Prosthetic treatment using monolithic all-ceramic crowns and composite bridges
The present report describes the reconstruction of a severely worn dentition with the use of fixed restorations and with maximum preservation of the existing tooth structure. Implants were employed for the restoration of the partially edentulous lower jaw. Rehabilitation of the generally worn teeth was attained with all-ceramic materials. Temporization was preceded by splint therapy and comprehensive pre-prosthetic treatment. The press technique and the CAD-on technique were utilized in the transfer from the temporary to the final all-ceramic reconstruction. This report describes the individual treatment stages and discusses the approaches taken in these stages.
For some years now, monolithic all-ceramic restorations have been a frequently used treatment option for the reconstruction of destroyed tooth structure. Their benefits include the ability to eliminate the use of metal, to implement a cost-efficient manufacturing procedure and to exclude the risk of chipping associated with veneering ceramics. With the increase in the use of all-ceramic materials, the failure rate of some of these materials at high loads (bruxism and other parafunctions) has been discussed. However, advances in materials engineering and adhesive technology have led to the introduction of ceramic systems (e.g. lithium disilicate) that can be used for high load bearing restorations.
Introduction
This report focuses on the prosthetic treatment of a severely worn dentition in a bruxer. A consistent treatment plan is as critical to a successful rehabilitation as is a correct diagnosis and the implementation of pre-prosthetic treatment measures. Material selection also becomes a crucial criterion of success or failure. We are of the opinion that it is possible to use all-ceramic materials in patients with bruxism - even if the ceramics manufacturers mostly state otherwise -, as long as the materials are selected appropriately to accommodate the requirements of the given indication and then applied correctly. Yet, there is no such thing as a universal ceramic. Rather, the treatment team must take a decision that does justice to the specific circumstances of the indication at hand. Monolithic restorations made of lithium disilicate (IPS e.max Press, Ivoclar Vivadent) using the press technique are possible for the treatment of single teeth. When fabricating long-span restorations (e.g. implant-supported bridges), a combination of lithium disilicate and zirconium oxide may present a viable alternative to purely monolithic zirconium oxide or metal-ceramic restorations.
Rehabilitation of a dentition damaged by bruxism
The term "bruxism" refers to various parafunctional activities of the stomatognathic system. Bruxism is assumed to have multiple possible causes. Causal treatment of bruxism should depend on whether the disorder is caused by medical or psychosocial factors. The oral and physical consequences of bruxism vary in severity depending on the severity of the parafunctions. In many cases, bruxism correlates with at least some degree of dental attrition or wear. Particularly in patients with an inadequately restored, interrupted dentition, for instance in older people, the residual teeth which still have contact to the antagonists may be affected by a severe loss of tooth structure. Generally, rehabilitation of a patient with a worn dentition presents a considerable challenge to the treatment team. In this context, extensive pre-prosthetic planning and consistent implementation of the treatment plan are essential prerequisites for the success of the treatment. Primary objective of the rehabilitation is to establish a stable occlusion and an adequate vertical dimension. Implementing a diagnostic and therapeutic stage are just as essential on the pathway to a full-mouth rehabilitation as are wearing a protective splint and performing regular check-ups. Before restoring the worn dentition, a decision as to which materials to use has to be taken. On the one hand, the risks of a preparation trauma should be minimized. On the other hand, adequate strength should be provided to rule out chipping of the material or damage being caused to the temporomandibular joint. In addition, the aesthetic expectations of the patient should be considered. If veneering ceramics are used, chipping in the areas of high masticatory stress is another risk that should be taken into account.
