Bone resorption following tooth loss is considered an obstacle for dental implant placement in desired positions, requiring bone augmentation procedures. Many techniques have been described to reconstruct horizontal alveolar ridge defects.
But one of many, platelet concentrate fibrin is considered nowadays an efficient technique in oral surgery; which is based on concentrating platelets and growth factors that is activated in fibrin gel in order to improve the healing.
The aim of this review was to discuss the use of PRF in oral surgery by exposing 3 clinical cases and discussing the properties in bone tissue engineering for PRF membranes, and wound healing with bone formation for Leucocyte platelet rich fibrin (LPRF) used as scaffold.
In the 3 clinical cases bone maturation was found excellent at 5 months as seen clinically, on X-rays and CAT scans.
Introduction
Tooth loss is frequently associated with subsequent bone loss, which results in inadequate bone dimensions for dental implant placement in an ideal position. When ridge resorption occurs, bone augmentation is essential to guarantee adequate bone volume to insure satisfactory functional and aesthetic results. For adequate stability of implants, especially in case of horizontal defects, ridge augmentation is mandatory.
Numerous reconstruction procedures have been proposed to restore horizontal alveolar bone dimensions in order to obtain a sufficient ridge volume for adequate implant placement and prosthodontic rehabilitation. Some of these techniques include: guided bone regeneration; Onlay bone grafts; distraction osteogenesis and ridge splitting technique.
Several materials may be used in the mentioned procedures, including autografts, allografts, xenografts, and alloplasts, as well as cross linked and non-cross linked collagene membranes.
Still advanced horizontal bone defects is recommended to be treated ideally using autologous bone graft due to its osteogenic, osteoinductive and osteoconductive properties which makes it the essential material for bone graft reconstructive surgery (1,2).
Unfortunately failure in hard tissue grafts in becoming a big concern nowadays, with many factors of recipient and donor sites involved.
In the following article we will be proposing a recently used technique which includes PRF associated to bovine bone with PRF membrane and adding a cross-linked collagen membrane as final closure. The average healing time prior to implant placement was 5 months in all three cases.
As it’s known, platelets are involved in the process of wound healing through blood clot formation and release of growth factors which promote healing of wounds.
Platelet-rich fibrin is a second generation of platelet concentrates which allows fibrin membranes to be enhanced with platelets and growth factors, beginning from an anticoagulant free blood harvest. Platelet-rich fibrin is considered a fibrin network that allows cell migration and proliferation therefore more efficient healing (3).
We used in the following clinical cases a combined large amount of bovine bone which was considered as a scaffold and a purely autologous platelet rich fibrin providing the growth factors for optimal bone formation. Three patients with severe horizontal maxillary and mandibular atrophy necessitating bone grafting for implant fixed crowns reconstruction were mentioned in the following article.
Figure 1: Preoperative intraoral view showing the ex- tended Maryland bridge compressing and replacing the loss of gum in the area.
Figure 2: Intraoral view showing the extended bone and gingival loss with recession on both central incisor and canine.
Figure 3: Occlusal intraoral view showing the advanced amount of bone loss.
Figure 4: Preoperative view showing vertical and horizontal bone loss.
Figure 5: After collection the PRF itself placed on tray ready to be converted into membrane.
Figure 6: Autologous fibrin membranes easily obtained by removing serum from clot
Figure 7: First layer of L-PRF membranes covering the associated xenograft-PRF (sticky bone) obtained that helped stabilizing the graft and insuring hemostasis.
Figure 8: Final layer of coverage formed by L-PRF mem- branes covering the cross-linked collagen membrane.
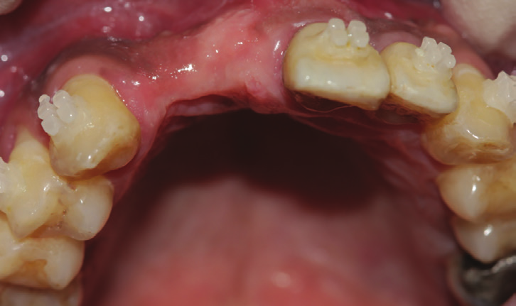
Figure 9: 5 months postoperative intraoral view showing substantial vertical and horizontal bone augmentation.
