General dental practitioners and paediatric dentists face real dental emergencies that effect children, especially dental trauma. Avulsion is considered, in terms of severity, the worst of all dento-alveolar injuries. This is when the tooth is completely displaced out of its socket and the socket is found empty or filled with a blood coagulum. We report a case that describes the management of an avulsed maxillary central incisor (21) in a fit and healthy 8-year-old boy, accompanied by a lower lip laceration. The management of 21 took place up over a period of 12 months.
Case Report
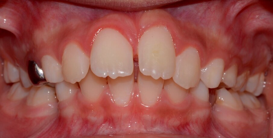
An 8-year old child presented to the department of paediatric dentistry at the Hamdan Bin Mohammed College of Dental Medicine (HBMCDM) at the Mohammed Bin Rashid University (MBRU) in Dubai Healthcare City. He allegedly fell off a climbing wall, and knocked out his upper left maxillary incisor (tooth # 21) and cut his lower lip (Figures 1 and 2). This occurred at 14:15 hours at school, and the school nurse called the patient’s mother at 14:20 hours. The patient’s mother asked the nurse to find the tooth and put it in milk. The tooth’s “dry time” was thus around 10 minutes. The patient attended with both his mother and aunt, to our specialist clinic at 14:55 hours.
The tooth was presented in a milk container (Figure 3) and the tooth’s “wet time” was 50 minutes. By the time, the tooth was replanted, the tooth’s total “dry and wet time” or Extra-Alveolar Time (EAT) was around 60 minutes.
Upon history taking, the child had fallen on a gravelled playground, with no loss of consciousness (LOC), nausea, vomiting or disorientation. He was responsive, alert, and otherwise fit and well with no known allergies. There were no safeguarding concerns. His dental history revealed that he was an irregular attendee, with no history of dental treatment under local anaesthesia (LA) but he had a history of avulsed primary tooth when he was two years old and had multiple primary teeth extractions under general anaesthesia (GA) four years ago.
Extra oral examination
• No TMJ, alveolar or facial bone fractures detected.
• Lower lip through- and-through ragged laceration of the lower lip (Figure 1).
• Class 2 skeletal profile.
Intraoral Examination
• 21: empty socket with coagulum.
• Laceration of the buccal gingiva near 21.
• Incisor relationship Class 2 Division 1 (OJ= 10mm). Mum informed us of her son having proclined incisors prior to the injury.
• No missing fragments of teeth.
• Teeth present (FDI):
Radiographic examination
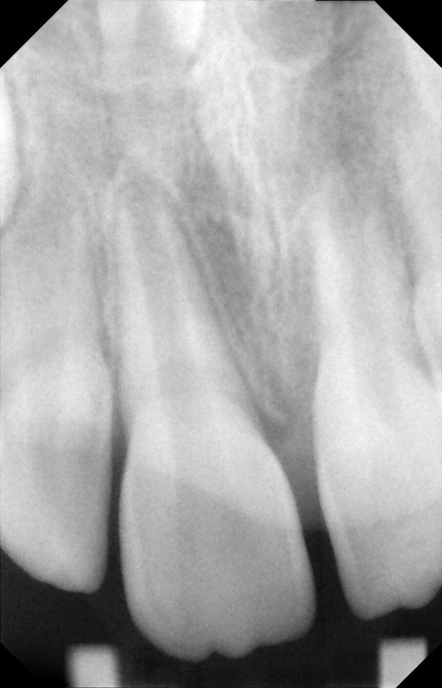
Periapical views of the upper maxillary incisors were obtained to rule out any root fractures (See Figures 4 a & b) revealed immature roots of teeth # 12, 11, 22, no root fractures and an inverted supernumerary apical to 11 and an empty socket of 21. There was no need for soft tissue radiographs as no tooth fragments were missing and the tooth was accounted for.
Diagnostic summary
• 21 avulsed with immature root.
• Concussion 12, 11, 22.
• Through-and through lower lip laceration involving the vermilion.
• Inverted conical supernumerary/mesiodens $.
• Behaviour: Mildly anxious at initial presentation, very cooperative through the treatment visit.
