Exact reproduction of provisionals with IPS e.max Press Multi
The shape of an anterior restoration significantly influences the symmetry of the gingival contours. Provisionals that have proved to be suitable both in terms of their function and aesthetics allow permanent restorations to be precisely manufactured with the help of digital methods.
Unfavourably positioned teeth and/or an asymmetric contour of the soft tissue represent a considerable challenge in the already difficult anterior zone. In order to achieve a natural-looking result, the shape and shade of the restoration have to be suitably matched to the remaining teeth and furthermore the soft tissue needs to be properly conditioned. In many cases, provisional restorations are initially used by the dental team so that the special requirements of the gingiva can be effectively addressed.
Case study
The 33-year-old patient consulted our practice about having defective dental braces removed after three years of orthodontic treatment. He asked us to treat the carious lesions in his teeth and enhance the appearance of his smile. The first aesthetic analysis revealed an unfavourable length-to-width ratio of the anterior teeth (Fig. 1). As a result, the patient wished to have his front teeth lengthened. The upper left canine had to be endodontically treated due to advanced necrosis of the pulp tissue.
Planning
Our plan was to reconstruct the upper anterior teeth. In choosing the most suitable material for the restorations, we had to take into account the fact that the patient enjoyed eating hard nuts. Furthermore, he reported that he had a habit of grinding his teeth at night and clenching his jaws. Consequently, the anterior crowns would have to be not only functional and aesthetic, but also very strong and tough. We planned to use six all-ceramic crowns to optimise the length-to-width ratio (tooth lengthening) and even out the gingival contour.
Manufacturing technique and selection of the materials
In order to minimize the risk of fracture of the ceramic restorations, we decided to use IPS e.max Press lithium disilicate ceramic, which demonstrates a high toughness of 470 MPa as well as excellent aesthetics. In addition to the monochrome press ingots, this ceramic system includes a polychromatic material (Fig. 2). IPS e.max Press Multi ingots are used to fabricate highly aesthetic monolithic restorations that do not need any characterization. They feature a lifelike progression of the shade and translucency between the dentin and incisal areas.
The press technique, which involves the use of a full-contour wax-up, offers a quick and uncomplicated method of manufacturing crowns. Moreover, the press technique allows us to reproduce delicate gingival contours with utmost precision. In restorations that are built up in layers, the ceramic sometimes shrinks, making it difficult to accurately replicate the gingival contours of the provisionals. In our opinion, the IPS e.max Press Multi ceramic has two decisive advantages. First of all, its true-to-nature shading imitates that of natural teeth in the cervical and in the incisal region. In contrast to the restorations pressed with monochrome ingots, the polychromatic restorations require less time and effort to fabricate, since they do not have to be customized with layering ceramics in the incisal region. Secondly, IPS e.max Press Multi has just the right translucent properties to allow the necessary transmission of light.
Clinical treatment
First, endodontic treatment was performed and the carious lesions were removed. Then the teeth were restored with composite fillings. The front teeth requiring treatment were suitably prepared (Fig. 3) and the provisional crowns were placed (Fig. 4). The right lateral incisor was lengthened. The provisional crowns helped to support the gingival contours and establish a symmetric appearance. Once the desired symmetry of the teeth and gingival tissue was attained, the teeth were prepared for the permanent restorations (Fig. 5) and impressions were taken.
CAD/CAM processes in the fabrication of restorations
Prior to the removal of the provisional crowns, additional precision impressions were taken. In the laboratory, the data of the preparation models and the provisional crown models was captured using the double scan method. The digital data sets were superimposed on each other. The abutment teeth were separated and the margins and contours were adjusted (Figs 6 to 8).
This approach allowed the shape of the provisional crowns to be exactly replicated. We focused on recreating the subgingival contours, which support the oral soft tissue, so that the restorations would not have to be individually adjusted in the dental office. The crowns were milled from a dimensionally stable wax disc. ProArt CAD Wax yellow was used in the present case (Figs 9 and 10). This material is specially designed for use with IPS e.max Press. The smooth surfaces of the wax ensure precision results and high accuracy of fit. The material burns out without leaving any residue. Up to this point, it was possible to reduce the manual work to a minimum.