Strength of all-ceramic materials in dentition of patients with bruxism
First, we have to decide which of the two aspects should be given predominance: aesthetics or adequate strength under high masticatory stress. Strength is decisive for the long-term stability of a restoration, particularly in patients with bruxism. The higher the crystalline content, the stronger the ceramic material is. This is particularly true for oxide ceramics (ziconium oxide, strength > 1000 MPa), which is a material that has a dense microstructure and is consequently highly opaque. It may therefore not always meet the aesthetic requirements of a restoration. While more recent zirconium oxide versions offer increased translucency, their strength is considerably lower than the strength of their predecessors. Conventional silicate ceramics are based on a leucite-reinforced glassy phase, which has a beneficial effect on aesthetics. With a strength of 80 to 200 MPa, however, their strength is woefully low. Having an initial flexural strength ranging from 360 to 400 MPa, lithium disilicate glass-ceramic materials (IPS e.max Press and CAD) are located between the strength values of zirconium oxide and conventional silicate ceramics. Lithium disilicate is naturally translucent and is indicated for monolithic single-tooth restorations, three-unit bridges (premolar region), hybrid abutments and hybrid abutment crowns. Monolithic restorations significantly reduce the risk of chipping compared with veneered restorations and are therefore particularly advantageous for patients with bruxism. A possible route to employ this material also for posterior bridges is to use the CAD-on technique (IPS e.max CAD Veneering Solutions) to produce composite bridges. If this technique is used, the framework is created from high-strength zirconium oxide and then a monolithic veneering structure made from comparatively "elastic" and above all aesthetic lithium disilicate is sintered to it. This special combination of materials and the homogeneous ceramic bond created between them results in strong restorations that can withstand severe masticatory forces and prevent fractures from occurring. Even if, according to the manufacturer, these indications are contraindicated for patients with bruxism, from a pragmatic point of view, two material concepts emerge as possible routes to an all-ceramic full-mouth rehabilitation: monolithic restoration using high-strength lithium disilicate glass-ceramics and the CAD-on / Veneering Solution technique for posterior bridges.
Clinical case
Preoperative situation, diagnosis and treatment planning
A 67-year-old male patient presented with a functionally and aesthetically severely compromised dentition. His pressing need at the initial assessment was to have his dental situation improved. He wanted his teeth to be restored to their "old" functional and aesthetic shape. His general medical history did not reveal anything unusual. He did not complain about TMJ problems or jaw tension.
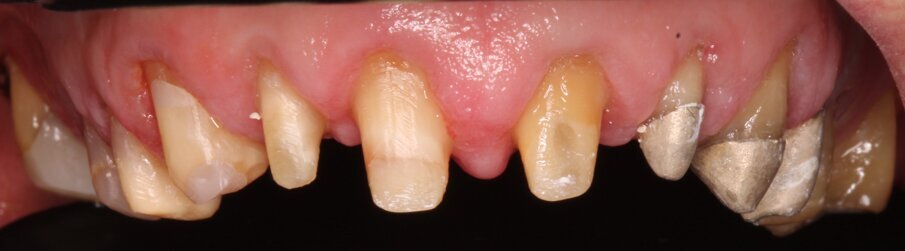
The gaps in his upper posterior region had been prosthetically filled with restorations that were now defective. In the mandible, the patient was edentate in the posterior region on both sides. The teeth that were still in situ showed signs of generalized dental wear. A detailed clinical and radiological assessment revealed an extensive loss in vertical dimension, severe abrasion and attrition, pronounced bruxism and a high lip line (Fig. 1). The occlusal and incisal surfaces showed flat, sharply confined wear facets that corresponded to the opposing teeth. The cervical areas of the teeth were characterized by wedge-shaped non-carious defects (abfractions) typically observed in bruxers. Anterior esthetics was negatively affected by several factors. For instance, the incisal edge line jarred with the lower lip curvature. This mismatch was caused by the loss of tooth structure, change in the length-to-width ratio of the anterior teeth and interruptions in the anterior row caused by the loss of proximal contacts.
