In this case, the patient contacted the clinic because she was both unhappy with her upper anterior teeth and worried about the increasing crowding. At this time, she did not feel that crowding in the lower arch was a problem.
She made it clear she was not motivated for fixed orthodontics and was interested to know if her upper anterior teeth could be aligned with the ClearSmile Inman Aligner. After an orthodontic assessment, UR2 was identified as the landmark tooth, and the SpacewizeTM crowding calculator showed that the difference between the available space and required space was 2.2mm.
When the case was submitted to the IAS Academy’s online support along with clinical photographs and SpacewizeTM analysis, the trainers confirmed that it was a suitable case for the ClearSmile Inman Aligner with a combined expander, and would help to unlock the overlapping central incisors. The trainer also said that it may not be possible to completely align the upper arch while the lower arch remained crowded, so a digital setup was requested from the laboratory to ascertain exactly what could be achieved.
| Skeletal
FMPA
Lower face height
Facial asymmetry
Soft tissue
Incisor relationship
Overjet
Overbite
Displacement on closure
Molar relationship
Canine relationship
Teeth present
Centrelines |
Class I
Average
Average
No
Normal NL angle
Class I (crowded)
4mm (at UR1)
30 per cent overlap of incisors
No
Class I
Class I
All present
2mm deviated to the right in upper |
Table 1: Assessment / Diagnosis
