Specialist Periodontist, Dr Jeremy Vo, explains how he has embraced AIR-FLOW® technology in the management of Peri-Implantitis
Surgical intervention is often required in the treatment of advanced peri-implantitis lesions. Peri-implantitis is defined as an inflammatory process around an implant, with soft tissue inflammation and loss of supporting marginal bone.1
The aim of surgical therapy is to allow access for the decontamination of implant surfaces which have been exposed to oral biofilms. Several approaches for implant decontamination have been described and can be broadly categorised to include mechanical, chemical and laser instruments.2
Mechanical removal of hard and soft deposits can be achieved with rubber cups, curettes, and/or ultrasonic devices.2 Curettes of different materials have been manufactured, specifically for the debridement of implant surfaces. These materials include steel, titanium, carbon-fiber, Teflon and plastic. Ultrasonic devices with polyetheretherketone (PEEK)-coated tips are also specific for implant surfaces. A more aggressive approach has been proposed which involves intentional removal of the implant threads. This is known as ‘implantoplasty’ and the aim is to produce a polished, smooth collar which better supports oral hygiene compared with the original rough surface of the implant.
Chemical decontamination is aimed at disinfecting the implant surface by direct application during surgery.3 Following elevation of the soft tissues, the implant surface can be rinsed with several different substances including chlorhexidine, sodium chloride, hydrogen peroxide and citric acid. Unfortunately, no chemical agent has shown superior results when compared with others.4
Laser decontamination - including the use of Er:YaG and CO2 lasers - have also been utilised during surgery in an attempt to improve clinical outcomes. The evidence is, however, weak and has not shown significant improvement when compared with conventional mechanical therapy.5
There are 3 main approaches for surgical intervention including:3
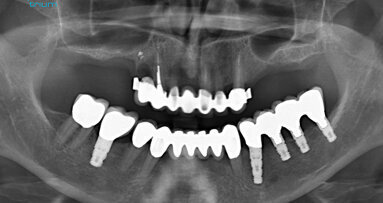
Figure 1. Radiographic assessment at baseline.
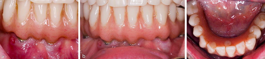
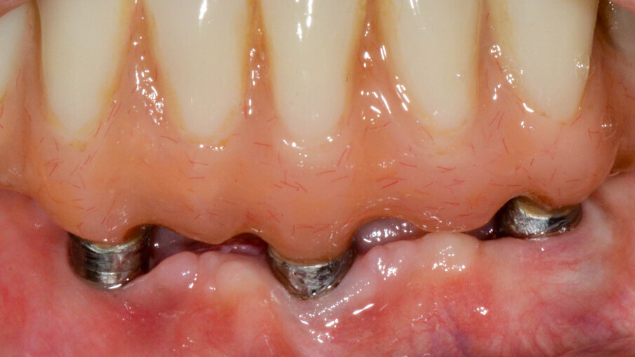
Figure 2a-c. Pre-operative clinical photographs.
Figure 3a-c. Sequence of surgical therapy: Flap elevation revealing chronic inflammatory tissue; Debridement and decontamination of implant surface; and Defects filled with Bio-Oss and covered with Bio-Gide and mucoperiosteal flaps are repositioned and sutured.
Figure 4. Post-op intra-oral photo at 6 months after therapy
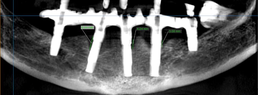
Figure 5. Post-op radiographs at 3 months after therapy.