Figs 1A- B: Dentition damaged by bruxism with partially edentulous arches and severe loss of vertical dimension
Fig. 2: Bite registration at rest and assessment of the loss of height in vertical dimension
Fig. 3: Wax-up of the planned prosthetic situation
Fig. 4: Vacuum-formed tray prepared from the wax-up as guide for surgical crown lengthening procedure
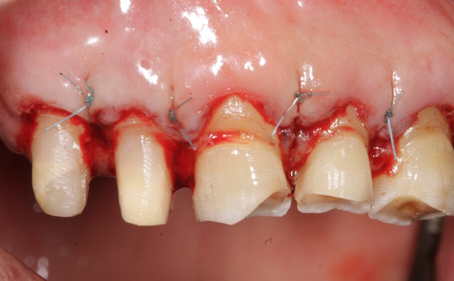
Fig. 5: Sutures after surgical crown lengthening in the maxillary jaw
Figs 6 and 7: Build-up of teeth 12, 11, and 21 with endodontic posts made of glass fibre-reinforced composite
Fig. 8: Composite build-ups on teeth 12, 11 and 21 and cast build-ups on teeth 22, 23 and 24
Fig. 9: X-ray template (derived from the wax-up)
Fig. 10: Implant position planning on the CT image
Fig. 11: Insertion of the implants with the help of the guiding template
Fig. 12: Implant abutments in situ
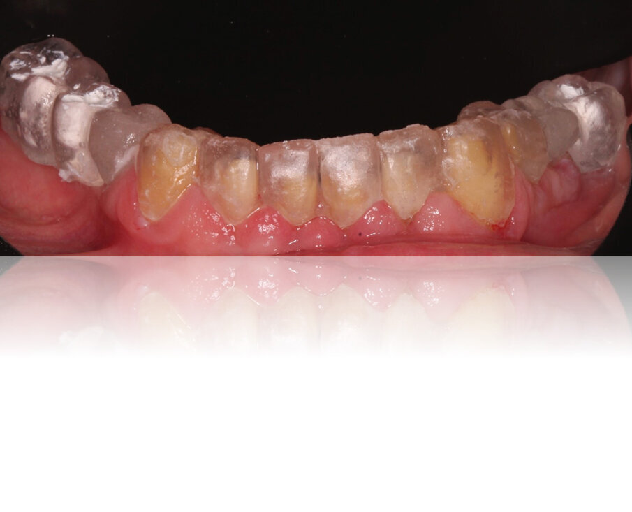
Figs 13A-B: CAD/CAM based fabrication of long-term temporaries from high performance PMMA
Figs 14A-B: Upper and lower jaw with the long-term temporaries in place
Fig. 15: Upper jaw impression for the fabrication of the permanent restorations
Fig. 16: Transfer of the validated vertical relation using a sequential split mouth procedure
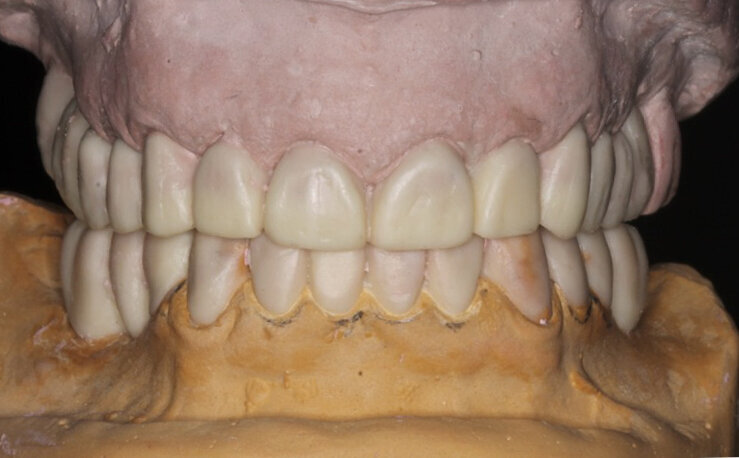
Figs 17A-B: Waxed-up crowns on the model and waxed to the investment ring base.
