Search Dental Tribune

Figs. 1a & b: Fistula in the area of the bone above the lateral incisor (a). Large lesion above the lateral incisor (b). (All images: Dr Philippe Sleiman)

Wed. 29 April 2026

save

Root canal anatomy with all of its inherent complexity still represents a very serious challenge to modern root canal therapy. Even with many breakthroughs in technology, we are still not capable of fully cleaning and shaping the root canal system. It is true that rotary nickel–titanium files are a very helpful treatment tool, yet we are still learning and discovering how to use them effectively to achieve the best possible clinical result with respect to the existing biology and anatomy.

The holy trinity of root canal treatment is diagnostics, cleaning and shaping, and 3D obturation. Diagnostics have been greatly advanced through artificial intelligence software applications. DTX Studio Clinic (DEXIS) is the perfect example of this, especially when it is combined with a high-resolution and high-definition CBCT scan taken with the DEXIS OP 3D unit.

Case 1

The patient presented for assessment of a fistula in the anterior maxilla on a radiograph, appearing as a large lesion above the lateral incisor (Fig. 1). The patient recalled having been hit by a ball a long time before. A CBCT scan was taken, and it showed a large cystic lesion destroying a large portion of the anterior maxilla. Owing to the edge-enhancing capability of the DTX software provided by artificial intelligence, we can enhance the quality of the image. Since the CBCT scan was taken in a different centre, we imported the DICOM file into the DTX software. The image clearly showed the nerve entering the central incisor and a thin layer of bone covering the apex, and the nerve and periodontal ligament in this area were intact (Fig. 2).

Fig. 2a: CBCT images showing the size of the lesion and destruction of both cortical walls. Artificial intelligence-enhanced image.

Fig. 2a: CBCT images showing the size of the lesion and destruction of both cortical walls. Artificial intelligence-enhanced image.

Fig. 2b: Artificial intelligence-enhanced image showing the nerve entering the central incisor.

Fig. 2b: Artificial intelligence-enhanced image showing the nerve entering the central incisor.

Fig. 2c: Original image.

Fig. 2c: Original image.

Fig. 2d: Original image.

Fig. 2d: Original image.

Figs. 3a & b: Adaptive Motion with two different sequences using Kerr Dental files, one for straightforward cases using a single 25/.06 file (a) and the other for more curved and narrow canals (b).

Figs. 3a & b: Adaptive Motion with two different sequences using Kerr Dental files, one for straightforward cases using a single 25/.06 file (a) and the other for more curved and narrow canals (b).

The treatment would be a root canal treatment followed immediately by a zero apicectomy technique to remove the cyst and to prepare the exposed part of the root to reform the periodontal ligament in order for the bone to attach to it. The first step was to clean and shape the canal.

Fortunately, the ZenFlex system (Kerr Dental) offers multiple choices for file working motion. In this case, I chose to use Adaptive Motion in a single-file technique with the 25/0.06 file (Fig. 3). Adaptive Motion is a combination of full rotation and variable reciprocation, offering advantages for use in straight and curved complex canals. The file will enter the canal in full rotation, and as soon as it encounters resistance, it will start to reciprocate. The reciprocating angles are not fixed, but depend on the level of stress inside the root canal. When the stress is high, the reciprocating angles will be large, and when the stress reduces, the reciprocating angles will reduce. That is why it is called adaptive—because it will adapt to the level of stress inside the canal. ZenFlex files are perfectly adapted to this motion with their sharp cutting edges.

After cleaning, shaping and obturation, a flap was raised, and the cyst was removed in a delicate manner, avoiding any damage to the roots in order to preserve the cells responsible for periodontal ligament regeneration and keeping the area hydrated at all times to preserve those cells by employing copious irrigation with saline from time to time. The use of 1% citric acid for 1 minute took care of the bacteria on the surface. This was followed by rinsing with saline and then application of a 17% EDTA solution using micro-brush for 1 minute in order to promote periodontal ligament regeneration (Fig. 4).

Fig. 4a: Removing the cyst from around the root without damaging the surface, followed by surface treatment of the exposed part of the root.

Fig. 4a: Removing the cyst from around the root without damaging the surface, followed by surface treatment of the exposed part of the root.

Fig. 4b: Removing the cyst from around the root without damaging the surface, followed by surface treatment of the exposed part of the root.

Fig. 4b: Removing the cyst from around the root without damaging the surface, followed by surface treatment of the exposed part of the root.

