We are often faced with aesthetically challenging cases in our everyday practice. Selection of the right composite material combined with a comprehensive finishing and polishing protocol is often the key to success to achieving predictable aesthetic restorations.
How often would you attend a hands-on workshop and get to practice what you learnt the very next day in your dental clinic. I recently attended a workshop by Dr. Ronnie Yap on Predictable Class IV Restorations with the ‘Naturomimetic “ONE” Layers Protocol’ based on the MiCD concept introduced by Dr. Sushil Koirala during a major dental conference in Malaysia. The next day a dentist friend of mine visited the clinic with a fractured anterior tooth where I replicated the layering technique learnt at the workshop.
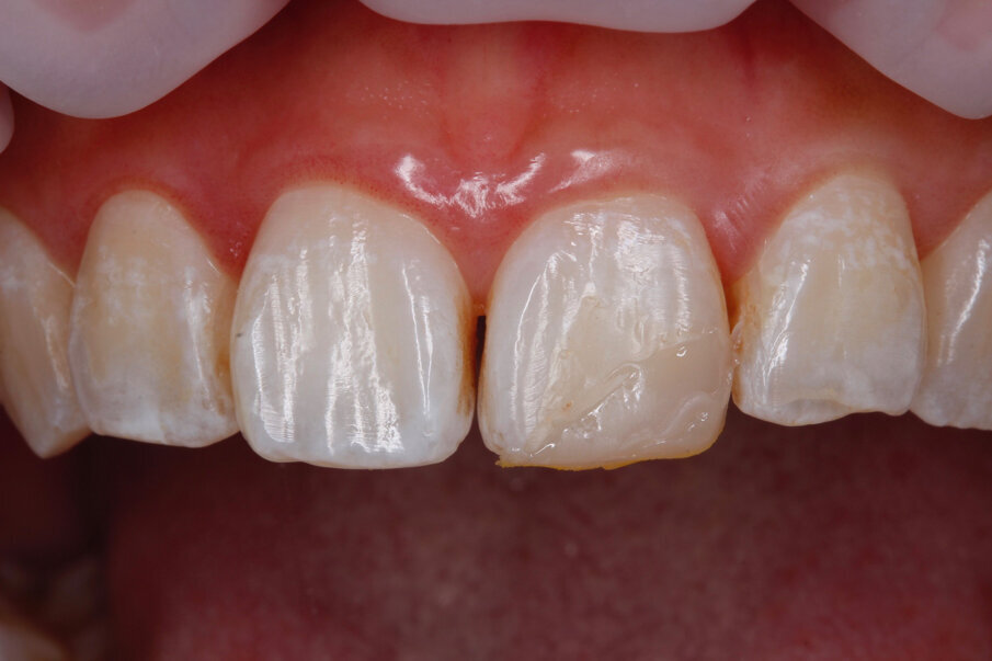
The patient case shared below is a common clinical situation routinely seen in dental practice where the Shofu range of biosmart composites with its patented S-PRG filler technology was used to showcase composite artistry. (Fig. 1).
Patient Case
A 33 year old female patient visited my clinic with a fractured restoration on the upper left central incisor tooth after accidentally biting too hard on a metal fork. The patient requested for emergency dental treatment as she was in the organizing committee of the dental conference and had to work the next day .