Using the digital setup, I was able to discuss the final outcome with the patient, as well as explain the composite bonding process that would take place at the end. The treatment goal was to achieve straighter, more natural looking teeth and restore incisal wear in UR1 and UL1 while preserving the enamel. Information about the bonded retainer was also given at this time and the importance of retention. After she consented to the treatment plan, impressions were made and the appliance was ordered from the laboratory.
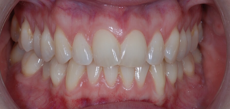
Fig. 1: Pre treatment anterior
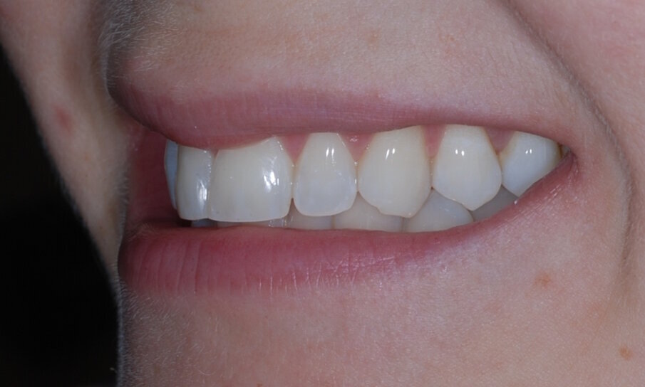
Fig. 2: Pre treatment right lateral
Fig. 3: Pre treatment left lateral
Fig. 4: Pre treatment retracted right lateral open bite
Fig. 5: Pre tretament retracted right lateral
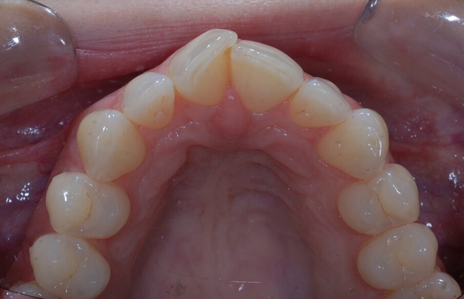
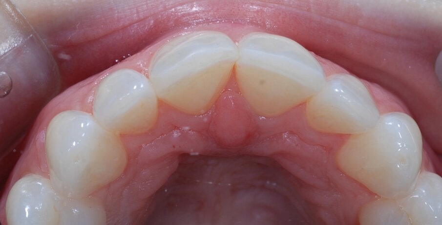
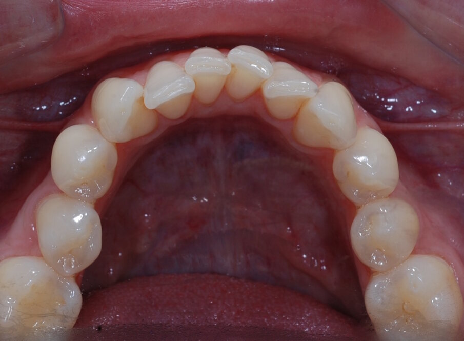
Fig. 6: Pre treatment upper occlusal
Fig. 7: Pre treatment lower occlusal
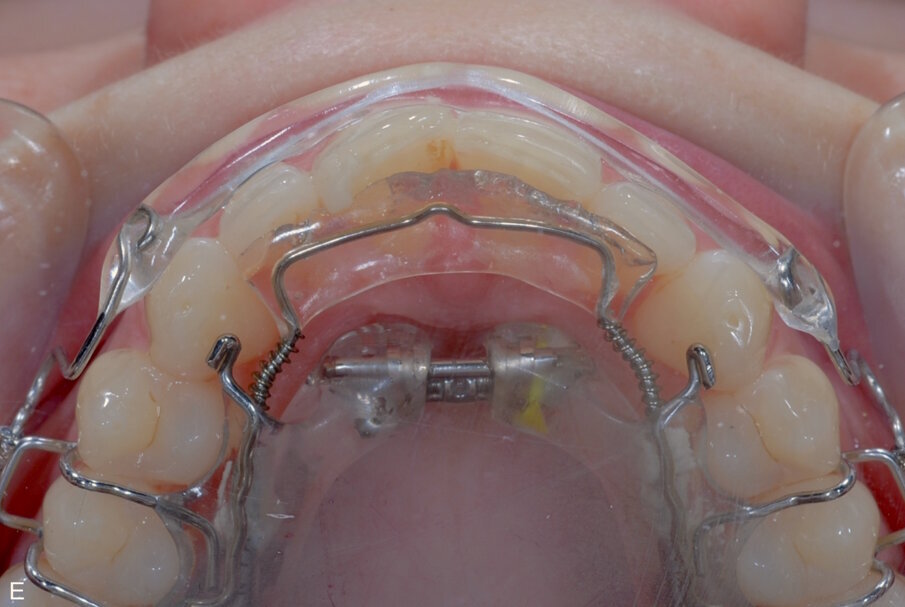
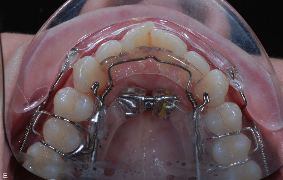
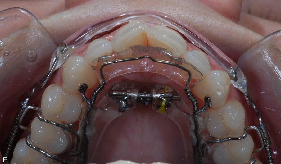
Fig. 9: ClearSmile Inman Aligner fitted
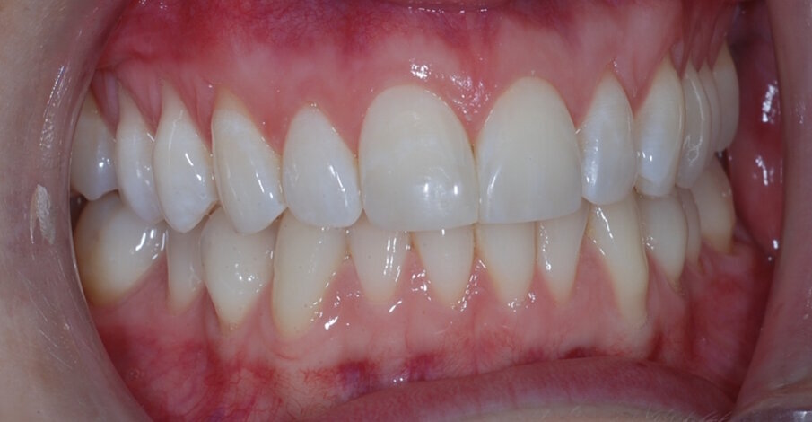
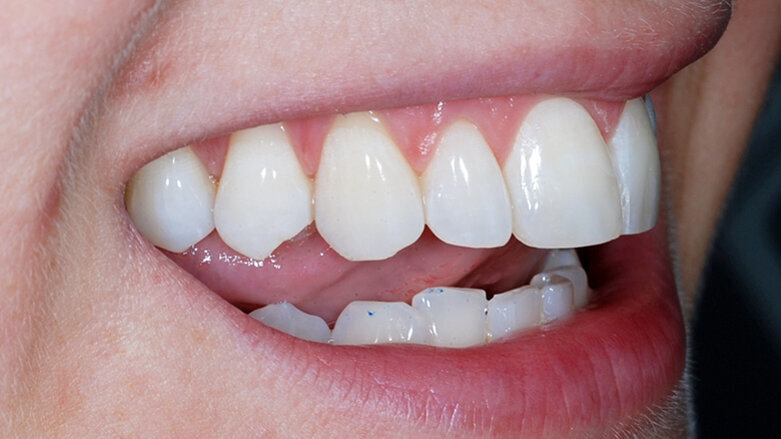
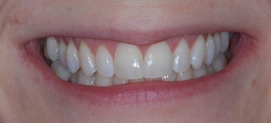
Fig. 15: Post treatment anterior
Fig. 16: Post treatment right lateral
Fig. 17: Post treatment left lateral
Fig. 18: Post treatment right lateral open bite
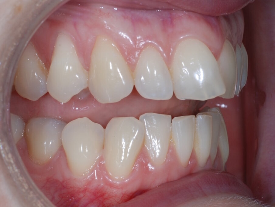
Fig. 19: Post treatment retracted
Fig. 20: Post treatment occlusal
Mentorship
At every step of the way the trainers were available via the online support platform to provide advice on how best to approach the treatment pathway. In appointment order, their guidance was as follows:
• Remove anchor from UR1 to drive out UL1 before starting the rotation of UR1.
• Wait for the front teeth to unwind, focusing on the expansion.
• Don't turn the expander too quickly as it will induce unwanted tooth movement.
