Invisalign treatment with mandibular advancement is an efficient method for correcting Class II malocclusion in growing teens with patients reporting comfort and satisfaction during the treatment. This approach uses precision wings incorporated into the upper and lower aligners to engage the mandible in an advanced edge-to-edge position while the anterior teeth are being aligned. This reduces the use of interarch elastics, and differentiates the practice by offering another Class II solution besides wires/ brackets and functional appliances like the Herbst appliance. The simultaneous correction of the bite along with dental alignment results in greater efficiency compared to treating the bite relationship and the dental alignment sequentially.
In a systematic review, Janson, et.al. noted that functional appliances were effective in correcting Class II malocclusions in growing teens, with the effects of mandibular advancement-type appliances being similar to the effects of Class II elastics. These effects can be summarized as being primarily dento alveolar, with a smaller component of the change being skeletal.
Both fixed and removable Class II correctors have their advantages and disadvantages. Fixed appliances such as the Herbst reduce the need for patient compliance, although patient comfort and appliance breakage can be an issue. Furthermore, the appliance carries an additional laboratory cost. Considerable chair time must be invested for appliance insertion and removal. On the other hand, removable appliances such as the twin block tend to be bulky and their effectiveness are limited by frequency of wear by the patient. Class II elastics present a simple and effective means of correcting Class II malocclusions, especially when paired with Invisalign clear aligners. However, patient compliance with elastics wear throughout the entire treatment is a critical factor for achieving successful outcomes. The incorporation of mandibular advancement features directly into the aligners reduces the dependency on intraoral elastics and additional appliances for successful bite correction. When elastics are needed, they are typically used at the end during additional aligners, to stabilize and fine tune the bite correction, after the majority of the bite correction has already been achieved with the precision wings feature.
Upper and lower Invisalign aligners with the new precision wings feature engaged, and the mandible advanced to an edge-to-edge position.
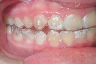
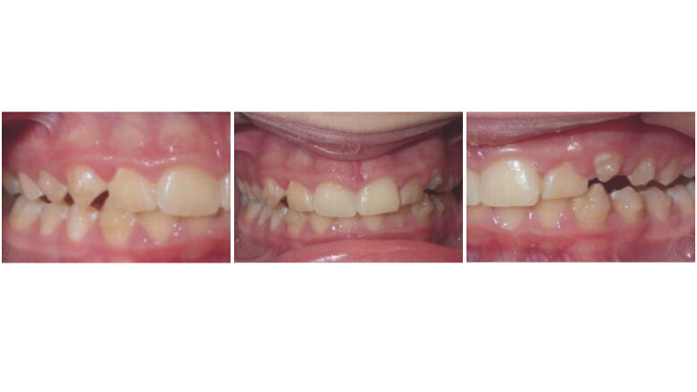
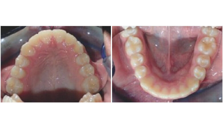
Initial Records
Initial Records
Initial Records
Initial Records
Patient Background
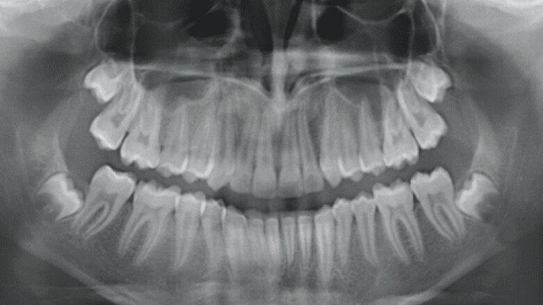
The patient is an 11 year 6 month old male with a chief concern of “overbite.” Diagnostic summary:
Class II, division 1 malocclusion (severe on the right, moderate on the left)
Deep overbite (moderate)
Moderate upper crowding
Mild lower crowding
Initial Records
The slightly retroclined upper incisors and flared lower incisors are consistent with dental compensations for a sagittal jaw discrepancy. The skeletal vertical dimension being within normal limits suggests that the deep bite is predominantly dental in nature.
Treatment plan
The goal was to treat the canines and molars to Class I. For efficiency, the Class II correction would be accomplished during the initial phase, using aligners with precision wings instead of Class II elastics. Class II elastics, if needed, would only be used during additional aligners. The crowding would be corrected through dental expansion and arch development (i.e., non-extraction and without any interproximal enamel contouring). Retention would be accomplished using Vivera® retainers worn only at night.
Treatment Results
ClinCheck® set-up of aligner stage #1, with mandibular advancement features (precision wings) in blue.
Progress after 3 months
Progress after 6 months – notice the UL2 alignment while the bite is being corrected.
