RAW workflow: A professional’s approach to planning monolithic restorations on single-tooth implants
Digital planning and preparation provides a high level of reliability in implant-prosthetic procedures. Preliminary virtual simulation of the surgical intervention can provide the necessary confidence and certainty to carry out the actual surgery with peace of mind. Two dental professionals describe their procedure.
Every workflow begins with an information gathering exercise. If a digital workflow is followed, the information consists of data that can be processed by the software being used. Our prosthetics team employs a photo-video protocol to examine the esthetic-functional relationship between the smile, dental situation and face of the patient. In addition to conventional photographic documentation and video sequences, we use digital volume tomography (DVT) and intraoral scans in the assessment of implant prosthetics cases. By merging all the information gathered we obtain what we call a “digital clone”. These amalgamated data sets enable us to plan all steps in a virtual treatment suite as if we were working on a clone of the patient. Below we present our procedure, using the example of an implant prosthetic single-tooth restoration.
Creating a digital clone
The process begins by obtaining a high-quality portrait photograph, a DVT and an STL file (Figs 1 to 3). In the case presented here, tooth 12 can no longer be preserved and needs to be replaced with an implant prosthetic restoration. Designing the prosthetic restoration forms the first stage of the implant planning sequence. In the present case, the shape of the existing tooth should be maintained. If an analogue workflow is followed, the premise for the implant is the extraction of the tooth. This scenario also forms the first step in the digital procedure described here - however, the tooth is “only” extracted virtually. We can extract the tooth digitally to design e.g. the future alveolar cavity (emergence profile) and generate an optimized emergence profile. An alveolar model is required for:
1) designing the drill template (navigated implant insertion) and
2) fabricating a temporary restoration / abutment prior to the surgical intervention.
We only ever use copies of the data files. Theoriginal data sets remain untouched. Several methods can be employed to perform the virtual tooth extraction. In our opinion, the most effective approach is to use the “Provisional Pontic” CAD process and to design the alveolar cavity to have an optimum shape. You should always work on two levels when executing this step. The working scan represents the first level. The original scan with the tooth represents the second level in this scenario.
Fig. 1. Portrait image prior to the intervention
Fig. 2. DVT data set in the software program
Fig. 3. Surface scan of the preoperative situation
Fig. 4. Virtual extraction of the tooth in need of treatment
Fig. 5. DVT data set in the software program
Fig. 6. Surface scan of the preoperative situation
Fig. 7. Printed drill template (Mguide, MIS)
Fig. 8. Immediate temporary restoration
Fig. 9. Atraumatic tooth extraction
Fig. 10. Implant insertion (NP implant, MIS) with drill template
Fig. 11. Drill template and implant after insertion
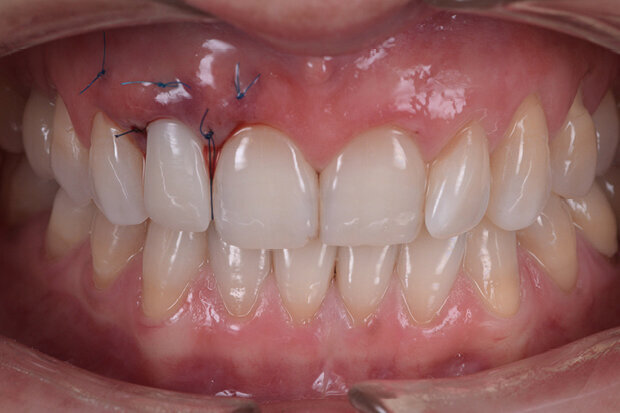
Fig. 12. Temporary restoration after the surgical intervention
Fig. 13. Clinical situation with scan body
Fig. 14. Implant prosthetic restoration
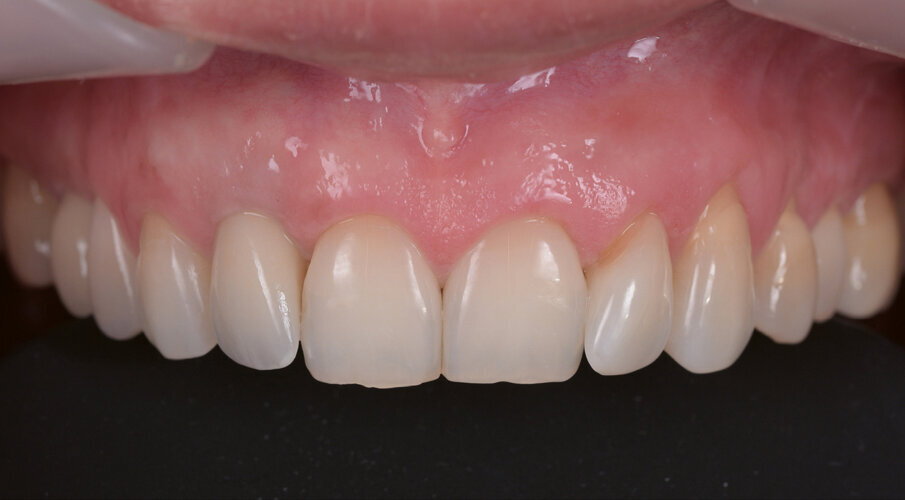
Fig. 15. Close-up of the final situation
Fig. 16. Portrait image after completion of the restoration
Implant prosthetic planning
The implant crown is designed (virtual wax-up). In the present case, the tooth being replaced serves as the template. The crown reflects the position and proportions of the original tooth. A copy of the scan file is again used as working file on which the virtual tooth extraction is performed. This allows us to go back to the original data and compare it with the working file. We define the ideal implant placement position and design the peri-implant soft tissue contours on the screen to provide an adequate emergence profile (Fig. 4). We then prepare a drill template for safe transfer of the implant position to the oral cavity. Even though most dentists are familiar with this procedure, we will briefly address the fundamentals: Basically, three data sets are required for preparing a drill template:
1) a scan showing the digitally extracted tooth,
2) a data file of the DVT, and
3) a scan showing the CAD design of the tooth being treated; in the present case, this means the original scan with the existing tooth.
