Patient: 55-year-old patient with an insufficiently restored dentition and a reduced vertical Dimension of occlusion.
Challenge
The patient wanted an improvement in her anterior tooth esthetics and a comprehensive oral rehabilitation.
Treatment
A periodontal and conservative pretreatment was performed. The functional pretreatment included raising the bite using a centric splint. The posterior teeth were restored supplied with veneered crowns and bridges with zirconia frameworks. The esthetic restoration of the maxillary anterior teeth was performed with crowns and veneers made of zirconia-reinforced lithium silicate ceramics (Celtra® Duo).
Introduction
Zirconia-reinforced lithium silicate ceramics (ZLS) have good mechanical and optical properties. Their mechanical strength makes them well- suited for partial and full posterior crowns and also — thanks to their good shade match and excellent polishability — for esthetic anterior restorations (such as veneers). The present article illustrates the versatile application of CAD/CAM-made ZLS restorations (Celtra Duo; Dentsply Sirona Restorative, Konstanz, Germany) based on the complex case of a patient with extensive restorative treatment needs.
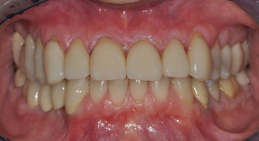
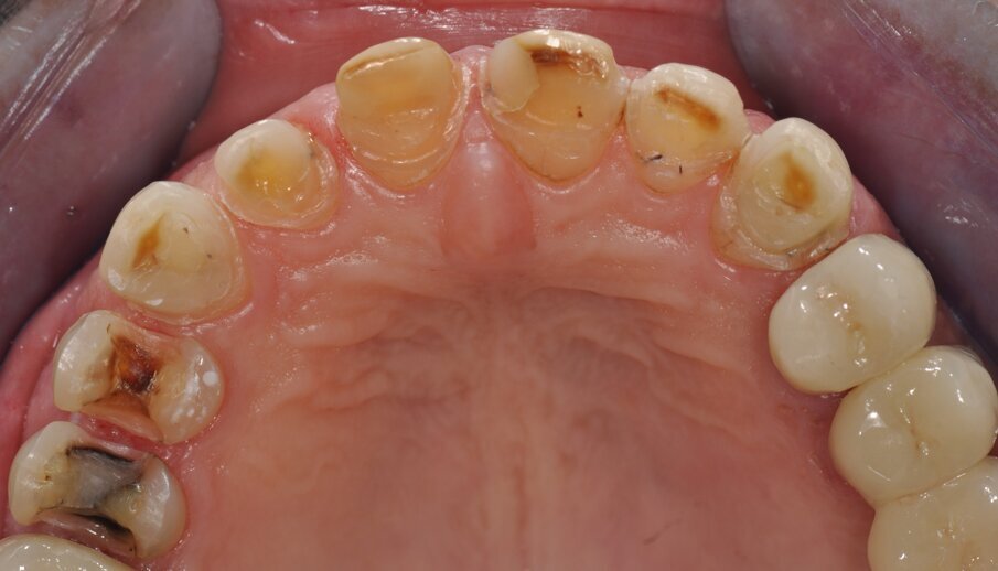
Fig. 1: Clinical baseline situation
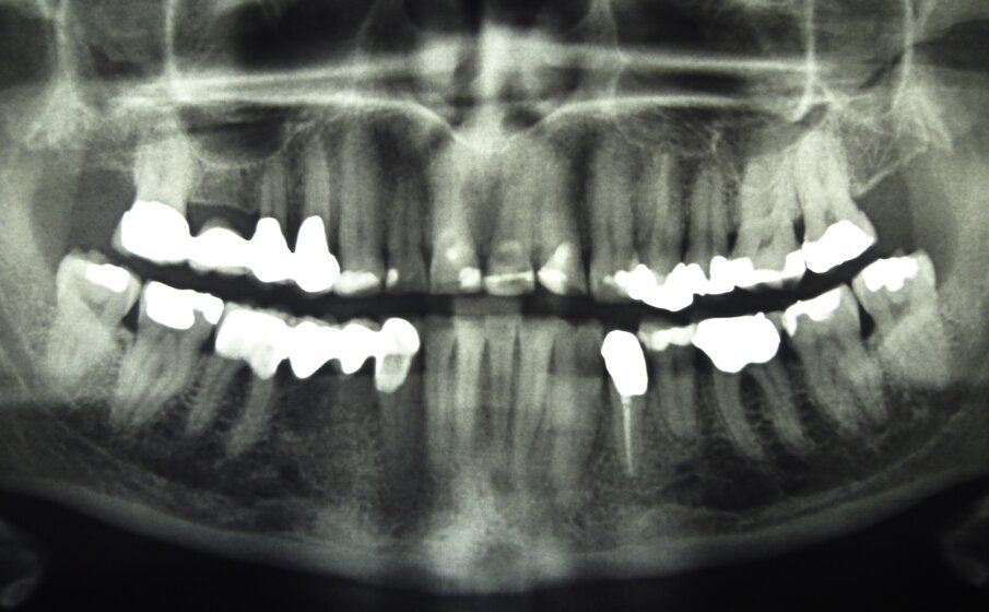
Fig. 2: Radiograph of initial situation
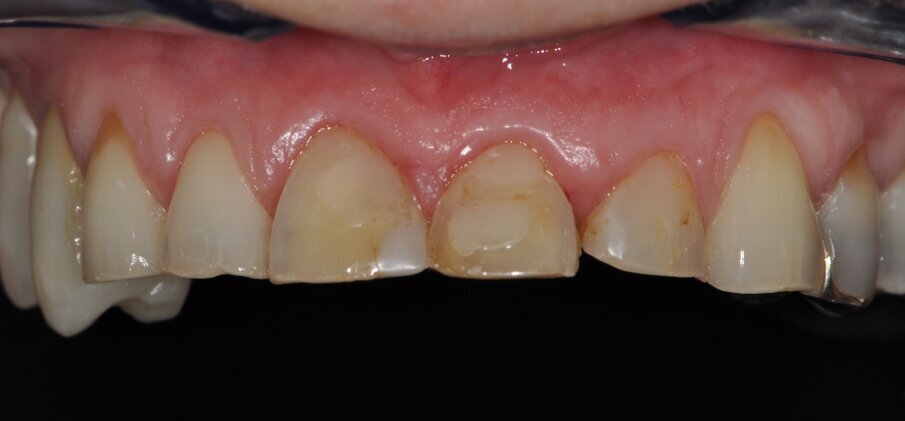
Fig. 3: Baseline situation for designing the esthetic anterior restorations following bite raising in the posterior region
