Proper monitoring and maintenance are essential to ensure the durability and health of a dental implant.
The long-term success of implants is fundamentally dependent upon both the patient’s maintenance of effective home care and on the dental team’s administration of professional prophylaxis procedures in the dental office.
Implant maintenance care programme
Proper monitoring and maintenance are essential to ensure the durability and health of a dental implant. Following the completion of the surgical and prosthetic procedures in implant therapy, it is imperative to inform the patient about how to carry out selfperformed infection control procedures.
The long-term success of implants is fundamentally dependent upon both the patient’s maintenance of effective home care and on the dental team’s administration of professional prophylaxis procedures in the dental office10.
Professional infection control procedures are necessary to achieve long-term success of our implant treatments6 and include the removal of hard and soft bacterial deposits on implant and suprastructure components with scalers.
Great care and caution should be practiced when cleaning the dental implant and the instruments to be used should ideally be capable of removing efficiently the bacterial deposits without altering the implant surface, the implant components and the surrounding tissues7, 12.
In this context, it is imperative to highlight that deep instrumentation, such as “subgingival debridement” that normally is performed around teeth, is not recommended in non-surgical treatment of peri-implant disease. The reason for this difference in strategy is related to the geometry of the implant device with its threaded part and other obstacles to access. The risk of causing injury to the inflamed tissues when performing “blind” instrumentation must be emphasised.
Debridement of implant surfaces
Hand curettes of different materials have been proposed as instruments for removing bacterial deposits of the supra- and subgingival peri-implant areas.
Among these instruments, plastic, carbon fiber, stainless-steel and titanium curettes are included. Some studies have been performed to evaluate these different materials regarding to their cleaning efficacy and potential of alteration of the implant surface and prosthetic component, which could affect its biocompatibility, biofilm formation and therefore the implant longevity3, 4, 8.
Effects of hand instruments on the implant surface
SEM investigation of instrumented titanium implant surface shows significantly less scratching caused by titanium curettes compared to other commonly used metal curettes and sonic insert9.
Benefit of the titanium implant scalers
- Efficient removal of the bacterial deposits11, 13.
- Gentle on titanium implant surfaces.
- Unlike plastic scalers, titanium scalers don’t leave contaminants on the treated implant surface8.
To avoid alteration or scratching of the implant’s surface, the practitioner should use very light pressure, approximately 30 grams, during maintenance scaling procedures.
Hu-Friedy titanium implant scaler & curettes
The new Hu-Friedy Titanium Implant Scalers are expertly designed and manufactured for implant maintenance, debridement, biofilm removal and can be used both supra- and sub-gingival.
- Improved visual acuity and enhanced contrast to the abutment surfaces with Hu-Friedy’s signature teal-colored anodized titanium
- Optimized sharpness with cutting edges that are finely honed and sharpened post anodization process
- Made from the same titanium alloy as implants and abutments, the working ends are gentler on these delicate surfaces than stainless steel.
- Increased instrument value with the ability to be sharpened at any time.
The new line of Titanium Implant Scalers proposes a range of titanium curettes with different shape and profile in order to address all kind of clinical situation.
The Titanium Implant Scalers kit includes:
When should Hu-Friedy implant scaler and curettes be used?
During Maintenance
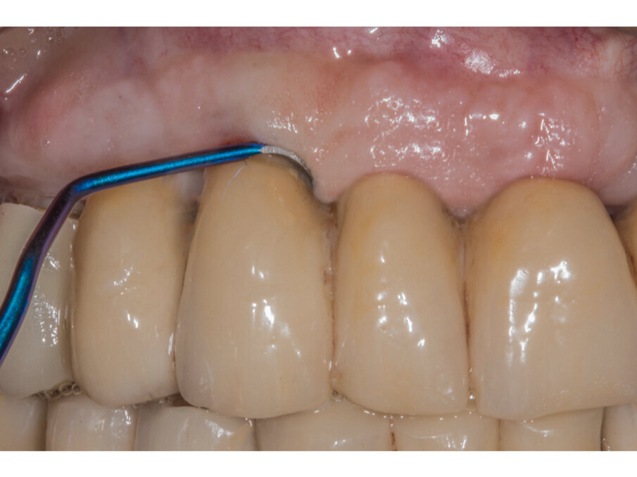
During the maintenance visit, all surfaces that can accumulate deposits and harbor bacteria are cleaned, scaled and polished thoroughly. These surfaces include the prosthetic suprastructure, the prosthetic abutment-to-implant collar connection and sometimes implant body.
