Bioactive direct composite resin materials like the next generation high strength injectables and low shrinkage packable composites, when used with advanced matrix systems, provide clinicians with an opportunity to adopt a minimally invasive patient-centric treatment approach while preserving sound tooth structure. Material selection is an important step in treatment planning for posterior restorations. The use of bioactive composites under strict isolation with rubber dam helps to achieve aesthetics and function with long-term clinical success while minimising the risk of secondary caries.
Clinicians often find it challenging to restore multiple posterior teeth with direct resin in an efficient and predictable manner. The key to success lies in achieving a well-sealed restoration with good contact and contours. Therefore, restoration of interproximal areas on posterior teeth requires stringent preoperative evaluation of tooth & defect size, location of contact & tightness, adjacent tooth position & contours and gingival location. This article aims to provide a simple and predictable protocol when dealing with adjacent Class II direct resin restorations in routine clinical practice.
Patient Case
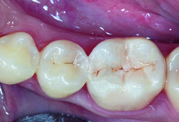
A 21-year-old female visited the dental office with a chief complaint of food lodgment and pain in tooth #46 when consuming sweet or cold food. Radiographic examination with IOPA reveled old composite restoration in tooth #46 and distal decay on #45 without involving the marginal ridge. Upon clinical examination, Class II cavities on tooth #46 & #45 were identified (Fig. 1). The most suitable treatment approach in this situation was direct restorations with bioactive composite resins.
Restorative Approach
Prior to caries removal, proper quadrant isolation was done with placement of rubber dam and pre-wedging with Garrison small FXBL wedge.
Tip: Pre-wedging creates momentary tooth separation to help achieve a more accurate proximal seal with ideal contact after placement of the final restoration and the teeth return to their original position. In addition, it helps to protect the rubber dam when removing the caries in the cervical area.
Caries removal was completed with a blue stripped high speed small round bur followed by slow speed round carbide bur. Caries detection dye was applied to ensure complete removal of active decay. Old composite was removed from occlusal and buccal pit area of tooth #46. For tooth #45, decay was initially removed without touching the occlusal surface, however as the marginal ridge area was left with very thin structure, the proximal box was later extended to the occlusal surface (C-shaped preparation) to avoid excessive stress that could lead to restoration failure (Fig. 2).
Fig. 1. MO Class II cavity along with old composite restoration on tooth #46 and distal decay on tooth #45.
Fig. 2. Pre-wedging with removal of active decay on teeth #45, 46.
Fig. 3. Garrison FX150 band for the premolar and FX175 for the molar was placed with the Garrison 3D Fusion Blue Wedge and the Garrison 3D Fusion Orange Ring (FX500).
Fig. 4. Tooth #45 was restored first with Beautifil Injectable XSL shade A2 followed by Beautiful II LS shade A2 in snow-plow technique.
Fig. 5. Band from premolar was removed and molar band burnished with light to medium pressure on the adjacent premolar tooth to ensure proper contour and contact.
Fig. 6. Spreading of Beautifil Injectable XSL (Self-leveling composite resin) shade A2.
Fig. 7. Converting Class II to Class I with Beautifil II LS shade A2.
Fig. 8. Composite build-up with a combination of Beautifil Injectable XSL and Beautifil II LS, leaving 1.5 mm.
Fig. 9. Final occlusal morphology was achieved with build-up of each cusp using Beautifil Injectable X shade A2.
Fig. 10. Buccal pit on tooth #46 was directly filled with Beautifil Injectable X shade A2.
Fig. 11. Graphical representation of restorative technique with incremental layering.
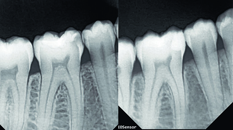
Fig. 12. IOPA before treatment and post-op showing natural contour and seal achieved with a perfect contact.
Fig. 13. After treatment - immediate post-op.
Fig. 14. Post-op after 7 days - Final Invisible Restorations.
After cavity preparation and caries removal
Smooth enamel margins were achieved with Super Fine Diamond Bur (yellow band) and proximal walls were finished with Super-Snap disk violet, to ensure optimal bonding to the enamel, avoid detachment of unsupported enamel and potential micro leakage.
Etching & Bonding
The wedge was removed & selective etching technique was used with 35% phosphoric acid solution followed by abundant rinsing with water. It is important, to avoid overdrying the dentin with strong airflow as a completely dried surface will cause collapse of collagen affecting the penetration of adhesive monomers resulting in a weaker bond.