Fig. 1: Preoperative view
Fig. 2: IPS e.max Press Multi ingot shade A2
Fig. 3: Situation after the removal of caries lesions and root canal treatment
Fig. 4: Provisional composite resin restorations for evaluating their function and aesthetics
Fig. 5: Final preparation of the teeth
Fig. 6: Scanned data of the final preparation. Fig. 7: Superimposed scanned data of the prepared model and the model with the provisional crowns. Fig. 8: Slight adjustments during the design phase
Fig. 9: ProArt CAD Wax yellow disc
Fig. 10: CAD/CAM-manufactured 09 — ProArt CAD Wax yellow disc full-contour wax crowns
Fig. 11: Full-contour wax crowns attached to the IPS Multi investment ring base and verification of the position of the wax crowns with the help of the IPS Sprue Guide
Fig. 12: Completed crowns on the model
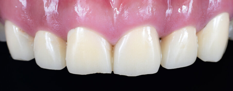
Fig. 13: IPS e.max Press Multi restorations immediately after placement
Fig. 14-15: Result after one month in situ
Spruing and pressing
In the next step, the wax crowns were reproduced with a pressed ceramic (IPS e.max Press Multi). For the investment procedure, the milled wax crowns were attached to a special prefabricated precision wax component (IPS Multi Wax Pattern). At this stage, it is important to make sure that the attachment joint is not too thick and that it is aligned with the labial surface. This helps to accentuate the unique shade gradations of the material. The wax restoration attached to the Wax Pattern was subsequently secured in the slot of the IPS Multi investment ring base. The position of the sprues was checked with the help of the IPS Sprue Guide (Fig. 11). The shade progression within the crown can be adjusted as required. For example, if the incisal portion should be more pronounced, the Wax Pattern is simply moved downward on the investment ring base (max. 2 mm). The preheating, pressing and divestment steps were carried in the customary way and in line with the instructions of the manufacturer.
Finishing
The pressed restorations can be adjusted if desired in order to accentuate certain individual characteristics. In the present case, the unglazed restorations were tried in the patient’s mouth before the stains and glaze firing. At this stage, most of the clinically important properties were clearly recognizable: tooth axes, suitable pressure on the adjacent soft tissue (e.g. papillae and gingival contour), harmony of the lip line and incisal edges as well as the symmetry of the crowns. The patient was satisfied with the optimised lengthtowidth ratio of the teeth. The main aim now was to reproduce this situation with utmost precision. The inter-occlusal record was sent to the laboratory in order to minimize the work involved in the adjustment of the occlusion. The surface texture of the IPS e.max Press Multi crowns was created with suitable grinding instruments before the glaze firing cycle. The restorations were then characterized with IPS Ivocolor stains (copper, white and anthracite) and glazed. The crowns were manually polished to the desired brilliant sheen (Fig. 12).
Placement
The excellent collaboration of the dentist, dental technician and the patient paid off: The restoration was swiftly placed in the practice without having to make any further adjustments. The clinical situation which was created on the model and with the help of provisional restorations could be successfully reproduced in the permanent restoration (Fig. 13). The patient and the dental team were highly satisfied with the result. The entire treatment process was straightforward and efficient.
Result
One month later, the teeth and gums looked beautiful and healthy without any inflammation (Figs 14 and 15). Digital workflows minimize efforts but maximize aesthetics. The possibility of replicating the subgingival contours of the provisional crowns allowed a variety of modifications to be made during the treatment process. The IPS e.max Press Multi material itself offers an impressive array of aesthetic properties. If a restoration requires even more individualised characteristics, the incisal area can be built up with IPS e.max Ceram layering materials (cut-back technique). The presented process shows that the traditional press technique combined with CAD/CAM methods offers a wide variety of benefits and provides a basis for new and innovative applications. The discovery of further creative uses involving a combination of these two techniques is only a question of time.
Dental technicians routinely produce monolithic crowns and partially veneered mandibular posterior bridges. As a result, they get very excited when ...
RAW workflow: A professional’s approach to planning monolithic restorations on single-tooth implants
Removable prosthetics as high-quality restorative treatment in the edentulous patient
Single-tooth restorations with Tetric CAD
Stylish, reliable and clever: that’s Bluephase G4 – the first Bluephase curing light featuring an automated assistance system. For even better results.
Only a few months before changing to the Supervisory Board, Ivoclar Vivadent's CEO Robert Ganley was acknowledged by the American College of Prosthodontists...
Comparison of the IPS d.SIGN and IPS Style ceramic systems
Innovative, interactive and informative – this is a succinct description of the online version of this year’s International Expert Symposium (IES), ...
Cervitec liquid from Ivoclar Vivadent now features an enhanced formula.
Live webinar
Thu. 14 May 2026
8:00 pm UAE (Dubai)
Live webinar
Thu. 14 May 2026
10:00 pm UAE (Dubai)
Prof. Hani Ounsi DDS PhD FICD
Live webinar
Tue. 19 May 2026
7:00 pm UAE (Dubai)
Live webinar
Tue. 19 May 2026
9:00 pm UAE (Dubai)
Prof. Dr. med. dent. Ivo Krejci
Live webinar
Wed. 20 May 2026
3:00 pm UAE (Dubai)
Dr. Graham Carmichael BDSc (Hons), DClinDent (Pros), FRACDS, Dr. Robert Gottlander DDS
Live webinar
Wed. 20 May 2026
5:00 pm UAE (Dubai)
Live webinar
Wed. 20 May 2026
9:00 pm UAE (Dubai)
Prof. Dr. med. dent. Tim Joda PhD, MSc, eMBA
To post a reply please login or register