Fig. 18: Ceramic crowns after completion of the press procedure
Fig. 19: Milled IPS e.max CAD abutment crown before bonding
Fig. 20: IPS e.max CAD abutment crowns before being screwed into place
Fig. 21: Milled zirconium oxide framework and ground lithium disilicate veneering structure
Fig. 22:Try-in of the framework prior to finalization
Fig. 23: Completed CAD-on bridge
Figs 24A-B: Conditioning the glass-ceramic components
Fig. 25: Conditioning the tooth preparations
Fig. 26: Light-curing after adhesive bonding of the crowns
Fig. 27: Screw-retained IPS e.max CAD restorations
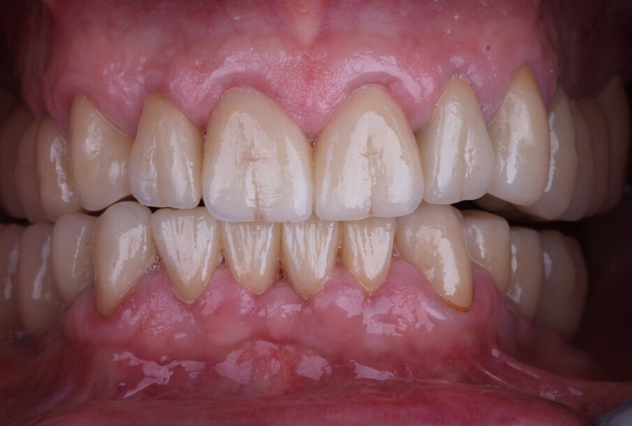
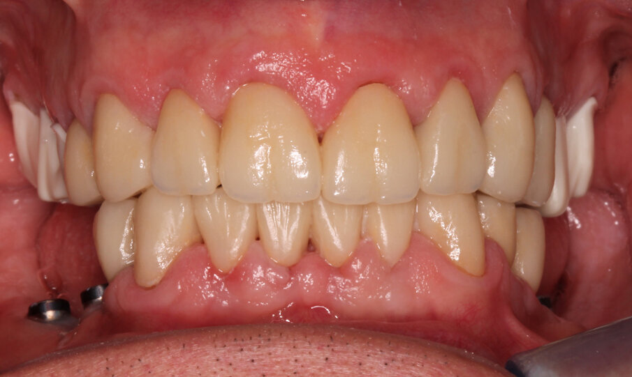
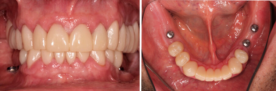
Fig. 28: Situation after placement of the all-ceramic restorations
Fig. 29: Evaluation of the functional parameters, here in laterotrusion
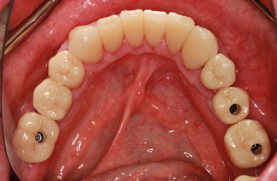
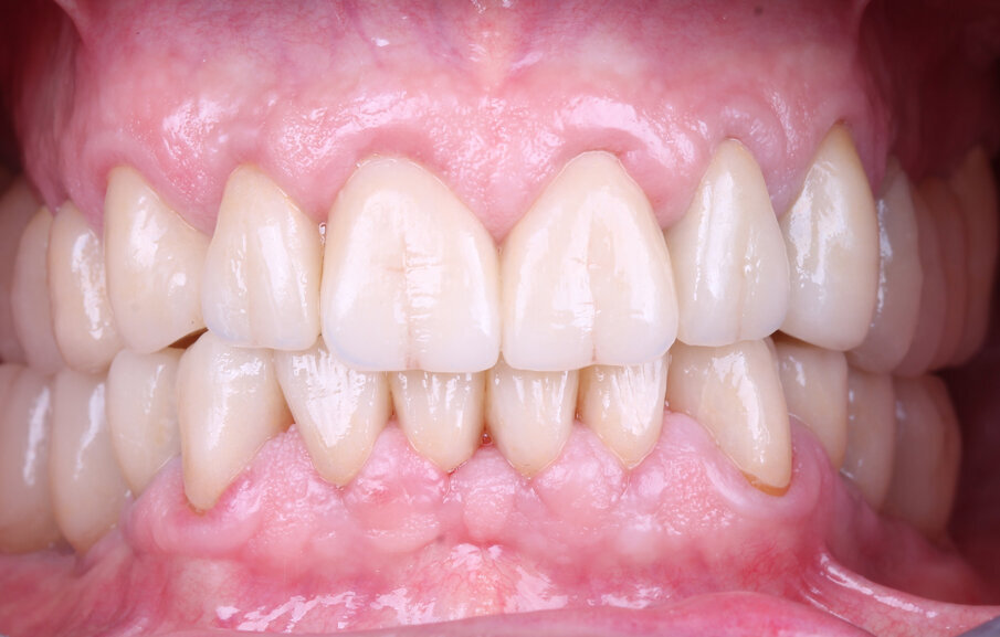
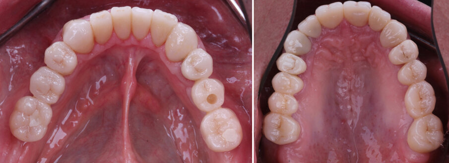
Figs 30A-B: Occlusal view of the restorations in the upper and lower jaw
Fig. 31 A relaxed and happy patient after completion of the treatment
Diagnosis
Generalized abrasion with a severely reduced vertical jaw base relationship, prosthetically inadequately restored dentition with missing teeth and free-end gaps. Each tooth was individually assessed for its risk of failure and all of them - except for teeth 27 and 28 - were given a good prognosis.
