Highly esthetic and high-strength monolithic IPS e.max CAD restorations
IPS e. max CAD has had a lasting impact on the dental market over the last decade. The clinical reliability of hardly any other dental material has been so well documented. Highly esthetic and high-strength monolithic IPS e. max CAD restorations have become an alternative to metal ceramics and offer a comparable survival rate.
Introduction
As dental CAD/CAM systems have become established in dentistry, the vision of producing indirect restorations in the dental practice has become reality. An intraoral 3D camera for digital impression-taking, an intuitive design software and a numerically controlled milling machine are the technologies that enable restorations to be created onsite in a short time compared to manufacturing in the dental lab. In addition to the time advantage, the digital method has also the benefit of saving resources, such as impression materials. Furthermore, the need for temporary restorations is eliminated.
Note: Adhesive bonding achieves the best values if it is performed immediately after tooth preparation.
Requirements placed on materials for chairside manufacturing
The technical prerequisites go hand in glove with materials that are suited for chairside manufacturing. Such materials should be strong enough to withstand a lifetime of use. However, very strong materials are difficult to process in a milling unit, especially since onsite manufacturing processes are expected to take only a short time. Furthermore, the material should also exhibit a tooth-like appearance in accordance with a certain esthetic sensibility. Onsite fabrication methods are not conceived for elaborate enhancements, such as ceramic veneers. The term “monolithic restoration” has become established in this context. This term describes a material that meets the requirement for adequate esthetic integration straight away, without necessitating any reworking. Furthermore, the materials should offer good conditions for adhesive bonding, especially as ever more tooth-preserving preparation techniques are preferred (Table 1)
Table 1
| Basic requirements for chairside materials |
- Good resistance to oral conditions
- High strength
- Easy and fast machining in the milling unit
- Tooth-like aesthetic characteristics |
Historical review
The beginnings of CAD/CAM fabricated chairside restorations can be traced back to a certain feldspar glass-ceramic. The first attempts of the CEREC era began with the Vita Mark I blocks. The material was further developed and for a long time, Vita Mark II was considered the sole standard for processing restorations onsite. The material was relatively easy to grind and polish and was capable of fulfilling the esthetic requirements well. With a flexural strength of 120 MPa, its field of application was, however, limited. Adhesive cementation was indispensable to ensure a durable stability. By today’s standard, relatively high minimum thicknesses were required, resulting in a correspondingly high removal of tooth structure and, at times, unfavourable geometries in the design of the cavities. The introduction of the ProCAD blocks (1998) did not bring the decisive breakthrough either. This material was based on leucite-reinforced glass-ceramic and featured a flexural strength of 140 MPa. The blocks are still available in an optimized version as IPS Empress® CAD or as IPS Empress CAD Multi blocks (185 MPa) to this very day. Although these materials produced good to very good longterm clinical results, they always entailed a risk for failure in the form of fractures.
Introduction of IPS e.max CAD
A new category of glass-ceramic materials brought about the decisive improvement in 2005: lithium disilicate. This material was instrumental in establishing CAD/CAM systems for chairside applications. Ivoclar Vivadent launched the IPS e.max® CAD material on the market. Initially, it was available in MO blocks (Medium Opacity) with a relatively high opacity. These blocks were designed for the veneering technique (Fig. 1). This meant that this material was, in the main, inappropriate for chairside applications. However, this is not where the story ends: Initial experiences showed that the material was dotted with excellent optical properties. In addition, the manufacturing technology made the material attractive for use in the dental practice even if it required a crystallization process of approx. 30 minutes. Above all, it was the flexural strength of 360 MPa, which was clearly superior to all materials used in this segment so far. Soon we began to use the IPS e.max CAD MO blocks for creating monolithic restorations, especially for crowns, even if originally this was not the intended use of the material (Figs 2 to 3).
