"I can`t afford e.max veneers, do you have something more affordable?" is a question often encountered in clinical practice today!
Being a restorative dentist with more than 15 years of experience in private practice, I have been asked this question innumerable times. With the recent advances in direct resin technology, I am able to confidently say “YES” and provide an alternative of composite resin-bonded veneers with an emphasis on preserving tooth structure. The next question the patient asks with much anticipation is “what is the difference?. Since I started using a nano-hybrid, bioactive composite resin with a porcelain like shade, the one-word answer to this question is "COST!!".
Compared to a decade or two ago, today we encounter more internet-informed patients who visit the clinic with a preconceived notion, which, you are expected to fulfill. Therefore, the dynamics of treatment planning has changed towards providing a suitable solution while managing patient expectation.
The advancement in composite resin technology with natural shade replication has created an avenue for clinicians to offer highly standardized, predictable restorations in terms of aesthetics, strength, polishability and durability. Shofu composites are unique as they are bioactive and provide an additional acid neutralization and anti-plaque effect to minimize caries risk while enhancing longevity of the restorations.
Being a firm believer in prevention and minimally invasive treatment, we follow a stringent prevention protocol that I call "3X Protocol". Part of this protocol emphasizes "X for Prevention from eXtension" which has been modified from GV black principle "Extension for Prevention". Another " X” for eXpenditure", evaluates the cost benefit and to provide cost-based treatment options to the patient. The final “X” would be managing patient eXpectation as this is a crucial element of cosmetic dentistry. The “3X Protocol” has enabled us to provide a more conservative patient-centred treatment with the desired aesthetic outcome while preserving natural tooth structure.
The patient case presented below is an anterior diastema with old discoloured composite restorations. In clinical situations with multiple diastema, It is important to first evaluate treatment options from a restorative point of view before considering orthodontic treatment. In order to achieve long-term stability and predictable outcomes over time, the restorative plan should consider different aspects such as:
1. Arch /space discrepancy in relation to occlusion.
2. Restorative material of choice
3. Biological cost and patient’s financial limitations.
Patient case
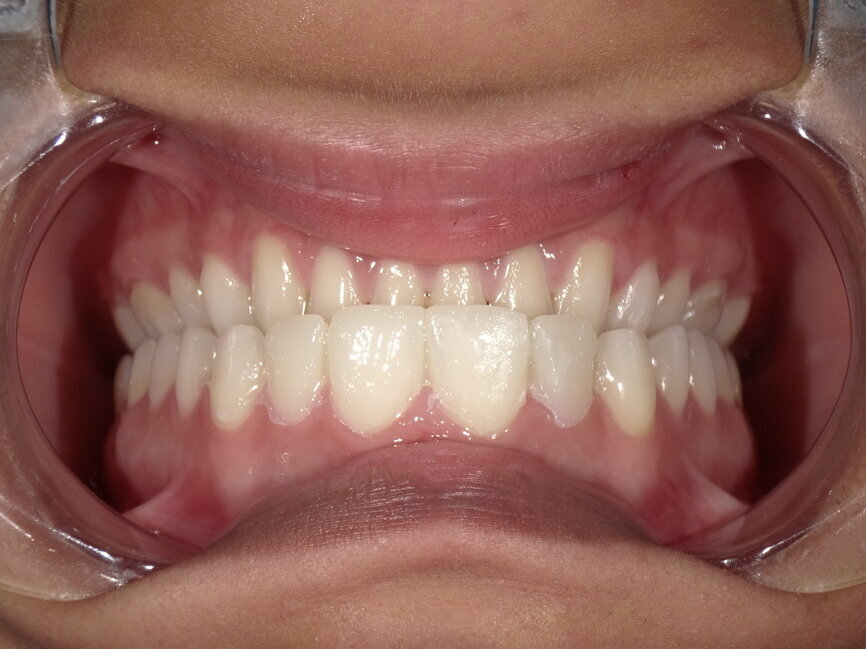
A young female patient visited the clinic requesting for an enhanced smile as she was unhappy with the appearance of her front teeth after completing orthodontic treatment. Upon careful examination it was observed that composite resin restorations were used for diastema closure before orthodontic treatment (Fig 1, 2). The filled teeth had chipped at the incisal edge and had a grey discolouration. After careful evaluation the following treatment options were suggested to the patient:
1. e.max veneers with minimum tooth preparation,
2. Direct resin-bonded veneers with no tooth preparation.
After the treatment planning discussion, the patient requested to proceed with direct resin-bonded composite veneers to enhance her smile. After the old composite fillings were removed (Fig 3, 4), smile design, was done to restore the golden proportion by modifying the shape and size of the teeth. Based on the smile design a mock-up was created to help obtain patient approval on the expected outcome and fabricate the silicone index.