End of mandibular advancement phase after 11 months (initial aligners: U:27, L:27)
End of mandibular advancement phase after 11 months (initial aligners: U:27, L:27)
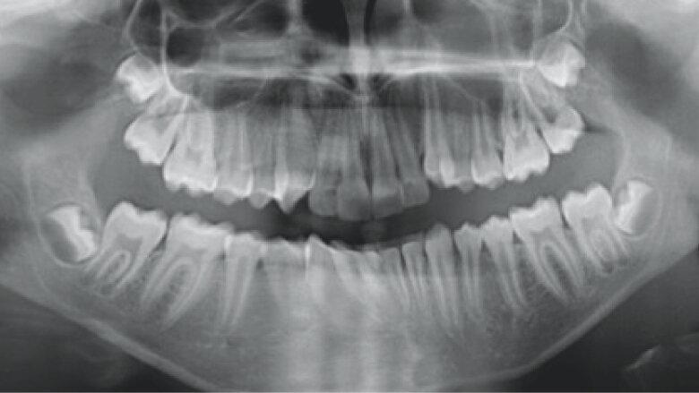
Cephalometric analysis of the bite correction phase
Cephalometric superimposition (using Sella- Nasion registered at Sella)
Cephalometric analysis summary (initial to end-of- mandibular advancement): The cephalometric superimposition showed that a counterclockwise rotation of the mandibular position occurred after the bite correction phase, with the ANB angle improving by 2.2˚ (from 6.9˚ to 4.7˚). The interincisal angle decreased from 127.2˚ to 120.1˚, primarily as a result of a +6˚ change in upper incisor inclination (U1-NA increased from 17.4˚ to 23.4˚). The lower incisor inclination increased slightly (L1-GoGn = +2˚).
After 27 aligners in both arches (11 months of treatment, 2 weeks each aligner2), the patient was Class I canine on the right side and 3 mm Class II canine on the left. Aligner wear compliance was good and oral hygiene was excellent. The majority of the crowding in both arches was resolved during the mandibular advancement phase. The bilateral posterior open bite present would be closed by additional leveling of the curve of Spee, along with lingual root torque of the upper anterior teeth. By reducing the anterior interferences, the mandible would be able to autorotate into a better Class I relationship.
Additional aligners phase: One set of additional aligners was used, which lasted 9 months (19 U/L stages, weekly aligner changes3). Reverse curve of Spee was added to the set-up of the lower arch to correct the deep bite and remove any heavy anterior occlusion, in order to close the posterior open bite. A 3.5 oz. Class II elastic was worn on the left side only for just 6 weeks, from aligner stages 14 to 19 (with precision cuts on the upper canine and the lower first molar), to complete the sagittal correction to Class I. All remaining rotations were fully resolved during additional aligners. The total treatment time for this patient was 21 months (11 months for the mandibular-advancement phase, 1 month for transitional aligners awaiting additional aligners, and 9 months for additional aligners with standard Invisalign treatment), which is well within the expected treatment time for this severity of Class II malocclusion.
Final Records
The current Invisalign product is now configured for 1-week aligner changes. At the time of treatment, the aligners were changed every two weeks.
After the mandibular advancement phase, the patient switched from 2-week aligner changes to the current 1-week aligner change interval.
Bilateral Class I occlusion was achieved, along with coincident midlines and normal overbite and overjet. A reduction in facial convexity resulted in a pleasing soft-tissue profile. The patient’s dental alignment, smile arc, and final occlusion were all excellent.
Cephalometric analysis summary (initial to final): The ANB angle improved by 2.4˚. The interincisal angle decreased from 127.2˚ to 116.8˚, as a result of a +8˚ change in upper incisor inclination and +4˚ increase in lower incisor inclination. Mandibular autorotation led to a -4.4˚ reduction in SN-GoGn.
Treatment Summary
Total treatment time: 21 months (includes 1 month in between mandibular advancement phase and additional aligners)
Pre-mandibular advancement aligners: not used in this treatment
The Invisalign treatment with mandibular advancement can be a routine treatment modality for any growing Class II teen. This treatment approach enables the incisors to be aligned at the same time that the bite is being advanced. Proper incisor alignment was the key to success in this case, since removing any anterior interferences allowed the mandible to come forward into an ideal overbite and overjet relationship. Setting up the mandibular advancement in the ClinCheck treatment plan to a “super” Class I or mild Class III cuspid relationship would be recommended for treating any similar cases in the future, in order to further reduce the use of Class II elastics during additional aligners. Adding sufficient lingual root torque to the upper incisors is also recommended, so that enough clearance in the overjet is present for a stable Class I position to be established. Having a posterior open bite during the mandibular advancement phase is common, and can be corrected through arch leveling with additional aligners, or by initially leveling the arches with aligners through a pre-mandibular advancement phase.
