Dental technicians routinely produce monolithic crowns and partially veneered mandibular posterior bridges. As a result, they get very excited when something different and highly challenging comes along, such as the individual incisor described in this article. In these situations, efficiency and profitability become secondary. The dental technician just has to take one quick look at the natural adjacent teeth to get the creative juices flowing. As the colour, anatomy and individual details of the teeth are registered, possible outcomes are immediately visualized. The following account is a case in point.
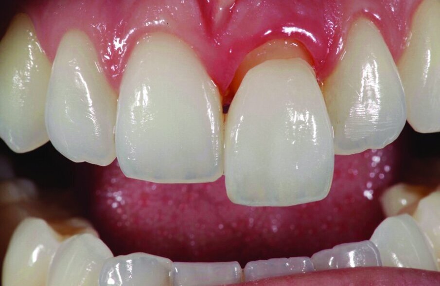
The patient’s wishes and the solution As a teenager, the now 24-year-old female patient had fractured tooth 21. The tooth had been repaired with layered composite resin. At a later stage, the tooth received a resin crown. This restoration, however, had a rather lifeless appearance and looked awkward in comparison with the neighbouring teeth. Its unattractive appearance was further emphasized by teeth whitening (Fig. 1). The patient wished for a tooth with “perfect shade and anatomy”. This demanded great technical and creative skill on the part of the dental technician and of course the use of suitable materials.
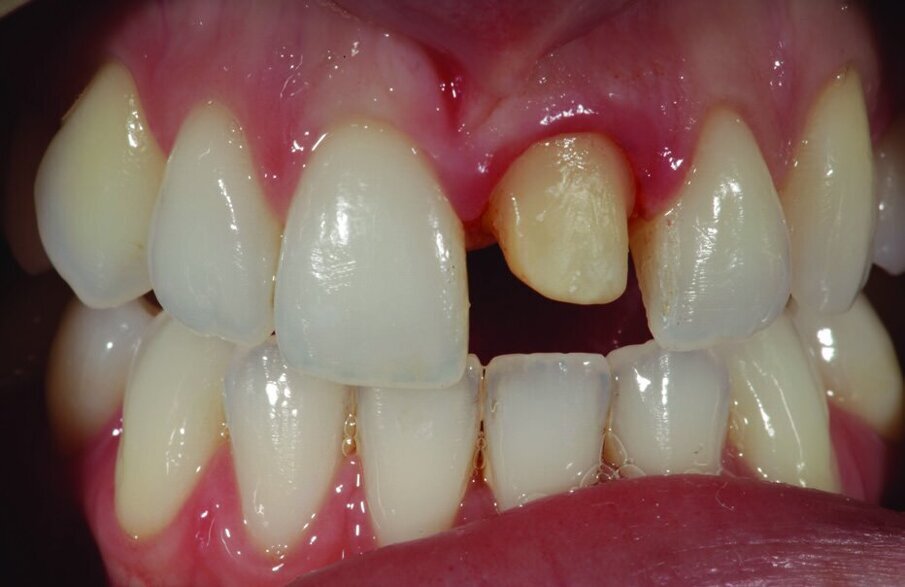
We decided to use IPS e.max ZirCAD Prime from Ivoclar Vivadent for various reasons. The fact that the discs are produced according to a new manufacturing technique called Gradient Technology (GT) was a decisive criterion. In this process, the raw materials 3Y-TZP (high-strength zirconia) and 5Y-TZP (highly translucent zirconia) are combined to produce a layer-free material showing a seamless progression of shade and translucency and a very homogenous microstructure. In the present case, the stained tooth was prepared with a rounded shoulder in order to accommodate the all-ceramic restoration (Fig. 2). The IPS e.max ZirCAD Prime zirconia provided ideal pre-requisites for covering the relatively dark prepared tooth and at the same time for fulfilling the high esthetic expectations of the patient.
Fig. 1: After tooth whitening the composite resin crown on tooth 21 stood out unattractively.
Fig. 2: The relatively dark tooth was prepared with a rounded shoulder.
Fig. 3: The lightly reduced full-contour crown made with IPS e.max ZirCAD Prime shows excellent fit.
Figs 4, 5, 6 and 7: The versatile range of IPS e.max Ceram materials allows you to imitate bleached tooth shades showing lifelike light reflection.
Figs 4, 5, 6 and 7: The versatile range of IPS e.max Ceram materials allows you to imitate bleached tooth shades showing lifelike light reflection.
Figs 4, 5, 6 and 7: The versatile range of IPS e.max Ceram materials allows you to imitate bleached tooth shades showing lifelike light reflection.
Figs 4, 5, 6 and 7: The versatile range of IPS e.max Ceram materials allows you to imitate bleached tooth shades showing lifelike light reflection.
Fig. 8, 9 and 10: The completed crown on the model.
Fig. 8, 9 and 10: The completed crown on the model.
Fig. 8, 9 and 10: The completed crown on the model.