Attention and care are required from the clinician during instrumentation and cleaning of these surfaces in order to prevent any damage of the delicate peri-implant biological seal. Upon insertion of the instrument, the blade will be placed close against the abutment and then opened past the deposit. With a light pressure, a vertical, horizontal, semi-circular or oblique stroke will then be applied to remove all hard and soft bacterial deposits. After removing bacterial plaque and calculus from the abutment or implant, the surface can be polished with rubber cups to prevent additional plaque accumulation14.
During non-surgical treatment of peri-implant mucositis and initial peri-implantitis
All subjects who present any signs of peri-implant disease should be thoroughly informed about the disorder and instructed on how to carry out self-performed infection control.
Whether the disease is mucositis or peri-implantitis, the initial phase of therapy must always include professional infection control procedures. The main objective is to remove peri-implant biofilm and calculus with scalers, without altering the implant surface, with the goal of re-establishing a healthy peri-implant mucosa5.
The treatment of peri-implantitis requires often but not always surgery. The purpose of surgical therapy is to provide access for debridement and decontamination of the implant surfac1, 2.
Whenever possible, the supraconstructions are removed to facilitate the accessibility around the diseased implants.
During surgical treatment of peri-implantitis
Following local anesthesia, full-thickness flaps are elevated on the buccal and lingual aspects of affected implants. Inflamed tissue is removed, and titanium-implant curettes are used to remove hard deposits on implants. The implant surfaces are then decontaminated with saline for 2 min. Osseous recontouring is performed when indicated, and flaps are adjusted and closed with single interrupted sutures1.
References
- Carcuac O, Derks J, Charalampakis G, Abrahamsson I, Wennström J, Berglundh T. Adjunctive Systemic and Local Antimicrobial Therapy in the Surgical Treatment of Peri-implantitis: A Randomized Controlled Clinical Trial. J Dent Res. 2016 Jan;95(1):50-7.
- Carcuac O, Derks J, Abrahamsson I, Wennström JL, Petzold M, Berglundh T. Surgical treatment of peri-implantitis: 3-year results from a randomized controlled clinical trial. J Clin Periodontol. 2017 Dec;44(12):1294-1303.
- Dmytryk JJ, Fox SC, Moriarty JD. The effects of scaling titanium implant surfaces with metal and plastic instruments on cell attachment. J Periodontol. 1990 Aug;61(8):491-6.
- Fox SC, Moriarty JD, and Kusy RP,“The Effects of Scaling a Titanium Implant Surface With Metal and Plastic Instruments: An in Vitro Study”, J Periodontol,August 1990, Vol. 61, No. 8, Pages 485-490.
- Heitz-Mayfield LJ, Salvi GE, Botticelli D, Mombelli A, Faddy M, Lang NP. Anti-infective treatment of peri-implant mucositis: a randomised controlled clinical trial. Clin Oral Implants Res 2011: 22: 237–241.
- Heitz-Mayfield LJ. (2008) Peri-implant diseases: diagnosis and risk indicators. Proceedings from the 6th European Workshop on Periodontology. Journal of Clinical Periodontology, (Suppl), 35, 292-304.
- Hultin M, Komiyama A, Klinge B. Supportive therapy and the longevity of dental implants: a systematic review of the literature. Clin Oral Impl Res. 2007 Jun;18(3):50-62.
- Mann M, Parmar D, Walmsley AD, Lea SC. Effect of plastic-covered ultrasonic scalers on titanium implant surfaces. Clin Oral Implants Res. 2012;23(1):76–82.
- Mengel R, Buns CE, Mengel C, Flores-de-Jacoby L. An in vitro study of the treatment of implant surfaces with different instruments. Int J Oral Maxillofac Implants. 1998 Jan-Feb;13(1):91-6.
Editorial note: A list of references can be obtained from the publisher.
HuFriedyGroup has come together to provide the best dental experience to the industry. Our unique combination of products, services, and support enables ...
Dentistry has always been a taxing profession both on the mind and the body. And dentists and hygienists who scale by hand instead of using ultrasonics may ...
Live webinar
Thu. 14 May 2026
8:00 pm UAE (Dubai)
Live webinar
Thu. 14 May 2026
10:00 pm UAE (Dubai)
Prof. Hani Ounsi DDS PhD FICD
Live webinar
Tue. 19 May 2026
7:00 pm UAE (Dubai)
Live webinar
Tue. 19 May 2026
9:00 pm UAE (Dubai)
Prof. Dr. med. dent. Ivo Krejci
Live webinar
Wed. 20 May 2026
3:00 pm UAE (Dubai)
Dr. Graham Carmichael BDSc (Hons), DClinDent (Pros), FRACDS, Dr. Robert Gottlander DDS
Live webinar
Wed. 20 May 2026
5:00 pm UAE (Dubai)
Live webinar
Wed. 20 May 2026
9:00 pm UAE (Dubai)
Prof. Dr. med. dent. Tim Joda PhD, MSc, eMBA
To post a reply please login or register