It becomes especially challenging for dental technicians to produce natural, age-appropriate reconstructions in the visible area of the mouth for older people. It is recommended to establish a very planned procedure based on the characteristics of the natural teeth for the individualization and characterization of such a restoration.
This is the only way results can be achieved that fit harmoniously into the remaining tooth substance. Dental technician Carolin Wehning (Bocholt, Germany) shows how such a complex case can be solved with VITA VM 9 veneer ceramics and VITA INTERNO materials for internal characterization (all VITA Zahnfabrik, Bad Säckingen, Germany) in the following case study.
Assessment and planning
A 77-year-old patient entered the dental practice after a coronal transverse fracture at 21, which had already been treated with a direct composite structure. Clinically, the results were morphologically and esthetically inadequate. On the adjacent natural tooth 11, age-related discolorations, initial white and brown spot lesions in the cervical area, and a vestibular transverse dark brown crack were apparent. The dentist and patient decided to restore the tooth with a full ceramic crown for long-term stabilization, in which the color effect of the adjacent tooth 11, was to be reproduced in detail. In order to achieve a predictable result, the situation was molded and a model was developed for a wax-up. Tooth 21 was prepared for a full crown and a master model was produced using a precision mould.
CAD/CAM fabrication and veneering
The crown framework was made of CAD/CAM supported VITA YZ HT zirconium dioxide. For a deep initial fluorescent effect, a wash firing was performed with EFFECTLINER 5 (orange) and EL6 (green-yellow). “Layering with VITA VM 9 was the basis for reproducing the basic shade. The VITA INTERNO materials then enabled me to intensify the deeper individual shade nuances after the wash and dentine firings,” said Wehning, describing the key steps of ceramic reproduction. INT04 (orange) and INT11 (gray-brown) were used in the cervical and interdental areas; INT5 (terracotta) was used in the center. The inside areas were nuanced with shades of INT8 (blue), INT5 (brown), and INT7 (anthracite); the incision with INT2 (sand). Cracks and brown spots could be reproduced with INT10 (brown), and white spots with INT1 (white).
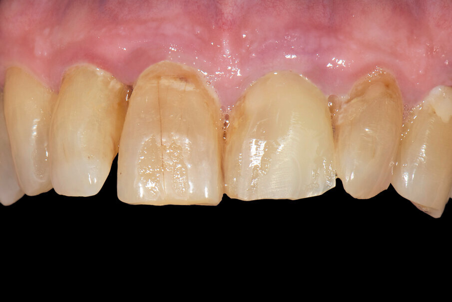
Fig. 1: Initial situation: Composite structure at 21 after distal transverse fracture of the tooth crown.
Fig. 2: After matching the wax-up with the master model, the functional cap could be designed.
Fig. 3: After determining the basic tooth shade 5M2 with the VITA Toothguide 3D-MASTER, the layer scheme is sketched.
Fig. 4: The crown framework, prepared for veneering.
Fig. 5: After a dentine firing, VITA INTERNO can be used for a second time to give depth with individual shade nuances.
Fig. 6: The VITA INTERNO stains allow for a multifaceted and age-appropriate reproduction of the natural teeth.
Fig. 7: The final fully ceramic crown has an age-appropriate morphology, surface texture and shading.
Fig.8: The shading and lighting of the restoration fits perfectly in the overall picture
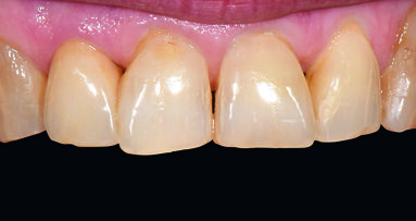
Fig. 9: Result: The patient is very satisfied with the final esthetic result.
Finalization of the restorations
After working out the basic morphology with the stone and the details with a fine diamond, the inside crack was pulled from the outside with a fissure bur to achieve a three-dimensional effect. The surface texture was kept as smooth as possible, in accordance with the patient's age. After the glaze firing, only a goat-hair brush and diamond polishing paste were used to slightly reduce the gloss effect. After trying out the fully-ceramic crown, the patient was very satisfied with the result, and a self-adhesive bond was applied. The shade and form of the restoration integrated harmoniously with the other teeth. The ceramic veneer in combination with two stain-colored fires made it possible to achieve an age appropriate esthetic.
Source: Dental Barometer. 6-2017, Barometer Verlagsgesellschaft mbH, Germany
VITA® and other VITA products mentioned are registered trademarks of VITA Zahnfabrik H. Rauter GmbH & Co. KG, Bad Säckingen, Germany.
A case study by Dr. Carlos Eduardo Sabrosa, DDS, MSD, DScD featuring 3M™ RelyX™ Veneer Cement and 3M™ RelyX™ Unicem Aplicap™ Self-Adhesive Resin ...
A 61-year-old Thai female presented with loosening 9-unit fixed dental prostheses (FDPs). Her chief complaint concerned her loose and unpleasing front teeth...
BEAUTIFIL II ENAMEL and GINGIVA from Shofu are developed as a complementary line extension of BEAUTIFIL II series to easily create life-like direct ...
Cementation of all-ceramic restorations using Variolink Esthetic
Cementation of all-ceramic restorations using Variolink Esthetic.
DUBAI, UAE: Scientifically designed from the ground up for long-term stability and tissue preservation—essential factors that contribute to the lasting ...
CEREC Primemill, Dentsply Sirona’s new milling machine, has taken chairside dental restorations to the next level. Thanks to its state-of-the- art ...
In the case of reconstructions that have an intermediate shade in whole or in part, near-natural reproduction of the tooth shade is typically demanding. The...
Tetric CAD enhances Ivoclar Vivadent’s block portfolio
The Charisma brand is trusted all over the world for its easy handling, high quality and reliability in restorations. That is why incorporating the most ...
Live webinar
Mon. 11 May 2026
8:00 pm UAE (Dubai)
Live webinar
Mon. 11 May 2026
9:00 pm UAE (Dubai)
Live webinar
Tue. 12 May 2026
9:00 pm UAE (Dubai)
Live webinar
Thu. 14 May 2026
8:00 pm UAE (Dubai)
Live webinar
Thu. 14 May 2026
10:00 pm UAE (Dubai)
Prof. Hani Ounsi DDS PhD FICD
Live webinar
Tue. 19 May 2026
7:00 pm UAE (Dubai)
Live webinar
Tue. 19 May 2026
9:00 pm UAE (Dubai)
Prof. Dr. med. dent. Ivo Krejci
To post a reply please login or register