Figure 10: Intraoral view showing teeth loss on sites no 7 and 8 after restoring the space orthodontically.
Figure 11: CBCT cross-sectional view of sites no 7 and 8 revealed inadequate ridge width to support implant with restoration.
Figure 12: Preoperative view showing the amount of horizontal bone deficiency in the area.
Figure 13: L-PRF withdrawn from tube and placed on tray ready to be converted into membrane.
Figure 14: Combination of bovine bone and PRF (Sticky bone).
Figure 15: L-PRF membranes formed in specially fabrication kit.
Figure 16: A combination of bovine bone and PRF, covered by first layer of L-PRF membranes that help stabilize the graft and insure hemostasis.
Figure 17: 5 months intraoral view shows ridge augmentation that permitted implant placement in ideal prosthetic position.
Figure 18: OPG showing the final cemented restorations no 7 and 8.
Figure 19: Final result showing the cemented restorations no 7 and 8.
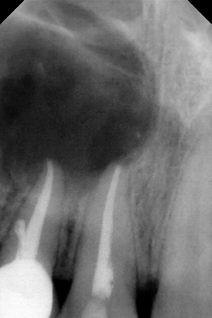
Figure 20: Periapical X-ray showing a 1.5 cm radiolucent lesion extending on apexes of teeth no 7 and 8 , note the lateral perforation on tooth no 7.
Figure 21: CAT view showing a radiolucent well circumscribed lesion with extended bone loss buccal, palatal and apical.
Figure 22: Inter operative view after reflection of mucoperiosteal flap, showing the extended amount of bone loss with intralesional secretion bulging outside the bone cavity.
Figure 23: Enucleation of the 1.5 cm lesion followed by extraction of endodontically perforated tooth no 7.
Figure 24: Bone cavity showing extended bone loss.
Figure 25: 3 months post-operative intervention, showing extended bone loss in the area.
Figure 26: 3 months post-operative CAT view showing the amount of bone loss in the area.
Figure 27: First layer of L-PRF covering the bovine bone associated PRF complex (sticky bone).
Figure 28: Second layer of L-PRFcovering the cross-linked collagen membrane covering the first complex.
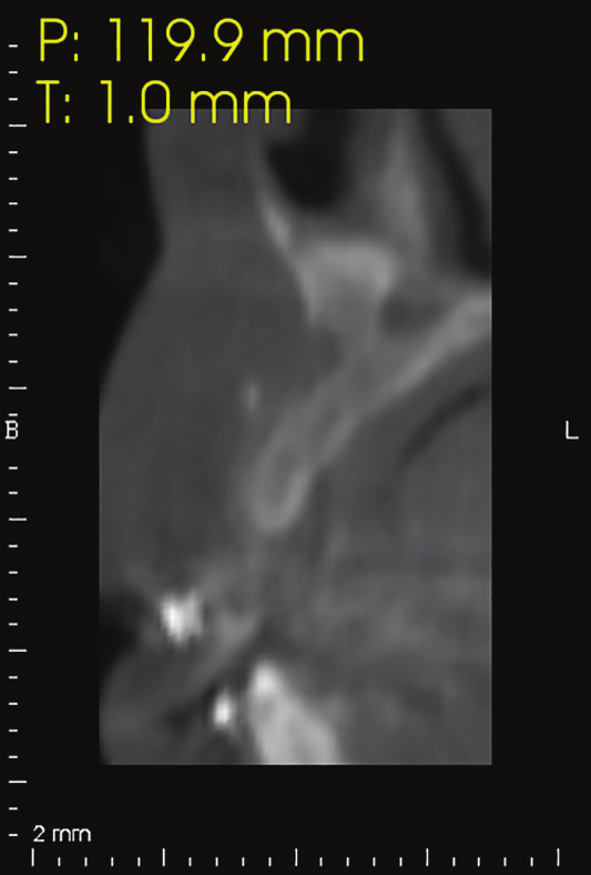
Figure 29: 5 months postoperative CBCT cross-sectional view revealed bone growth insuring an adequate placement of implant in an ideal position.
