Periodontal diseases have, for a half of a century, been known to be initiated by the accumulation of bacterial plaque (R). It has however been increasingly apparent in recent years that other intrinsic and extrinsic risk factors influence the progression of periodontitis. Of these the most important are Diabetes and Smoking.
Since both of these factors are common in the UAE this is of particular importance to UAE dentists. It is the purpose of this paper to review the current association between these risk factors and periodontitis, and to discuss the likely bi-directional relationship between management of periodontitis and diabetes control.
Periodontitis and Diabetes
Diabetes mellitus occurs when the level of sugar (glucose) in the blood becomes higher than normal. There are two main types of diabetes. In type 1 diabetes the body stops making insulin and the blood sugar (glucose) level becomes very high. Type 2 diabetes, also called adult-onset diabetes and noninsulin-dependent diabetes, is a chronic condition caused by high levels of glucose (sugar) in the blood. Although some people can overcome the symptoms by losing weight and following a healthy diet and exercise plan, most people with type 2 diabetes will have it for life.
Both diabetes and periodontitis are chronic diseases. Diabetes has many adverse effects on the periodontium, and conversely periodontitis may have deleterious effects further aggravating the condition in diabetics. The potential common patho-physiologic pathways include those associated with inflammation, altered host responses, altered tissue homeostasis, and insulin resistance. A recent study also showed that scaling, polishing and root planning of the pre-diabetic can lower blood sugar levels potentially offering a practical means of reducing the numbers who develop full type 2 diabetes.
Diabetes has many adverse effects on the periodontium, including decreased collagen turnover, impaired neutrophil function, and increased periodontal destruction. Neutrophil chemotaxis and phagocytic activities are compromised in diabetic patients, which can lead to reduced bacterial killing and enhanced periodontal destruction. Inflammation is exaggerated in the presence of diabetes, insulin resistance, and hyperglycemia.
Neelima et al (R) examined 1500 diabetic patients; the prevalence of periodontal disease in these patients was 86.8%, significantly higher than the general population. By the early 1990s periodontitis was referred to as the ‘sixth complication of diabetes’, and in 2003 the ADA formally acknowledged that periodontal disease is more often found in diabetics. Epstein demonstrated that essentially all the aspects of bone growth and mineralization are diminished in the absence of insulin i.e. hyperglycemia. Vascular changes also increase with increase in blood glucose levels (Oliver and Tervonen).
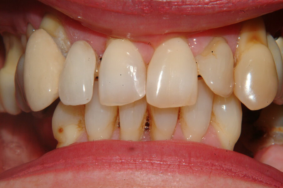
Fig 1. A significant inflammatory response, with bone loss in a poorly controlled diabetic
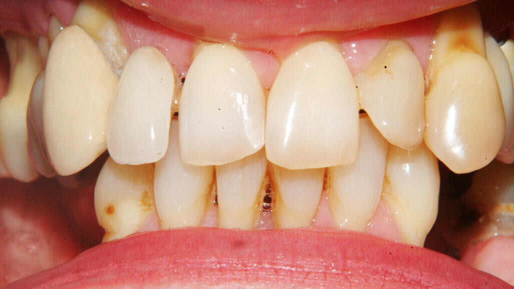
Fig 2. Advanced periodontitis and imminent tooth loss in a heavy smoker.
Periodontitis and Smoking
Second to bacterial plaque, smoking is the strongest of the modifiable risk factors for periodontal disease. Smokers harbor a higher prevalence of potential periodontal pathogens, and smoking impairs various aspects of immune responses, including neutrophil function, antibody production, fibroblast activities, vascular factors and inflammatory mediator production.
In smokers inflammation in response to plaque accumulation is reduced compared with nonsmokers and smokers have a decreased expression of gingival inflammation and bleeding on probing in the presence of plaque accumulation when compared with nonsmokers.
Smoking has been associated with a two- to eight-fold increased risk for periodontal attachment and/or bone loss, depending on the definition of disease severity and smoking dose.