Summary
Overall thoughts and learnings about how to be successful with using the mandibular advancement feature, and what to focus on during the mandibular advancement phase:
Remove anterior interferences through dental alignment, leveling of the curve of Spee, and lingual root torque of the upper incisors.
Case selection recommendations when starting to use this feature:
A good malocclusion to initially target is a dental Class II with a skeletal Class I normo-divergent or mildly hyperdivergent growth pattern. An ANB < 5 degrees and mild-to-moderate mandibular retrognathism are also helpful.
What kind of cases to try after that:
As your familiarity with the mandibular advancement feature increases, try treating growing teens with more severe Class II malocclusions, and with more severe hyperdivergent growth patterns. Patients with severe skeletal Class II or severe vertical growth patterns can be treated, but results so far have been progressively less predictable with worsening skeletal patterns.
What kind of conditions are favorable and unfavorable for treatment using this aligner feature?
The more easily the lower jaw can move straight forward without interfering with the upper jaw, the better. Identify any interferences (anterior and transverse usually) and eliminate them as early as possible during the alignment phases of treatment.
For patients with deeper overbites and/or retroclined upper incisors, using a series of pre-mandibular advancement aligners to reduce anterior interferences is key to correcting the sagittal relationship.
What was learned from treating this particular case?
Setting up the bite correction goal to a “super” Class I in the ClinCheck treatment plan may reduce or eliminate the need for Class II elastics during the additional aligner phase.
Greater leveling of the curve of Spee in a pre-mandibular advancement phase may reduce the likelihood of having a posterior open bite at the end of the mandibular advancement phase.
Common challenges/problems experienced during teen treatment with this aligner feature:
Leveling the curve of Spee and mandibular advancement cannot be accomplished simultaneously during the bite correction phase, so these corrections need to be done sequentially instead.
How to avoid or correct these issues?
Spend the first 3 to 5 months leveling and aligning the arches with aligners in a pre-mandibular advancement phase.
Three key take away points:
A pre-mandibular advancement phase to level, align, and flatten the curve of Spee can reduce the chances of having a posterior open bite after the bite correction phase.
Overcorrect the sagittal relationship in the ClinCheck set- up to a “super” Class I during the mandibular advancement phase, in order to reduce the need for interarch elastics during refinement.
Build precision cut elastic hooks into the additional aligners just in case Class II elastics are needed at or near the end of treatment. Having the majority of the Class II correction accomplished with the precision wings feature means that any Class II elastics used are mostly for stabilizing and fine tuning the bite during additional aligners.
ABOUT THE AUTHOR
Barry J. Glaser, DMD received his doctorate in dental medicine from The University of Pennsylvania School of Dental Medicine and earned a certificate of Advanced Graduate Studies in Orthodontics from Boston University. He served as associate director of orthodontics at Montefiore Medical Center in New York City from 1992 to 1995. He has been in private practice in Cortlandt Manor, NY, since 1994. Dr. Glaser was an early adopter of Invisalign Teen® and has extensive experience with treating teens and adults of all malocclusions using Invisalign aligners.
Minimizing the use of elastics in Class II treatments not only addresses a patient compliance concern, it also addresses a treatment efficiency concern. The...
Direct restorations to date remain the most common type of treatment provided by dentists in routine clinical practice. With the advances in information ...
INDIANAPOLIS, US: Despite advances in periodontal disease research and treatments, it remains a growing health issue in the US. To address this topic, ...
Align Technology, Inc. (NASDAQ: ALGN) today announced that its annual Invisalign Scientific Symposium will be an online digital experience, held on May ...
Today’s technological and design innovations have seen the humble dental chair evolve into state-of-the-art treatment centers, putting ergonomics and ...
Today, dental treatment provided to animals is also performed using the latest technologies. Saving the teeth of animals is essential for basic needs such ...
Education
Live webinar Thu. 30 April 2026 3:00 am UAE (Dubai)
Root canal anatomy with all of its inherent complexity still represents a very serious challenge to modern root canal therapy. Even with many breakthroughs ...
RIYADH, Saudi Arabia: While many artificial intelligence (AI) systems for dental diagnosis demonstrate high accuracy, their real clinical value depends on ...
VIENNA, Austria: Many patients with disabilities are treated under general anaesthesia to manage anxiety or behavioural challenges. However, this approach ...