Clinical case 1
A 37 years-old female patient was present in our clinic in order to replace a 10 years old anterior Maryland bridge. Patient was medically fit with no health problems.
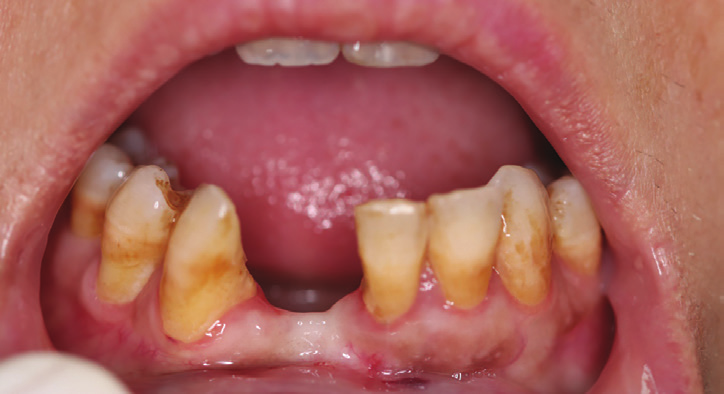
Intraoral examination showed a bridge replacing sites no 26 and 25 with a gingival extension replacing the bone loss in the area (Fig.1). Extra oral examination was normal.
After removal of the bridge an extended bone loss was found. (Fig.2, 3). X-rays and CAT views were taken for the region. The amount of bone loss was extended which was an indication for autologous bone graft. A PRF associated bovine bone technique was planned. A linear incision with mucoperiosteal flap elevation was conducted. The adjacent teeth showed also bone loss (Fig.4).
A PRF collection was done (Fig.5), some were mixed to the xenograft while others converted into autologous fibrin membranes (Fig.6).
A first layer of L-PRF membrane was placed covering the associated PRF xenograft entity, in order to stabilize the graft and insure hemostasis (Fig.7), a second layer covered the cross-linked collagen membrane placed (Fig.8).
The postoperative examination showed perfect healing with nomentioned complications. A 5 months postoperative intervention guided us to favorable ridge augmentation both vertically and horizontally, that permitted implant placement in ideal prosthetic position on sites no 25 and 26 (Fig. 9).
Clinical case 2
A 33 years-old male patient was visiting our clinic to replace missing teeth no 7 and 8. He was medically fit and mentioned that his teeth were lost due to car accident few years back. Intraoral examination shows absence of space for implant placement and restoration, orthodontic treatment was conducted for 18 sessions followed by surgical implant placement after stabilization of the occlusion. Following the restoration of the space, the amount of horizontal bone loss was evident both clinically and on CAT examinations (Fig.10, 11). A linear incision with mucoperiosteal flap elevation were conducted, the amount of horizontal bone loss was advanced (Fig. 12), which was an indication for autologous bone graft, patient refused to undergo an invasive surgery so PRF associated bovine bone was planned in the area. Blood withdrawal and centrifugation were done with preparation of both L-PRF membranes and sticky bone (bovine bone associated PRF) (Fig.13, 14,15). The combination was placed on the host bone deficiency and covered by a first layer of L-PRF membranes in order to stabilize the graft and insure hemostasis, the second layer of L-PRF membranes covered the cross linked collagen membrane placed in the same area and covering the first entity (Fig.16).
5 months postoperatively, another surgical intervention was planned to place implants. Both x-rays and per operative view showed a very satisfying ridge augmentation (Fig.17), which permitted placement of implants in ideal prosthetic position (Fig.18).
The final result was both aesthetically and functionally overwhelming for the patient, especially the amount of time which was limited compared to autologous bone graft (Fig.19).