Fig. 5: Preparation of the partial crowns and the veneers, occlusal view
Fig. 6: Preparation, vestibular view
Fig. 7: Impression taken with Aquasil
Fig. 9: Digital design of the restoration
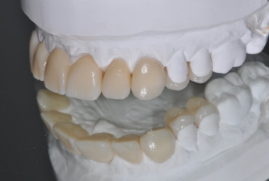
Fig. 10: Milled restorations fit on the model
Fig. 11: Single crown milled from a ceramic block
Fig. 12: Final customized restorations after staining and glaze firing
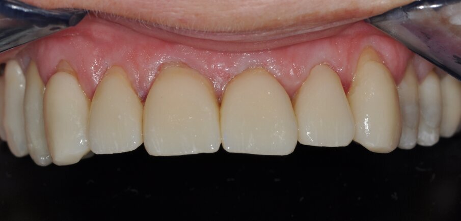
Figs. 13 and 14: Final restorative result after adhesive cementing
Celtra_Duo_All_Ceramic_Rehabilitation_Hausdîrfer_Riechel_Image_14_2017_07
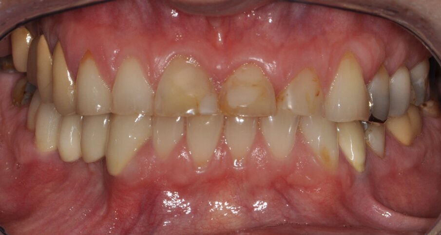
Fig. 15: Preoperative smile and lip profile
Fig. 16: Postoperative smile and lip profile
Case report
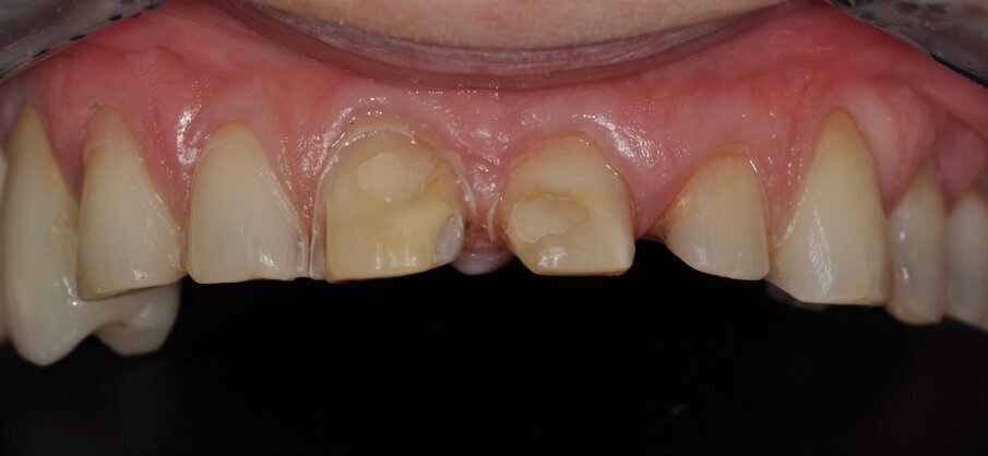
A 55-year-old woman presented at the Department of Preventive Dentistry, Periodontology and Cariology of the University of Göttingen. The clinical and radiological examination revealed an adult dentition that had been insufficiently treated with fillings and dental restorations and exhibited a loss of vertical dimension of occlusion (Figs. 1 and 2). Insufficient restorations (secondary caries) were found on teeth 24, 25, 26, 27, 37, 38, 35, 47, and 48. The existing bridge (17–15, 14) was insufficient due to extensive ceramic fractures. Part of the hard tissue of the upper maxillary incisors with their — sometimes extensive — composite restorations had been lost to attrition and vestibular erosion. The endodontic treatment of tooth 34 was adequate, while tooth 46 required a primary endodontic treatment due to an irreversible pulpitis. All other teeth were vital and free of symptoms. The periodontal findings showed moderate gingivitis (periodontal screening index < 3 in all sextants). Teeth 13, 23, 24, and 43 additionally exhibited vestibular gingival recessions.
In addition to an oral rehabilitation, the patient also wanted to improve her anterior tooth esthetics.
She first received extensive oral hygiene instructions and professional tooth cleaning. The insufficient restorations on teeth 24, 25, 26, 27, 35, 37, and 47 were replaced by call restorations (Luxacore; DMG, Hamburg, Germany) that were adhesively cemented (OptiBond FL; Kerrhawe SA, Bioggio, Switzerland). Teeth 38, 48 and the class V cavities of teeth 24 and 33 were definitely restored by direct composite fillings (Venus; Heraeus Kulzer, Hanau, Germany). The gingival recessions on teeth 13 and 23 were not surgical covered because a sufficient amount of attached gingiva was present and no further progression was observed. In addition, the patient had a low smile line, meaning that this posed no esthetic problems.
A formal treatment plan and cost estimate was provided and checked by a dental expert of the patient’s health insurer. The following measures were approved: Crown restorations for teeth 11, 21, 22, 24, 25, 26, 27, 35, 37, and 47 plus a remake of bridge 17–14.
The functional pretreatment was performed with the aid of a centric splint in the maxilla which simulated a bite raised by 2 mm. The patient did not show any symptoms of myoarthropathy or craniomandibular dysfunction after establishing her new vertical dimension of occlusion.
