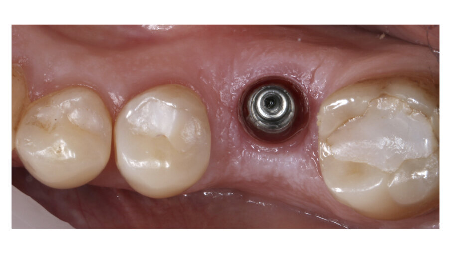
Implant prosthetics and dental prosthetics differ considerably, with the absence of periodontal ligament in the implant/prosthesis complex. This situation causes mechanical problems to the implants, especially to the implant prosthetic material, due the lack of stress absorption resulting from the normal impact during chewing.1,2 Among the problems we face in daily practice is the unscrewing and fracturing of veneering material of the implant crown and fracturing of implant/abutment components.
It is very important to consider that resin based blocks give us the missing part from ceramic materials to solve the problem of anterior exposure. It is also necessary to consider the importance of reliable bonding/union between the resin block and the abutment component of the implant, because the right transmis-sion of occlusal load depends on the reliability of this bonding interface. One of the biggest advantages of BRILLIANT Crios blocks is the combination with ONE COAT 7 UNIVERSAL, the best bonding system for the resin based blocks according to the scientific literature3,4 and also tested in my own practice over the last five years of use.
Another very important feature is the size and distribution of ceramic fillers. We have learned from the past that bigger size fillers are better for the strength but, at the same time, are more prone to detach from the surface creating craters iniciating the material degradation. A homogeneous filler size and distribution is much better for the material’s wear, luster, aesthetics and strength over long term.
Case 1
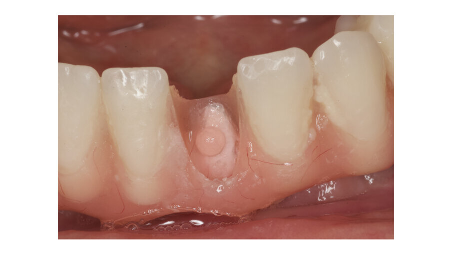
During daily practice, it is very common to face situations where the implant has to be placed lingually due to normal resorption (Fig. 1) of the buccal plate after the extraction. But, at the same time, it is not necessary to perform bone grafting procedures. The result of this scenario is to increase the stress on the implant-bone complex when we use rigid materials like conventional ceramics (Fig. 2). For this daily practice situation, the combination of rigid and resilient materials against the antagonist, allows the stress to the implant-bone complex to be reduced (Figs. 3, 4).
Oblique loads have been reported to increase stress values in peripheral bone and prosthetic components also generating high stress in the crown, implant, abutment, and cortical bone. The Young’s modulus, also known as elastic modulus, is one of the important factors determining a material’s behaviour.5
Case 2
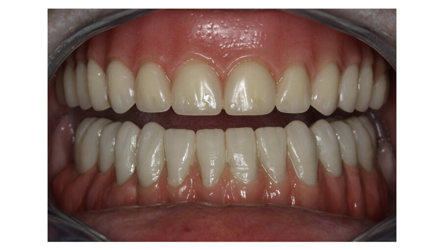
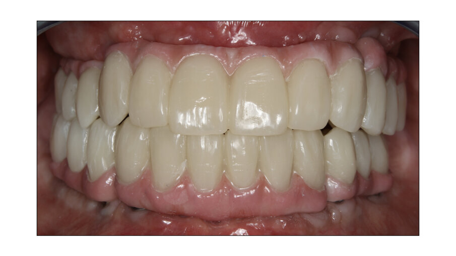
Another common situation is a full mouth restoration over implant. It is well known that the big issue is chipping and delimitation of the ceramics, due to the high forces applied in the patient with dental implants. In regards to this problem, the combination of rigid materials to support the connectors and resilient materials to absorb the shock and, at the same time, allow easy fixation, make the use of resin based blocks the logical choice for this kind of restoration (Figs. 6-8).
Case 3
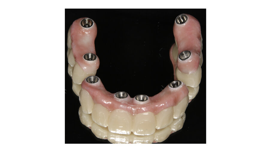
In this case, a patient presented with extremely atrophic bone in the mandible, with four short implants placed between the dental nerve foramen (Figs, 10a, 10b). After some time, patients wearing this kind of restoration with prefabricated teeth, their muscle activity increase considerably, which very often leads to fracture or debonding of the prefabricated teeth (Fig. 12). A combination of a rigid metal structure over the telescopic bar and a thimble structure made of PEEK (Fig. 13, 14) works as base for the final restorations. These were milled out of a BRILLIANT Crios disc either as single tooth units or bridges and cemented on the thimble structure (Figs. 15-17). Using BRILLIANT Crios instead of prefabricated teeth, we can increase the strength of the restoration, have good aesthetics and keep the weight low for this kind of prosthesis.
Fig. 1: Implant placed lingually due to the normal resorption of the buccal plate.
Fig. 2: The design of the crown has to be with a pseudo pontic, increasing the oblique load on the crown.
Fig. 3: Hybrid implant crown made with zirconia mesostructure and BRILLIANT Crios cemented adhesively on top ready to be screwed in mouth.