Treatment plan: Functional restoration of the vertical dimension of occlusion (VDO), surgical crown lengthening, restorative reconstruction, long-term temporization, insertion of three implants in the lower jaw, final prosthetic reconstruction with all-ceramic restorations.
The treatment was implemented in two phases:
1. Initial (pre-prosthetic) phase
2. Restorative (prosthetic) phase
Functional reconstruction and crown lengthening
An impression of the oral situation was taken and the situation was recorded using a facebow. By determining the interocclusal space at rest (freeway space), we were able to evaluate the loss of height in the vertical relation (Fig. 2). In the lab, the models were mounted on a semi-adjustable articulator. The pre-prosthetic phase was begun by having the patient wear a splint to stabilize the bite. For this purpose, an occlusally adjusted splint was prepared to attain the envisaged vertical height in a centric condylar position. The patient wore this appliance for three months. He had no problems in adjusting to the new VDO.
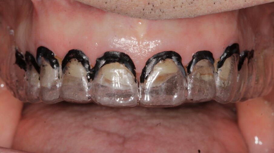
When the diagnostic wax-up was created, the functional requirements and aesthetic expectations of the patient were taken into consideration (Fig. 3). Removal of the existing restorations was followed by surgical crown lengthening of the upper and lower teeth in the anterior and premolar region. A vacuum-formed tray was created from the diagnostic wax-up and used as a template, or guide to attain the planned tooth length (Fig. 4). Excess tissue was carefully removed, the gingival tissue around the teeth incised and temporarily folded back and the bone reduced by the necessary height. The surgical site was closed with loose sutures (Fig. 5).
Upon completion of the healing phase, preparation of the teeth for the restorative treatment began. The amalgam fillings and secondary caries were meticulously removed. Some of the teeth required preparation for the placement of the crowns. Teeth 12, 11, and 21 received endodontic treatment with glass fibre reinforced endodontic posts (FRC Postec Plus, Ivoclar Vivadent, see Figs 6 and 7) and a core build-up made of self-curing composite (Multicore Flow, Ivoclar Vivadent). The endodontic posts consisting of a specially developed composite matrix offer a natural translucency and dentin-like elasticity (flexural strength). The composite used for the core build-up is available in several shades and provides favourable mechanical and aesthetic properties. Teeth 22, 23 and 24 received cast gold posts (Fig. 8) and the other teeth were built up with composite to enable them to be used as abutments.
Implant insertion
An X-ray template was created on the basis of the wax-up and then used for planning the position of the implants in the lower jaw. Perforations were applied to the occlusal surface of the template at the implant exit points that were deemed most suitable for achieving an ideal prosthetic restoration and filled with radiopaque material (Fig. 9). Preparation of a CT scan with the template in place was followed by virtual implant position planning in region 36, 45 and 46 (Fig. 10). We reworked the X-ray template into a guiding/drilling template for the insertion of the implants. The surgical intervention was uneventful. Subsequently, the three implants (Astra Tech, Dentsply Implants) were inserted into the local bone (Fig. 11), healing abutments were screwed onto the implants and the implant sites were closed with sutures.
Long-term temporisation
The patient received a long-term temporary restoration to stabilize the planned vertical occlusal dimension and to validate the aesthetic objectives. A high-performance PMMA (TelioCAD, Ivoclar Vivadent) was used for the fabrication of the temporaries. Wax-up and CAD/CAM enabled a swift implementation of this stage (Fig. 13). Although a monolithic design was used, the translucent properties of the polymer lent a lifelike appearance to the temporaries (Fig. 14). The patient was very comfortable with the restorations and did not report any functional complaints. The aesthetic appearance was considerably improved, which was reflected in both the patient's speech and facial expression.