To achieve reliable adhesion, my personal preference is to use a sixth generation bonding system (Shofu FL-Bond II) combined with selective etching as the outcome is predictable compared to current seventh generation and universal adhesive systems in the market. Even if you etch dentin, the primer is able to wet the surface without collapsing collagen and facilitate effective penetration into the demineralised area. To maintain a humid dentinal substrate, a generous amount of primer should be applied and left undisturbed for 10 seconds and air dried for 5 seconds to ensure the solvent evaporates and mild acid primes the dentin. The bonding agent should be carefully applied as an even layer on the entire restorative surface and light-cured for 10 seconds or longer in case of deep cavities.
Matricing
Garrison Composi-Tight 3D Fusion Matrix Ring Tall Orange (FX500) was selected according to the height of the cavity, in this instance we selected FX150 band for the premolar and FX175 for the molar. Both bands should be placed simultaneously and secured with suitable wedges. The wedges should be placed and inserted from the buccal side at an angle by holding the bands with a finger to avoid the bands from being displaced from its ideal location. Always good to double check the fit and seating of the bands, specially in the proximal box to ensure complete seal when placing the composite resin material (Fig. 3).
Tip: When restoring adjacent teeth, place both matrix bands at once to avoid over contour of the 1st restoration and difficult placement of second matrix band due to tight contact.
Composite resin layering technique
To minimise the effects of polymerisation shrinkage, composite resin layering can be performed using different techniques: horizontal, oblique or three-sites. In this clinical case, we used a combination of these techniques with soft-start curing (i.e. incremental light-curing programmes), which starts at a low intensity of 100 to 250 mW/cm², allowing better composite resin adaptation at the cavity margins before increasing to a standard intensity.
Tooth #45 was restored first to help increase visibility during restoration of tooth #46. As the cavity on the premolar was a shallow proximal box, horizontal incremental layering was used with Shofu range of Bioactive composites, Beautifil Injectable XSL, shade A2 (Self-leveling composite resin) injected in small quantity followed by Beautifil II LS, shade A2 (packable composite) in snow-plow technique. In the final increment the marginal ridge and distal pit area were carved to achieve a more natural occlusal morphology (Fig. 4).
The sectional matrix on premolar and ring were removed carefully with the help of artery forceps without dislodging the matrix band placed on molar. The band was burnished with light to medium pressure on the adjacent premolar tooth to ensure proper contour and contact (Fig. 5).
To restore the Class II cavity of tooth #46, a combination of vertical, horizontal and oblique layering technique was adopted. A thin layer of Beautifil Injectable XSL (Self-leveling composite resin) shade A2 was first injected and spread in the proximal box area and light cured to ensure a complete seal (Fig. 6).
Followed by the proximal wall and marginal ridge build-up with Beautifil II LS shade A2 to convert the original Class II into a Class I cavity. Once the proximal wall and contact was achieved the matrix band and ring were removed (Fig. 7).
The Class I cavity build-up was completed using a combination of Beautifil Injectable XSL and Beautifil II LS packable composite, leaving 1.5 mm space for final occlusal anatomy (Fig. 8).
Final occlusal morphology was achieved using Beautifil Injectable X shade A2 with build-up of each cusp (oblique layering technique) and peripheral grooves as reference. (Fig. 9).
Buccal pit on tooth same tooth was directly filled with Beautifil Injectable X – Universal Restorative, shade A2.
Tip: The ideal consistency Beautifil Injectable X enables you to inject and shape at the same time for added convenience (Fig. 10).
Brown resin stains were used on the occlusal surface to mimic the adjacent teeth. High points were checked with 40 micron articulating paper and removed with a small round diamond bur while following the tooth anatomy. Finishing and polishing of composite resin, even though often neglected, with posterior restorations remains essential to increase longevity of the restoration.
Finishing & polishing protocol
Finishing and margination of the occlusal surface with Dura-Green Stone, polishing with SHOFU OneGloss Midi-Points and super polishing with SuperBuff impregnated disk to achieve a high gloss for the extra enamel like lustre (Fig. 11).
Restorative outcome
The following graphical representation of the restorative technique used with incremental layering and the before / after images of the IOPA radiographs further illustrate the simplified protocol used to restore adjacent Class II cavities, where natural contour and seal has been achieved with a perfect contact (Figs. 11, 12).
