A case study by Dr. Carlos Eduardo Sabrosa, DDS, MSD, DScD featuring 3M™ RelyX™ U200 Self-Adhesive Resin Cement
Introduction
Indirect restorative procedures can be time-consuming and complicated: many different processes from impression taking to cementation are carried out in the dental office, and in each of them, different strategies may lead to success. However, some of the available materials and techniques will involve a lot of effort, while others enable users to proceed quickly and simplify the complete procedure. A simplified workflow from prep to crown that really make life easier for the dental practitioner is described below.
Comments
The described patient case shows that it is possible to significantly reduce the number of working steps in an indirect restorative procedure. In this way, potential sources of error are eliminated and chair-time is decreased. Key to success is the use of innovative, high-quality materials that offer ease of use and lead to increased efficiency in the dental office. These include the above-mentioned monophase impression material, the bulk fill composite, the temporization material that does not require polishing and the self-adhesive resin cement all offered by a single manufacturer.
Before using the products described, please refer to the instructions for use provided with the product packages.
The featured 3M product may be known with an alternative name in different regions.
Fig. 1: Initial situation. The failed composite restoration covering a large part of the left mandibular first molar’s occlusal surface needs to be replaced.
Fig. 2: Due to the size of the restoration, the amount of remaining tooth structure might not be sufficient to ensure the required stability for a direct composite restoration.
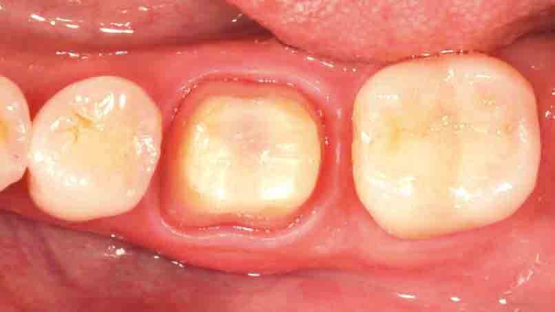
Fig. 3: Upon removal of the old filling, it becomes clear that a crown is needed to ensure the required stability. The tooth is built up with 3M™ Filtek™ Bulk Fill Posterior Restorative, which may be placed in conjunction with 3M™ Single Bond Universal Adhesive and in increments of up to 5 mm.
Fig. 4: Following tooth preparation, a temporary crown is produced chairside with 3M™ Protemp™ 4 Temporization Material. This material exhibits a high strength and a natural gloss without polishing.
Fig. 5: One week after the preparation procedure, healthy soft tissue conditions are obtained. They lay the foundation for a high-quality precision impression.
Fig. 6: In order to allow for a detailed capture of the preparation margin, the gingival tissues are retracted using the double-cord technique. Alternatively, a single cord may be applied in combination with 3M™ Astringent Retraction Paste.
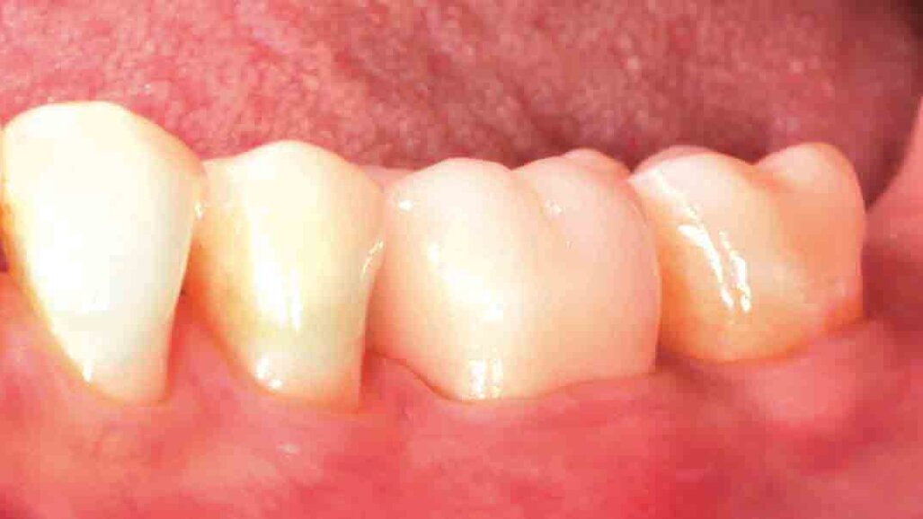
Fig. 7: Monophase impression taken with 3M™ Impregum™ Penta™ Soft Medium Body Polyether Impression Material. A very detailed representation of the preparation margin is obtained with this simple technique.
Fig. 8: Situation at intraoral try-in of the crown. It is made of a 3M™ Lava™ Zirconia coping and an IPS e.max® Ceram (Ivoclar Vivadent) porcelain layer. Ideal intraoral conditions (smooth margins, healthy tissues) are visible.
Fig. 9: Sandblasting of the crown’s intaglio surface to create a microretentive surface structure that is beneficial for cementation. This procedure is recommended for oxide ceramic materials.
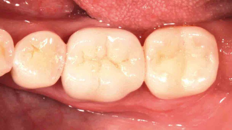
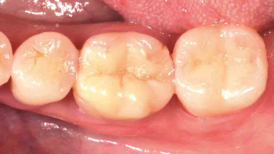
Fig. 10: Situation after crown placement, removal of the excess cement and thorough cleaning. The crown blends in nicely with the surrounding tooth structure.
Fig. 11: At the check-up several days after crown placement, a great overall picture is obtained. The patient is happy with the final restoration in terms of aesthetics and function.
Indirect restorative procedures can be time-consuming and complicated: many different processes from impression taking to cementation are carried out in the...
Dentistry has always been a taxing profession both on the mind and the body. And dentists and hygienists who scale by hand instead of using ultrasonics may ...
It is times of crisis that show how important it is to stick together. For this reason, we want to share our know-how and send professionals back to a ...
Tabitha Acret explains how Guided Biofilm Therapy has revolutionised how she treats orthodontic patients
Peri-implant disease diagnosis is as fundamental as controversial. Although the progress made during the last decades, it’s still hard to find univocal ...
Infection control and prevention measures commonly observed in the dental practice are safe and effective, but hygiene routines need to be known, understood...
“It is amazing how efficient the 3D printing technique is. Normally, patients need to undergo various treatments, but with the use of the 3D digital ...
Modular nickel-titanium systems enable the endo-expert to work flexibly in a variety of indications. Meanwhile, most patient cases can be prepared ...
As anticipation builds for the upcoming CAD/CAM & Digital Dentistry & Facial Aesthetic Conference 2024 in Dubai on 15-16 November, let’s take a ...
SINGAPORE: The International Dental Exhibition and Meeting (IDEM) has made a comeback this year for its 12th edition—the first physical event after the ...
Live webinar
Wed. 15 April 2026
10:00 pm UAE (Dubai)
Live webinar
Thu. 16 April 2026
4:00 am UAE (Dubai)
Linda Hecker MS, BSDH, RDH
Live webinar
Thu. 16 April 2026
8:00 pm UAE (Dubai)
Dr. Pär-Olov Östman, Dr. Robert Gottlander DDS
Live webinar
Fri. 17 April 2026
8:00 pm UAE (Dubai)
Live webinar
Fri. 17 April 2026
9:00 pm UAE (Dubai)
Dr. Stuart Yeaton BDentSc, MOrth
Live webinar
Mon. 20 April 2026
9:00 pm UAE (Dubai)
Dr. Alberto Monje DDS, MS, PhD
Live webinar
Wed. 22 April 2026
7:00 pm UAE (Dubai)
MDT Andreas Chatzimpatzakis
To post a reply please login or register