At the next step, we simulate the surgical procedure on the screen. The implant is inserted digitally and then a template of the procedure is exported. The conditions of the alveolar bone can be assessed to determine the bone’s fitness for the planned procedure. If necessary, the alveolar bone may be adjusted, for instance by planning a bone transplant. Alternatively, a compromise may be made and it may be preferable to opt for a cemented restoration or a change in the design instead. We take all the major decisions at the virtual implant insertion stage. The details can then be transferred to the clinical situation by means of the drill template. The position of the implant is established with the help of the wax-up (3 to 4 mm deeper). The implant angle and position should be selected so that the available bone structure can be used to optimum effect, without deviating too much from the specifications of the prosthetic restoration. In this case, the aim is to provide a screw-retained restoration. We are still using our “digital clone” to plan these steps. Once the preparatory steps have been completed, the drill template is printed (Fig. 5). In addition, the STL file of the implant model including the optimized alveolar cavity design and digital scan body (Fig. 6) are prepared to design the temporary restoration.
Designing the temporary restoration
The virtual implant model (Fig. 6) is imported into the construction software to design the abutment and/or temporary restoration. The crown-abutment interface should be placed in an optimum position in the previously prepared alveolar cavity. The Ti base has been defined at the time when the implant depth was determined during the implant planning step. In the present case, the implant has a depth of 3 to 4 mm. The optimum length of the Ti base is therefore 1.5 mm.
The temporary restoration is placed on a Ti base with free rotation to prevent potential problems caused by the implant index position.
Whether a screw-retained or cemented restoration is chosen is at the discretion of the dentist. We tend to prefer screw-retained restorations. However, the ultimate decision about which restoration to use can only be made at the point when the surgical intervention is planned. Whether the prosthetic restoration is made in one piece or as a hybrid crown is also at the discretion of the dentist. Hybrid restorations are normally preferred in esthetically demanding situations and onepiece restorations in the posterior region.
Surgical phase
All the items required for the surgical intervention have been prepared and are now ready for use: This includes the printed drill template (Fig. 7) and the temporary implant restoration (Fig. 8). Tooth 12 is now extracted atraumatically in the “real world” (Fig. 9).
Immediately afterwards, the fit of the drill template is checked in the oral cavity and the implant is inserted according to the drill protocol (Fig. 10). This is followed by the augmentative measures planned in advance and finally, the temporary crown is screwed on (Figs 11 and 12).
Prosthetic restoration
After a healing phase of at least eight weeks, the temporary restoration is removed and the design is copied. This is the first time in the entire procedure that the actual scan body is used (Fig. 13). The scan body assists in recording the position of the implant. This position corresponds to the originally planned position and also reflects the implant index position.
This method ensures the accuracy of the restoration procedure. The transgingival areas have already been formed at the time of the temporary restoration. In the present case, the thickness of the gingival tissue should be additionally increased. For the final restoration, a Ti base of the same length as the one for the temporary restoration is used. This time, however, the base features an anti-rotation lock. A large selection of materials is available for the final restoration. We normally use hybrid restorations for the restoration of single implants. Here, the restoration consists of a monolithic zirconium oxide abutment (Zenostar) and a monolithic multi-shaded all-ceramic crown (IPS e.max ZirCAD MT Multi). The restoration is characterized with stains and completed without any shape modifications (Figs 14 to 16).
Conclusion
Errors can be avoided by planning the intervention on a “digital clone” and preparing any auxiliary and therapeutic devices ahead of the actual surgical procedure. If this approach is used, suboptimal implant placement – both prosthetically and surgically – can be detected and corrected in advance. In addition, necessary augmentative measures are already evident at the planning stage and can be prepared accordingly. This way, “surprises” during the intervention on the patient can be avoided as far as possible. This brings a high level of reliability and certainty to the treatment process.
Exact reproduction of provisionals with IPS e.max Press Multi
Live webinar
Thu. 14 May 2026
8:00 pm UAE (Dubai)
Live webinar
Thu. 14 May 2026
10:00 pm UAE (Dubai)
Prof. Hani Ounsi DDS PhD FICD
Live webinar
Tue. 19 May 2026
7:00 pm UAE (Dubai)
Live webinar
Tue. 19 May 2026
9:00 pm UAE (Dubai)
Prof. Dr. med. dent. Ivo Krejci
Live webinar
Wed. 20 May 2026
3:00 pm UAE (Dubai)
Dr. Graham Carmichael BDSc (Hons), DClinDent (Pros), FRACDS, Dr. Robert Gottlander DDS
Live webinar
Wed. 20 May 2026
5:00 pm UAE (Dubai)
Live webinar
Wed. 20 May 2026
9:00 pm UAE (Dubai)
Prof. Dr. med. dent. Tim Joda PhD, MSc, eMBA
To post a reply please login or register