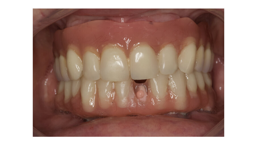
Fig. 4: Implant crown after one week of placement.
Fig. 5: Implant crown after placement.
Fig. 6: Zirconia thimble framework and BRILLIANT Crios bridges for extra oral bonding.
Fig. 7: Zirconia bridges ready to be screwed.
Fig. 8: Upper and lower bridges in the mouth.
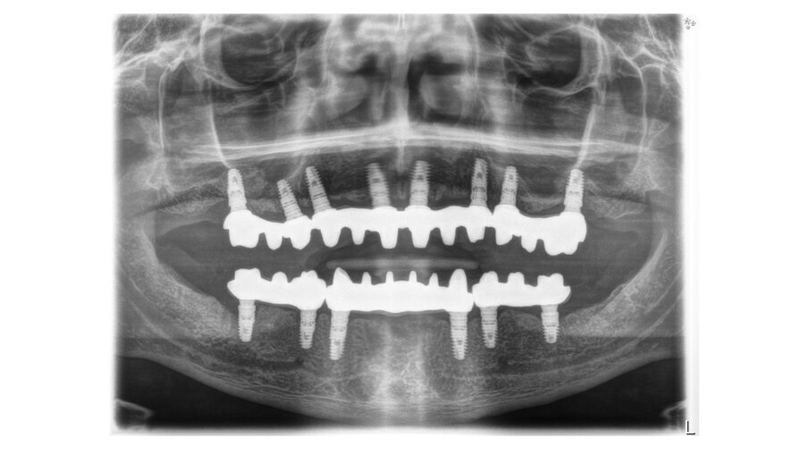
Fig. 9: Panoramic view of the finished case.
Figs. 10a and 10b : Patient with extremely atrophic bone in the mandible with four short implants placed between the dental nerve foramen
Fig. 11: Telescopic bar with retentions for the secondary structure
Fig. 12: Debonding of prefabricated tooth is very common on overdentures.
Fig. 12: Debonding of prefabricated tooth is very common on overdentures.
Fig. 13: PEEK thimble structure.
Fig. 14: Secondary metal structure.
Figs. 15: Telescopic prosthesis with BRILLIANT Crios restorations. Occlusal view.
Figs. 16: Telescopic prosthesis with BRILLIANT Crios restorations. Bottom view.
Fig. 18: Final case in the mouth of the patient. Wearing a complete denture on top and tele-copic BRILLIANT Crios on the lower jaw.
References
- Magne P, Silva M, Oderich E, Boff LL, Enciso R. Damping behavior of implant-supported restorations. Clinical Oral Implants Research. 2013;24(2):143–8.
- Liebig J. Energy Dissipation and Damping Behavior of Commonly Used CAD / CAM Materials. 2018;35392.
- Reymus M, Roos M, Eichberger M, Edelhoff D, Hickel R, Stawarczyk B. Bonding to new CAD/CAM resin composites: influence of air abrasion and conditioning agents as pretreat-ment strategy. Clinical Oral Investigations. 2019;23(2):529–38.
- Emsermann I, Eggmann F, Krastl G, Weiger R, Amato J. Influence of Pretreatment Methods on the Adhesion of Composite and Polymer Infiltrated Ceramic CAD-CAM Blocks. The journal of adhesive dentistry. 2019;21(5):1–11.
- Kaleli N, Sarac D, Külünk S, Öztürk Ö. Effect of different restorative crown and customized abutment materials on stress distribution in single implants and peripheral bone: A three-dimensional finite element analysis study. Journal of Prosthetic Dentistry [Internet]. 2017;1–9. Available from: http://dx.doi.org/10.1016/j.prosdent.2017.03.008
After almost ten years, the leading composite veneering system shines with a new brilliance: the customisable BRILLIANT COMPONEER composite shells have been...
Worldwide, dental practitioners are convinced of this innovative, efficient latest generation bulk composite. Overwhelming feedback since its launch only ...
State-of-the art, self-etching adhesive systems are easy to apply and boost the success rate significantly, especially within restorations in the posterior ...
State-of-the art, self-etching adhesive systems are easy to apply and boost the success rate significantly, especially within restorations in the posterior ...
DUBAI, UAE: The 2018 Dental Facial Cosmetic Conference & Exhibition will be celebrating its 10th anniversary this year on 09-10 November 2018. Total of 42 ...
Live webinar
Thu. 14 May 2026
8:00 pm UAE (Dubai)
Live webinar
Thu. 14 May 2026
10:00 pm UAE (Dubai)
Prof. Hani Ounsi DDS PhD FICD
Live webinar
Tue. 19 May 2026
7:00 pm UAE (Dubai)
Live webinar
Tue. 19 May 2026
9:00 pm UAE (Dubai)
Prof. Dr. med. dent. Ivo Krejci
Live webinar
Wed. 20 May 2026
3:00 pm UAE (Dubai)
Dr. Graham Carmichael BDSc (Hons), DClinDent (Pros), FRACDS, Dr. Robert Gottlander DDS
Live webinar
Wed. 20 May 2026
5:00 pm UAE (Dubai)
Live webinar
Wed. 20 May 2026
9:00 pm UAE (Dubai)
Prof. Dr. med. dent. Tim Joda PhD, MSc, eMBA
To post a reply please login or register