Dental implants as abutments for full-arch restorations are a widely accepted treatment modality. However, when scheduling the use of a fixed or removable implant-supported full-arch restoration, many factors should be considered. Due to the possible need for additional surgical steps to enhance the esthetics surrounding fixed restorations, removable implant-supported dentures, often are a preferable alternative.
The current report presents a comprehensive treatment approach, wherein the patient undergoes different treatment modalities for restoration of the upper and lower full arches at different timelines along with discussing the advantages and disadvantages of each approach.
Although implants have become a widely accepted treatment modality, dentists and patients frequently are conflicted when deciding between a fixed or removable full-arch restoration. Many patients requiring a full-arch rehabilitation, wish an esthetically sophisticated and fixed-implant-retained denture (FIRD). In such cases, the esthetic outcomes are often severely restricted by bone loss as a cause of advanced periodontitis and/or tooth extractions.
Modern restorative materials and techniques make removable implant-retained-dentures (RIRD) to an esthetically and functionally acceptable alternative to FIRDs.1-4
A 55-year-old woman was referred for a complex periodontal-implant treatment (Fig. 1, Fig. 2). Due to severe pain teeth #18–16 and 14 were immediately extracted and the socket #14 was augmented using a non-resorbable membrane (Cytoplast, Regentex GBR-200; Osteogenics Biomedical, Lubbock, TX).5,6
The patient was informed about the advanced bone destruction due to periodontitis and the following treatment plan were recommended: 1) extraction of the teeth # 13, 12, 22, 24, 14, 26, 36, and 32–42 due to advanced chronic periodontitis as well as caries, and surgical treatment of the rest dentition by access flap surgery; 2) strategic placement of implants to increase the number of abutments; 3) full-arch restoration of the maxilla with a RIRD using telescopic crowns as attachments; 4) implant or teeth retained bridges for restoration of the mandible.
The patient did not accept this proposal and sought treatment from another dentist.
One year later, the patient presented again for consultation. Eleven implants have been placed (#12-15, 24, 25, 36-34, 45 and 46) and the maxilla and mandible have been restored with FPDs at the patient’s request (Fig. 3 – Fig. 5). However, the patient was dissatisfied with the esthetic results due to the unnatural length of the artificial teeth. Furthermore, the design of the existing FPDs impeded oral hygiene.
Due to a home accident, the fractured teeth #11-23, 33, 43, and 44 were extracted and an implant was immediately placed in region #44. Open tray impressions were taken using a polyether impression material (Impregum Penta Soft, 3M ESPE) and mounted on a semi-adjustable articulator (SAM 2P, SAM Prazisionstechnik GmbH, Gauting, Germany). For an immediate restoration, provisional abutments were used and temporary covered dentures were fabricated and retained on the provisional abutments (Fig. 6 – Fig. 8).
Two months later, full mouth rehabilitation of the maxilla (supported by six implants) and mandible (supported by six implants) was completed by fabrication of RIRDs using telescopic crowns as attachments, as previously described.7-9 Customized abutments served as primary telescopes and electroformed pure gold copings (0.25 mm thickness, AGC Galvanogold, Au>99.9%, Wieland Dental Systems Inc., Pforzheim, Germany) served as secondary telescopes (Fig. 9, Fig. 10). The metal frameworks was milled from titanium (Zenotec Ti, Wieland Dental Systems Inc., Pforzheim, Germany; Fig. 11) and veneered using a photocured indirect ceramic polymer (Ceramage, Shofu, Ratingen, Germany; Fig. 12 – Fig. 15).
Fig. 1. Initial examination. Orthopantomograph
Fig. 2. Initial examination. Clinical view.
Fig. 3. 2nd consultation. Orthopantomograph. After implant placement and prosthetic treatment.
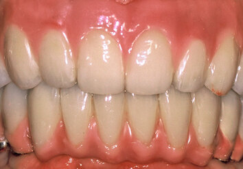
Fig. 4. 2nd consultation. Clinical view (front).
Fig. 5. 2nd consultation. Clinical view (right).