One of the largest epidemiological studies reporting an association between smoking and periodontitis included 12,329 U.S. adults 20 years and older. In this study, current smokers were four times as likely to have periodontitis compared to nonsmokers after adjusting for age, race ethnicity, income, and educational level. Heavy smokers (≥ 31 cigarettes per day) using a stricter definition of periodontitis (mean whole mouth attachment loss of ≥ 4mm), the adjusted odds ratio was increased to 25.64 among smokers aged 50 years or more. Longitudinal studies have demonstrated that young individuals smoking more than 15 cigarettes per day showed the highest risk for tooth loss.
Smokers have a greater extent of colonization by periodontal pathogens than nonsmokers or former smokers particularly at shallow sites (pocket depth ≥ 4mm) with no differences between smokers, former smokers, and nonsmokers in pockets ≥ 4mm. This colonization, along with low gingival blood flow may lead to an increased prevalence of periodontal breakdown.
Smoking exerts a major effect on the protective elements of the immune response, resulting in an increase in the extent and severity of periodontal destruction. Neutrophils obtained from peripheral blood or saliva of smokers, have been shown to demonstrate functional alterations in chemotaxis, phagocytosis, and the oxidative burst. Smoking has been shown to impair the chemotaxis and phagocytosis of neutrophils obtained from the oral cavity, and in vitro studies of the effects of tobacco products on neutrophils have shown detrimental effects on cell movement and the oxidative burst.
Discussion
Both diabetes and smoking are increasing in the UAE particularly in younger individuals. Since scaling, polishing and root planning have been shown to lower blood sugar levels, and since smoking cessation improves the periodontal condition in many of these patients, it is the responsibility of all dental professionals to provide comprehensive periodontal care for all diabetics and pre-diabetics, and to provide accurate smoking cessation advice with appropriate referrals as indicated. The situation can be compounded when a diabetic also has a smoking habit.
The relationships between Periodontitis, Diabetes and Smoking are major areas of research interest at Dubai School of Dental Medicine.
Editorial note:
References are available from the authors.
Most dentists base their practice on an understanding of various risk factors thought to contribute to the common Dental Diseases. We have been taught that ...
Heart attack is the leading cause and diabetes is the sixth-leading cause of death in the United States.1 What goes relatively unnoticed, however, are their...
DOHA, Qatar: Since periodontitis and COVID-19 are both associated with systemic inflammation, researchers from Qatar University and Hamad Medical ...
ŌTSU, Japan: The links between diabetes, obesity and periodontal disease are well established; however, most studies on their associations have had sample ...
ABU DHABI, UAE: The Health Authority—Abu Dhabi (HAAD), the regulatory agency of the health care sector in the Emirate of Abu Dhabi, has reported that ...
GRANADA, Spain: A study led by researchers from the University of Granada has recently reported that men with periodontitis who are also diagnosed with ...
Dental imaging has been a corner-stone of diagnostic and procedural dentistry for well over a century. The first foundational principles of dental ...
DUBAI, UAE: At AEEDC Dubai, METASYS Medizintechnik is presenting its established system duo for efficient and hygienic dental practices: the EXCOM hybrid ...
AMMAN, Jordan: The rite of passage through university education into the professional world is one that for many students is fraught with tension. ...
Dentistry is evolving faster than ever. From digitalisation to changing economic realities, global market changes are redefining how clinicians work and how...
Live webinar
Thu. 14 May 2026
8:00 pm UAE (Dubai)
Live webinar
Thu. 14 May 2026
10:00 pm UAE (Dubai)
Prof. Hani Ounsi DDS PhD FICD
Live webinar
Tue. 19 May 2026
7:00 pm UAE (Dubai)
Live webinar
Tue. 19 May 2026
9:00 pm UAE (Dubai)
Prof. Dr. med. dent. Ivo Krejci
Live webinar
Wed. 20 May 2026
3:00 pm UAE (Dubai)
Dr. Graham Carmichael BDSc (Hons), DClinDent (Pros), FRACDS, Dr. Robert Gottlander DDS
Live webinar
Wed. 20 May 2026
5:00 pm UAE (Dubai)
Live webinar
Wed. 20 May 2026
9:00 pm UAE (Dubai)
Prof. Dr. med. dent. Tim Joda PhD, MSc, eMBA
To post a reply please login or register