D rings are the real topic of Garrison’s systems. The “v” shape of a ring that fits in the interproximal area allows a good fit between the cavity margins and the matrix in the buccal and palatal walls.
This results in easier positioning of the composite masses close to the cavity margins, and final remodeling (usually necessary at the time of removal of the matrix) will be very minimal.
The rings also permit a divergence of the interproximal dental elements, which causes a great point of contact.
Garrison systems make second class restorations more simple and more predictable and also reduce the operating time of the finishes when the matrix is taken off.
Pre-op situation. Patient needs to replace an old amalgam restoration on 1.5.
Dental elements are isolated with rubber dam to avoid contamination of the area and improve visibility.
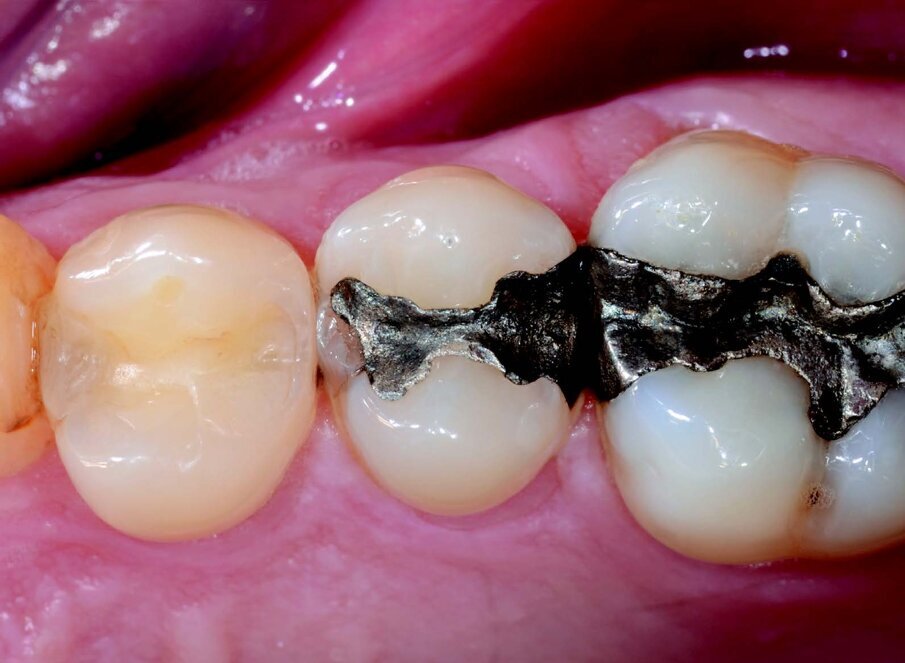
Picture of the cavity after removing the amalgam restoration and after performing the cleaning of cavity.
After finishing of the cavity, a sectional matrix Composi-Tight 4.6 mm, a wooden wedge and 3D XR ring are placed. The ring is placed on the wedge and causes a slight divergence which will result in an excellent point of contact at the end of the restoration.
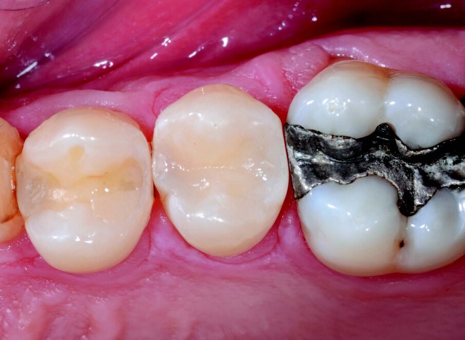
Situation after removing ring, matrix and wedge. Good position the matrix and the use of an adequate ring allows minimum interproximal finishing at the end of the stratification.
Post-op view after polishing and check occlusion. A good contact area is performed between elements 1.5 and 1.6.
It is well established that caries levels in industrialized nations have decreased over the last few decades with the greatest reductions occurring on the ...
Live webinar
Thu. 14 May 2026
8:00 pm UAE (Dubai)
Live webinar
Thu. 14 May 2026
10:00 pm UAE (Dubai)
Prof. Hani Ounsi DDS PhD FICD
Live webinar
Tue. 19 May 2026
7:00 pm UAE (Dubai)
Live webinar
Tue. 19 May 2026
9:00 pm UAE (Dubai)
Prof. Dr. med. dent. Ivo Krejci
Live webinar
Wed. 20 May 2026
3:00 pm UAE (Dubai)
Dr. Graham Carmichael BDSc (Hons), DClinDent (Pros), FRACDS, Dr. Robert Gottlander DDS
Live webinar
Wed. 20 May 2026
5:00 pm UAE (Dubai)
Live webinar
Wed. 20 May 2026
9:00 pm UAE (Dubai)
Prof. Dr. med. dent. Tim Joda PhD, MSc, eMBA
To post a reply please login or register