Indirect restorative procedures can be time-consuming and complicated: many different processes from impression taking to cementation are carried out in the dental office, and in each of them, different strategies may lead to success. However, some of the available materials and techniques will involve a lot of effort, while others enable users to proceed quickly and simplify the complete procedure. A simplified workflow from prep to crown that really makes life easier for the dental practitioner is described below.
Comments
The described patient case shows that it is possible to significantly reduce the number of working steps in an indirect restorative procedure. In this way, potential sources of error are eliminated and chair-time is decreased. Key to success is the use of innovative, high-quality materials that offer ease of use and lead to increased efficiency in the dental office. These include the above-mentioned monophase impression material, the bulk fill composite, the temporisation material that does not require polishing and the self-adhesive resin cement all offered by a single manufacturer.
*Relyx™ U200 self-adhesive resin cement in the MEA Region
Fig. 1: Initial situation. The failed composite restoration covering a large part of the left mandibular first molar’s occlusal surface needs to be replaced.
Fig. 2: Due to the size of the restoration, the amount of remaining tooth structure might not be sufficient to ensure the required stability for a direct composite restoration.
Fig. 3: Upon removal of the old filling, it becomes clear that a crown is needed to ensure the required stability. The tooth is built up with 3M™ Filtek™ Bulk Fill Posterior Restorative, which may be placed in conjunction with 3M™ Single Bond Universal Adhesive and in increments of up to 5 mm.
Fig. 4: Following tooth preparation, a temporary crown is produced chairside with 3M™ Protemp™ 4 Temporization Material. This material exhibits a high strength and a natural gloss without polishing.
Fig. 5: One week after the preparation procedure, healthy soft tissue conditions are obtained. They lay the foundation for a high-quality precision impression.
Fig. 6: In order to allow for a detailed capture of the preparation margin, the gingival tissues are retracted using the double-cord technique. Alternatively, a single cord may be applied in combination with 3M™ Astringent Retraction Paste.
Fig. 7: Monophase impression taken with 3M™ Impregum™ Penta™ Soft Polyether Impression Material. A very detailed representation of the preparation margin is obtained with this simple technique.
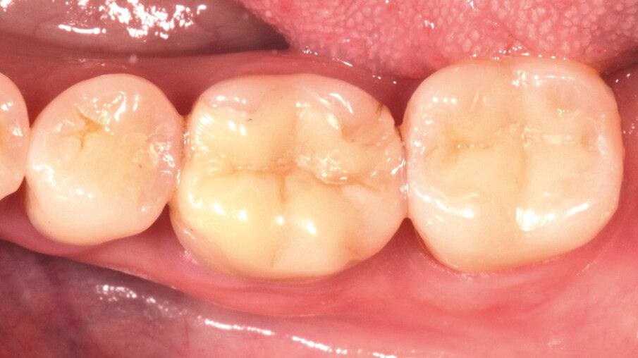
Fig. 8: Situation at intraoral try-in of the crown. It is made of a 3M™ Lava™ Zirconia coping and an IPS e.max® Ceram (Ivoclar Vivadent) porcelain layer. Ideal intraoral conditions (smooth margins, healthy tissues) are visible.
Fig. 9: Sandblasting of the crown’s intaglio surface to create a microretentive surface structure that is beneficial for cementation. This procedure is recommended for oxide ceramic materials.
Fig. 10: Application of self-adhesive resin cement* into the crown. This proven product offers a simplified procedure since it eliminates the need for separate etching, priming and bonding.
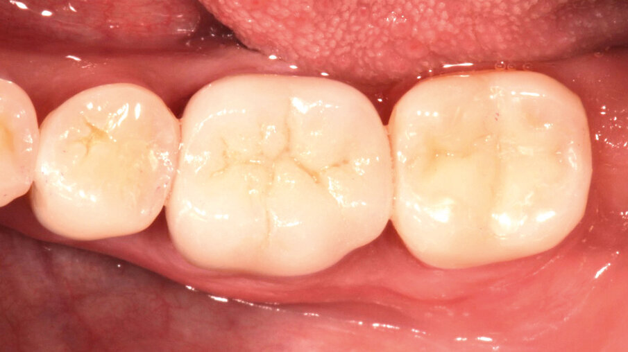
Fig. 11: Situation after crown placement, removal of the excess cement and thorough cleaning. The crown blends in nicely with the surrounding tooth structure.
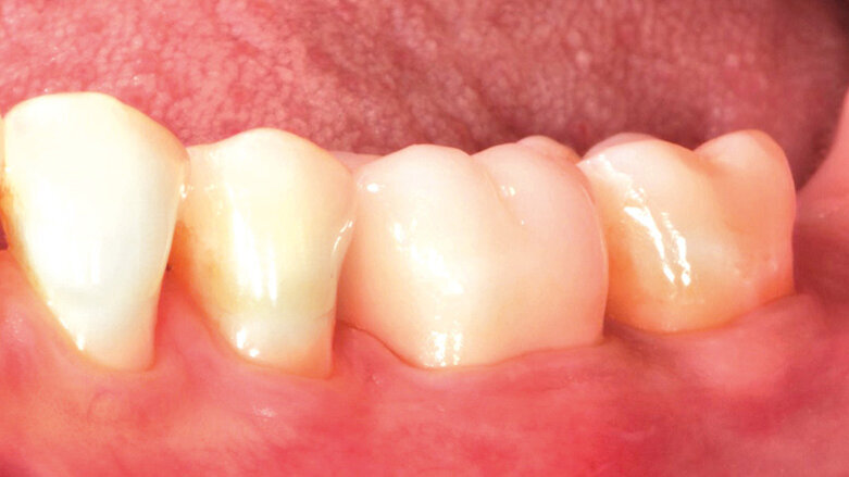
Fig. 12: At the check-up several days after crown placement, a great overall picture is obtained. The patient is happy with the final restoration in terms of aesthetics and function.
A case study by Dr. Carlos Eduardo Sabrosa, DDS, MSD, DScD featuring 3M™ RelyX™ Ultimate Adhesive Resin Cement.
How much time and effort do you spend creating beautiful smiles? Whether you currently use a rubberized finishing and polishing system or an intraoral ...
3M Oral Care participated in the Saudi International Dental Conference from 9-11 Jan 2017 held at the Riyadh International Convention and Exhibition Center....
Dr. Marcin Krupinski, Dr. Ektor Grammatopoulos
Dr. Marcin Krupinski, Dr. Ektor Grammatopoulos
To post a reply please login or register