Clinical case 3
A 38 years-old female patient came to our clinic with swelling upper anterior area, she was medically fit with no health problems. The patient underwent an orthodontic treatment for 2 years and was about to remove it and place retainer. Intraoral examination showed swelling apical area of tooth no 7. The periapical x-ray and CAT view revealed a lateral perforation on the same mentioned tooth with a well circumscribed radiolucency in apical area (Fig.20, 21). Pain on percussion and slight mobility were noted. A surgical enucleation and extraction of tooth no 7 were conducted (Fig.22, 23, 24). 3 months postoperative CAT view shows an advanced horizontal bone loss with no recurrence of lesion in the area (Fig. 26), clinically after reflection of mucoperiosteal flap, the situation confirmed the CAT image (Fig.25) , the case was planned for PRF -associated bovine bone technique replacing the aggressive autologous bone graft procedure. After collection of PRF from patient blood culture, a first layer of L-PRF covering the bovine bone associated PRF complex (sticky bone) was done (Fig.27). The second layer of L-PRF came to cover the cross-linked collagen membrane (Fig. 28).
5 months postoperative CBCT cross-sectional view revealed bone growth insuring an adequate placement of implant in an ideal position.
Discussion
Autologous bone graft is characterized by its osteoinductive, osteogenic and osteoconductive characteristics rending it the treatment of choice for atrophic ridges (9,10), yet it is still difficult to demonstrate which procedure is superior to the other (6).
Few years back the introduction of PRF technology in oral surgery made a big impact to our daily practice (7).
The platelet-rich plasma (PRP) which is the precursor of the platelet–rich fibrin (PRF), is a solid fibrin based biomaterial used lately in bone graft techniques. Choukroun’s PRF that includes Leucocyte and plateletrich fibrin (L-PRF) started being widely applied in oral surgery since it showed important results (4).
In the following article, the 3 clinical cases where the bone loss was in advanced levels, the use of L-PRF associated xenograft resulted in gaining time for implants placement with bone structure very similar to autograft in resultant bone volume.
As per Tatullo and al, with the aid of PRF the healing time is significantly reduced and the implant can be placed at 4 months after surgery (8).
On the other hand Choukroun and al, concluded that the fibrin molecule having as low polymerization mode will help enhance the healing process for the PRF membrane obtained (5).
The PRF associated bovine bone procedure to increase the bone volume in atrophic ridges with advanced defects is clinically worthwhile because of its simplicity and the good treatment results (8). As it shows the follow-up period is acceptable and the preliminary results did not show any failures.
As per our 3 clinical cases, bone maturation was found excellent at 5 months as seen clinically and on X-rays and CAT scans making it a reliable treatment in cases of atrophic ridges.
Conclusion
The continually evolving field of PRF strives to create results similar to those with autologous bone graft.
The 3 clinical cases reported in the present article achieved a clinical and radiological success by using the PRF associated bovine bone protocol. The use of xenograft combined with L-PRF allowed fast soft and hard tissue healing with less traumatic procedure for patients with reconstruction of alveolar ridges at the gingival and bone level very similar to autogenous bone graft techniques. Patients were overwhelmed with the aesthetic results obtained in a very limited time margin. In the light of the following technique, the results were faster compared to autologous bone graft procedure. We are invited today to accept the transition in using PRF in oral surgery due to its satisfactory results achieved using a minimal invasive procedure.
References
- Contar CM, Sarot JR, Bordini J Jr, et al. Maxillary ridge augmentation with fresh-frozen bone allografts. J Oral Maxillofac Surg 2009;67: 1280-1285.
- Barone A, Varanini P, Orlando B, et al. Deep-frozen allogeneic onlay bone grafts for reconstruction of atrophic maxillary alveolar ridges: A preliminary study. J Oral Maxillofac 2009;67: 1300-13063.
- Lauritano D, Avantaggiato A. Is platelet-rich fibrin really useful in oral and maxillofacial surgery? Lights and shadows of this new technique. Annals of Oral and Maxillofacial surgery2013;1(3): 25.