Access surgery
The primary aim of access surgery is to decontaminate the implant surface.3 Commonly, intrasulcular incisions will allow the conservation of the soft tissues around the implant once the mucoperiosteal flaps are elevated. Inflamed peri-implant tissues are degranulated and the implant surface is decontaminated. A clinical study with 5 years follow up reported complete resolution of advanced peri-implantitis lesions in 42% of implants and 63% survival of implants.6
Resective surgery
This surgical technique allows implant decontamination to take place; but rather than conserving soft tissues, a reverse beveled incision combined with osteoplasty reduces the pocket depths around the implant.3 As a result, the neck of the implant is usually left exposed to the oral cavity and therefore, this technique is only suggested for implant defects in non-aesthetic areas. The 2-year outcome of resective peri-implantitis surgery found complete resolution of clinical signs of disease in almost 60% of implants.7
Regenerative surgery
Regenerative surgery is aimed at improving hard tissue integration around the implant (re-osseointegration) as well as minimising recession of the peri-implant mucosa.3 Following mucoperiosteal flap elevation, the implant surface is decontaminated and the intrabony defect is degranulated. Various approaches to bone grafting have been described. Bone substitute materials such as Bio-Oss® (Geistlich Biomaterials) can be used to fill the intrabony defect which is then covered with a resorbable or nonresorbable membrane. A 4-year clinical study found significant reductions in probing pocket depth and radiographic defect fill with a regenerative technique involving Bio-Oss® and Bio-Gide®.8
The clinical approach
The development of biofilm on the implant surface plays a significant role in the initiation and progression of peri-implant diseases. The bacterial microflora is composed predominantly of Gram-negative anaerobes and is similar to microflora found around teeth with severe periodontitis.9 Unfortunately, in the management of peri-implantitis, no definitive gold standard has been identified for implant decontamination. Implant surface roughness and irregularities can enhance bacterial attachment and prevent adequate instrumentation. The tips of the curettes are often too large to reach the deeper parts of the thread.
Recently, a powered air-abrasive system utilising Erythritol (a sugar substitute) has been proposed as an effective method of biofilm removal from the implant surface that is safe on hard and soft tissues (EMS AIR-FLOW® EL-308/A; Electro Medical Systems (EMS)).10 The abrasiveness of Erythritol is low and it does not cause extensive damage to the surface topography of the implant compared with the use of conventional steel curettes or ultrasonics. Furthermore, in vitro data suggests that it has an antimicrobial effect.11
Once the implant surface has been decontaminated, the morphology of the bony defect may help determine the most suitable surgical approach. Generally, if the defect is circumferential with intact bony walls, or has an intrabony component, the use of a regenerative approach will provide improved clinical outcomes. On the other hand, if the defect is suprabony or the implant presents with some degree of buccal dehiscence, an apically repositioned flap would be indicated in these non-aesthetic areas.
The following case study illustrates a protocol that was used to treat advanced peri-implantits. The case was treated successfully with a 6-month follow-up. Success was defined by a reduction in probing pocket depths (≤4mm), along with a reduction of soft tissue redness and bleeding on probing.
Case Study: Regenerative approach for treatment of peri-implantitis
A 70-year-old female was referred for advanced peri-implantitis in the mandible. She presented complaining of pain and she also noticed discharge from one of the anterior implants. Her medical history was non-contributory and she was a non-smoker.
Clinical examination revealed 5 implants in the mandible supporting a fixed full arch reconstruction. Probing pocket depths were of the order of 8-9mm around 3 of the anterior implants. The distal implants had normal probing depths. CBCT imaging revealed an intrabony component of 6.1mm for the implant in the 43 position, 4.2mm at the 41 implant and 3.1 at the 33 implant.
A prepatory phase was carried out, including assessment of oral hygiene and non-surgical implant decontamination in 1 session. After 6 weeks, the patient underwent surgical treatment. This comprised of full thickness mucoperiosteal flaps being raised and the chronic inflammatory tissue removed from the defects around the 3 implants with the use of teflon curettes. The implant surface was then decontaminated using EMS AIR-FLOW® technology with very fine erythritol powder (EMS AIR-FLOW® PLUS Powder). The implants were also irrigated and cleansed with saline-soaked cotton foam.
A crater shaped defect was present around all the implants at the proximal and lingual surfaces, however the implants had a dehiscence on the buccal aspect. The craters were filled with BioOss granules (Geistlich) and Bio-Gide was placed to cover the defects. Lastly, the flaps were repositioned and secured with mattress and sling sutures. Systemic antibiotics were administered postoperatively. The full arch prosthesis was re-issued at the completion of surgery.
Clinical parameters and radiographic examinations were performed at 3 and 6 months. At both intervals, there was resolution of the clinical parameters for all 3 implants, including plaque index, bleeding on probing and probing pocket depth. At these visits, non-surgical maintenance was carried out, including oral hygiene reinforcement and removal of biofilm via EMS AIR-FLOW® technology and EMS AIR-FLOW® PLUS Powder.
References
1. Lindhe J, Meyle J. Peri-implant diseases: Consensus Report of the Sixth European Workshop on Periodontology. J Clin Periodontol 2008;35:282-285.