IPS e.max CAD and its levels of translucency
Driven by the excellent optical properties, users urged the manufacturer to increase the translucency of the blocks and to enable the fabrication of monolithic restorations. Ivoclar Vivadent responded by introducing IPS e.max CAD LT in 2007 (Figs 4 to 11). LT stands for Low Translucency. These blocks ensured results that met a high esthetic standard, particularly when used in conjunction with the accompanying IPS e.max CAD Crystall./Shades and Stains characterization materials. With its user-friendly and compact design, the Programat CS (2007) furnace facilitated the applications at chairside. On the one hand, the LT blocks were sufficiently translucent to mimic the characteristics of the natural tooth structure and, on the other, they were sufficiently opaque to mask “problematic” substrate. Even today, this material may still be called a universal ceramic. Nonetheless, it may be regarded as a step forward that another level of translucency was launched in 2009: These were the HT blocks (High Translucency) (Figs 12 to 15). If used in combination with an appropriate luting material, this blocks allowed the shade of the substrate to be integrated into the overall optical effect of the restoration. This meant that partial crowns and veneers could now be created with ease directly onsite in a single visit. The trend towards ever less invasive procedures led to the introduction of still another variant of IPS e.maxCAD: the Impulse materials (2011). Impulse Opal O1 and O2 are ideal for fabricating monolithic restorations with the aim to reproduce dental enamel. Outstanding results can be achieved with comparatively minimal effort. As many users had difficulty in classifying the Impulse blocks appropriately in the product portfolio, some parts of the assortment were taken over into the recently created category MT (Medium Translucency, 2015). The IPS e.max CAD materials of the medium translucency category are mainly used to improve brightness values. Altogether, five different levels of translucency are available today. With this “toolkit”, monolithic restorations offering an utmost level of esthetics can be accomplished in a variety of clinical situations. The Shade Navigation App assists in selecting the correct translucency. In a few easy steps, this app provides useful recommendations on the selection of the correct blocks.
Range of indications for chairside applications
The range of indications for IPS e.max CAD evolved in tandem with the provision of the blocks. The LT variant is the first choice for crowns and indications that involve “problematic” substrates. Larger blocks enable the onsite fabrication of bridges (up to the second premolar as the terminal abutment). In this case, the processing time is longer than for single-tooth restorations. With the HT variant, inlays, onlays and partial crowns can be manufactured to a high esthetic standard.
At IDS 2017, Ivoclar Vivadent launched the IPS e.max CAD 530 MPa initiative. Eleven years of continued quality testing have shown that IPS e.max CAD provides actually a mean biaxial flexural strength of 530 MPa. This is also reflected in the consistently positive results of many scientific studies on the survival rate of IPS e.max CAD restorations (literature). In view of the consistent further development and favourable longterm clinical results, the minimum thicknesses recommended for adhesively cemented IPS e.max CAD crowns have been reduced to thinner dimensions. This means that preparing the teeth is easier and more tooth structure can be preserved. It also allowed the range of indications to be extended to include occlusal veneers, which have come to play a key part in raising the bite in the posterior region. Since the introduction of the optically brilliant Impulse blocks (Figs 16 to 21) and the MT materials (Figs 22 to 26), IPS e.max CAD has barely been rivalled for strength and esthetics in the fabrication of veneers and partial anterior crowns.
In 2013, abutment blocks made of IPS e.max CAD were launched. These blocks are cemented to an adhesive base (Ti base) (see Figs 31 and 32). Thus, it has become possible to create single-component monolithic restorations, which are referred to as hybrid abutment crowns. The chairside production of such crowns is realistic and has established itself as a standard among CAD/CAM users for fabricating implant-supported single-tooth restorations in the posterior region.
Typical workflow
Preparation is mostly minimally invasive due to the high strength of the material. There are no differences with other types of restorations when it comes to optical impression-taking and computer-assisted design. The differences only become noticeable during processing in the milling and grinding machine. Lithium disilicate is a material that cannot withstand unlimited forces. Gentle processing is essential. The grinding process for a typical posterior crown takes on average 15 minutes if an MC XL milling unit is used (Dentsply Sirona). The precision can be increased by using the extra fine processing option. The processing time doubles with this option.
The future lies in the use of new technologies. The PrograMill One milling and grinding machine will deliver significantly better results in less time as it incorporates innovative new technology. For instance, the 5-axis turn-milling technology (5 XT) uses a robotic arm, rather than a milling motor, to move the workpiece. This enables a consistent milling and grinding procedure with many degrees of freedom and increased levels of accuracy. Only a minimal amount of reworking is required after the machining process. As the material is considerably easier to process when it is in its pre-crystallized blue state, corrections should be implemented directly at the grinding stage. A try-in can be performed before the crystallization process is carried out if the restoration is machined onsite (Figs 27 to 29).
Crystallization is a mandatory step in the IPS e.max CAD workflow. The restoration is secured on a special firing tray with the help of support pins and firing auxiliary paste (IPS Object Fix). Polishing is basically possible. However, it is also possible to apply a spray glaze or glazing paste. Individualized shade characterizations can be created with IPS e.max CAD Crystall./Shade/Stains materials at the same time as the glaze is applied. The crystallization process takes 15 minutes in the best case when using the spray glaze (speed crystallization), otherwise it takes 25 minutes. Developed specifically for the chairside method, the Programat CS furnaces (e.g. the new Programat CS4 universal furnace) provide optimum results in the shortest possible time and are therefore a sensible recommendation (Figs 30 to 34).
