Horizontal mandibular development (green arrow) has a greater amount of sagittal change than mandibular development which contains a vertical component (blue arrow)
Minimizing the use of elastics in Class II treatments not only addresses a patient compliance concern, it also addresses a treatment efficiency concern. The vertical force component of Class II elastics tends to extrude teeth, which redirects mandibular growth in a vertical direction and makes the A-P correction less efficient. Avoiding clockwise rotation of the mandible (i.e., downward and backward) helps to keep mandibular growth along a horizontal trajectory in order to maximize the sagittal change.
Case Report
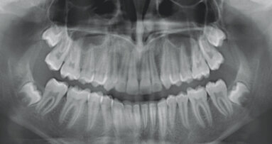
Patient information: • 14 years old
• Male
• Chief concern: overbite and crowding Orthodontic diagnosis:
• Right side: Class II molar and canine (moderate)
• Left side: Class II molar and canine (severe)
• Overbite: severe deep bite
• Upper arch: moderate crowding, with retroclined incisors
• Lower arch: moderate crowding
Invisalign treatment with mandibular advancement utilize integrated precision wings to advance the mandible without the use of interarch elastics. The precision wings in the lower aligners position the mandible forward by sliding against the precision wings in the upper aligners. At the same time, the active portions of the aligners straighten the teeth and coordinate the arches to remove interarch interferences and stabilize the sagittal changes. This approach maximizes the horizontal component of the mandibular advancement and minimizes unwanted vertical changes.
• Total treatment time: 22 months
• Pre-mandibular advancement aligners: not used in this case (see discussion)
• Retention: Invisalign retainers 16 hours a day for 6 months, then at night for life
Discussion Removing anterior interferences was important for maximizing the correction of the sagittal dimension, and expansion of the upper arch was critical for preventingposterior crossbites from forming as the mandible came forward. When the upper arch is constricted, the posterior teeth are unable to interdigitate fully due to premature posterior contacts as the mandible advances. Widening the upper arch form removes these interferences so that the lower posterior teeth can fully seat against the upper teeth.By doing this, mandibular plane divergence is avoided, and the horizontal component of the sagittal correction is maximized. The deep bite is also improved when the mandible is advanced downward and forward.
In the additional aligner phase, the goal was to continue leveling the curve of Spee by intruding the lower incisors. Anterior interferences after Class II correction can lead to a mild posterior open bite. By intruding the incisors to remove these interferences, interdigitation of the posterior teeth is restored.
To help stabilize the A-P correction during additional aligner, the patient wore Class II elastics (4 oz., 3/8” diameter) connected to precision cuts in the aligners near the upper canines and lower first molars. Elastics were worn for 10-12 hours a day (typically at night only), for 3 months.
The sagittal improvement and the amount of upper incisor torque achieved, were both good (ΔANB = -3.5˚ and ΔU1- SN = +10.0˚, respectively). The final upper incisor position was esthetically pleasing, but slightly under-torqued relative to orthodontic norms (U1-SN = 92.8˚), so additional incisor inclination might have allowed the mandible to advance a little bit more.
Avoiding excessively proclined lower incisors was an important factor in successfully correcting the Class II, especially since a mild tooth-size discrepancy was also present. If the lower incisor torque control had been poor, the amount of sagittal correction achieved could have been significantly reduced due to incisor interferences.
Excellent vertical control was maintained throughout treatment (ΔFMA = -10.5˚) even with the use of Class II elastics during additional aligners, in large part because extrusive forces on the posterior teeth were kept to a minimum. Not opening the mandibular plane angle allowed the horizontal component of the mandibular advancement to be maximized, in order to establish a solid Class I relationship at the end of treatment.
Summary
Overall thoughts and learnings about how to be successful with using the mandibular advancement feature: If a deep curve of Spee is present, a lateral/posterior open bite will often appear when the mandible advances. Removing anterior interferences early allows the mandible to come forward gradually, into a comfortable and stable position. To help identify anterior and transverse interferences with the potential to create a lateral open bite, the patient can be asked to posture their jaw forward into a Class I canine relationship during the initial consultation. This should reveal anterior interferences and areas of arch constriction that need to be addressed in the aligner setup.
If the patient has significant anterior interferences, a pre-mandibular advancement phase of aligners (included as part of Invisalign treatment with mandibular advancement) is highly recommended, so that lingual root torque/buccal crown torque can be introduced to the upper anterior teeth early. Pre-mandibular advancement aligners can also be used to widen the upper arch form, rotate the upper molars distally (typically up to 20 degrees), and level the curve of Spee.
Case selection recommendations when first starting to use this feature: Growing children—particularly those with mandibular retrognathia—are best treated with mandibular advancement. Ideal patients are those with hyper-divergent growth patterns. Start with mild to moderate Class II, division 1 patients.
What kind of cases to try after that: Severe Class II patients can be considered once the doctor becomes familiar with the clinical steps and processes associated with the precision wings feature.
What kind of conditions are favorable and unfavorable for treatment using this aligner feature: Creating adequate anterior clearance early is the key to successful sagittal correction. Retroclined upper incisors and flared lower incisors should be addressed as soon as possible. It is also very important to level the curve of Spee early, to give sufficient time for the mandible to advance. If anterior interferences are present, the mandible may not reach its maximum forward potential, and without a leveled curve of Spee, a lateral open bite may appear.
What was learned from treating this particular case: Using precision wings instead of Class II elastics removes the unpredictable variable of patient compliance with elastics wear for Class II correction. If elastics are needed, they are only used for a short period of time during the additional aligner phase, to help stabilize and fine tune the sagittal correction. The precision wings were convenient to use and comfortable for the patient, and they did not compromise the key esthetic benefit of Invisalign clear aligners. The patient’s oral hygiene and aligner wear compliance were both excellent throughout treatment.