Aims and objectives of treatment
• Management of acute traumatic injury and replant the avulsed 21
• Suture the lacerated lip.
• Monitor the vitality and periodontal healing of 21.
• Preserve 21 in the short and medium term aiming to maintain the bone level in the long term.
• Inform patient and parents about the poor long-term prognosis of 21 and the available definitive future treatment options.
Treatment Plan
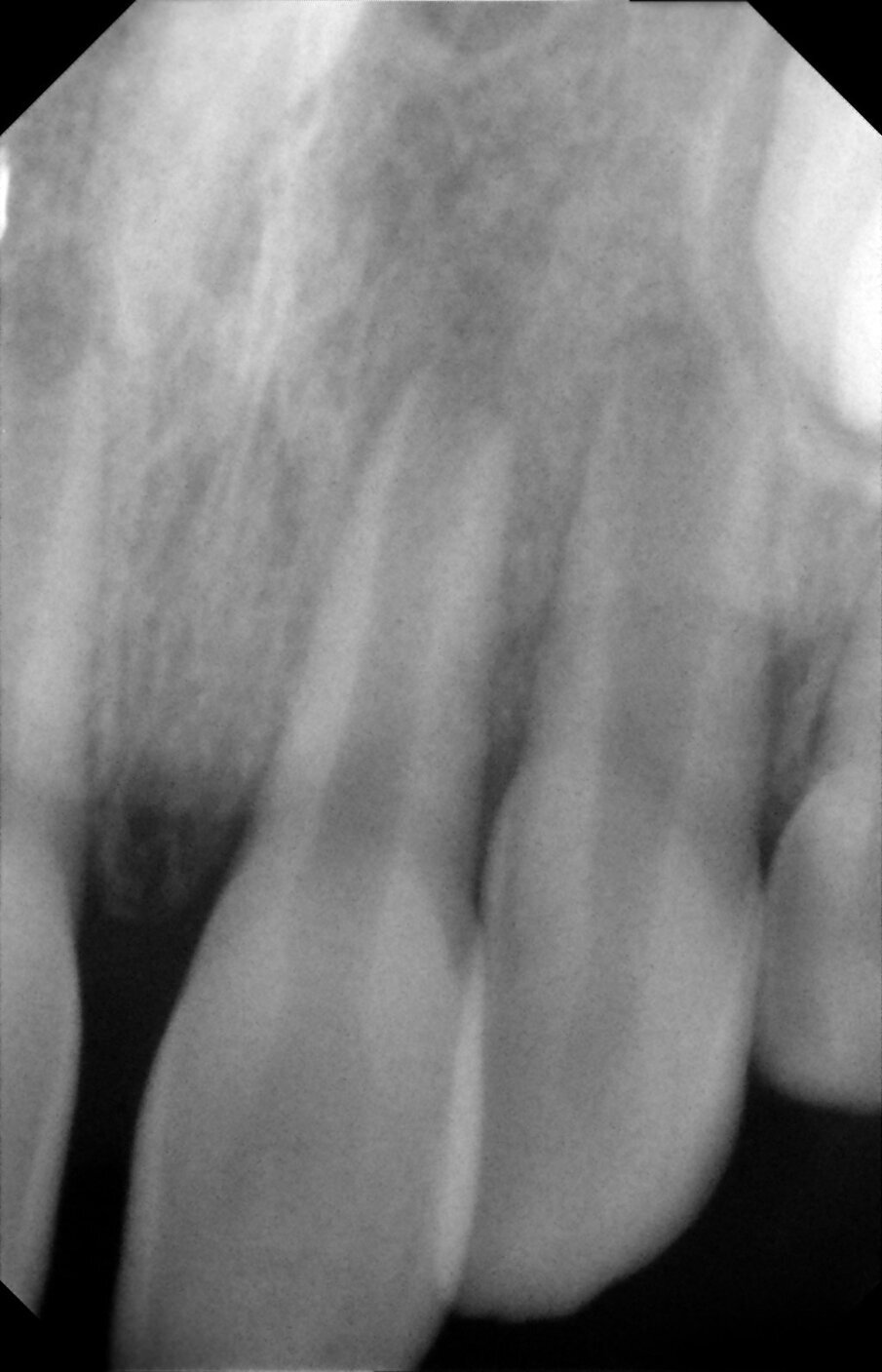
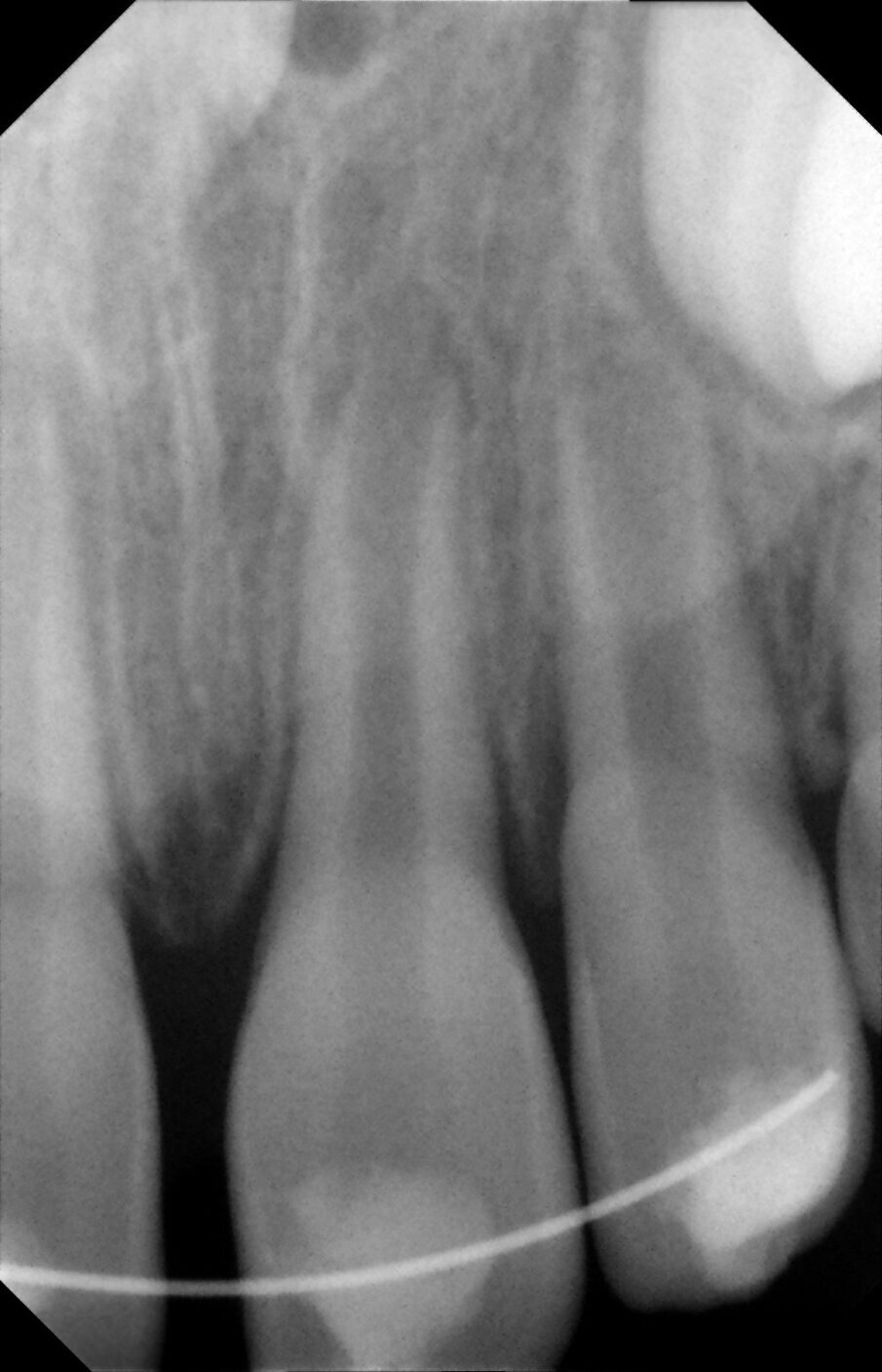
After the patient’s initial assessment, we administered LA to his upper anterior sextant and lower lip. During this time, both the tooth and socket were gently irrigated with physiological saline. 21 was found to have an immature root and open apex. (Figures 5 a & b).
