Cementation of all-ceramic restorations using Variolink Esthetic.
Metal-based single crowns are normally seated using a zinc phosphate cement. All-ceramic materials have led to a change in the luting material being used for this indication.
Zinc phosphate cements are seen as classic luting materials for the cementation of metal-ceramic crowns. Along with all-ceramic materials, glass-ionomer cements (GIC) and resin-modified glass-ionomer cements (RMGIC) were introduced. Generally, luting cements are expected to meet certain requirements: They should provide an optimum bond to the tooth structure and restoration material. They must not be soluble in water. They should be suitable for application in thin coatings and they should offer long-term stability. This is in contrast to the properties of classic cements, which are water soluble and do not establish an adhesive bond to the enamel or dentin (zinc phosphate cements) or establish only a minimally adhesive bond and only to the dentin (GICs and RMGICs). Nonetheless, these cements show reasonable survival rates if used for the appropriate indication even if they involve certain limitations.
Problem I: opacity
The opacity of the luting material is a critical issue in all-ceramic crowns as well as ceramic inlays and onlays. Almost any colour can theoretically be reproduced with ceramics by exploiting their natural translucent properties. Using an opaque luting material appears to be counterproductive in achieving this. Further critical issues are the limitations involved in the anterior region and the location of the cement line in the visible area in inlays and onlays. For instance, if a tooth is restored with a veneer, the basic shade of the tooth is maintained. Only the enamel is replaced, usually by using a translucent ceramic that covers the natural dentin. In such a case, it is essential to use a translucent luting material to achieve a favourable result.
Problem II: adhesion
The comparatively low bond strength of conventional cements is also problematic. Classic preparations around the tooth create a high degree of friction and retention. However, the retention is significantly reduced in partial crowns, veneers or onlays. It is therefore advisable to use a luting material that is capable of providing a strong adhesive bond.
Both problems led to the widespread use of composite luting materials. Perhaps their only disadvantage is the removal of excess material.
These luting materials are not water-soluble, hard and solid and they have a high adhesive strength, which makes excess removal difficult. Early luting composites were equipped with a self-cure mechanism. Users had to wait a few minutes until the composite was almost fully set before they could remove the excess material. This period of time was risky because of the moisture in the mouth. Blood or saliva could come into contact with the non-polymerized composite and cause damage.
Dual-curing luting composites
These issues led to the rise of dual-curing composites for the cementation of all-ceramic crowns. Dual-curing luting composites are usually delivered in double-push syringes with a mixing tip. During extrusion, the base and catalyst are automatically mixed. The material can be applied directly. The main advantage is that the curing process can be accelerated with light and excess material can be easily removed. At the same time, the self-cure mechanism ensures a reliable cure, even with relatively thick or opaque ceramic layers. Nonetheless, there are some situations in which excess material cannot be removed all that easily because the setting reaction takes place too quickly or the material does not cure down to the depth of the composite layer. After one second of light curing, the surface is set and excess can be broken off, but the material is still paste-like at the interface to the crown or tooth.
State-of-the-art luting composites such as Variolink Esthetic contain the newly developed initiator Ivocerin. This photoinitiator needs fewer photons to initiate the setting reaction. Excess can be polymerized en bloc and pulled off as a “ring” in one go with no uncured material left in touch with the tooth or crown (see Fig. 9). In addition, the luting composite does not contain amine, which is another advantage. Amine may be implicated in a potential discolouration of the cement line over time.
One material – five shades
Variolink Esthetic is based on the Value Shade concept. The shades are classified according to the effect to be achieved with the cement. Five shades are available: Light+, Light, Neutral, Warm and Warm+. In this way, the shade spectrum ranges from an opaque white tone (Light+) to an opaque yellow brownish shade (Warm+). In between lie shades such as a coconut water white and a neutral tone (very translucent) and a warm tone (comparable to A3). In addition, the luting composite is available in an LC (light-curing) and a DC (dual-curing) version. The LC version is designed for relatively thin restorations such as inlays, onlays and veneers. The DC version is suitable for more extensive and opaque restorations. The luting composite is used in conjunction with the light-curing single-component Tetric® N-Bond Universal.
