Every year, dental undergraduate and graduate students, with less than 2 years of clinical practice, are invited to participate by documenting a patient case with photographs and text. Since its inception in 2004-2005, more than 3,900 dental students have participated, with the 2018-2019 competition drawing a total of about 1,242 entries, from 134 universities.
This year the regional winner for MENA was Rana Ali Al-Saadi from Ibn Sina National College, Saudi Arabia. Check out her winning case!
Introduction to the case
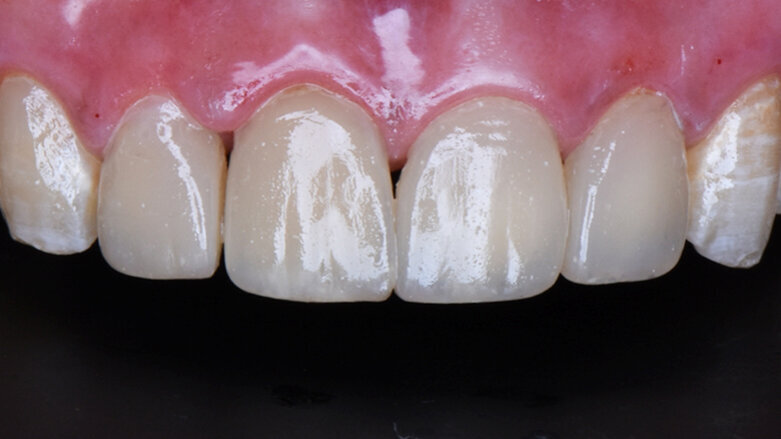
A 44 year-old male patient came to the clinic to solve his aesthetic problem related to incisors, canines 13, 12, 11, 21, 22.
Treatment options 1: Crowns related to #11, 12, 21, Direct veneer #22 and class V composite restoration related to #13.
2: Build up related to #11, 12, 21, Direct veneer #22 and class V composite restoration related to #13.
Treatment options were discussed with the patient and the patient chose the second option.
Before
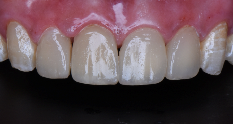
After
Step 1 – Digital smile design Digital smile designing done according to golden proportions for a predictable clinical outcome.
Step 2 – Isolation After shade selection (A3) the anterior area was isolated with rubber dam and stabilised with knot ligatures for preventing leakage and adequate retraction teflon tape used.
Step 3 – Cavity preparation Caries excavation and final cavity preparation with bevel was prepared.
Step 4 – Etching The etching protocol was done using DeTrey® Conditioner 36 for 15s then rinsed with water spray.
Step 5 – Bonding - palatal wall & build up The Adhesive system was applied (Prime& Bond univarsalTM) and light-cured. Build up of the palatal wall using the silicon key, the proximal wall contours were created using sectional matrix. Dentine shade (ceram.x® duo D3) and enamel shade (ceram.x® duo E2) were used.
Step 6 – Contouring Restorations were marked with graphite to highlight transitional lines, mesial - distal inclination and developmental grooves. Gross three dimensional contouring was done using diamond burs. Interdental finishing strips were used to remove excess and shape emergence profile of the teeth.
Step 7 – Finishing & Polishing Finishing was completed using (Enhance® Finishing System) and then the polishing procedure was completed using (Enhance® PoGo system and Prisma Gloss® pastes).
Step 8 – Post operative view Highly aesthetic outcome using (ceram.x® duo).
Material and Method The digital smile design approach is very beneficial in deciding the preferred ideal outcome. Interpretation was onto the diagnostic wax up. After isolation with the rubber dam, caries excavation and cavity preparation was performed. Teeth were etched with DeTrey® Conditioner 36rinsed and dried. Prime&Bond universalTM was applied and light-cured. Reconstructions were made with (ceram.x® duo) using a multi-layering technique with dentin shade (ceram.x® duo D3) and enamel shade (ceram.x® duo E2). For finishing& polishing firstly finished with a diamond bur, then with Enhance® Finishing System and Polishing with Enhance® PoGo system and Prisma Gloss® pastes.
Discussion and Conclusion
Re-creating an aesthetic smile was a challenging task in the present case. The final restoration satisfied the patient's expectations. Ceram.x® duo showed a remarkable final natural appearance in this case. Ceram.x® duo has excellent handling, finishing, and polishing properties that resulted in a highly aesthetic outcome.
Dentsply Sirona, the world's largest manufacturer of dental products and technologies, and exocad, one of the leading dental CAD/CAM software manufacturers ...
Combining Swiss precision and advanced engineering, the TruNatomy™ range offers clinicians a solution that provides efficient performance and increased ...
From 15 to 17 September, Dentsply Sirona (DS) World 2022 took place in Las Vegas in the US. Thousands of dental professionals attend this premier annual ...
Dental Tribune had the pleasure of sitting down with Rajendar Kumar, General Manager of the MENA region at Dentsply Sirona, for an insightful conversation ...
Dental Tribune talks with Kirill Levin, Group Vice President of the Eastern Group Regional Commercial Organization (RCO) at Dentsply Sirona, about key ...
Simon Campion spoke with DTMEA at the 2024 DS World Dubai earlier this year to discuss insights gained from his first year as President and CEO of Dentsply ...
To post a reply please login or register