Within the hour, tooth 21 was gently replanted into the socket (Figure 6) and a flexible 0.5mm wire/composite passive splint of teeth #12, 11, 21, 22 was secured (Figure 7). We sutured the lacerated lower lip in multiple layers (mucosa, deep and superficial) using Vicryl® (Sizes 40 and 60) resorbable fine sutures (Figure 8 and 9). This took place after thorough debridement of the wound with physiological saline. Care was taken to assure alignment of the lip’s vermilion involved in the laceration.
The patient was advised to maintain a soft diet, and analgesics (Paracetamol 500mg PRN) and antibiotics (Amoxicillin 250mg TDS for 5 days) were prescribed. Chlorexidine gluconate 0.2% 10 mls BD mouth rinse was advised. After discussing the short and long- term consequences, a follow up appointment was arranged in a week, and the patient was discharged. We advised the patient to attend his general medical practitioner (GMP) to obtain a Tetanus booster injection straight after the appointment.
A second trauma within two hours
Within two hours of leaving our clinic, the patient suffered another trauma affecting the injured area. This happened at the GMP receptionist’s office. As the receptionist was asking the patient’s mother where her son was, she pointed to him (he was standing behind her) and accidently hit her son in the mouth. There was no LOC, nausea, vomiting or disorientation. This caused the GMP concern so she sent the patient back to us for a reassessment. To our surprise, the patient showed up in our clinic (at 18:20 hours) with renewed bleeding from his mouth (Figure 10 a & b).
After obtaining a new history and carrying out an assessment, the wound was debrided. The splint and sutures were examined and were found to be intact. Although the splint was slightly mobile (Grade 1), it was securely bonded to the teeth. No new radiographs were indicated. The patient and family were reassured and the above advice was re-iterated. They went back to the GMP for the planned Tetanus booster.
Figure 1: Initial presentation. 21 was avulsed and its socket appeared empty. There was a laceration of the lower lip
Figure 2: Palatal view of 21 socket. Notice the coagulum filled socket
Figure 3: Storage medium of 21 was milk. The “wet time” was 50 minutes
Figures 4a. Empty socket of 21 due to its avulsion. Notice the immature apices of 12, 11 and 22. In addition there was a supernumerary tooth/mesiodens
Figures 4b. Empy socket of 21 due to its avulsion. Notice the immature apices of 12, 11 and 22. In addition there was a supernumerary tooth/mesiodens
Figure 5a. Avulsed 21 with open apex was irrigated with saline as soon as the patient arrived to the clinic. Notice the tooth was held without touching the root to preserve the PDL tissue
Figure 5b. Avulsed 21 with open apex was irrigated with saline as soon as the patient arrived to the clinic. Notice the tooth was held without touching the root to preserve the PDL tissue
Figure 6: Tooth 21 was replanted gently into the socket after giving LA. This took place 60 minutes after the injury
Figure 7. A passive composite and wire splint involved # 12 to 22. The lip was yet unsutured.
Figure 8. Suturing of the lower lip laceration in three layers using fine resorbable sutures (Vicryl® Sizes 40 and 60).
Figure 9. Immediate post suturing. Notice the wound margins had been aligned so the vermilion was continuous.
Figure 10a: The clinical appearance following a second trauma incident that happened within two hours of fitting the dental splint.
Figure 10b: The clinical appearance following a second trauma incident that happened within two hours of fitting the dental splint.
Figure 11: A peripical radiograph taken one week post-op showed the correct positioning of the replanted tooth. Note the open apex.
Figure 12: Healing of the lip one month post-op. Some oedema and scarring were noted
Figure 13: One-month post op after removal of the splint. The tooth was responsive to EC & EPT.
Figure 14: One year follow up. The patient and parent were pleased with the aesthetic result. 21 was vital and positively responsive to EC & EPT. The tooth was non mobile and produced a metallic sound indicative of ankylosis.