Thanks to the high strength of the material, several options are available for seating the restorations. Adhesive bonding should always be the preferred method. Conventional cementation is also possible but requires a retentive preparation pattern, which is considered outmoded by today’s standard.
Monobond® Etch&Prime (etching and silanating in a single step) can be used for conditioning the ceramic. Which kind of cementation is used depends on the clinical situation. Posterior crowns can be seated quickly and easily using the self-adhesive SpeedCEM® Plus. For higher esthetic requirements, Variolink Esthetic should be employed. This material is available in a dual-curing and purely light-curing version. More information and guidance is provided by the Cementation Navigation System (CNS).
Fig. 1: IPS e.max CAD has had a lasting impact on the dental market over the last decade.
Fig. 2: Veneered and non-veneered MO restorations were evaluated and compared with each other in this case. Although IPS e.max CAD MO is typically a framework material, the differences between the two restorations are not at all that noticeable.
Fig. 3: Monolithic MO crown in situ
Fig. 4: Defective restorations in the upper posterior region in urgent need of repair
Fig. 5: Preparation with the gums in critical conditions
Fig. 6: The CEREC software V3.8 did not yet allow entire quadrants to be reconstructed in a single step.
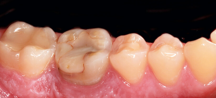
Fig. 7: Crowns directly after having been ground from IPS e.maxCAD LT
Fig. 8: Monolithic crowns after having been finalized, crystallized and characterized.
Fig. 9: Because of the critical conditions of the gums, the crowns (2007) are seated using a conventional cementation method with glass ionomer cement (Vivaglass CEM).
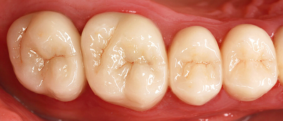
Fig. 10: Check-up of the crowns in 2012
Fig. 11: Situation after ten years (2017): The crowns are intact and do not show any visible signs of damage. Abrasion facets can be observed, e.g. on the bucco-distal cusps of the upper left 6.
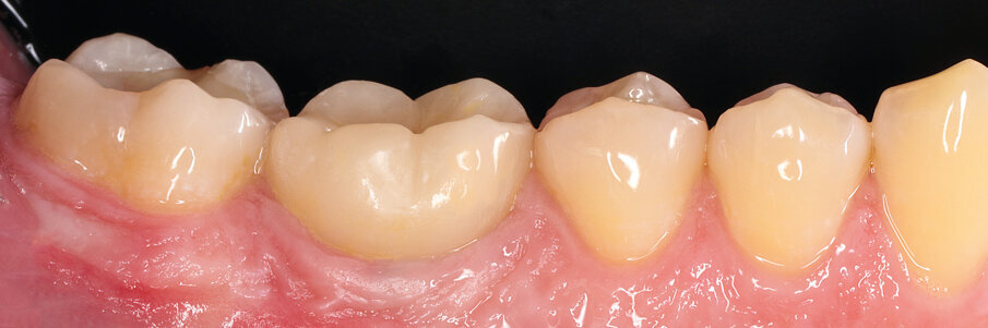
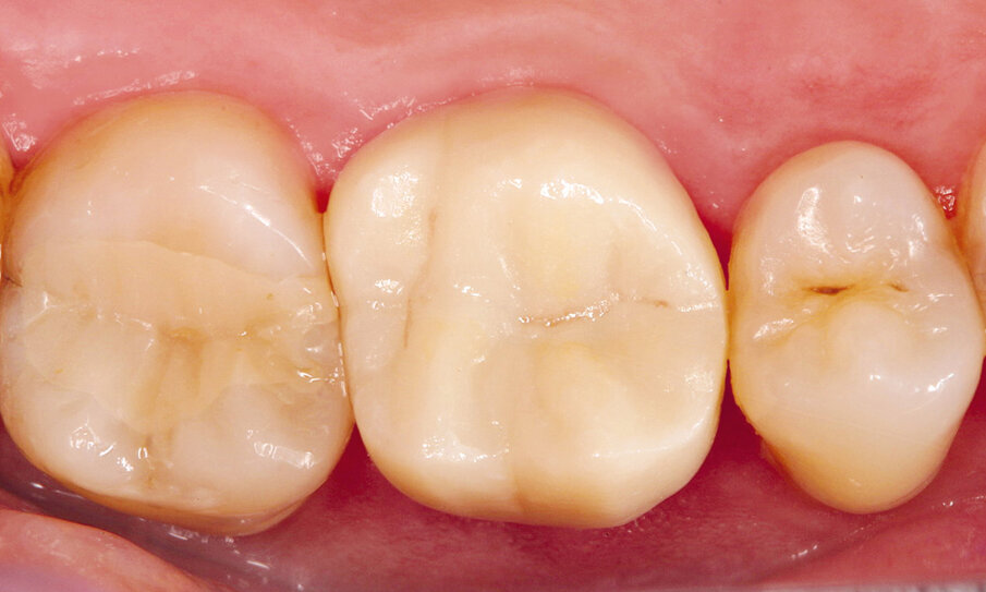
Fig. 12: Two insufficient amalgam fillings needing to be replaced
Fig. 13: The cavities were restored with IPS e.max CAD HT restorations produced at chairside.