2. Figuero E, Graziani F, Sanz I, Herrera D, Sanz M. Management of peri-implant mucositis and periimplantitis. Periodontol 2000 2014;66:255-273.
3. Renvert S, Polyzois IN. Clinical approaches to treat peri-implant mucositis and peri-implantitis. Periodontol 2000 2015;68:369-404.
4. Claffey N, Clarke E, Polyzois I, Renvert S. Surgical treatment of peri-implantitis. J Clin Periodontol 2008;35:316-332.
5. Schwarz F, Sahm N, Iglhaut G, Becker J. Impact of the method of surface debridement and decontamination on the clinical outcome following combined surgical therapy of peri-implantitis: a randomized controlled clinical study. J Clin Periodontol 2011;38:276-284.
6. Heitz-Mayfield LJ, Salvi GE, Mombelli A, et al. Supportive peri-implant therapy following antiinfective surgical peri-implantitis treatment: 5-year survival and success. Clin Oral Implants Res 2016.
7. Serino G, Turri A. Outcome of surgical treatment of peri-implantitis: results from a 2-year prospective clinical study in humans. Clin Oral Implants Res 2011;22:1214-1220.
8. Schwarz F, Sahm N, Bieling K, Becker J. Surgical regenerative treatment of peri-implantitis lesions using a nanocrystalline hydroxyapatite or a natural bone mineral in combination with a collagen membrane: a four-year clinical follow-up report. J Clin Periodontol 2009;36:807-814.
9. Leonhardt Å, Renvert S, Dahlén G. Microbial findings at failing implants. Clin Oral Implants Res 1999;10:339-345.
10. Taschieri S, Weinstein R, Del Fabbro M, Corbella S. Erythritol-enriched air-polishing powder for the surgical treatment of peri-implantitis. The Scientific World Journal 2015;2015.
11. Drago L, Del Fabbro M, Bortolin M, Vassena C, De Vecchi E, Taschieri S. Biofilm removal and antimicrobial activity of two different airpolishing powders: an in vitro study. J Periodontol 2014;85:e363-e369
Peri-implant disease diagnosis is as fundamental as controversial. Although the progress made during the last decades, it’s still hard to find univocal ...
Occasionally during nonsurgical root canal therapy, an instrument will separate in a canal system, hindering cleaning and shaping procedures and blocking ...
Ectopic eruption of the first permanent molar occurs due to the abnormal mesioangular eruption path of the molar resulting in an impaction at the distal ...
GOTHENBURG, Sweden: In Sweden, free dental check-ups are provided for children and adolescents until they reach the age of 20. Whereas this means that much ...
The Piezotome is the most powerful unit on the market. It enables to access the lateral wall in a much more efficient and effective way. It reduces the ...
Molar incisor hypomineralisation (MIH) is a relatively common dental defect that appears in first permanent molars and incisors and varies in clinical ...
SALÉ, Morocco: Concerns about the potential cytotoxicity and environmental impact of conventional root canal irrigants have prompted the exploration of ...
Dentsply Sirona, the world's largest manufacturer of dental products and technologies, and SICAT, provider of software and hardware solutions for the dental...
General dental practitioners and paediatric dentists face real dental emergencies that effect children, especially dental trauma. Avulsion is considered, in...
The high prevalence of tooth-related diseases, a growing geriatric population and a rapidly growing awareness to replace lost teeth by dental implants force...
Live webinar
Thu. 14 May 2026
8:00 pm UAE (Dubai)
Live webinar
Thu. 14 May 2026
10:00 pm UAE (Dubai)
Prof. Hani Ounsi DDS PhD FICD
Live webinar
Tue. 19 May 2026
7:00 pm UAE (Dubai)
Live webinar
Tue. 19 May 2026
9:00 pm UAE (Dubai)
Prof. Dr. med. dent. Ivo Krejci
Live webinar
Wed. 20 May 2026
3:00 pm UAE (Dubai)
Dr. Graham Carmichael BDSc (Hons), DClinDent (Pros), FRACDS, Dr. Robert Gottlander DDS
Live webinar
Wed. 20 May 2026
5:00 pm UAE (Dubai)
Live webinar
Wed. 20 May 2026
9:00 pm UAE (Dubai)
Prof. Dr. med. dent. Tim Joda PhD, MSc, eMBA