A passion for esthetics
The crown was designed in slightly reduced form with the CAD program. The reduction in the incisal area was greater than in the cervical part of the crown. This served to provide enough space for customizing the incisal area with individual layers. In the thicker cervical part of the crown we took advantage of the high opacity of IPS e.max ZirCAD Prime to mask the dark tooth preparation. The CAM software conveniently established the exact position for the crown within the disc. The milled IPS e.max ZirCAD Prime restorations can be processed using speed sintering programs. The Programat S1 1600 from Ivoclar Vivadent, for example, sinters a single-tooth crown, such as the one discussed here, in just under two hours. The sintered restoration in this case showed exceptional accuracy of fit on the model immediately after firing (Fig. 3).
The crown was imparted with lifelike characteristics using the IPS e.max Ceram base shade BL1 (Figs 4 and 5). The unusually light colour of our patient’s teeth presented a major challenge. In cases such as the present one, the Enamel and Effect materials of the IPS e.max Ceram Selection assortment offer the dental technician exceptional freedom of creativity in applying the individualized layers to the restoration. The brightness of the tooth is easy to control and natural-looking effects can be created to achieve highly esthetic results. We placed special emphasis on reproducing the incisal dentin structure. Tooth 11 shows a distinct bluish translucent incisal area with dentin lobes running through it. Nevertheless, the incisal edge is comparably opaque. The shape and play of colour as well as the inner structure and the surface texture of the natural adjacent tooth were reproduced successfully. The stains and glazes of the IPS Ivocolor assortment were used to give the restoration the appropriate finish and surface gloss. Figure 6 shows the completed restoration on the model.
The moment of truth
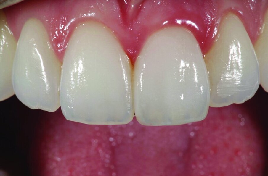
The try-in appointment could not have gone better. The crown showed impeccable fit and it looked lovely. The photos shown in Figures 7 and 8 were taken when the crown was tried in. They clearly show the impressive esthetic properties of the Gradient Technology. Despite a very challenging situation involving very light teeth on the one hand and a dark tooth preparation on the other, IPS e.max ZirCAD Prime managed to fulfil two different tasks: That is, it effectively masks the stained tooth structure in the cervical area and at the same time it looks incredibly lifelike as a result of the recreated mamelons and the built-up translucent segments. The play of light and colour intensifies towards the incisal edge and produces a harmonious overall result, which allows the tooth to blend in smoothly with the natural adjacent teeth. The patient’s wish for “perfect shade and anatomy” has been fulfilled (Figs 9 and 10).
Impressive result
The patient is proud of her smile, the attending dentist is more than satisfied with the outcome and the dental technician is delighted because this type of work is immensely satisfying. However, exciting cases involving high-end esthetics cannot be routinely expected in the dental practice and laboratory, and commercial success requires good economic thinking. Therefore, it is gratifying to know that an all-ceramic solution is available which is suitable for many different indications, extending from single-tooth crowns to multi-unit structures and for all types of manufacturing techniques, ranging from monolithic machining to highly esthetic layering. By putting IPS e.max ZirCAD Prime to the ultimate test we have shown that this material is capable of great things.
Ivoclar Vivadent presents a highly esthetic zirconium oxide in a “one-disc solution” for dental laboratories
Posterior occlusal veneers in the dental practice
HuFriedyGroup has come together to provide the best dental experience to the industry. Our unique combination of products, services, and support enables ...
A passionate advocate for high-quality dental care, Dr Miguel Stanley created the No Half Smiles treatment philosophy. He is committed to education in the ...
Interview with Dr. Meshari Al-Otaibi, President, Makkah International Dental Conference, Past General Director of Security Forces Hospital, Makkah, Saudi ...
HuFriedyGroup is a global leader in infection prevention, dental instrument manufacturing, and instrument reprocessing workflows, with over 177 years of ...
HuFriedyGroup is a global leader in infection prevention, dental instrument manufacturing, and instrument reprocessing workflows, with over 177 years of ...
HuFriedyGroup has come together to provide the best dental experience to the industry. Our unique combination of products, services, and support enable ...
AMMAN, Jordan: Over 550 representatives have gathered for the seventh session of the intergovernmental negotiating committee on mercury (INC 7) in Jordan to...
The True Story of One VALO Curing Light's Journey to Space
Live webinar
Thu. 14 May 2026
8:00 pm UAE (Dubai)
Live webinar
Thu. 14 May 2026
10:00 pm UAE (Dubai)
Prof. Hani Ounsi DDS PhD FICD
Live webinar
Tue. 19 May 2026
7:00 pm UAE (Dubai)
Live webinar
Tue. 19 May 2026
9:00 pm UAE (Dubai)
Prof. Dr. med. dent. Ivo Krejci
Live webinar
Wed. 20 May 2026
3:00 pm UAE (Dubai)
Dr. Graham Carmichael BDSc (Hons), DClinDent (Pros), FRACDS, Dr. Robert Gottlander DDS
Live webinar
Wed. 20 May 2026
5:00 pm UAE (Dubai)
Live webinar
Wed. 20 May 2026
9:00 pm UAE (Dubai)
Prof. Dr. med. dent. Tim Joda PhD, MSc, eMBA