Anterior interferences from tooth-size discrepancies are typically resolved by slenderizing the lower incisors or by building up the upper lateral incisors with cosmetic bonding or veneers. Anterior interferences due to tooth-size discrepancies can also be avoided by controlling the lingual root torque of the incisors and by carefully leveling the curve of Spee. In this patient, the mild tooth-size discrepancy was successfully managed by establishing proper lingual root torque of the incisors and by complete flattening of the curve of Spee.
Common challenges/problems experienced during teen treatment with this aligner feature: If adequate anterior clearance is not initially present, consider spending 3 to 6 months to remove any protrusive interferences first. A brief premandibular advancement phase of aligner treatment (an included option with Invisalign treatment with mandibular advancement product) is an effective solution for leveling the curve of Spee, torqueing the upper incisors, and rotating the upper first molars into an ideal arch form. If the lower incisors are flared to begin with (which they were not, in this patient), the pre-mandibular advancement aligners can also be used to upright and intrude them.
THREE KEY TAKE AWAY POINTS
1. The precision wings feature of Invisalign treatment with mandibular advancement product maximizes the horizontal component of mandibular advancement while minimizing the vertical dental component typically associated with the use of Class II elastics (which tend to extrude the anchor teeth). As a result, excellent vertical control during Class II correction can be expected.
2. Any retroclined upper incisors need to be set up with proper inclination (positive incisor torque) in order for the mandible to advance into a stable Class I relationship. This can be initiated early in a pre-mandibular advancement phase of aligner treatment if needed. Excessive lower incisor proclination should be avoided, since anterior interferences will limit how far the mandible can come forward.
3. Transverse problems should also be addressed early with a pre-mandibular advancement aligner phase. The crowns of the upper molars and premolars (and often times the canines) should be uprighted buccally to properly coordinate the arches while the lower arch is moving forward into a Class I relationship. If the clinical crowns are short, additional attachments can be added to the setup to improve aligner retention during arch development.
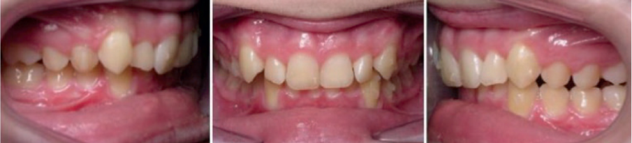
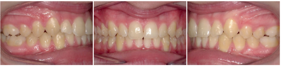
Intraoral view of Invisalign treatment with mandibular advancement
Treatment plan: How the precision wings (in blue) appear in the ClinCheck set-up.
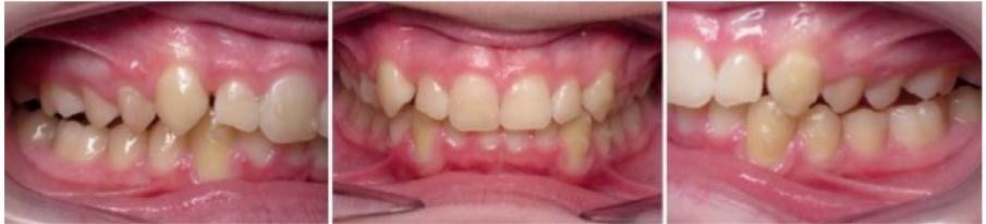
3 month progress records (weekly aligner changes)
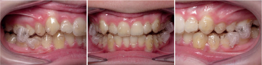
6 month progress records (weekly aligner changes) – Class I molar and canine relationship was achieved, but the transverse and posterior vertical dimensions still needed correction.
End of mandibular advancement phase (12 months, U: 23 + 26; L: 23 + 26; weekly aligner changes)
Final after an additional aligners phase of U:25 + L:25 aligners, changed weekly (10 months total)
Cephalometric superimpositions (black = initial / red = final)
Invisalign treatment with mandibular advancement is an efficient method for correcting Class II malocclusion in growing teens with patients reporting ...
Dubai, United Arab Emirates: Align Technology, Inc., a leading global medical device company that designs, manufactures, and sells the Invisalign system ...
A 43 year old female came to my practice with a history of non-attendance. She was concerned about generalised sensitivity with her heavily-restored ...
Align Technology, Inc. (NASDAQ: ALGN) today announced that its annual Invisalign Scientific Symposium will be an online digital experience, held on May ...
Over the past decade, there has been a notable surge in the use of clear aligners, and their benefits and advantages have been extensively documented. ...
Composite Artistry has become an important element of direct restorative treatment in dental practice today enabling clinicians to create life-like ...
Kuwait: Align Technology, a leading global medical device company that designs, manufactures, and sells the Invisalign system of clear aligners, iTero ...
Align Technology, Inc., a leading global medical device company that designs, manufactures, and sells the Invisalign system of clear aligners, iTero ...
Class II restorations are more important to your practice that you may think – almost 70% of annual dental patients receive direct restorations, nearly ...
Education
Live webinar Thu. 30 April 2026 3:00 am UAE (Dubai)
Root canal anatomy with all of its inherent complexity still represents a very serious challenge to modern root canal therapy. Even with many breakthroughs ...
RIYADH, Saudi Arabia: While many artificial intelligence (AI) systems for dental diagnosis demonstrate high accuracy, their real clinical value depends on ...
VIENNA, Austria: Many patients with disabilities are treated under general anaesthesia to manage anxiety or behavioural challenges. However, this approach ...