Dentists today are spoilt for choice with a variety of direct and indirect treatment options for aesthetic restorations in the anterior zone.
We are often challenged to create restorations that mimic natural teeth or enhance smiles to meet patient desires and expectations. I have recently adopted the Minimal Invasive Cosmetic Dentistry (MiCD) concept introduced by Dr. Sushil Koirala which is based on a holistic patient-centric treatment approach that integrates minimally invasive treatment techniques with aesthetic dentistry to enhance the smile while taking into consideration the psychology, health, function and aesthetics of the patient.
Diastema or space between the teeth is a common dental condition that can create cosmetic issues in adults and often corrected with orthodontic treatment or indirect veneers. The clinical case below highlights a different treatment approach where direct aesthetic restorations were selected after assessing the following 5 factors which we take into consideration when treatment planning in my practice. 1-Treatment longevity, 2-Cost estimation, 3-Vitality of the tooth, 4-Biological cost, 5-Expectation of the patient.
To achieve predictable aesthetic outcomes when opting for diastema closure and smile rejuvenation with direct restorations, it is very important to understand the optical characteristics and properties of the composite material being used. For this clinical case I have used a BEAUTIFIL II LS bioactive, low shrinkage composite resin with life-like aesthetics and high polishability to mimic nature with long-term predictability. (Fig 1a &1b)
Patient Case
A 28 years old female patient visited our clinic requesting for a beautiful smile with less tooth destruction at a reasonable cost as the gap between her front teeth had affected her confidence to smile for a long time (Fig. 2). Other dentists had suggested orthodontic treatment with indirect veneers which she had refused and was in search of an alternate option that would meet her needs.
Treatment Plan
The smile defects were determined upon careful clinical examination. The patient presented with reverse smile line and median diastema that needed cosmetic correction. A direct mock-up was planned as an initial step to help evaluate the patient perception and visual interpretation of the expected final outcome as there were limitations in the selected direct restorative approach to rejuvenate the patient’s smile. (Fig. 1)
Materials Used
After careful examination the following materials and Composite shades were selected
• Tooth preparation
Fine Diamond points (Red band on the shank) and Super-Snap Violet Disk
• Etching and Bonding – 37% Phosphoric acid and FL-Bond II
• Composite materials
- Palatal Shell - Beautifil II Enamel shade T
- First Dentin layer - Beautifil II LS opaque shade A2O
- Second Dentin layer - Beautifil II LS shade A2
- Enamel Layer - Beautifil II Enamel shade HVT (High Value Translucent)
• Finishing & Polishing - Fine Diamond Points, Super-Snap X-treme Kit
• Super Polishing for high gloss – DirectDia polishing paste with Buff disk
Fig 1a. Before smile rejuvenation with BioSmart restorative materials
Fig 1b. After smile rejuvenation with BioSmart restorative materials
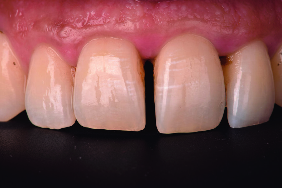
Fig 2. Pre-operative diastema between upper central incisors
Fig 3. after prepless direct mock up
Fig 4. Patient smile after direct mock-up
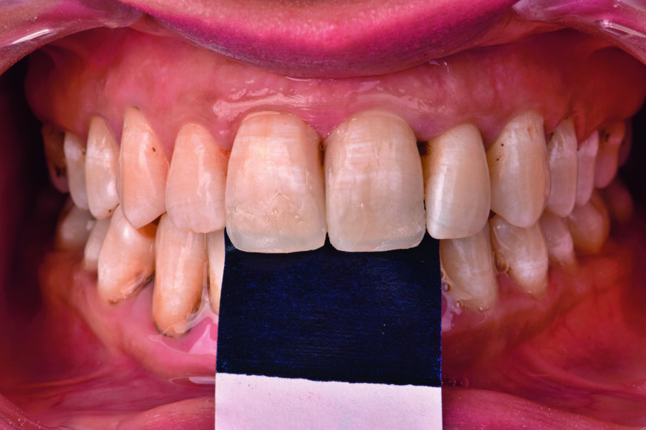
Fig 5. Occlusion and high points checked with articulating paper
Fig 6. Direct shade selection with Beautifil II LS enamel and dentin shades
Fig 7. Preparation of enamel surface with Super-Snap Violet disk
Fig 8. Selective etching of the enamel surface with Phosphoric Acid
Fig 9. Application of FL-Bond II bonding agent
Fig 10. Palatal shell created with Beautifil II Enamel shade T and incisal edge with Beautifil II LS opaque shade A2O
Fig 11. Diastema closure with Beautifil II LS shade A2 and Beautifil II Enamel shade HVT
Fig 12. Build-up of incisal area of central incisors with Beautifil II LS shade A2 and Beautifil II Enamel shade HVT
Fig 13. Restored central incisors before finishing and polishing
Fig 14. Gross finishing with Fine Diamond Point (Red Band on the shank) at very low speed with no water
Fig 15. Marking of mesial line angle and macro anatomy
Fig 16. Anatomical contouring of Mesial Line Angles with Fine Diamond Point
Fig 17. Anatomical contouring of labial grooves with Fine Diamond Point
Fig 18. Smoothening of the labial grooves with Dura Green Stone
Fig 19. Polishing of the restorative surface with Super-Snap X-Treme Green and Red Disks
Fig 20. Rejuvenated smile achieved with MICD restorative approach
Fig 21. Rejuvenated smile achieved with MICD restorative approach
Restorative Approach
Direct Mock-up and Shade Selection
Composite mock-up can be used as an aid in both diagnostic and aesthetic evaluation. In this instance, a prepless direct mock-up technique was selected with the aim of motivating the patient, evaluation of patient expectations by directly checking the smile design and to create the silicone index for fabrication of the palatal shell in the final restorations . (Fig 3). During the direct mock-up, composite material was added to the distal side of the left lateral incisor tooth to enhance the overall appearance while preserving tooth structure as per the MICD approach. (Fig. 4)
Clinical Tip: It is important to check occlusion and identify the high points using articulating paper to ensure that an accurate silicone index can be created for the palatal shell. (Fig. 5)
There are many different methods used for shade selection to achieve an accurate shade match with the natural tooth. In my practice, we prefer to use the direct technique for shade selection, where the enamel and dentin shades of composite materials are placed directly on the tooth surface and compared with the shade of the natural tooth. Shade selection procedure is completed with digital photography taking into consideration the 3 dimensions of color with “Hue, Value and Chroma” (Fig. 6). A composite recipe is identified for build-up of each restoration.