- Cieslik-Bielecka , Dohan Ehrenfest DM. Microbicidal properties of leukocyte-and platelet-rich plasma/ fibrin(L-PRP/L-PRF): new perspectives. J Biol Regul Homeost Agents. 2012; 26(2 Suppl 1): 43-52.
- Dohan D, Choukroun J, Diss Platelet-rich fibrin (PRF): A secondgeneration platelet concentrate. Part I: Technological concepts and evolution. Oral Surg Oral Med Oral Pathol Oral Radiol Endod 2006; 101: 37-44.
- Chiapasco M, Casentini P. Bone augmentation procedures in implant dentistry. Int J Oral Maxillofac Implants 2009: 237-259.
- Anitua E, Sanchez M. New insights into and novel applications for platelet-rich fibrin therapies. Trends in biotechnology 2006; 24(5): 227-234.
- Tatullo M, Marrelli M. Platelet Rich Fibrin (P.R.F) in reconstructive surgery of atrophied maxillary bones: Clinical and histological Int J Med Sci 2012; 9(10): 872-880.
- Preti G. Implantologia: Nuove acquisizionie aspetti clinici: int: Riabilitazione UTET:2003: 203-206.
- Lekholm U, Wannfors K. Oral Implants in combination with bone grafts. Int J Oral Maxillofac Surg 1999; 28: 181-187.
About the authors
Carine Tabarani, DDS, MSC ORAL SURG, IMP, ORAL MED.
Specialist Oral surgery and implantology, Oral medicine
Senior lecturer, department of topographic anatomy Saint Joseph University, Beirut, Lebanon.
French Dental and Aesthetic Center-Abu Dhabi; UAE
Musa Jaffal
Specialist Orthodontist French Dental and Aesthetic Center-
Abu Dhabi, UAE
Rabih Abi Nader, DDS, MSC ORAL SURG, ORAL MED.
Specialist Oral surgery and implantology, Dubai Sky Clinic-Dubai;UAE
Having a mouth full of misaligned, yellowed teeth can be an intense, even traumatizing experience. Folks may spend years ashamed of their smiles before they...
In 1998, the London hospital dental schools at the Royal, Guy’s, St Thomas' and King’s merged with the university of King’s College London, uniting ...
We’re here at the 13th CAD/CAM Conference in Dubai. This is the second time I’m here, the first time I was here was about three years ago at the tenth ...
There are many misunderstandings surrounding whitening toothpastes. We tackle the common patient misconceptions to help you confidently recommend the most ...
DUBAI, UAE: There are many misunderstandings surrounding whitening toothpastes. We tackle the common patient misconceptions to help you confidently ...
Success CD is Promedica’s composite-based, self-curing paste system for quick and easy chairside production of temporary crowns, bridges, inlays and ...
DOHA, Qatar: Virtual reality (VR) is rapidly gaining ground in dental training, particularly for restorative dentistry. A new bibliometric study from a team...
DAMASCUS, Syria: As health workers, dentists are occasionally placed at risk of disease transmission, since they are exposed to bloodborne infections of ...
DUBAI, UAE: Ahead of the opening of this year’s UAE International Dental Conference and Arab Dental Exhibition (AEEDC Dubai), the Dubai World Dental ...
Sinterex is the first company in the UAE to offer metal 3D printed Chrome Cobalt frameworks for crowns and bridges.
Live webinar
Mon. 1 June 2026
9:00 pm UAE (Dubai)
Live webinar
Wed. 3 June 2026
9:00 pm UAE (Dubai)
Live webinar
Thu. 4 June 2026
10:00 pm UAE (Dubai)
Live webinar
Mon. 8 June 2026
8:00 pm UAE (Dubai)
Live webinar
Mon. 8 June 2026
9:00 pm UAE (Dubai)
Dr. Anthony Mak B.D.S, Prof. Marleen Peumans
Live webinar
Mon. 8 June 2026
10:00 pm UAE (Dubai)
Live webinar
Wed. 10 June 2026
7:00 pm UAE (Dubai)