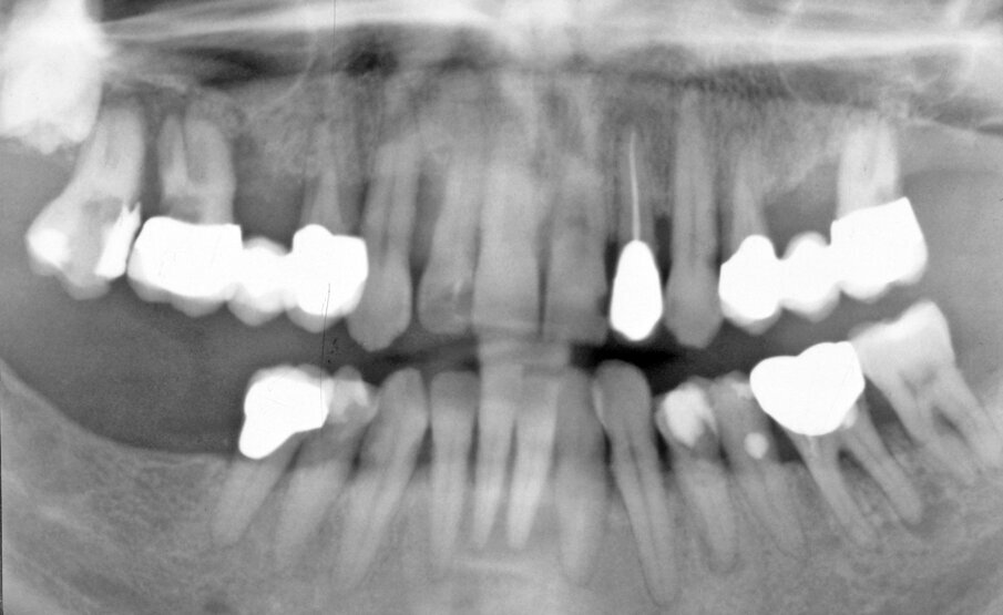
Fig. 6. Orthopantomograph. After placement of implant #44.
Fig. 7. Provisional implant abutments and extraction sockets.
Fig. 8. Temporary restorations retained on the provisional implant abutments.
Fig. 9. Customized gold implant abutments.
Fig. 10. Fitting of the electroformed copings.
Fig. 11. Milled titanium framework.
Fig. 12. Final RIRD using telescopic crowns as attachment (front view).
Fig. 13. Final restoration (right view).
Fig. 14. Final restoration (palatal view).
Fig. 15. Orthopantomograph. Final restorations in situ.
Discussion
This report presents a case in which the patient was treated first with fixed restorations supported by implants and natural teeth and subsequently treated with an implant-retained removable denture.
The patient initially insisted on fixed restorations. Unfortunately, the dentist fulfilled this wish, despite the existing clinical conditions of loss of hard and soft tissue. No augmentative procedures were performed prior to implant placement, resulting in a compromised treatment outcome. While the fixed restoration resulted in a functionally satisfactory treatment outcome, the patient was displeased with the esthetic results. The main concern was the unnaturally long tooth shape necessary to compensate for the insufficient alveolar ridge height. The esthetic demands in such cases can be difficult to be fulfilled. Although several predictable periodontal surgical procedures can be used to augment hard and soft tissue to meet esthetic demands, the patient could reject these options or the dentist might not be entirely familiar with the outcomes of these selected procedures. Both scenarios can produce unsatisfactory results that become apparent only when treatment is complete.
Replacement of the fixed restoration with a removable one led to a more acceptable result. The treatment modality of using telescopic crowns as attachments for natural teeth and dental implants for dentures has been proven successful for many years. 8,9,12 This concept not only improves the retention form of the dentures due to frictional forces, but also improves the chewing ability for the patients. Other advantages of using telescopic crowns include feasibility for the patients to remove the denture for periodic hygiene and maintenance; which is detrimental, particularly from a periodontal perspective.
Various other alternatives to restore edentulous arches include fixed as well as removable prostheses.10 With regards to availing the fixed option, clinicians routinely encounter resorption of the alveolar ridges leading to atrophy along with loss of vertical dimension of the tissues, which in turn, pertains to placement of dental implants in unfavorable positions. This can severely affect the prostheses by need for longer unesthetic teeth as was the case in the presented report. Also, unfavorable positioning of the implants may lead to difficult access to the screw holes complicating the fabrication of prostheses as well affecting the retrievability of the prostheses at the time of maintenance visits.
Other evident alternatives for RIRDs include use of bar-and clip retentive dentures. There are various reports suggesting soft tissue overgrowth in relation to the bar placed in these situations, hindering the long term oral hygiene regimen associated with these dentures.
The complication of fractures related to frameworks’ veneering or one of the abutments in fixed as well as bar-and-clip RIRDs is also reported. It, not only affects usability of the denture but also, adds an additional exorbitant expense and time consumption for replacement, serves as a definite disadvantage while electing this alternative.
In contrast to above mentioned shortcomings, ease of retrievability of telescopic crown supported RIRDs proves highly beneficial over other alternatives while overcoming the commonly encountered implant or natural teeth complications. Several complications related to dental implants range from implant-abutment screw loosening, peri-implant mucositis or periimplantitis, or fracture of one of the used implants. Also, there is a potential risk of losing the used natural teeth abutment due to periodontal and/or endodontic/carious reasons that can affect the overdenture support. However, these circumstances can be evaded and continued usage of the telescopic crowns supported RIRD is possible with minor adjustments to the existing prostheses without compromising long term success of these dentures.