Fig. 14: The final result in 2008: beautiful optical integration
Fig. 15: Check-up after 5 years (2013): restorations still look beautiful
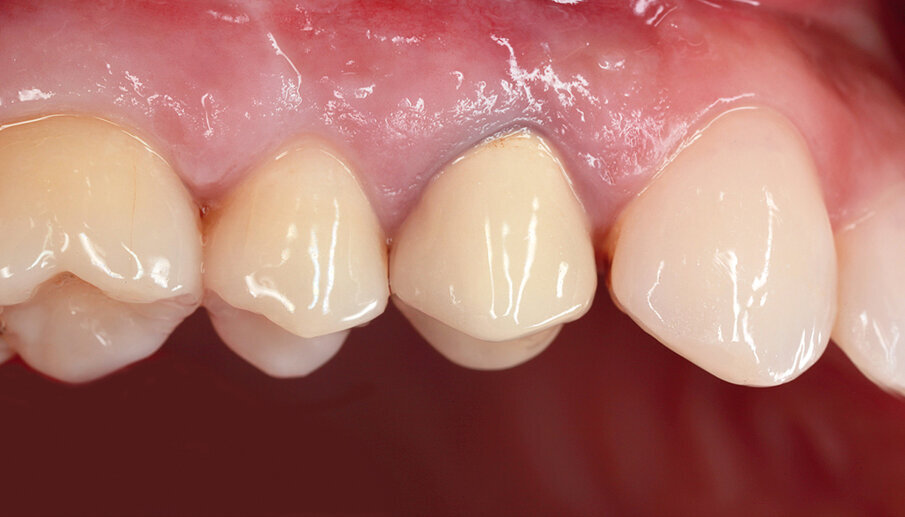
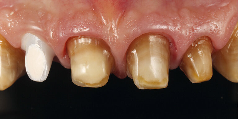
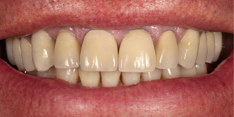
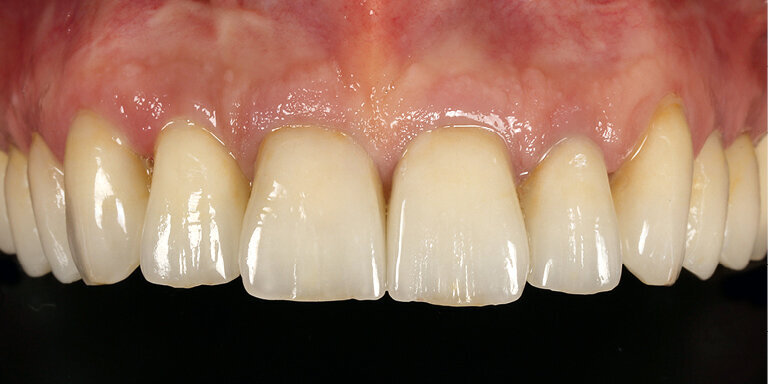
Fig. 16: The UR1 and UL1 of this 23-year-old female were damaged in an accident and restored with composite material.
Fig. 17: As the result was esthetically unsatisfactory, the teeth were prepared using a planned, minimally invasive procedure.