Tooth Preparation
Rubber dam was placed from premolar to premolar to help isolate the teeth to enhance visibility and eliminate contamination with sulcular fluid. The labial enamel surface of both central incisors were minimally prepared using Super-Snap Violet disk to seamlessly blend the restoration margins on both labial and palatal sides. (Fig 7). Before proceeding with the adhesive step, it was important to protect the adjacent lateral incisor teeth with Teflon tape.
Composite Build-up
After selective etching of the restorative enamel surface with Phosphoric acid (Fig.8), FL-Bond II, a 6th generation 2-step adhesive system was selected. First the Primer was applied, left for 10 seconds and air dried; followed by the application of bonding agent which was light cured for 10 seconds. (Fig. 9) . The palatal shell was created with the silicone index using Beautifil II Enamel shade T. Beautifil II LS opaque shade A2O was placed on the incisal edge to achieve a natural halo effect for enhanced aesthetics. (Fig. 10)
Clinical Tip: Palatal shells technique helps to prevent over build-up of composite on the palatal surface resulting in efficient finishing and polishing of the final restoration.
Diastema closure between central incisors was completed using the naturomimetic layering technique with incremental build-up and 10 second light-cure. The dentin layer was created using Beautifil II A2 followed by Beautifil II enamel high value translucent shade HVT. (Fig 11). For the incisal surface build-up, a thin layer of Beautifil II LS shade A2 was used followed by Beautifil II enamel shade HVT. (Fig 12). The restored central incisors after composite build-up demonstrated that life-like aesthetics had been achieved successfully. (Fig 13) .
Clinical Tip: Spend time to achieve the accurate shade match and tooth anatomy during the composite build-up phase to save chair time
Finishing and Polishing Protocol
Selection of the right tools for finishing and polishing of direct composite restorations to a high gloss, still remains a challenge for many clinicians. It is always helpful to identify a predictable finishing and polishing protocol for your composite material, that would help to achieve the desired final surface lustre while saving valuable chair time. For this case, after final light-cure and rubber dam removal, the gross finishing was done using a Fine Diamond point (Red band on the shank) at very low speed with no water to smoothen the restorative surface.(Fig. 14). The mesial line angles and macro anatomy was marked using a lead pencil. (Fig 15) The anatomical contouring of line angles and labial grooves were completed using a tapered fissure Fine Diamond Point (Red band on the shank) with intermittent water spray (Fig 16, 17). Dura Green stone was used to smoothen the labial grooves. (Fig 18) Polishing of the restoration was completed using Super-Snap X-Treme Green and then Red Disks. The restoration was super-polished to high gloss natural enamel-like lustre with DirectDia diamond polishing paste and a buff disk. (Fig 19)
Conclusion
The above clinical case illustrates that optimal life-like restorations can be achieved using BioSmart composite material with predictable aesthetics and function. By adopting the Minimally Invasive Cosmetic Dentistry (MiCD) concept and treatment protocols, we have been able to provide patients with direct restorative treatment options that exceeds their expectations while preserving natural tooth structure. The inclusion of Beautifil II LS and Beautifil II Enamel range of composites with a predictable finishing and polishing protocol has helped to minimize armamentarium and meet patient’s aesthetic demands more efficiently in my daily clinical practice. (Fig 20,21).
We are often faced with aesthetically challenging cases in our everyday practice. Selection of the right composite material combined with a comprehensive ...
"I can`t afford e.max veneers, do you have something more affordable?" is a question often encountered in clinical practice today!
Direct restorations to date remain the most common type of treatment provided by dentists in routine clinical practice. With the advances in information ...
BEAUTIFIL II ENAMEL and GINGIVA from Shofu are developed as a complementary line extension of BEAUTIFIL II series to easily create life-like direct ...
A 61-year-old Thai female presented with loosening 9-unit fixed dental prostheses (FDPs). Her chief complaint concerned her loose and unpleasing front teeth...
Przemyslaw Grodecki DDS, PhD
Przemyslaw Grodecki DDS, PhD
Przemyslaw Grodecki DDS, PhD
To post a reply please login or register