Fig. 4c: Removing the cyst from around the root without damaging the surface, followed by surface treatment of the exposed part of the root.

Fig. 4c: Removing the cyst from around the root without damaging the surface, followed by surface treatment of the exposed part of the root.

Fig. 4d: Removing the cyst from around the root without damaging the surface, followed by surface treatment of the exposed part of the root.

Fig. 4d: Removing the cyst from around the root without damaging the surface, followed by surface treatment of the exposed part of the root.

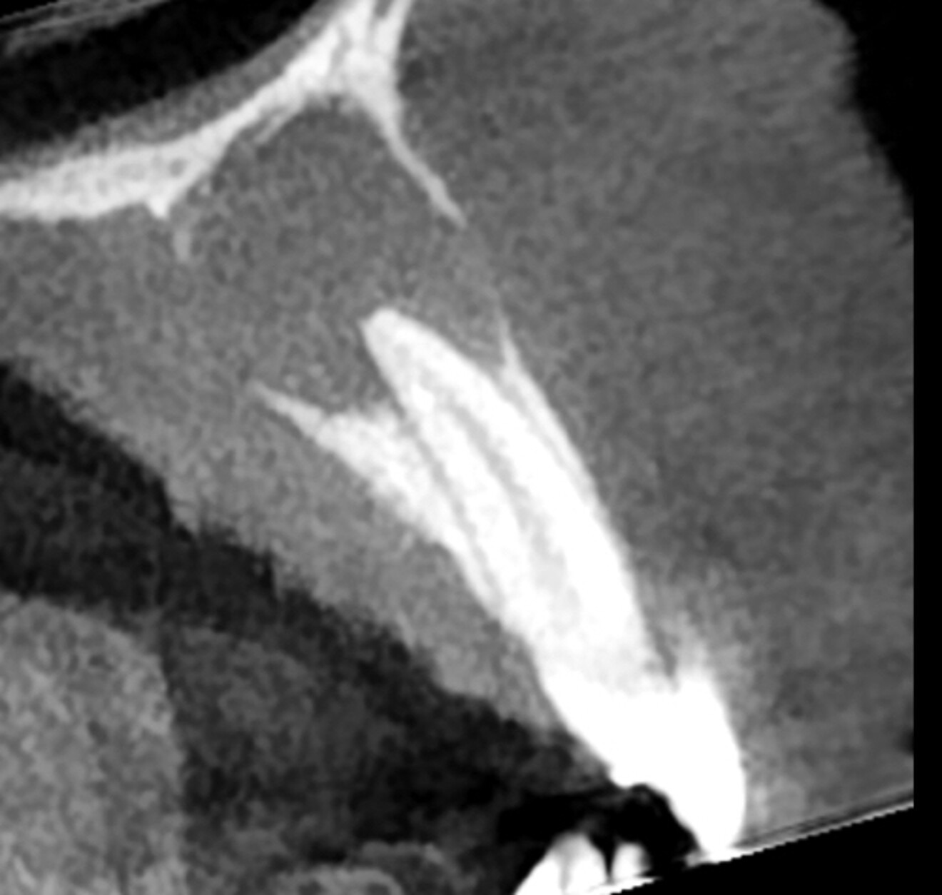
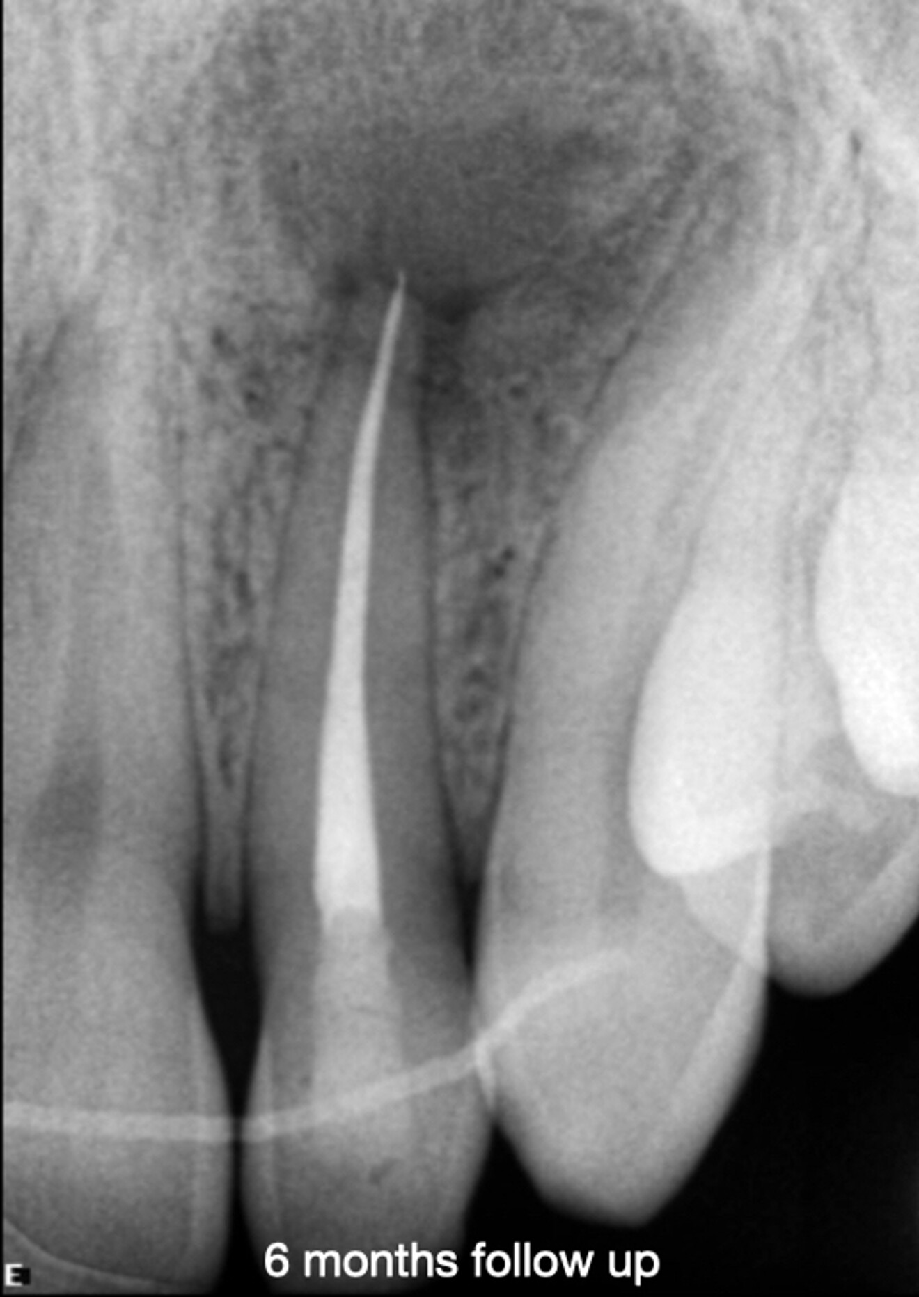
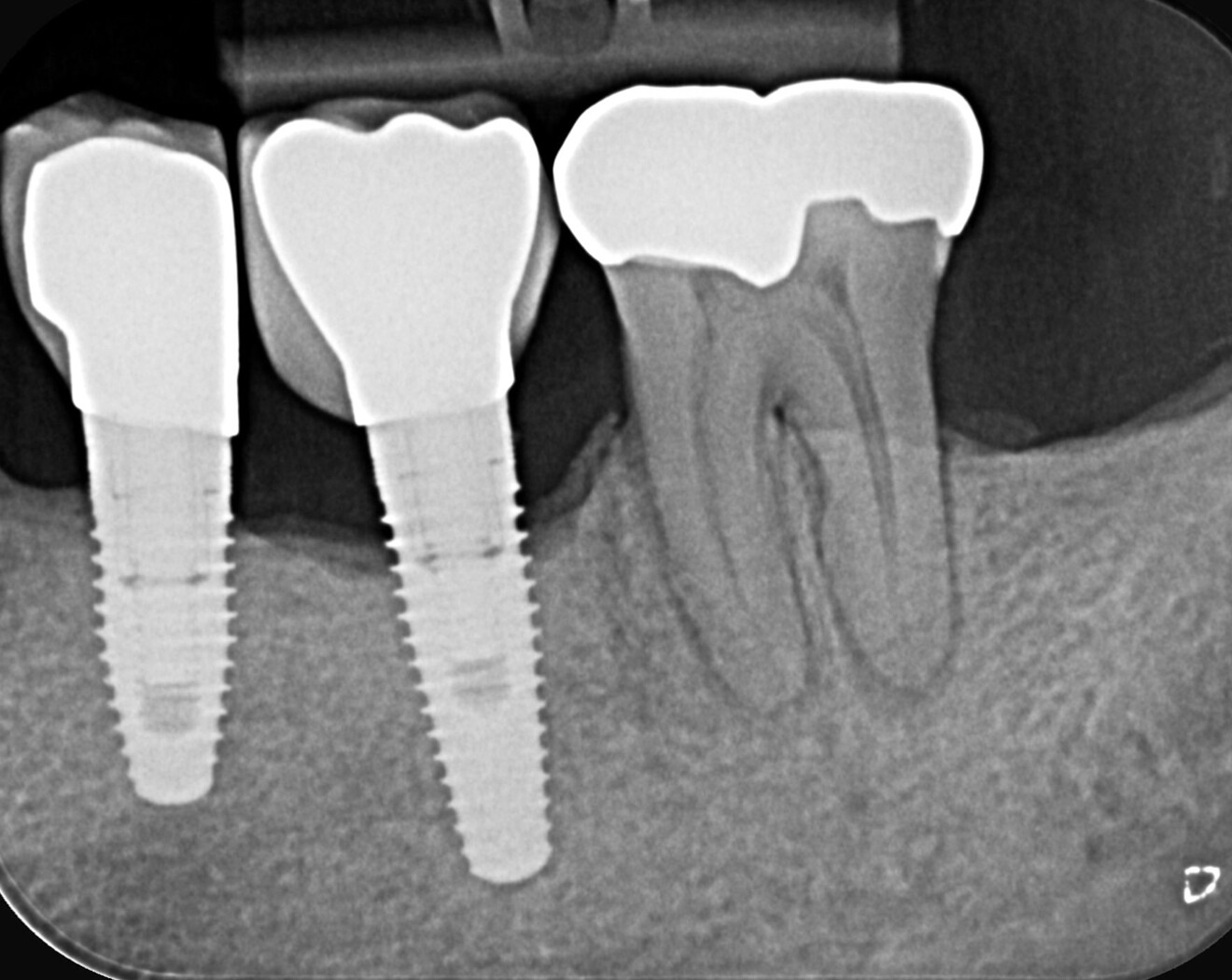
At the two-year follow-up appointment, the radiograph showed healing, but there appeared to be a superimposed image at the apex (Fig. 5). A high-definition CBCT scan taken with the DEXIS OP 3D showed that this was not a lesion but fibrous tissue consistent with physiological healing from the palatal area where the cortical plate had been largely damaged (Fig. 6). Since this was not pathological but a normal reparative process, there was no need to interfere.