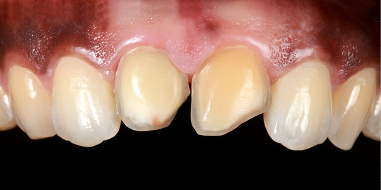
Fig. 18: The exceptional optical properties of IPS e.max CAD Impulse O1 enable a completely natural appearance …
Fig. 19: … and provide a high brightness effect in direct light due to the high level of opalescence and fluorescence.
Fig. 20: The teeth were restored to the correct proportions and the smile line was optimized. The patient was satisfied with the result.
Fig. 21: The 3-year check-up did not show signs of ageing.
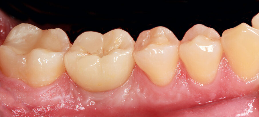
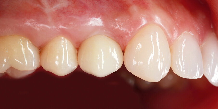
Fig. 22: A patient wearing 10-year-old veneered zirconia crowns wants her esthetic appearance to be improved. The crowns appear rather dark and grey. The proportions look unflattering.
Fig. 23: The variation in the shade of the preparations made it necessary to use a relatively opaque material that nonetheless provided a certain brightening effect.
Fig. 24: The new restorations were ground from IPS e.max CAD MT.
Fig. 25: The preparations were effectively concealed under the new crowns (cut-back method) and the brightness of the teeth was considerably increased.
Fig. 26: The final result shows a pleasing esthetic appearance.
Fig. 27: Preparation for a three-unit bridge with an ovate pontic design
Fig. 28: Try-in of the ground monolithic bridge whilst still in the pre-crystallized state
Fig. 29: IPS e.max CAD allows the fabrication of restorations for esthetically sensitive areas without the need for veneering them.
Fig. 30: The lower right 6 had been endodontically treated but could not be saved because of recurring inflammatory processes.
Fig. 31: After the extraction and implantation procedure, the site was ready for the new restoration.
Fig. 32: A monolithic hybrid abutment crown was created on the basis of a Ti base connector using CEREC software. Crystallization and staining were again carried out in a single step.
Fig. 33: Beautiful result in 2012
Fig. 34: Check-up after five years: the result is proof of the success of this therapy concept.
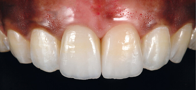
Fig. 35: The tooth had already been endodontically treated and restored with a PFM crown. After a root fracture, it could no longer be preserved.
Fig. 36: Extraction and immediate implantation was followed by a temporization phase, at the end of which a pleasing emergence profile had developed.
Fig. 37: The abutment was ground from an IPS e.max CAD Abutment MO block and the crown from IPS e.max CAD LT.
Fig. 38: The completed restoration in 2012: a pleasing result.
Fig. 39: Check-up after 5 years is proof to the long-term stability of this treatment concept.
Conclusion
IPS e.max CAD is the gold standard for chairside restorations (Figs 35 to 39). Together with the Programat furnaces designed for IPS e.max CAD and the corresponding cementation materials, a coherent system that ensures the necessary robustness in a wide range of applications has been developed. IPS e.max CAD sets benchmarks for efficient, tooth-preserving all-ceramic restorations that offer a high level of clinical reliability. The new zirconium oxide blocks (IPS e.max ZirCAD LT) complete the overarching IPS e.max system, in line with the motto IPS e.max – all ceramic, all you need.
Tetric CAD enhances Ivoclar Vivadent’s block portfolio
Cementation of all-ceramic restorations using Variolink Esthetic
Cementation of all-ceramic restorations using Variolink Esthetic.
Single-tooth restorations with Tetric CAD
Only a few months before changing to the Supervisory Board, Ivoclar Vivadent's CEO Robert Ganley was acknowledged by the American College of Prosthodontists...
Live webinar
Thu. 14 May 2026
8:00 pm UAE (Dubai)
Live webinar
Thu. 14 May 2026
10:00 pm UAE (Dubai)
Prof. Hani Ounsi DDS PhD FICD
Live webinar
Tue. 19 May 2026
7:00 pm UAE (Dubai)
Live webinar
Tue. 19 May 2026
9:00 pm UAE (Dubai)
Prof. Dr. med. dent. Ivo Krejci
Live webinar
Wed. 20 May 2026
3:00 pm UAE (Dubai)
Dr. Graham Carmichael BDSc (Hons), DClinDent (Pros), FRACDS, Dr. Robert Gottlander DDS
Live webinar
Wed. 20 May 2026
5:00 pm UAE (Dubai)
Live webinar
Wed. 20 May 2026
9:00 pm UAE (Dubai)
Prof. Dr. med. dent. Tim Joda PhD, MSc, eMBA
To post a reply please login or register