Permanent prosthetic restoration
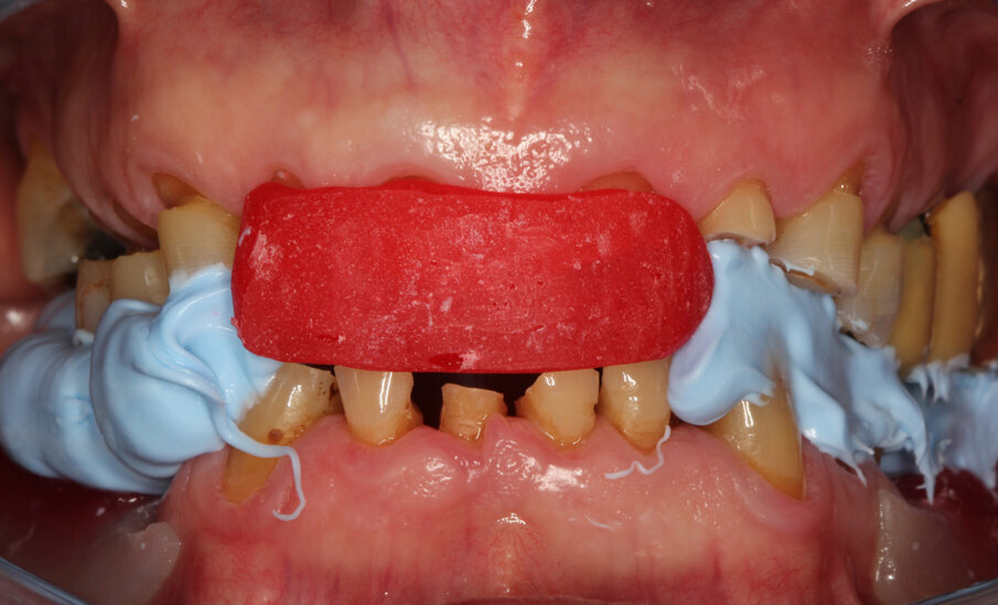
The patient was wearing the long-term temporaries for an adequate length of time to get used to the new VDO, which was then to be transferred to the permanent restoration. Once the temporaries were removed, an impression of the prepared teeth was taken using a vinly polysiloxane precision impression material (Virtual, Ivoclar Vivadent). The propitious hydrophilic properties of the impression material allow for a detailed and accurate recording of the oral hard and soft tissues [B. K. Nøvling , University of Texas , 2001], providing the ideal conditions for obtaining high-precision working models. The validated occlusal position was transferred to the articulator using a sequential split mouth method (Fig. 16). A facebow registration was performed for the skull-related repositioning of the upper jaw model.
All-ceramic single-tooth crowns
In line with the treatment plan, the dental technician created monolithic single-tooth crowns using lithium disilicate. Polychromatic press ingots were used for the press technique (IPS e.max Press Multi, Ivoclar Vivadent) to achieve the planned aesthetic result with maximum efficiency (Figs. 17a and b, Fig. 18). These ingots feature a shade and translucency progression from the dentin to the incisal area, allowing natural looking restorations to be obtained in a single press procedure. The need for using the time-consuming layering technique is eliminated. Efficiency is therefore increased and the risk of chipping minimized. To impart the restorations with an age-appropriate appearance, characterizations were applied only to the surface by designing fine micro- and macro-textures and by creating characterizations with the help of stains.