Intra oral examination revealed, complete fracture of the old composite restoration and the tooth responded positive to vitality test. Patient was advised that the most suitable treatment plan would be to restore the tooth with BioSmart tooth coloured composite using the layering technique to achieve the desired aesthetics (Fig. 2)
Materials used
After careful examination and shade selection the following materials were identified to complete the restoration
• Composite materials
– Palatal Shell - Beautifil II Enamel shade T
– First Dentin layer - Beautifil II LS opaque shade A3O
– Second Dentin layer - Beautifil II LS shade A3
– Enamel Layer - Beautifil Injectable shade BW & Beautifil II LS shade A3
• Adhesive – FL-Bond II
• Finishing & Polishing - One Gloss, Super-Snap Xtreme Technique kit
Restorative Approach
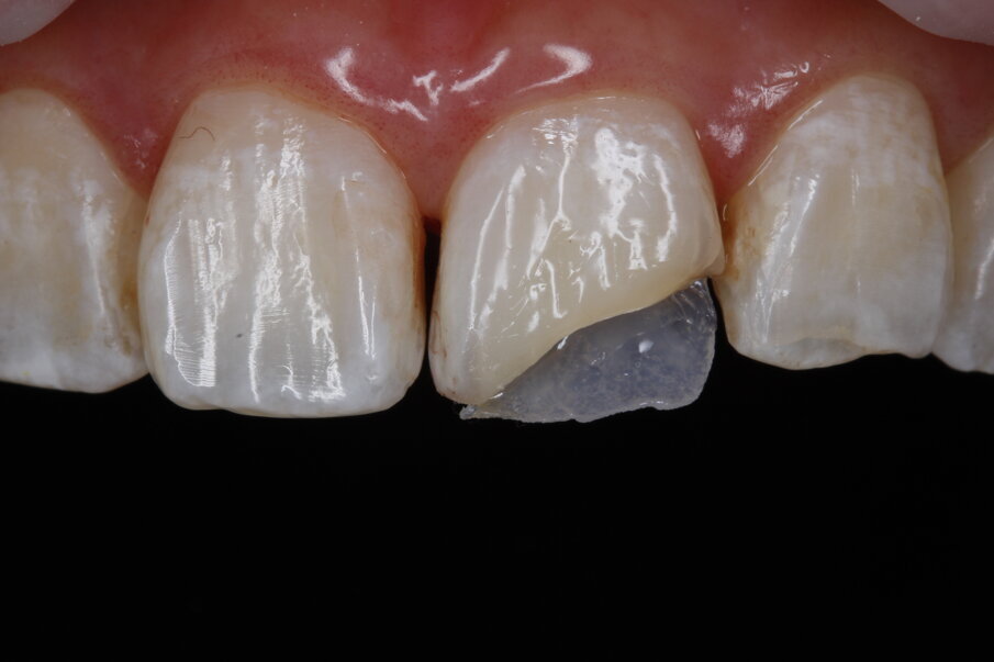
To achieve better tooth form of the final restoration it is important to take the time to create the palatal shell. The first step was to build-up the fractured tooth with composite using a finger followed by preparation of the putty index using impression material (Figs. 3, 4)
Labial enamel margins were prepared with a long & star burst bevels using Diamond points. FL-Bond II, a 6th generation 2-step adhesive was applied in combination with the selective enamel etching technique. (Figs. 5, 6). Then the palatal shell was created using the putty index with Beautifil II Enamel shade T (Fig. 8).
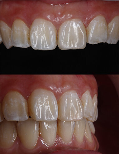
Fig 1: Before and after restoration with Beautifil II BioSmart composite
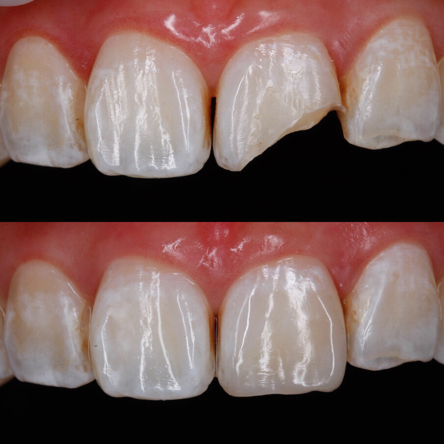
Fig 2: Pre-operative fractured upper left central
Fig 3: Build-up of composite to prepare the putty index
Fig 4: Putty index created with impression material
Fig 5: Preparation of labial margins and selective enamel etching
Fig 6: Application of FL-Bond II bonding system
Fig 7: Palatal shell with Beautifil II Enamel T
Fig 8: Application of glycerine and final cure
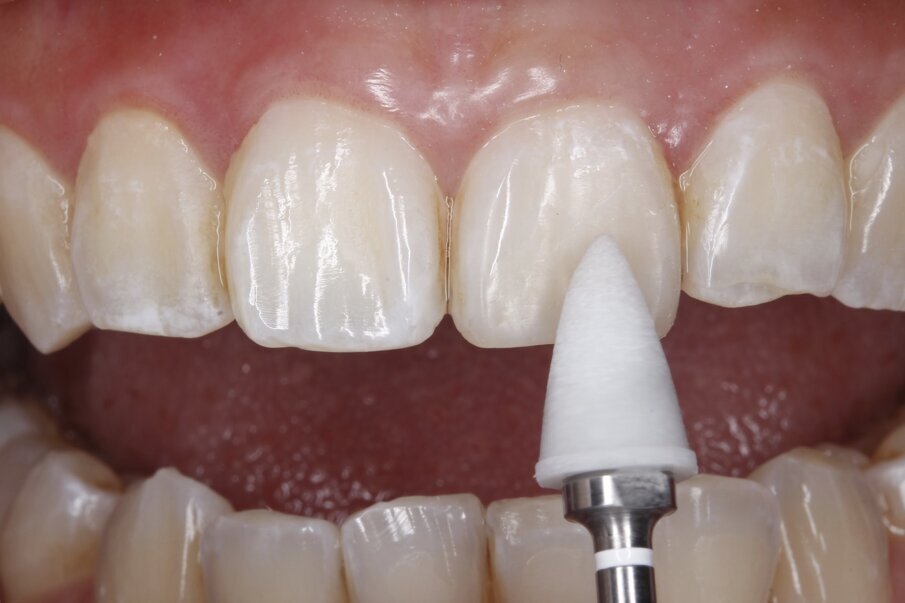
Fig 9: Line angles created with Super-Snap violet disks
Fig 10: Surface texture achieved with OneGloss silicone polisher
Fig 11: Polishing with Super-Snap Xtreme green disk
Fig 12: final polish achieved with Super-Snap Xtreme red disk
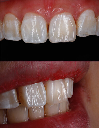
Fig 13a & 13b: Immediate post-op
Fig 14a & 14b: 2 month post-op recall visit
Composite Build-up
Build-up of the dentin layer was done using Beautifil II Opaque shade A3O followed by Beautifil II LS shade A3. As the tooth was opaque with fluorosis, Beautifil Injectable BW was used to mimic some of the white fluorosis patterns in combination with Beautifil II LS shade A3 as the enamel layer. Before the final cure, glycerine was applied on the restored tooth surface to minimize the formation of the oxygen inhibition layer (Fig. 7).
Finishing and Polishing Protocol
After final light-cure with glycerine, the following finishing and polishing protocol was used to achieve the final high gloss restoration surface. Finishing and anatomical contouring was done using Super Fine Diamond points and line angles created with Super-Snap violet disk. (Fig. 9) Surface texture to mimic the adjacent tooth was achieved with OneGloss polisher.
