The possibilities and risks of endodontic retreatments in the pursuit of saving natural teeth will be presented at AEEDC Dubai 2024 by endodontist Dr Ahmed Shawky el-Sheshtawy. He owns a private practice specialising in micro-endodontics and is a senior lecturer at the Department of Endodontics of Cairo University in Egypt. Dental Tribune International spoke with him about his upcoming lecture, the complexity of retreatments, advances in the field of endodontics and how to best manage patient expectations.
Your lecture title refers to retreatment as a unique way of saving teeth. What will the main focus of your lecture at AEEDC be, and what do you hope participants will take away from it?
My lecture will shed light on the role of endodontic retreatments in preserving natural teeth as an alternative to replacing them with implants or prosthetic appliances. Attendees will be taken on a journey beginning with the rationale behind retreatments, progressing to ensuring rational fulfilment and finally the decision-making process, which is the most critical process in our treatments. My lecture will also cover different procedures and techniques used to manage complex retreatment cases.
Could you explain how the objectives of retreatments, like the healing of periapical periodontitis and its prevention, are more complex compared with primary treatments?
The treatment and prevention of recurrent periapical periodontitis in failed treatments are notably more complex than in primary treatments. In primary treatments, the root canal system, despite its intricacies, can be effectively managed with current shaping and cleaning protocols, achieving success rates as high as 95% in most instances. However, in cases where treatment failures necessitate retreatments, additional factors or challenges may complicate the situation. These include the removal of previous root filling materials, altered anatomy, the presence of perforations, canal blockage (iatrogenic or biological), inflammatory resorption and the inability to achieve patency across the foramen, which is crucial. Furthermore, the presence of an apical lesion adds to these complications. These complications, combined with the inherently complex nature of the root canal system, make retreatments significantly more challenging than primary treatments, often resulting in lower success rates.
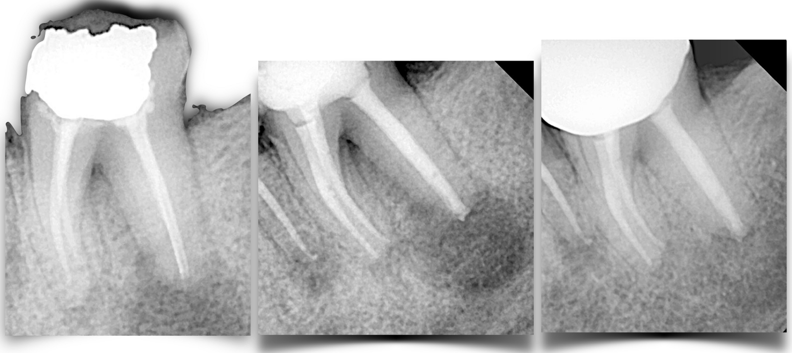
Figs. 1a–c: (a) Mandibular left second molar presented with unsuccessful primary treatment and symptomatic periapical periodontitis. (b) Non-surgical treatment involved an apical plug in the distal root. (c) One-year follow-up showed complete healing of the periradicular lesion.
What are the key challenges clinicians face in gaining access to the root canal system during retreatments, especially considering factors like existing intra-canal fillings and altered canal anatomy? Regaining access to the root canal system can be challenging, especially when fibre posts have been used as intra-canal retention elements. Clinicians need the requisite experience and appropriate tools to avoid iatrogenic errors. Regarding intra-canal filling materials, a different yet dynamic approach is required. This is because there are various types of root filling materials, including the older silver points, the widely used gutta-percha and calcium silicate materials, each requiring a distinct method of removal to regain full access to the root canal system. Inadequate removal of these materials during retreatments can compromise the treatment outcome. Remnants may limit the accessibility of disinfectants and instruments to micro-anatomies or may result in an inadequate seal.
Given the additional challenges, what are the key factors to consider when developing a strategy for a successful retreatment outcome? Key factors for developing an effective retreatment strategy include a thorough pretreatment evaluation by the clinician. This evaluation is crucial for determining the case prognosis and formulating the treatment plan. The next step involves decision-making, where the clinician decides on the retreatment approach—whether non-surgical, surgical or a combination of both. In this context, the clinician also has to decide whether the tooth presented can be saved. The third factor encompasses the technicalities and procedural steps involved in the retreatment process.
What advancements in endodontic technology or techniques have improved the outcomes of retreatment procedures in recent years? Endodontics is a very dynamic and rapidly evolving specialty. It has benefited from advancements in imaging modalities, such as CBCT, which enables a precise visualisation of dental issues. Recent advances in nickel–titanium instruments and their kinematics, along with the introduction of new irrigant delivery and activation instruments and devices, have contributed to improved treatment outcomes.
The integration of magnification and ultrasound in endodontic practice is a critical aspect that has significantly transformed the specialty—I consider these to be game-changers. These technologies have been instrumental in various procedures, ranging from disassembly to cleaning, and even in correcting previous mishaps.
In addition, I would like to highlight the rapidly evolving advancements in endodontic biomaterials, particularly calcium silicate materials. These have proved helpful in complex retreatments, especially in cases involving root defects or challenging anatomies. Additionally, there have been significant advancements in concepts and materials for the post-endodontic restorative phase, and these play a crucial role in extending the survival time of retreated teeth.
How do you manage patient expectations and communicate the potential risks and benefits of undergoing a retreatment procedure? That’s a very good question, especially for young clinicians. The key factor in managing patient expectations lies in proper pretreatment evaluation. This involves examining the current status of the tooth, assessing potential complications and, most importantly, evaluating the survival potential of the tooth after treatment. Equipped with this information, clinicians can clearly and easily communicate the benefits and risks involved to patients.
Is there anything else you would like our readers to know? I would like to emphasise that retreatments are a unique way to save not only teeth but also the surrounding bone. By achieving the goal of healing, even if the tooth structurally fails at some point, a healthy foundation for a future implant has been established.
Editorial note:
Dr Ahmed Shawky el-Sheshtawy will be holding his lecture, titled “Retreatments: A unique way to save teeth”, on 6 February from 9:00 to 10:00 GST. More information on the event can be found at aeedc.com.
DUBAI, UAE: Germany will be the guest of honour at the 28th UAE International Dental Conference and Arab Dental Exhibition (AEEDC Dubai), which will take ...
DUBAI, UAE: Yesterday, His Highness Sheikh Ahmed bin Saeed Al Maktoum, chairman of the Dubai Academic Health Corporation and chancellor of the Mohammed Bin ...
Education
Live webinar Thu. 23 April 2026 7:00 pm UAE (Dubai)
RIYADH, Saudi Arabia: While many artificial intelligence (AI) systems for dental diagnosis demonstrate high accuracy, their real clinical value depends on ...
VIENNA, Austria: Many patients with disabilities are treated under general anaesthesia to manage anxiety or behavioural challenges. However, this approach ...
Held in January for the fourth time, Dentsply Sirona World Dubai has established itself as Dentsply Sirona’s flagship event for the Middle East, bringing ...
To post a reply please login or register