All-ceramic implant abutments
The implants were fitted with customized hybrid abutment crowns made of lithium disilicate (IPS e.max CAD). The hybrid crowns were designed using CAD software, ground from specially developed lithium disilicate blocks and extraorally bonded to a titanium base using a specialist luting composite (Multilink Hybrid Abutment, Ivoclar Vivadent, see Figs 19 and 20). Subsequently, the monolithic hybrid abutment crowns were screwed into place in the oral cavity. The IPS e.max CAD blocks for the manufacture of hybrid abutments or hybrid abutment crowns feature a pre-fabricated interface (e.g. for the Sirona Ti base) and ensure a high accuracy of fit. In our opinion, the reduced flexural strength of the lithium disilicate, compared with zirconium oxide, has a favourable effect on the patient's chewing comfort and the implants. In view of the fact that implants have no inherent mobility and therefore have only reduced tactility, we assume that lithium disilicate provides a suitable abutment material for restorations in patients with bruxism.
All-ceramic bridges
To somewhat cushion the high masticatory forces that are to be expected in a bruxer to be occurring in the posterior region, we opted for lithium disilicate, here too. However, here the focus was on reliability and strength. For this reason , we decided to design what is termed as a composite bridge (IPS e.max CAD Veneering Solutions). This unique combination of lithium disilicate (LS2) and zirconium oxide (ZrO2) allows the fabrication of tooth- and implant-supported bridge constructions that offer an exceptional overall strength and aesthetically pleasing properties. Two structures are required to create the restoration: a high-strength zirconium oxide framework (IPS e.max ZirCAD) and a glass-ceramic veneering structure (IPS e.max CAD, see Fig. 21). After both structures were manufactured using a CAD/CAM procedure (inLab MC-XL, Sirona), the framework was tried in and fine tuned down to the last fine details before finalization (Fig. 22). The short processing times required to complete the structures increase the rate of efficiency and productivity. After the try-in, the two structures, which had been milled or ground separately, were fused together to achieve a homogeneous ceramic bond using a fusion glass-ceramic (IPS e.max CAD Crystall./Connect, Ivoclar Vivadent, see Fig. 23). The fusion process takes place at the same time as the crystallization process of the lithium disilicate.
Seating the restorations
The IPS e.max Press restorations were seated using a dual-curing luting composite (Variolink Esthetic DC, Ivoclar Vivadent) that features optimum aesthetic properties. The glass-ceramic components were pre-treated using a single-component primer (Monobond Etch & Prime, Ivoclar Vivadent) acccording to the manufacturer's instructions. The tooth preparations were conditioned with an adhesive (Adhese Universal, Ivoclar Vivadent, see Figs. 24 and 25). Once an appropriate shade of luting composite was selected, the glass-ceramic restorations were permanently seated using an adhesive luting technique (Fig. 26).
The IPS e.max CAD hybrid crowns were screwed into place (Fig. 27) and the screw channels sealed using an aesthetic composite filling material.
The zirconium oxide supported IPS e.max CAD-on bridges were seated using a self-curing resin cement (SpeedCEM Plus, Ivoclar Vivadent).
We checked all functional and aesthetic parameters and then showed the patient how to wear a protective splint (Figs 28 to 31). The splint should be worn during the night. Furthermore, regular check-ups at four-month intervals were planned.
Discussion
All-ceramic materials are sometimes described as too risky for the prosthetic rehabilitation of patients with bruxism. Even today, bruxism is often mentioned as a contraindication. This is certainly true as far as conventional ceramic materials with a high brittleness are concerned. When it comes to these materials, the failure rates at high loads (parafunctions) should be critically assessed. However, advances in material engineering and adhesive technology have led to considerable progress. In the view of the writer, modern ceramic materials and concepts can be suitable for restorations in patients with bruxism - provided that they are processed in accordance with the clinical indication.
Overview of the data for the materials used in this report
IPS e.max CAD-on: Clinical data of up to three years of clinical wear are available for the CAD-on technique. The mean observation period is 21 months for bridges and 36 months for crowns. Two studies examined 29 three-unit bridges [Watzke et al., 2012; Blatz et al., 2012]. No failures have been reported to date. Another study including 30 bridges was initiated in 2012 [Sailer et al., 2012]. Still another study [Beuer et al., 2012] was also initiated in 2012. In addition, a prospective study carried out at the University of Pennsylvania by von Blatz et al. evaluated the performance of what are termed as composite bridges manufactured using the CAD-on technique. Twenty-five patients received a three-unit CAD-on bridge. After six months of service, all restorations were rated as "very good" or "good".