In a first prosthetic treatment step, the posterior teeth were supplied with crowns (teeth 14, 26, 27, 37, and 47) and a bridge (teeth 17–15) in veneered zirconia. Teeth 32–42 were bleached and their incisal edges clinically lengthened by means of direct composite restorations (Essentia and G-Premio Bond; GC, Bad Homburg, Germany) in order to obtain a uniform esthetic result. Within the framework of the Celtra Campus Challenge, the patient could be offered a cost-effective and esthetic treatment offer upper jaw: Teeth 21 and 22 were restored with crowns and teeth 11, 12, 13, and 23 with veneers. In addition, teeth 24 and 25 received partial crowns. For the planning of the ceramic restorations, a wax-up was created and developed into a composite mock-up (Figs. 3 and 4) (Luxatemp; DMG). The tooth shade (A2) was selected based on the Vita Classic shade guide (Vita, Bad Säckingen, Germany).
The preparations (Fig. 5) followed the preparation guidelines for all-ceramic restorations1 and the appropriate minimum wall thickness requirements for lithium silicate ceramic restorations. The preparation for the partial crowns 24 and 25 had rounded interior line angles and a 90° shoulder at the preparation margin. To prepare for the veneers (13, 12, 11, 23), approximately 0.5–0.7 mm of hard tissue was removed on the labial aspect and a 0.5 mm chamfer provided (Fig. 6). The intact proximal surfaces remained untouched. Otherwise, the teeth were prepared for circular full veneers (“360-degree veneers”). The crowns of teeth 21 and 22 were prepared with a 1-mm circular shoulder. Reduction of the incisal edges could be dispensed with as a consequence of raising the bite by 2 mm.
A conventional impression was taken of the prepared teeth and the casts were scanned. Prior to taking the impression, retraction cords (UltraPak; Ultradent, South Jordan, Utah, USA) were placed for gingival retraction around the prepared teeth. Retained proximal contacts were separated with thin matrix strips. The impression was taking using and addition-type silicone at one time and in two phases (Aquasil; Dentsply Sirona Restorative) (Fig. 7). The conventional impressions and casts facilitated the digital design process by providing a laboratory-made wax-up and subsequent adjustment of the restorations. This meant that hardly any intraoral adjustments were required. A transparent vacuum-formed splint (Erkodent, Pfalzgrafenweiler, Germany) was first made with the aid of the wax-up, allowing provisional resin restorations to be produced (Luxatemp; DMG). These were subsequently connected to the prepared teeth with Prime & Bond XP (Dentsply Sirona Restorative) and a flowable composite (Baseliner; Heraeus Kulzer).
The restorations themselves were produced using the Cerec CAD/CAM (Dentsply Sirona, Bensheim, Germany). To this end, the saw-cut models were scanned with a BlueCam (Dentsply Sirona) (Fig. 8). The teeth of the wax-ups were copied digitally and used for the design of the restorations (Cerec software v. 4.4 using the Biogeneric Copy option; Dentsply Sirona) (Fig. 9).
The restorations were milled from blocks of a zirconia-reinforced lithium silicate (Celtra Duo; Dentsply Sirona Restorative) of A2 HT shade, finished with water-cooled diamond cutters and adapted on the model (Figs. 10 and 11).
Having ensured that the restorations were clean and free of grease and residue, they were customized with stains and glaze and subsequently fired. A more intensive shade effect (Fig. 12) was achieved by repeating cycles of applying and firing the material. The first stain/glaze firing took place at 820°C and the second one at a lower 770°C.
The restorations were tried in with the aid of a glycerine-based gel (Try- In; Ivoclar, Schaan, Liechtenstein). Care was taken to ensure a good marginal fit, correct proximal contacts, a harmonious contour of the incisal edges and an appropriate shade. Minor corrections were carried out with a diamond cutter under irrigation, followed by polishing.
After the try-in, the teeth were isolated with rubber dam and cleaned. The ceramic restorations were etched on the adhesive surface using hydrofluoric acid (Ultradent Porcelain Etch; Ultradent, South Jordan, Utah, USA) for 30 seconds and conditioned with a silane solution (Calibra, Dentsply Sirona Restorative) for 60 seconds. The teeth were conditioned with 36% phosphoric acid (DeTrey Conditioner 36; Dentsply Sirona Restorative) for 30 seconds on the enamel and 15 seconds on the dentin and subsequently with Prime & Bond® XP + Self-Cure Activator (Dentsply Sirona Restorative).