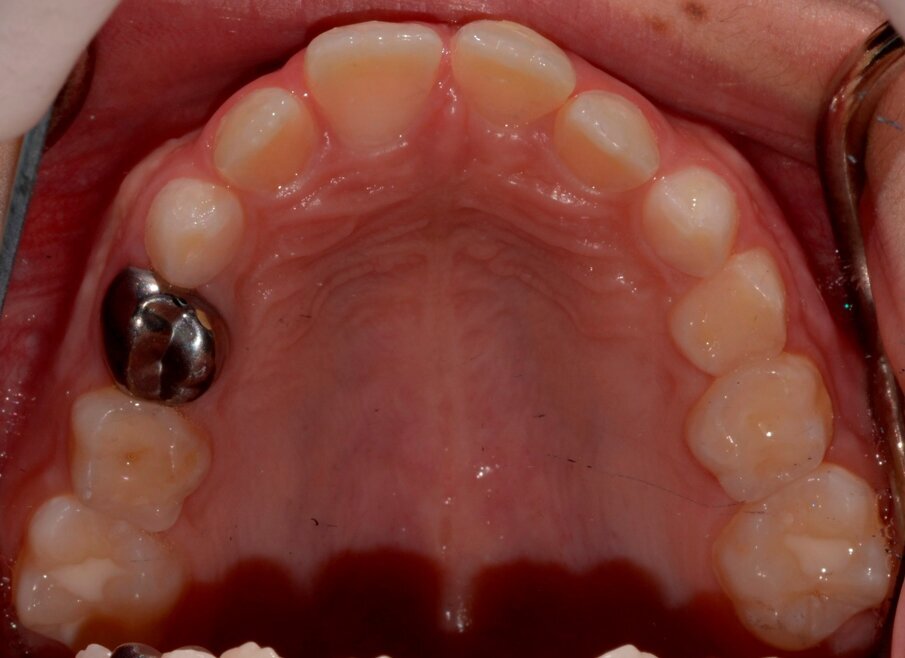
Figure 15: Palatal view of 21 one year on. Notice the excellent gingival healing.
Figure 16: Lip healing one year on showed excellent soft tissue healing and an aesthetically good outcome following the suturing of the lip.
Figure 17a: Post op radiographs taken at 3, 6 and 12 months. They show lack of PDL some pulpal obliteration and replacement resorption.
Figure 17b: Post op radiographs taken at 3, 6 and 12 months. They show lack of PDL some pulpal obliteration and replacement resorption.
Figure 17c: Post op radiographs taken at 3, 6 and 12 months. They show lack of PDL some pulpal obliteration and replacement resorption.
Trauma follow-up appointment (one-week post op)
The aim of the visit was to review 12, 11, 21, 22 and to assess soft tissue healing. The patient had no complaint whatsoever. Observations revealed a slight mobility of 21 and good healing lower lip and buccal gingiva of 21 with good oral hygiene but some visible plaque on 22. The splint was intact. We obtained a periapical radiograph of 21, which showed it to be in a favourable position (see Figure 11) with a large wide-open apex.
At this appointment, and in the subsequent appointments (1, 3, 6, 9 and 12 months post-op) we completed a “Dental Trauma Stamp” (see Table 1 for an example) which included assessment for mobility, tooth colour (direct and transillumination), tenderness to percussion (TTP), sinus presence, swelling presence, percussion sound, electric pulp tester (EPT), ethyl chloride (EC) and radiographic assessment. The latter was essential to assess for apical pathology, root resorption (internal and external), arrested/continued root development, pulp obliteration and replacement resorption/ankylosis. The dental trauma stamp was repeated at every visit. It helps in assessing periodontal ligament (PDL) and pulpal healing.