IPS e.max Press: Data of up to ten years are available for lithium disilicate restorations made using the press technique. A survival rate of 97% after a mean observation period of 5.6 years has been established on the basis of 642 restorations (crowns) – five external clincial studies [Böning et al., 2006; Etman and Woolford 2010; Guess et al., 2012; Gehrt et al., 2012; Dental Advisor 2012] and an internal Ivoclar Vivadent study. Failures (2.5 %) were attributable to fractures (1.6 %), endodontic complications (0.2 %) and secondary caries (0.2 %). Four of the crowns (0.6 %) were excluded from the study due to crack formation. Chipping occurred in 3.4% of the restorations but could be repaired in all cases in situ. Systematic studies on the survival rate of conventional glass-ceramic materials show a fracture rate of 3.8 % [Heintze and Rousson, 2010a]. The survival rate of metal-ceramic crowns is 95.6 % after 5 years [Pjetursson et al. 2007]. Biological or technical complications were reported in 5 to 10%. Having a fracture rate of 1.6% and a survival rate of 97.5%, IPS e.max Press shows better clinical success rates than conventional materials, such as glass-ceramics or metal ceramics. Particularly if used for monolithic structures, the material appears to be suitable for patients with bruxism.
Conclusion
In the clinical case described in this report, the treatment goal was achieved and the functional and aesthetic expectations of the patients were fully met. All-ceramic restorations were employed for the rehabilitation of the dentition that had been severely damaged by bruxism. If we take a retrospective view, the importance of thorough diagnostics, careful treatment planning and a step-by-step pre-prosthetic treatment phase becomes evident. Consistent adherence to the treatment plan is equally important. Only after the planned vertical dimension is achieved with the help of long-term temporaries should the permanent prosthetic restoration phase be begun. When selecting the materials for the prosthetic restoration, the high functional loads to which the dentition of a bruxer is exposed should be considered and, ideally, monolithic structures should be preferred. If these points are taken into consideration, long-term stability of the bite and, if appropriate materials are used, high aesthetics can be achieved.
As an oral surgeon and prosthodontist specialising in full-mouth rehabilitation, I have consistently sought to integrate advanced technologies into my ...
Patient: 55-year-old patient with an insufficiently restored dentition and a reduced vertical Dimension of occlusion.
Antimicrobial resistance is a mounting global health threat, and dentistry accounts for a notable share of antibiotic use. In conflict-affected settings ...
The NUVO CEEMEA Team has completed second fresh frozen human cadaver course in Istanbul in Turkey. This fruitful course was aimed to enhance the clinical ...
JEDDAH, Saudi Arabia: A staggering 1.5 billion people are estimated to suffer from some level of hearing loss globally according to the World Health ...
A 28-year-old female patient had the primary complaint of spacing in the upper front tooth region. The patient’s medical history did not reveal any ...
The collaborative efforts of the Kuwaiti Orthodontics Society (KOS) and the Center for Advanced Professional Practices (CAPP) lead to highly successful 1st ...
Dentistry is evolving faster than ever. From digitalisation to changing economic realities, global market changes are redefining how clinicians work and how...
CAPP recently hosted an engaging pediatric hands-on course led by the esteemed Dr. LaRee Johnson from USA at the CAPP Training Centre in Dubai. The event, ...
SHARJAH, UAE: Besides the negative side effects, health experts are increasingly concerned that long-term or improper use of chlorhexidine-containing ...
Live webinar
Mon. 11 May 2026
8:00 pm UAE (Dubai)
Live webinar
Mon. 11 May 2026
9:00 pm UAE (Dubai)
Live webinar
Tue. 12 May 2026
9:00 pm UAE (Dubai)
Live webinar
Thu. 14 May 2026
8:00 pm UAE (Dubai)
Live webinar
Thu. 14 May 2026
10:00 pm UAE (Dubai)
Prof. Hani Ounsi DDS PhD FICD
Live webinar
Tue. 19 May 2026
7:00 pm UAE (Dubai)
Live webinar
Tue. 19 May 2026
9:00 pm UAE (Dubai)
Prof. Dr. med. dent. Ivo Krejci