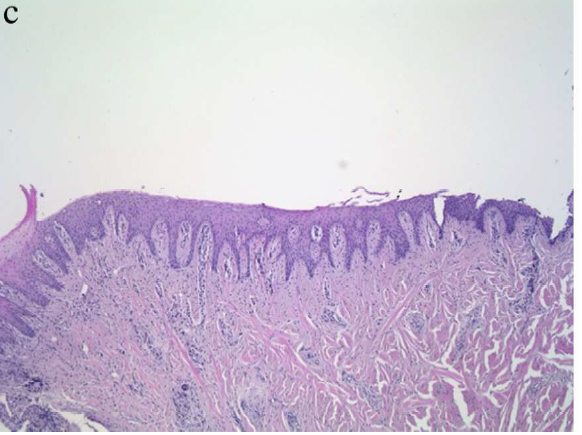
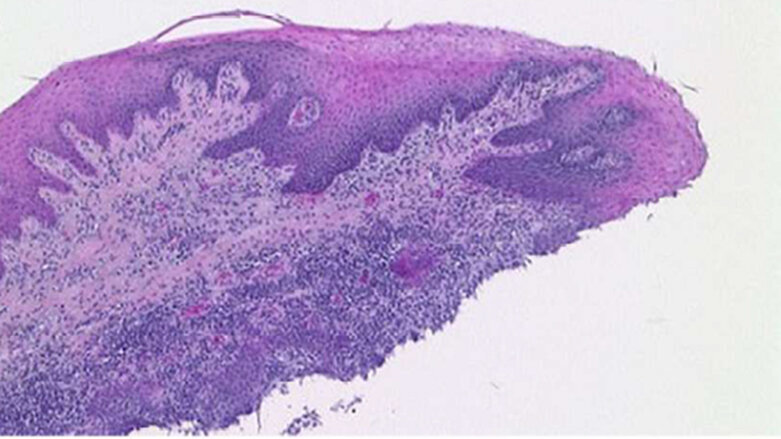
- Following instrumentation, the soft tissue alongside the tooth was removed and graded.
1 - No lesion: undamaged epithelium and connective tissue
2 - Minor lesion: disruption of superficial epithelial layers, undamaged basal membrane
3 - Medium lesion: superficial layers of the epithelium removed, basal membrane partially damaged
4 - Severe lesion: epithelium and basal membrane completely removed, connective tissue exposed
Results
- Hand instrumentation had the most pronounced damage
- Hand instrumentation and ultrasonic scaling caused higher tissue destruction than both airpolishing powders
- Ultrasonics was slightly less traumatic than hand instrumentation with no statistically significant difference
- Between the low abrasive airpolishing powders, glycine showed slightly lesser destruction, however, no statistically significant difference was observed between glycine and erythritol
- The porcine model is apt for use in histological evaluation
Conclusion
- Pig jaws could be used to assess the histological effects of different instrumentations on periodontal tissues before conducting studies on humans
- Low abrasive airpolishing powders had an overall low potential of soft tissue damage and could be used safely to remove biofilm subgingivally.
Dental Tribune MEA had the pleasure to interview Markus Sebastian, SVP and MD of Align Technology EMEA, during his recent visit to Dubai, United Arab ...
BRUSSELS, Belgium: More than a year into the COVID-19 pandemic, its seismic impact on different elements of the dental profession is becoming clearer. In ...
During the CAPP Live Stream Dental Meeting last April, acting moderator of the online conference, Dr Çagdas Kislaoglu interviewed Dr Christian Coachman on ...
Grzesik et al. suggested that cementum plays an important regulatory role in periodontal regeneration. One of the major goals of periodontal treatment is ...
The variety of toothpastes available means that many patients choose a brand based on how effective it is at targeting some of the most common dental ...
The Lebanese Orthodontic Society (LOS) is one of the oldest dental societies in the Middle East. Kinga Mollov from Dental Tribune Middle East & Africa had ...
It is well established that caries levels in industrialized nations have decreased over the last few decades with the greatest reductions occurring on the ...
To make the wait for ROOTS SUMMIT 2024 a little sweeter, the organisers would like to spotlight some of the speakers for next year’s edition, which will ...
Head and neck cancer may have drastic, long-lasting consequences, and dental professionals can play a crucial role in the patient’s treatment plan. Dental...
The aim of this study was to compare the glide path preparation times of stainless steel hand files, PathFile® (Dentsply Sirona), and the WaveOne® Gold ...
Live webinar
Thu. 14 May 2026
8:00 pm UAE (Dubai)
Live webinar
Thu. 14 May 2026
10:00 pm UAE (Dubai)
Prof. Hani Ounsi DDS PhD FICD
Live webinar
Tue. 19 May 2026
7:00 pm UAE (Dubai)
Live webinar
Tue. 19 May 2026
9:00 pm UAE (Dubai)
Prof. Dr. med. dent. Ivo Krejci
Live webinar
Wed. 20 May 2026
3:00 pm UAE (Dubai)
Dr. Graham Carmichael BDSc (Hons), DClinDent (Pros), FRACDS, Dr. Robert Gottlander DDS
Live webinar
Wed. 20 May 2026
5:00 pm UAE (Dubai)
Live webinar
Wed. 20 May 2026
9:00 pm UAE (Dubai)
Prof. Dr. med. dent. Tim Joda PhD, MSc, eMBA