When using the OneGloss polishers it is recommended to use more pressure with intermittent water for surface texturing and light pressure to smoothen the surface before the final polishing step. (Fig. 10) Final polishing was done with Super-Snap Xtreme green disk followed by the red disk to achieve the desired lustre of the restored surface (Figs. 11, 12).
Patient being a dentist herself, was very satisfied with the aesthetics achieved using the Minimally Invasive Cosmetic Dentistry concept. The shade match and aesthetics of the restored surface were well maintained at the 2 month review visit (Figs: 13a &13b , 14a & 14b).
Conclusion
The above clinical case illustrates the life-like aesthetics that can be achieved using the naturomimetic “ONE Layers protocol” adopting the Minimally Invasive Cosmetic Dentistry (MiCD) concept with BioSmart composite material. Beautifil II range of composites have a simple shade system with a range of translucent shades that helps to achieve predictable aesthetics in addition to fluoride release and prevention of plaque accumulation. These added benefits of the BioSmart composites helps to prevent caries in addition to creating life- like restorations making it an ideal choice for every dentist.
Dentists today are spoilt for choice with a variety of direct and indirect treatment options for aesthetic restorations in the anterior zone.
Direct restorations to date remain the most common type of treatment provided by dentists in routine clinical practice. With the advances in information ...
BEAUTIFIL II ENAMEL and GINGIVA from Shofu are developed as a complementary line extension of BEAUTIFIL II series to easily create life-like direct ...
"I can`t afford e.max veneers, do you have something more affordable?" is a question often encountered in clinical practice today!
A 61-year-old Thai female presented with loosening 9-unit fixed dental prostheses (FDPs). Her chief complaint concerned her loose and unpleasing front teeth...
Beautifil II LS breaks new ground in direct resin technology with its extremely low polymerization shrinkage and related stress while exhibiting superior ...
Beautifil II LS breaks new ground in direct resin technology with its extremely low polymerization shrinkage and related stress while exhibiting superior ...
Beautifil II LS breaks new ground in direct resin technology with its extremely low polymerization shrinkage and related stress while exhibiting superior ...
Shofu’s Gen 4 smart digital dental camera is developed to shoot fast, predictable and consistent clinical photographs for everyday dentistry.
Composite Artistry has become an important element of direct restorative treatment in dental practice today enabling clinicians to create life-like ...
Przemyslaw Grodecki DDS, PhD
Przemyslaw Grodecki DDS, PhD
Przemyslaw Grodecki DDS, PhD
To post a reply please login or register