Recently, several new ceramic materials were launched in the market due to the growing demand for safety and aesthetically pleasing prosthetic solutions. CAD/CAM chairside technology has been developed with the aim of manufacturing prosthetic structures with characteristics of constant quality. CAD/CAM technology not only offers the possibility of directly designing a restoration on a computer and automatically obtaining the final product, but also offers many advantages compared to the conventional techniques in terms of speed, precision and ease of use. The following case shows how MyCrown CAD/CAM chairside can change traditional dentistry by opening new ways of solving for both aesthetic and health issues.
Patient first contact
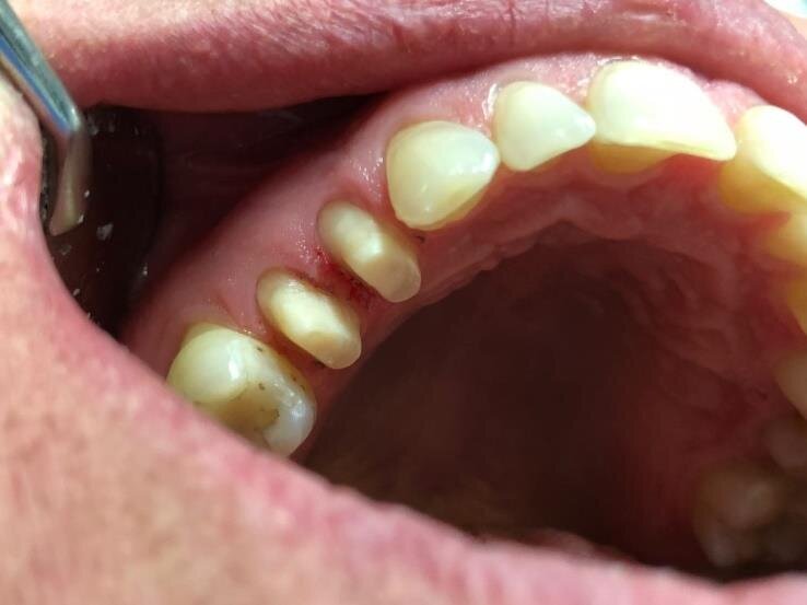
A 52-year-old woman came to my practice due to acute pain in the region of the first quadrant. After a careful, intraoral and radiographic objective examination, we diagnosed destructive caries of teeth 14 and 15.
In the first instance, we performed root canal treatment of the teeth and consequently reconstructed both of them with Fiberglass Posts and covered them with ceramics manufactured with FONA MyCrown CAD/CAM system.
Treatment
In order to perform the endodontic treatment, we used glasses Zeiss 4.3 x 400. The canals were treated with a protocol, which involves washings by using NaClO and EDTA, while for shaping the canals we used instruments Ni-Ti Protaper gold and, in order to seal them, gutta-percha, associated with the use of pulp canal sealer.
After the root canal treatment, a portion of gutta-percha, 8mm deep, was removed from the canal and the dentin was etched with 37% orthophosphoric acid for 30 seconds and washed with water for 30 seconds more. Afterwards, we inserted the fiberglass pins inside the canals and we cemented and reconstructed them with Relyx Unicem. Subsequently, the teeth were prepared with gingival chamfer Iuxta.
After the shoulder preparation, we moved on the treatment with MyCrown. Thus, an OptraGate-type dam was positioned in the mouth of the patient and some dry tips were used in order to control the salivation coming from the Steno Duct.
Later on, HD Spray was applied and the scan with MyCrown Scan camera started. First, we scanned the stumps, then the antagonists, and finally we proceeded with scanning the vestibular area, with the teeth in position for maximum contact.
After correlating the models with the software, we started tracing the margins. Moreover, after the definition of the insertion axes, MyCrown Software gave us its design proposal of the crowns. Obviously, software proposal of the crown design is based on the anatomy of the other teeth of the patient. This does not prevent us from modifying the tooth anatomy based on the neighbor and antagonist teeth.