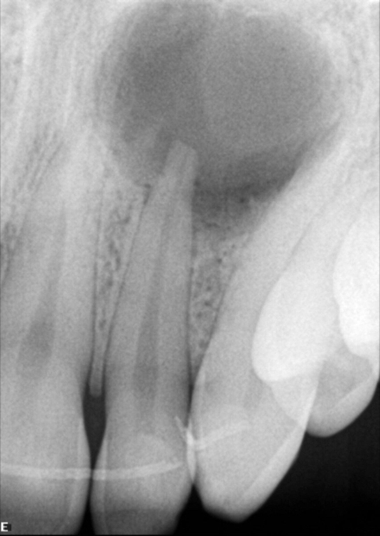
Fig. 5a: Initial radiograph.

Fig. 5a: Initial radiograph.

Fig. 5b: Radiograph at six months.

Fig. 5b: Radiograph at six months.

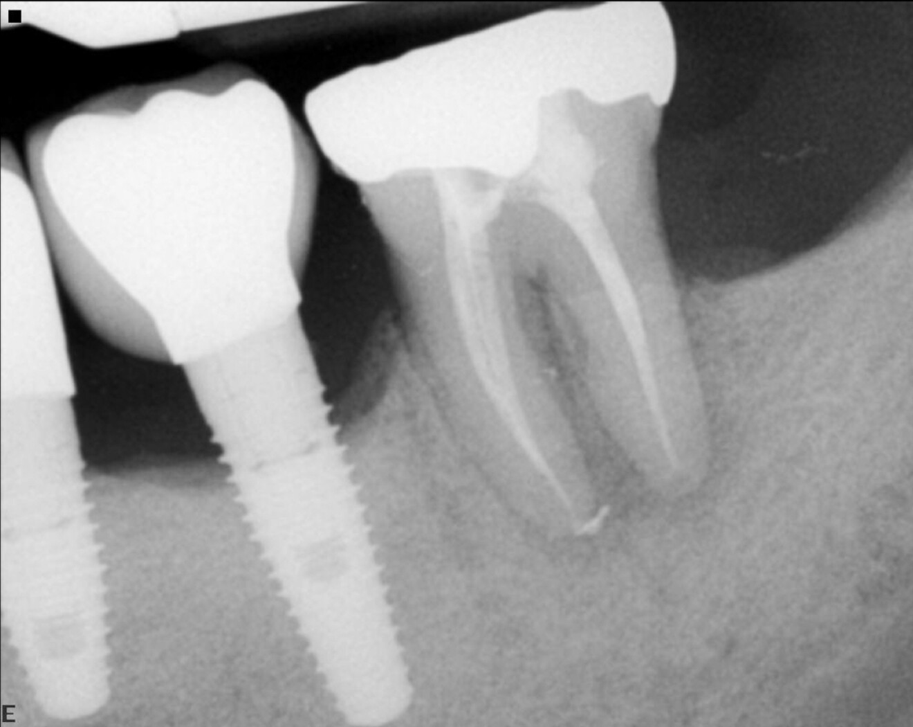
Fig. 5c: Radiograph at two years, showing an area of less bone condensation at the root.

Fig. 5c: Radiograph at two years, showing an area of less bone condensation at the root.

Fig. 6: High-definition CBCT scan with the DEXIS OP 3D showing fibrous tissue above the root.

