For good healing success and predictable gingiva management during implantation, the soft tissue needs as much rest as possible. Gingiva formers, which also act as a scan body, provide the opportunity to perform a scan without disturbing the healing process.
In this case, Dr. Oliver Schubert, M.Sc. (Munich, Germany), shows how he implements such a process. He also explains why he uses a hybrid ceramic blank (VITA ENAMIC IS, VITA Zahnfabrik, Bad Säckingen, Germany) with an integrated interface to a titanium base. He shows how the abutment crown made of hybrid ceramic directly after the removal of the gingiva former supports the final shaping of the emergence profile.
1. The patient case
A 55-year-old female patient presented with complaints regarding tooth 26. After careful clinical and radiographic diagnosis, the molar proved unsustainable. After extraction, the gap was to be closed with an implant and a monolithic abutment crown made of VITA ENAMIC IS.
Due to the dual network structure of the polymer-infiltrated feldspar ceramic, the material shows a comparatively high elasticity, which allows the material to absorb masticatory forces. This property could be very beneficial in the long run for restorations on rigidly anchored implants. In addition, laboratory tests show that microcracks caused by a potential point overload can be stopped, thanks to the integrated polymer structure, which minimizes fracture risk.
At the patient’s request, the restoration of the previously root canal-treated tooth 25 was to be done later.
Fig. 1: Initial situation following the extraction of tooth 26 and healing phase.
Fig. 2: The vestibular ridge after the bone-sparing extraction.
Fig. 3: The exposure of the alveolar ridge using full-flap formation.
Fig. 4: The implant is inserted into the prepared bone bed.
Fig. 5: The gingiva former was screwed on, and the surgical area was microsurgically sutured.
Fig. 6: The gingiva former BellaTek Encode after eight weeks.
Fig. 7: With its specific notches, the gingiva former also acted as a scanbody.
Fig. 8: The clinical situation in the CAD software digitized with the 3M True Definition Scanner. The implant is inserted into the prepared bone bed.
Fig. 9: The virtual titanium base as interface between implant and hybrid ceramic abutment crown.
Fig. 10: The titanium-based abutment crown constructed from VITA ENAMIC IS.
Fig. 11: The components of the superstructure, consisting of abutment crown, titanium base and screw.
Fig. 12: The abutment crown made of VITA ENAMIC IS glued to the titanium base.
Fig. 13: The emergence profile after unscrewing the gingiva former.
Fig. 14: The abutment crown with open screw channel that was screwed in immediately afterwards.
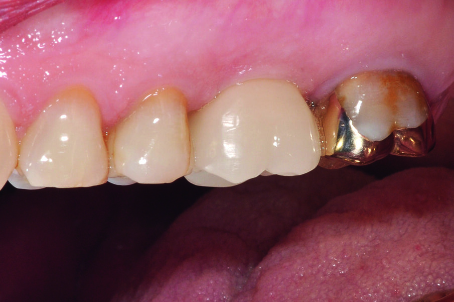
Fig. 15: After the closure of the screw channel with composite, this is no longer visible.
Fig. 16: Result: A check-up after a few weeks showed excellent soft tissue conditions.
2. Implantation and scan
After bone-sparing extraction and sixteen weeks of healing, the gap in the edentulous space should be restored with the 3i T3 Tapered implant (Zimmer Biomet, Warsaw, USA). After the formation of a full flap, the bone bed was prepared accordingly and the implant inserted and aligned with the prosthetic, so a primary stability of 35 Ncm could be achieved. Subsequently, the two-part, scannable gingiva former BellaTek Encode (Zimmer Biomet, Warsaw, USA) was fixed on the implant and the wound area was fixed with microsurgical sutures.
Eight weeks after implant insertion, the intra-oral scan of the gingiva former and the digital implant impression were performed. With its specific notches on the surface, the screwed-in and left-in gingiva former now also served as a scanbody. The upper and lower jaws were digitized using the 3M True Definition Scanner (3M, Seefeld, Germany).
3. Fabrication and integration
The scan data was transmitted to the Zfx Süd milling center (Munich, Germany) and downloaded there as an STL dataset. Then the scan record of the gingiva former was decrypted with the Zfx Application Manager. This automatically reduces the gingiva former, and the shape of the emergence profile is displayed in the CAD software. The abutment crown made of VITA ENAMIC IS has now been designed virtually with an idealized emergence profile. After CAM-based manufacturing, the hybrid ceramic abutment crown was bonded to the industrially produced titanium base. Immediately after unscrewing the gingiva former, the abutment crown could be screwed in to immediately support the soft tissue and provide it with its final shape. The screw channel was finally closed by Teflon tape and composite.
VITA® and other VITA products mentioned are registered trademarks of VITA Zahnfabrik H. Rauter GmbH & Co. KG, Bad Säckingen, Germany.
Exocad, an Align Technology company, has enhanced its Implant Module with the release of DentalCAD 3.3 Chemnitz. The updated version enables users to design...
We recommend Ivory Rubber Dams for absolute isolation of the treatment area. We provide Ivory Rubber Dam Clamps in a variety of sizes and shapes. With the ...
Healthcare is not just about treatment; it is about people—and the words we use have the power to change lives. In fact, the language we use has ...
Capabilities in dentistry have evolved at an astonishing rate over the past several years, and the transformations are by no means slowing down.
Material-viscosity as key factor for controlled procedures and effective results.
Originally from Syria, Dr Iyad Estoiny obtained his master’s degree in fixed and removable prosthodontics in France before moving to Dubai in 1997. An...
The Straumann Group held Esthetic World 2022 in Dubai in January. In this interview, Dental Tribune MEA speaks to Wolfgang Becker, Executive Vice President,...
Success CD is Promedica’s composite-based, self-curing paste system for quick and easy chairside production of temporary crowns, bridges, inlays and ...
As the global leader in tooth whitening, the Opalescence™ whitening family has become beloved and trusted by patients and clinicians alike. With ...
Stylish, reliable and clever: that’s Bluephase G4 – the first Bluephase curing light featuring an automated assistance system. For even better results.
Live webinar
Thu. 14 May 2026
8:00 pm UAE (Dubai)
Live webinar
Thu. 14 May 2026
10:00 pm UAE (Dubai)
Prof. Hani Ounsi DDS PhD FICD
Live webinar
Tue. 19 May 2026
7:00 pm UAE (Dubai)
Live webinar
Tue. 19 May 2026
9:00 pm UAE (Dubai)
Prof. Dr. med. dent. Ivo Krejci
Live webinar
Wed. 20 May 2026
3:00 pm UAE (Dubai)
Dr. Graham Carmichael BDSc (Hons), DClinDent (Pros), FRACDS, Dr. Robert Gottlander DDS
Live webinar
Wed. 20 May 2026
5:00 pm UAE (Dubai)
Live webinar
Wed. 20 May 2026
9:00 pm UAE (Dubai)
Prof. Dr. med. dent. Tim Joda PhD, MSc, eMBA