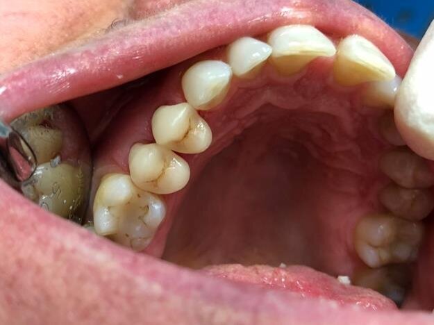
Later on, after checking the contact points with the neighbor teeth and the occlusal contacts with the antagonists, we were able to proceed with the manufacturing phase. Once the milling process was over, we moved on to polishing and painting of the brand new crowns, in order to make them look like real teeth.
After performing the silanization process inside the crowns, the cementation was done once again using Relyx Unicem. The crowns seem to be perfectly coinciding and integrating with the surrounding teeth, totally closing the margins previously prepared. Therefore, no occlusal retouching was done. The patient left our clinic satisfied with the precision, the little time spent and the aesthetic result.
Fig. 1: Teeth preparation
Fig. 2: MyCrown view of the concerned teeth
Fig. 6: Software proposal of crowns
Fig. 7: Final result from side
Fig. 8: Final result from below
Fig. 9: Manufactured crowns
Conclusion
This clinical case demonstrates how fast, easy and precise it is to work with FONA MyCrown CAD/CAM chairside system. The woman needed surgical intervention because of a severe pain and after only one visit she went home relieved from this pain and with a perfect aesthetic result. All this has been done with absolute safety and efficiency, without loosing time.
With the information now available to the general public through internet access, many patients often come to visit a dentist already armed with some facts ...
Patient: 55-year-old patient with an insufficiently restored dentition and a reduced vertical Dimension of occlusion.
DUBAI, UAE: Together with the Centre for Advanced Professional Practices, dental manufacturer Sirona will be holding the first CEREC Desert Fest in Dubai on...
The 13th CAD/CAM & Digital Dentistry Conference & Exhibition to be held by CAPP (Centre for Advanced Professional Practices) in May 2018 in Dubai, CAD/CAM, ...
In mid-April, for the 14th time, the focus will once again will be on the digital versatility of dentistry
The possibilities offered by Primescan, Omnicam and CEREC are noticeably increasing with the new generation 5 software updates: Dentsply Sirona announced ...
The possibilities offered by Primescan, Omnicam and CEREC are noticeably increasing with the new generation 5 software updates: Dentsply Sirona announced ...
At the Chicago Dental Society’s (CDS) Midwinter Meeting, February 22–24, and LMT Lab Day, February 23–24, Nobel Biocare introduces a newly expanded ...
Scientific Conference, Digital Orthodontics Symposium, Dental Technicians Int’l Meeting and Hands-on courses focus on digital revolution in dentistry.
“We live very far away, in the Congo, but we come to Tunis twice a year, in December and August. We would like you to be our children’s orthodontist, ...
Live webinar
Thu. 14 May 2026
8:00 pm UAE (Dubai)
Live webinar
Thu. 14 May 2026
10:00 pm UAE (Dubai)
Prof. Hani Ounsi DDS PhD FICD
Live webinar
Tue. 19 May 2026
7:00 pm UAE (Dubai)
Live webinar
Tue. 19 May 2026
9:00 pm UAE (Dubai)
Prof. Dr. med. dent. Ivo Krejci
Live webinar
Wed. 20 May 2026
3:00 pm UAE (Dubai)
Dr. Graham Carmichael BDSc (Hons), DClinDent (Pros), FRACDS, Dr. Robert Gottlander DDS
Live webinar
Wed. 20 May 2026
5:00 pm UAE (Dubai)
Live webinar
Wed. 20 May 2026
9:00 pm UAE (Dubai)
Prof. Dr. med. dent. Tim Joda PhD, MSc, eMBA