Fig. 6: High-definition CBCT scan with the DEXIS OP 3D showing fibrous tissue above the root.

Case 2

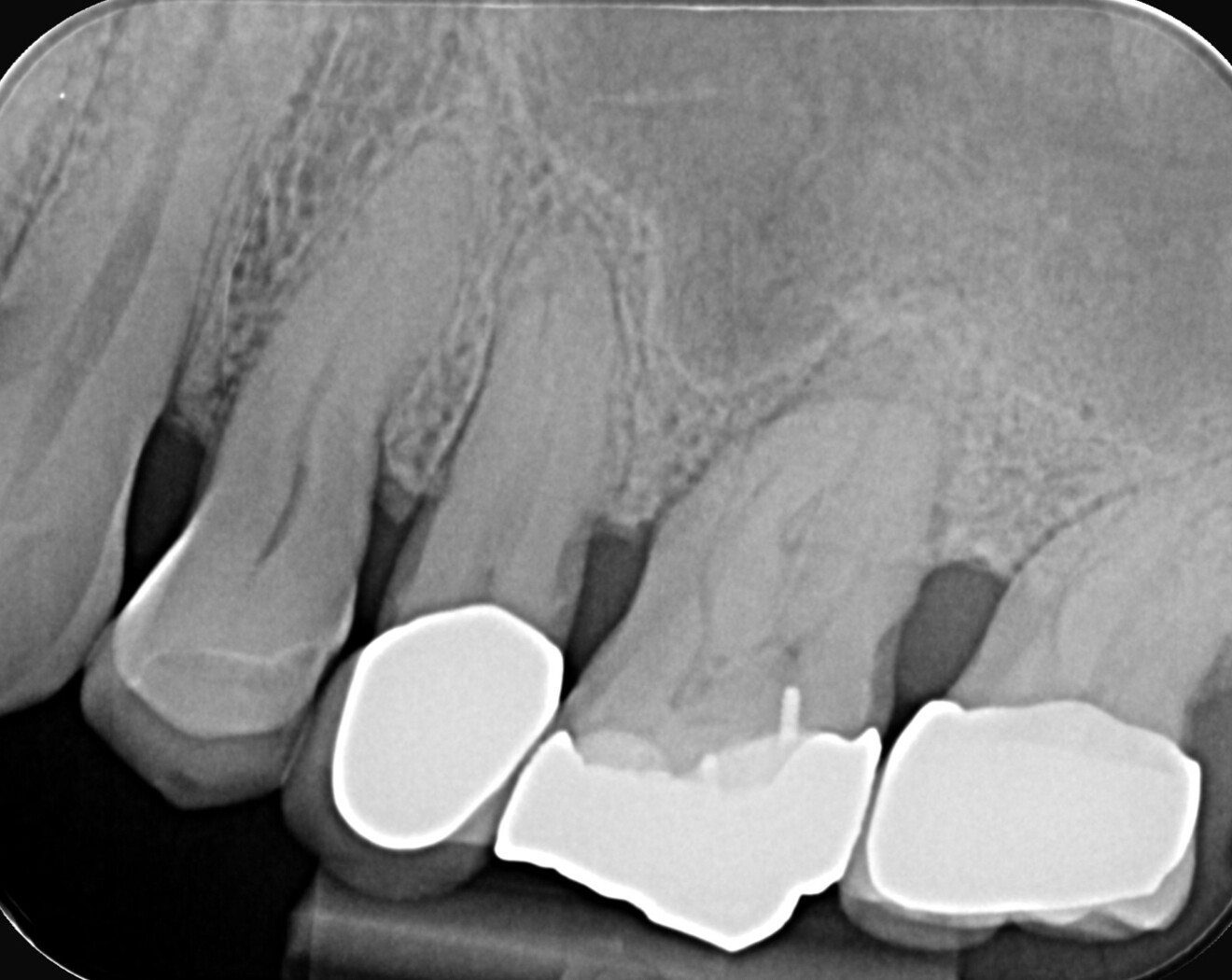
A patient with a periodontal issue was referred for the treatment of a maxillary and a mandibular molar. The maxillary molar was necrotic, and the preoperative radiograph showed a severely calcified pulp chamber and blocked root canal entrances (Fig. 7).