Fig. 1: Preoperative situation
Fig. 2: Situation after composite build-up (Tetric N-Ceram Bulk Fill) and preparation
Fig. 3a: Crown design in the software suite (Cerec inLab) and try-in before crystallization firing (IPS e.max)
Fig. 3b: Crown design in the software suite (Cerec inLab) and try-in before crystallization firing (IPS e.max)
Fig. 4: Characterized and glazed crown
Fig. 5: Etching and silanating with Monobond Etch & Prime
Fig. 6: Enamel etching prior to the application of the adhesive
Fig. 7: Applying Variolink Esthetic DC into the crown
Fig. 8: Placing the crown
Fig. 9: Excess removal is easily achieved due to the new technology based on the Ivocerin photoinitiator
Fig. 10: Final curing. Excess luting material was removed beforehand (quarter technique)
Fig. 11: Seated crown after excess removal
Fig. 12a: Lateral and occlusal view of the completed restoration
Fig. 12b: Lateral and occlusal view of the completed restoration
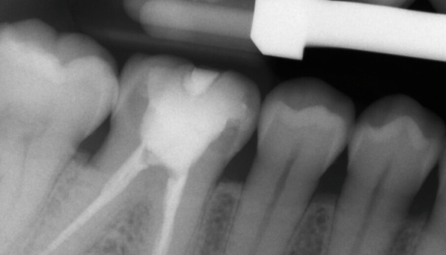
Fig. 13a: X-ray control image before and after the treatment
Fig. 13b: X-ray control image before and after the treatment
Clinical case
A 45-year-old male patient presented to the practice with a restoration on tooth 46. The tooth had been endodontically treated and was temporized with a filling (Fig. 1). The temporary was removed, the tooth built up with Tetric N-Ceram Bulk Fill and then prepared for the crown restoration (Fig. 2). An impression was taken with a one-step two-phase impression technique using putty and light-body silicone. After scanning the model, the crown was designed in the software suite (inLab, Dentsply Sirona) and milled from an IPS e.max® lithium disilicate block (Fig. 3). After the crystallization firing the crown was stained and glazed (Fig. 4).
The next step was to etch and silanate the ceramic crown with the new glass-ceramic primer Monobond® Etch & Prime. This primer combines a ceramic etching and silanating component in one single material and therefore eliminates the need for the ceramic to undergo hydrofluoric acid etching (Fig. 5). After the etching and silanating step, the crown was rinsed with water and dried. Then the isolated enamel was etched (Fig. 6).
The adhesive (Tetric N-Bond Universal) was applied and dispersed with a strong stream of air. The dual-curing (DC) version of the Variolink Esthetic luting composite was used for seating due to the thickness of the crown and the low translucency of the ceramic material (Fig. 7). The luting composite was applied into the crown. Then the restoration was seated (Fig. 8) and light cured from each side for two seconds. Excess composite was easy to remove due to the Ivocerin photoinitiator, which provides a fast and thorough cure with a minimum amount of energy (Fig. 9). For final polymerization, the restoration was light-cured from each quarter for 20 seconds (Fig. 10). Figure 11 shows the oral situation after placement of the crown. Although the cement line is located above the gingival margin, it is not visible due to the favourable tone and opacity of the luting composite. Fig. 12 shows an X-ray control image of the restoration: the radiopaque build-up material and cement can be easily told from the tooth structure. This aspect is particularly important in situation where excess cement cannot be seen with the naked eye.
Conclusion
The cementation methods used in conjunction with all-ceramic materials have changed for single-crown restorations. Variolink Esthetic is a protagonist of the latest generation of luting composites. Excellent bond strength values coupled with user-friendly handling characteristics and highly esthetic properties make this material an asset in day-to-day dental restorative care.
Cementation of all-ceramic restorations using Variolink Esthetic
Tetric CAD enhances Ivoclar Vivadent’s block portfolio
Cervitec liquid from Ivoclar Vivadent now features an enhanced formula.
Only a few months before changing to the Supervisory Board, Ivoclar Vivadent's CEO Robert Ganley was acknowledged by the American College of Prosthodontists...
Highly esthetic and high-strength monolithic IPS e.max CAD restorations
Ivoclar Vivadent has announced the go-live of a new portal. Under the heading of "Highlights", the portal offers dental professionals and laboratory ...
Ivoclar Vivadent has announced the go-live of a new portal. Under the heading of "Highlights", the portal offers dental professionals and laboratory ...
Single-tooth restorations with Tetric CAD
Innovative, interactive and informative – this is a succinct description of the online version of this year’s International Expert Symposium (IES), ...
A retrospective of Ivoclar Vivadent’s successful history. An Interview with Robert Ganley, Ivoclar Vivadent’s CEO 2003 – 2019.
Live webinar
Thu. 14 May 2026
8:00 pm UAE (Dubai)
Live webinar
Thu. 14 May 2026
10:00 pm UAE (Dubai)
Prof. Hani Ounsi DDS PhD FICD
Live webinar
Tue. 19 May 2026
7:00 pm UAE (Dubai)
Live webinar
Tue. 19 May 2026
9:00 pm UAE (Dubai)
Prof. Dr. med. dent. Ivo Krejci
Live webinar
Wed. 20 May 2026
3:00 pm UAE (Dubai)
Dr. Graham Carmichael BDSc (Hons), DClinDent (Pros), FRACDS, Dr. Robert Gottlander DDS
Live webinar
Wed. 20 May 2026
5:00 pm UAE (Dubai)
Live webinar
Wed. 20 May 2026
9:00 pm UAE (Dubai)
Prof. Dr. med. dent. Tim Joda PhD, MSc, eMBA
To post a reply please login or register