Tooth No (FDI)
Diagnosis
Colour
Transillumination
TTP
Sinus
Swelling
Mobility
Percussion sound
Ethyl Chloride
Electric Pulp Tester
Radiographs
Apical path
External Inflammatory / Root Resorption
Internal Inflammatory / Root Resorption
Replacement. Resorption /ankylosis
Arrested root development
Obliteration |
12
concussion
✓
✓
+
-
-n/a
n/a
+ve
-ve
✓
-
-
-
-
-
- |
11
concussion
✓
✓
+
-
-n/a
n/a
+ve
-ve
✓
-
-
-
-
-
- |
21
concussion
✓
✓
+
-
-slight
n/a
+ve
-ve
✓
-
-
-
-
-
- |
22
concussion
✓
✓
+
-
-n/a
n/a
+ve
-ve
✓
-
-
-
-
-
- |
Table 1. Example of the “dental trauma stamp”. This was taken at one week post op.
Trauma follow-up appointment (one-month post op)
The healing of the lip appeared satisfactory (Figure 12). We gently removed the dental splint (Figure 13) and a new dental trauma stamp was completed. Tooth 21 was +ve to EC & EPT suggesting possible revascularization, although this was not absolute.
Subsequent appointments (at 3, 6, 9 and 12 months post op)
Healing of the lip and periodontal soft tissues continued satisfactorily and the patient and mother were happy with the aesthetically pleasing result (one year follow up- see Figures 14, 15 & 16). A mouth guard was made to prevent further dental injuries to the same area. Dental caries was treated appropriately.
However the dental trauma stamp revealed that tooth 21, despite remaining vital (+ve to EC and EPT), non-discloured and asymptomatic, became ankylosed. At 3 months, a decision whether to initiate root canal treatment or not was debated, but no intervention was decided upon, as the tests suggested its vitality. The tooth was non -mobile and was producing a “crack plate metallic” sound on percussion. At 6 months, radiographically, there was evidence of replacement resorption (Figure 17 a, b & c). This worsened at 12 months. This tooth will inevitably be lost.
Discussion
Traumatic dental injuries are common, with between 6-34% of children aged 8-15 experiencing damage to their permanent teeth1. Over ¾ of all traumatic oral injuries occur in childhood, and in the United Kingdom, the proportion of 12 and 15 year olds with any traumatic damage was recently found to be 12% and 10% respectively2. Traumatised teeth can have a significant clinical, aesthetic and social impact on a child as an individual. Treatment of traumatised teeth usually requires extensive management, carrying a burden for the patient as well carers and health authorities in the long term. Avulsion is the complete displacement of tooth out of its socket and the socket is found empty or filled with a blood coagulum3. Avulsion accounts for between 0.5 to 3% of dento-alveolar trauma to permanent teeth4. About 90% of replanted avulsed teeth will undergo ankylosis1.
According to British Society of Paediatric Dentistry (BSPD) guidelines1, factors to take into account in avulsed teeth are dry time (DT) and total extra alveolar time (EAT). In cases with less than 30 minutes DT and less than 90 minutes EAT, when stored in appropriate storage medium, replantation without disturbing the PDL is recommended plus splinting with flexible wire for 7-14 days. This case falls under this condition where the DT was 10 minutes and EAT was 60 minutes. There is limited evidence regarding the benefit of systemic antibiotics on pulp healing. Prescription should be governed by clinical judgment. After evaluation of this patient’s type of trauma with the associated soft tissue injury and contamination, an antibiotic was prescribed as per International Association of Dental Trauma (IADT) guidelines3. The GMP gave a tetanus booster due to the environmental contamination of the tooth. For immature teeth like this case, no endodontic treatment was electively recommended due to an open apex, favorable DT and EAT, as we were hoping for continued tooth growth and 21 with pulpal regeneration. However we must not forget that the tooth was traumatised for a second time with two hours, thus this may have had an impact on the reduction of its prognosis. The tooth was carefully monitored to assess pulpal regeneration or necrosis. The tooth remained vital, however, it underwent ankylosis. Therefore, its prognosis was deemed poor, and its loss was expected. In children and adolescents ankylosis is frequently associated with infraposition5. Decoronation may be necessary later when infraposition (>1mm) compared to its counterpart is seen5. The outlined options, in the long term, to replace 21 are highlighted below.
Long term treatment plan and future considerations
Tooth 21 future treatment options available will:
- Decoronation: Removal of the crown and retention of the root.