After the fourth appointment, I also received feedback from one of the trainers suggesting that I should have waited until the UR1 distal was a little further forward before adding the labial anchor, which in hindsight would have been a better approach.
| 1. |
At the initial appointment, palatal anchors were placed, with interproximal reduction (IPR) and predictive proximal reduction (PPR) carried out using the guide issued from the laboratory. The patient was instructed on how to turn the expander. Aligner in situ. At the initial appointment, palatal anchors were placed, with interproximal reduction (IPR) and predictive proximal reduction (PPR) carried out using the guide issued from the laboratory. The patient was instructed on how to turn the expander. Aligner in situ. |
| 2. |
UR1 anchor removed, and IPR and PPR carried out using discs for canines and blue/red strips for anterior teeth.UR1 anchor removed, and IPR and PPR carried out using discs for canines and blue/red strips for anterior teeth. |
| 3. |
Progress with crowding on target at this point thanks to use of expander. IPR strips used and space between UR1 and UL1 polished. Progress with crowding on target at this point thanks to use of expander. IPR strips used and space between UR1 and UL1 polished. |
| 4. |
Patient had turned the expander eight times by this point – instructed to stop. PPR carried out on Patient had turned the expander eight times by this point – instructed to stop. PPR carried out on the central incisors, with space between UR1 and UL1 polished again. Discs used distally on the canines, with a composite anchor placed on UR1 and composite anchor removed from UL1. |
| 5. |
Impressions were taken for ClearSmile Aligners. |
| 6. |
First ClearSmile Aligner fitted. |
| 7. |
Second ClearSmile Aligner fitted and worn for two weeks solid before being used at night to aid retention. At this point there was a break in treatment, as the patient was breastfeeding her baby.Second ClearSmile Aligner fitted and worn for two weeks solid before being used at night to aid retention. At this point there was a break in treatment, as the patient was breastfeeding her baby. |
| 8. |
After a couple of months, treatment recommenced with bleaching and impressions were taken for a retainer. After a couple of months, treatment recommenced with bleaching and impressions were taken for a retainer. |
| 9. |
Fixed retainer bonded followed by composite bonding of UR1 and UL1 using the reversed Fixed retainer bonded followed by composite bonding of UR1 and UL1 using the reversed triangle technique. The benefits of this technique include: • Affordable • Ethical (preserves tooth structure) • Aesthetic • Simple • Complements alignment therapy
Afterwards, the restoration was polished with both flexi disks and Mini FlexiBuff with Enamelize polishing paste. At the end of this appointment, new impressions were taken for new bleaching trays and an Essix retainer. |
| 10. |
Composite re-polished and patient given bleaching tray and retainer to wear at night. |
Table 2: Treatment pathway
Self-appraisal
The patient was very satisfied with the results, especially the fact I was able to improve her smile without affecting the integrity of the enamel. I sent before and after images to the patient at the end of her treatment pathway so that she could see the difference, and she was amazed at how much the aesthetics of her teeth had changed. I was also very happy with the outcome – with the help of the IAS Academy and digital planning tools, treatment was safe and predictable.
The ClearSmile Inman Aligner course is part of the IAS Academy pathway of training for GDPs. The course is a continuum and two cases must be submitted and evaluated on completion for website listing.
LEIPZIG, Germany: Last year, clear aligner therapy provided dentists around the world with an attractive income stream even as patient volumes remained ...
Latest evolution in SmartForce innovation improves treatment predictability for frequently treated case types
Small dental laboratory now offers full-arch shell temps with palatal jig enabled by 3D Systems’ NextDent 5100 3D printer (Photo: 3D Systems)
Digital dental impressions are definitely here to stay. If you’re not already using an intraoral scanner, make sure you don’t get left behind! ...
KOBLACH, Austria: Digitisation can bring dental technicians and dentists closer together. How new opportunities arising from this interdisciplinary approach...
Capabilities in dentistry have evolved at an astonishing rate over the past several years, and the transformations are by no means slowing down.
A clinical case that explains the technique step by step
Dental implants as abutments for full-arch restorations are a widely accepted treatment modality. However, when scheduling the use of a fixed or removable ...
Michelangelo took four years to paint the Sistine Chapel and two years to complete the sculpture of David.
Live webinar
Mon. 11 May 2026
8:00 pm UAE (Dubai)
Live webinar
Mon. 11 May 2026
9:00 pm UAE (Dubai)
Live webinar
Tue. 12 May 2026
9:00 pm UAE (Dubai)
Live webinar
Thu. 14 May 2026
8:00 pm UAE (Dubai)
Live webinar
Thu. 14 May 2026
10:00 pm UAE (Dubai)
Prof. Hani Ounsi DDS PhD FICD
Live webinar
Tue. 19 May 2026
7:00 pm UAE (Dubai)
Live webinar
Tue. 19 May 2026
9:00 pm UAE (Dubai)
Prof. Dr. med. dent. Ivo Krejci
To post a reply please login or register