After creation of an access cavity, ultrasonic inserts were used at medium power with a non-diamond tip, to vibrate the calcification and remove it. Later, a diamond tip was used to adjust the access cavity and to give direct access to the canals. In this case, I chose to use Adaptive Motion in a single-file technique because the canals were curved and narrow. In such cases, it is better to start with a manual #8 and 10 K-file in order to feel the anatomy and check the working length. The first file was the 13/0.06 Traverse file (Kerr Dental), used in a pecking motion for 3 seconds, taking it out, cleaning it and rinsing the canal until the file reached the working length. Sometimes, this method takes a single pass or several, depending on the anatomy. This pre-shaping file was followed by the 20/0.06 ZenFlex file and later by the 25/0.06 ZenFlex file to working length. A full irrigation sequence was used, followed by 3D vertical obturation (Fig. 8).

The mandibular molar too was necrotic and presented with internal calcification. This is the result of the chronic activation of inflammatory pathways in the body, which can lead to the formation of micro blood vessels within the pulp that later calcify as a defensive response to slow, chronic aggression. This kind of calcification can cause irreversible pulpitis and later necrosis of the pulp. In this case, the calcification could clearly be seen all along the root canal system, reaching almost to the apical area (Fig. 9).

Fig. 7: Pre-op radiograph showing a maxillary first molar with a very calcified pulp chamber and narrow canals.

Fig. 7: Pre-op radiograph showing a maxillary first molar with a very calcified pulp chamber and narrow canals.

Fig. 8: Post-op radiograph of the root canal treatment done using Adaptive Motion with the narrow canal file sequence.

Fig. 8: Post-op radiograph of the root canal treatment done using Adaptive Motion with the narrow canal file sequence.

Fig. 9: Pre-op radiograph showing calcification along the entire length of the canals.

Fig. 9: Pre-op radiograph showing calcification along the entire length of the canals.

Fig. 11: Post-op radiograph after removing the calcification and achieving 3D vertical obturation.

Fig. 11: Post-op radiograph after removing the calcification and achieving 3D vertical obturation.

Fig. 10: Full rotation sequence using the Traverse and ZenFlex file systems.

Fig. 10: Full rotation sequence using the Traverse and ZenFlex file systems.

I chose to use the Traverse and ZenFlex file systems with full rotation motion for its high cutting efficiency to remove the calcifications, starting with the 25/0.08 Traverse file (Fig. 10). All files were used with a pecking motion. The postoperative radiograph showed good healing (Fig. 11).

Conclusion

In conclusion, it is great to have a system that allows us the choice of multiple approaches depending on the specific clinical case. Full rotation still offers the best cutting efficiency and shaping speed, but Adaptive Motion is an option that allows instrumentation without compromising the safety of the procedure and that retains the original shape of the canal.

Editorial note:

This article was published in roots–international magazine of endodontics vol. 21, issue 2/2025.

Topics:
Tags:
To post a reply please login or register
advertisement
advertisement