- Extraction and partial removable denture
- Extraction and resin bonded bridge
- Auto-transplantation of a premolar (if crowding occurs)
- Osseo-integrated implant (after the age of 18 years)
As he was a very active boy and loves playing football, and due to his dental history where he had a repeated history of trauma in the same tooth, in addition to his Class 2 Division 1 malocclusion with an overjet of 10mm, a custom fit mouth guard was fabricated to be worn while engaging in any contact sports. Overjet correction will be needed. The patient was referred for an orthodontic and restorative opinion for planning of multidisciplinary treatment options.
Summary and conclusion
21 was avulsed with a lip laceration. The tooth was replanted, splinted and the lip was sutured. The tooth suffered another trauma after two hours. Radiographic findings showed signs of replacement resorption from 6 months post trauma. Clinically, 21 responded positively to EPT and EC tests, no other sign of inflammation. Decoronation (removal of the crown and retention if the root with surgical coverage) will be implemented. The lip healed favourably. The patient and his parents were warned about the poor long-term prognosis of 21 and alternative long treatment options were discussed.
References
1. Day, FP & Gregg TA. UK National Clinical Guidelines in Paediatric Dentistry. Treatment of avulsed permanent teeth in children, (British Society of Paediatric Dentistry BSPD Avulsion Guidelines). www.bspd.org.uk. 2012.
2. Children’s Dental Health Survey 2013. Executive Summary: England, Wales and Northern Ireland.
3. Dental Trauma Guide [Internet]. 2016 [cited 6 April 2016]. Available from: www.dentaltraumaguide.com
4. Andreasen, JO, Andreasen, F & Andersson, L. Textbook and Colour Atlas of Traumatic Injuries of the Teeth, 4th edition, Blackwell Munksgaard. 2007.
5. International Association of Dental Traumatology. Dental Trauma Guidelines, 2012
At the start of the new year 2018, Dentsply Sirona, the market leader in the dental industry, can celebrate a double success with two high-quality imaging ...
Managing the carious primary molar in children using the “Hall Technique” is a controversial but acceptable novel method. Restoring all eight carious ...
32DentalDesigns by Medikabazaar, a pioneering force in dental laboratory technology, celebrated a momentous occasion on Monday 14th August 2023, marked by ...
By Dr Simona Chirico, Prof Massimo Mario Gagliani, Italy
The endodontic treatment of severely compromised teeth and their restoration represent an everyday ...
Dr Rajiv Patel from the US will be a speaker at the upcoming ROOTS SUMMIT, which will take place from 9 to 12 May in Athens in Greece. His lecture will ...
AL-NABEK, Syria: Years of conflict have left deep psychological scars on Syria’s future healthcare workforce. New research among health sciences students ...
DAMASCUS, Syria: As health workers, dentists are occasionally placed at risk of disease transmission, since they are exposed to bloodborne infections of ...
Dubai, UAE: Align Technology, Inc., a leading global medical device company that designs, manufactures, and sells the Invisalign System of clear aligners, ...
CAPP recently hosted an engaging pediatric hands-on course led by the esteemed Dr. LaRee Johnson from USA at the CAPP Training Centre in Dubai. The event, ...
Live webinar
Thu. 14 May 2026
8:00 pm UAE (Dubai)
Live webinar
Thu. 14 May 2026
10:00 pm UAE (Dubai)
Prof. Hani Ounsi DDS PhD FICD
Live webinar
Tue. 19 May 2026
7:00 pm UAE (Dubai)
Live webinar
Tue. 19 May 2026
9:00 pm UAE (Dubai)
Prof. Dr. med. dent. Ivo Krejci
Live webinar
Wed. 20 May 2026
3:00 pm UAE (Dubai)
Dr. Graham Carmichael BDSc (Hons), DClinDent (Pros), FRACDS, Dr. Robert Gottlander DDS
Live webinar
Wed. 20 May 2026
5:00 pm UAE (Dubai)
Live webinar
Wed. 20 May 2026
9:00 pm UAE (Dubai)
Prof. Dr. med. dent. Tim Joda PhD, MSc, eMBA
To post a reply please login or register