Calibra dual-curing resin cement (Dentsply Sirona Restorative) was used for adhesively cementing the full and partial crowns. The veneers were used with a light-curing cement (Calibra Esthetic Resin Cement, Dentsply Sirona Restorative). After thorough removal of any excess resin and light curing, the occlusion was checked and the restorations were polished (Figs. 13 and 14).The zirconia-reinforced lithium silicate ceramics are characterized by good polishability and shade adaptation to neighboring structures (Figs. 15 and 16).
Summary
ZLS ceramics already have a high strength after milling2 and can be cemented adhesively immediately after polishing. In the present case, however, we decided to work with the laboratory to provide the restorations, since many restorations have to be made at the same time and since the esthetic result and the mechanical strength of the ceramic could be further improved by additional stain and glaze firing. The digital design of several restorations was considerably facilitated by the laboratory-made wax-up. By adapting the restorations on the model, the patient’s chair time could be reduced. Adhesive cementing with Calibra was a very pleasant process, since any composite residue was easy to remove and the optical properties of the ZLS ceramic were not adversely affected. Very good esthetic results can be achieved with ZLS even for monolithic ceramic restorations.
ZLS ceramics have improved mechanical properties compared to lithium disilicate ceramics3. However, only a few case reports on clinical use have become available so far2, 4. Clinical trials are still pending.
References
1. Frankenberger R, Mörig G, Blunck U, Hajtó J, Pröbster L, Ahlers MO. Präparationsregeln für Keramikinlays und–teilkronen unter der Berück-sichtigung der CAD/CAM-Technologie. J Cont Dent Educ. 2007; (6), 86–92.2. Rinke S, Schäfer S, Schmidt A-K. Einsatzmöglichkeiten zirkonoxid-verstärkter Lithiumsilikat-Keramiken. Quintessenz Zahntech. 2014; 40(5): 536-546.3. Elsaka SE, Elnaghy AM. Mechanical properties of zirconia reinforced lithium silicate glass-ceramic. Dent Mater. 2016; 32(7): 908–14-4. von der Osten P. Zirkonoxidver-stärktes Lithiumsilikat für die Seiten-zahnversorgung. Quintessenz Zahn- tech. 2014; 40(7): 900-904.
About the authors
Tim Hausdörfer. Dr. med. dent. (Department of Preventive Dentistry, Periodontology and Cariology, University of Göttingen, Germany)
Joachim Riechel. M.D.T. (Center for Dentistry and Oral and Maxillofacial Surgery, University of Göttingen)
The possibilities offered by Primescan, Omnicam and CEREC are noticeably increasing with the new generation 5 software updates: Dentsply Sirona announced ...
The possibilities offered by Primescan, Omnicam and CEREC are noticeably increasing with the new generation 5 software updates: Dentsply Sirona announced ...
Zirconia-reinforced lithium silicate (ZLS) has been available from Dentsply Sirona under the name of Celtra Press. With its three-point bending strength of ...
High-quality handpieces enable dental students to deliver excellent work results in class. With its handpiece factory and Instrument Service Center in ...
Dental Tribune MEA had the pleasure to interview Donald Casey, CEO of Dentsply Sirona to get an insight on the future of dentistry following DS World 2021.
...
A 43 year old female came to my practice with a history of non-attendance. She was concerned about generalised sensitivity with her heavily-restored ...
Today’s technological and design innovations have seen the humble dental chair evolve into state-of-the-art treatment centers, putting ergonomics and ...
Dentsply Sirona is announcing its latest upgrade for both Connect and CEREC Software, giving users new functionalities and even better performance*. Patient...
Live webinar
Wed. 6 May 2026
9:00 pm UAE (Dubai)
Live webinar
Mon. 11 May 2026
8:00 pm UAE (Dubai)
Live webinar
Wed. 24 June 2026
8:30 pm UAE (Dubai)
Dr. med. dent. Britta Hahn
Live webinar
Mon. 6 July 2026
8:00 pm UAE (Dubai)
Live webinar
Mon. 30 November 2026
9:00 pm UAE (Dubai)
To post a reply please login or register