Conclusion
Restoration of adjacent posterior teeth with good contour and ideal contacts is essential to ensure predictable outcomes (Figs. 13, 14). Simplifying the restorative process with the following helps to increase efficiency and save chair time. Pre-wedging to separate the teeth during restoration and achieve good proximal contact, placement of both matrix bands at one time on adjacent teeth, build-up of each tooth one at a time, transforming Class II to Class I makes layering and creating natural occlusal morphology easier which minimises numerous adjustments in the finishing stage. The use of Beautifil injectable X – Self-leveling composites in combination with Beautifil II LS packable composites helps to achieve a better marginal seal while minimising the intrinsic shrinking effect. Once the restoration has been shaped and high points checked, finishing and polishing should be performed to enhance the aesthetics and long-term prognosis of the restorations.
Acknowledgment
Author wishes to thank Garrison Dental Solutions and Shofu Dental Asia-Pacific for material support.
References
- Ferraris F. Adhesion, layering, and finishing of resin composite restorations for class II cavity preparations. Eur J Esthet Dent. 2007 Summer;2(2):210-21.
- Jordan RE, Suzuki M. Posterior composite restorations. Where and how they work best. J Am Dent Assoc 1991;122:30–37
- Van Meerbeek B, Peumans M, Verschueren M, et al. Clinical status of ten dentin adhesive systems. J Dent Res 1994;73: 1690–1702.
- Van Meerbeek B, Peumans M, Gladys S, Braem M, Lambrechts P, Vanherle G. Three-year clinical effectiveness of four total-etch dentinal adhesive systems in cervical lesions. Quintessence Int 1996; 27:775–784.
- Fortin D, Swift EJ, Denehy GE, Reinhardt JW. Bond strength and microleakage of current dentine adhesives. Dent Mater 1994;10:253–258.
- Kanca J. Improving bond strength through acid etching of dentin and bonding to wet dentin surfaces. J Am Dent Assoc 1992;123:35–43.
- Tjan AHL, Bergh BH, Lidner C. Effect of various incremental techniques on the marginal adaptation of Class II composite restorations. J Prosth Dent 1992;67:62–66.
- Feilzer AJ, Dooren LH, de Gee AJ, Davidson CL. Influence of light intensity on polymerisation shrinkage and integrity of restoration-cavity interface. Eur J Oral Sci 1995;105:322–326
- An In-Vitro Comparison of Micro Leakage Between Two Posterior Composites Restored with Different Layering Techniques Using Two Different LED Modes Nikhil Relhan , K C Ponnappa , Ashima Relhan , Anurag Jain , Priyanka Gupta
- Nikolaenko SA, Lohbauer U, Roggendorf M, Petschelt A, Dasch W, Frankenberger R. Influence of c-factor and layering technique on microtensile bond strength to dentin. Dent Mater 2004;20:579–585.
- Roeder LB, Tate WH, Powers JM. Effects of finishing and polishing procedures on the sur- face roughness of packable composites. Oper Dent 2000; 25:534–543.
Composite Artistry has become an important element of direct restorative treatment in dental practice today enabling clinicians to create life-like ...
The need for easier, simpler and faster workflow is more critical in dentistry, now more than ever before. Conventional composite restorations are ...
"I can`t afford e.max veneers, do you have something more affordable?" is a question often encountered in clinical practice today!
Beautifil II LS breaks new ground in direct resin technology with its extremely low polymerization shrinkage and related stress while exhibiting superior ...
Beautifil II LS breaks new ground in direct resin technology with its extremely low polymerization shrinkage and related stress while exhibiting superior ...
Beautifil II LS breaks new ground in direct resin technology with its extremely low polymerization shrinkage and related stress while exhibiting superior ...
A 61-year-old Thai female presented with loosening 9-unit fixed dental prostheses (FDPs). Her chief complaint concerned her loose and unpleasing front teeth...
BEAUTIFIL II ENAMEL and GINGIVA from Shofu are developed as a complementary line extension of BEAUTIFIL II series to easily create life-like direct ...
Shofu’s Gen 4 smart digital dental camera is developed to shoot fast, predictable and consistent clinical photographs for everyday dentistry.
We are often faced with aesthetically challenging cases in our everyday practice. Selection of the right composite material combined with a comprehensive ...
Przemyslaw Grodecki DDS, PhD
Przemyslaw Grodecki DDS, PhD
Przemyslaw Grodecki DDS, PhD
To post a reply please login or register