The case presented here raises the issue of whether dentists and/or surgeons should just follow patients’ wishes and exhaust all high-tech surgical and augmentative possibilities or respecting periodontal principles should combine implant-prosthetic experience with evidence-based but less luxuriant surgical techniques. In many circumstances, the latter route is a better and safer treatment alternative.
References
- Dittmann B, Rammelsberg P. Survival of abutment teeth used for telescopic abutment retainers in removable partial dentures. Int J Prosthodont 2008;21:319-321
- Grossmann AC, Hassel AJ, Schilling O, Lehmann F, Koob A, Rammelsberg P. Treatment with double crown-retained removable partial dentures and oral health-related quality of life in middle- and high-aged patients. Int J Prosthodont 2007;20:576-578
- Wostmann B, Balkenhol M, Weber A, Ferger P, Rehmann P. Long-term analysis of telescopic crown retained removable partial dentures: Survival and need for maintenance. J Dent 2007;35:939-945
- Widbom T, Lofquist L, Widbom C, Soderfeldt B, Kronstrom M. Tooth-supported telescopic crown-retained dentures: An up to 9-year retrospective clinical follow-up study. Int J Prosthodont 2004;17:29-34
- Hoffmann O, Bartee BK, Beaumont C, Kasaj A, Deli G, Zafiropoulos GG. Alveolar bone preservation in extraction sockets using non-resorbable dPTFE membranes. A retrospective non-randomized study. J Periodontol 2008;79:1355-1369
- Zafiropoulos GG, Deli G, Bartee BK, Hoffmann O. Single tooth implant placement and loading in fresh and regenerated extraction sockets. Five-year results: A case series using two different implant designs. J Periodontol 2010;81:604-615
- Hoffmann O, Beaumont C, Tatakis DN, Zafiropoulos GG. Telescopic crowns as attachments for implant supported restorations. A case series. J Oral Implantol 2006;32:291-299
- Zafiropoulos G-G, Beaumont C, Rebbe J, Thielen U, Deli G, Hoffmann O. Zirconia removable telescopic dentures retained on teeth or implants for maxilla rehabilitation. Three-year observation of three cases. J Oral Implantol 2010;36;455-465
- Zafiropoulos GG, Hoffmann O: Five-year study of implant placement in regenerated bone and rehabilitation with telescopic-crown retained dentures. A case report. J Oral Implantol 2009;35: 303-309
- Krennmair S, Weinländer M, Malek M, Forstner T, Krennmair G, Stimmelmayr M. Mandibular Full-Arch Fixed Prostheses Supported on 4 Implants with Either Axial Or Tilted DistalImplants: A 3-Year Prospective Study. Clin Implant Dent Relat Res 2016 Apr 28. doi: 10.1111/cid.12419. [Epub ahead of print]
The NUVO CEEMEA Team has completed second fresh frozen human cadaver course in Istanbul in Turkey. This fruitful course was aimed to enhance the clinical ...
Small dental laboratory now offers full-arch shell temps with palatal jig enabled by 3D Systems’ NextDent 5100 3D printer (Photo: 3D Systems)
As an oral surgeon and prosthodontist specialising in full-mouth rehabilitation, I have consistently sought to integrate advanced technologies into my ...
Highly esthetic and high-strength monolithic IPS e.max CAD restorations
JAZAN, Saudi Arabia: Zirconia-based restorations, renowned for their durability and aesthetics resembling natural teeth, have gained popularity over the ...
Tetric CAD enhances Ivoclar Vivadent’s block portfolio
LEEDS, UK: In a recent study, researchers have examined whether the use of removable partial dentures has an impact on the long-term survival outcomes of ...
On Saturday, 10 September, Dr Phophi Kamposiora will be holding a day-long hands-on course sponsored by COLTENE titled “Posterior restorations for inlays,...
The need for easier, simpler and faster workflow is more critical in dentistry, now more than ever before. Conventional composite restorations are ...
Is it possible to think that there might be a single kit suitable for all restorative procedures?
Live webinar
Thu. 14 May 2026
8:00 pm UAE (Dubai)
Live webinar
Thu. 14 May 2026
10:00 pm UAE (Dubai)
Prof. Hani Ounsi DDS PhD FICD
Live webinar
Tue. 19 May 2026
7:00 pm UAE (Dubai)
Live webinar
Tue. 19 May 2026
9:00 pm UAE (Dubai)
Prof. Dr. med. dent. Ivo Krejci
Live webinar
Wed. 20 May 2026
3:00 pm UAE (Dubai)
Dr. Graham Carmichael BDSc (Hons), DClinDent (Pros), FRACDS, Dr. Robert Gottlander DDS
Live webinar
Wed. 20 May 2026
5:00 pm UAE (Dubai)
Live webinar
Wed. 20 May 2026
9:00 pm UAE (Dubai)
Prof. Dr. med. dent. Tim Joda PhD, MSc, eMBA
To post a reply please login or register