Fig 1: Pre-operative macro view of patient smile
Fig 2: Pre-operative retracted view
Fig 3: Smile after removal of old restorations
Fig 4: Retracted view after removal of old restorations
Fig 5: Digital Smile Design
Fig 7 : Direct mock-up to assess occlusion and obtain patient approval
Fig 8 : Silicone Index fabricated with putty impression material
Fig 9 : index with incisal wrap to help duplicating the thickness of the incisal edge
Fig 10: Direct placement technique for shade selection
Fig 11 : Final recipe of shades for the restoration
Fig 12 : Shade confirmation using the Isolate Shade Mode of EyeSpecial CII camera
Fig 13: Shofu EyeSpecial camera
Fig 14: Natural aesthetics achieved with direct veneers
Fig 15: Patient smile post treatment
Materials used:
- Prepare: Shade Selection & case documentation - EyeSpecial C II (Shofu)
- Restore: Beautifil II LS shade A2O, A1, Beautifil Flow Plus F03 shade INC and Beautifil II Enamel HVT Composite (Shofu)
- Finish: Yellow banded Fine diamond bur, Super-Snap Black disk, for contouring and Super Snap Purple disk for finishing (Shofu)
- Polish: OneGloss polisher, Super-Snap X-Treme Green and Pink disks
- Super polish: Super Buff impregnated buff disk for enamel like lustre (Shofu)
Restorative approach:
Smile design
Digital Smile Design DSD, was used to reestablish proper proportion of the teeth and redesign the smile according to lower lip line, (Fig 5).
Tip: Smile design is a great aid to establish correct golden proportion and help convince the patient on the treatment plan
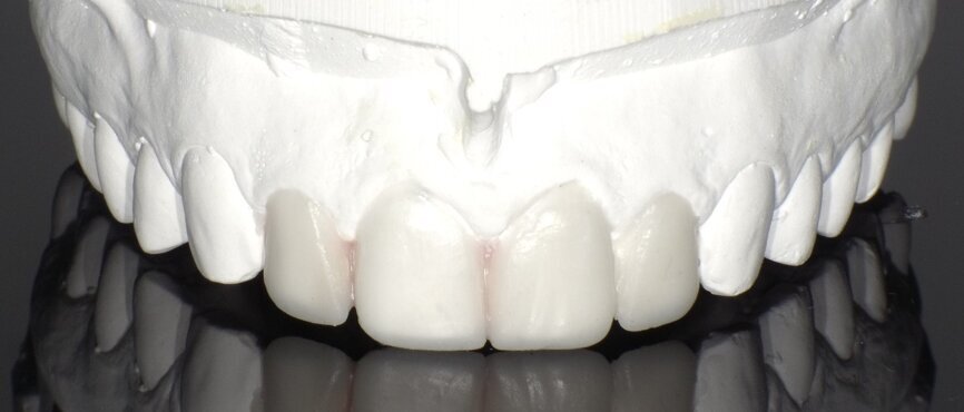
Wax-up
Indirect wax up was performed according to the smile design, (Fig 6).
Tip: Since it is a prepless case the lab should be informed not to prepare the cast during wax-up.
Direct mock-up
Silicon mold was used to create a direct mock-up trial to ensure proportion compatibility, occlusion and obtain patient approval.
Tip: checking the occlusion at this stage helps identify the points of interference that might affect the final restoration design and minimize adjustments.
Silicon index
Silicone index with putty impression material was used to create the palatal shell of the restoration for each tooth separately (Fig 8).
Tip: make the index with incisal wrap to help duplicating the thickness of the incisal edge (Fig 9).
Shade selection
Accurate shade selection was carried out using the direst technique where small buttons of each composite material was placed directly on the tooth surface. Beautifil II LS shade A2O was identified for Hue specification, Beautifil II Enamel HVT was identified to restore the value since the case involved bleaching ten days prior to the restorative procedure. Beautifil II LS shade A1 and B1 were compared under Shade Isolate Mode using EyeSpecial C II to determine the ideal Chroma and shade A1 was identified as the most suitable shade (Fig 10, 11). Beautifil Flow PLUS F03 INC. shade was selected to create the palatal shell.
Tip: Shade Isolate Mode removes the influence of the background gingival colour and helps obtain a more accurate shade selection (Fig 12, 13).
Composite layering
Teeth were polished using non-fluoridated paste, etched and bonded. Restoration of each tooth was completed separately in a progressive manner according to a customized colour scheme, (Fig 14)
- Palatal shell was created using the silicone index with a very thin layer of Beautifil Flow Plus F03 shade INC composite
- Proximal walls were created using Beautifil II LS shade A1 with a layer of Beautifil II Enamel shade HVT on top
- Beautifil II LS shade A2O was used incisally as a very thin line to help recreate the Halo effect and placed cervically as the first dentin layer, Beautifil II LS shade A1 was used to build-up the body dentine layer leaving to restore dentine colour leaving 0.5mm for the final enamel layer with Beautifil II Enamel shade HVT (Fig 14).
Tip:
- A flowable composite Beautifil Flow Plus F03 should be used to create a thin palatal shell and ensure adaptation to tooth structure.
- A kidney shape matrix band was adapted to create the proximal walls and the contact with the adjacent teeth. Lateral incisors were restored before the central incisors to help reduce finishing time and material wastage.
- Use a brush such as Uni Brush (Shofu) to adapt the composite and refrain from using a resin liquid as it affects the composite colour
- Final layer of enamel should be 0.5mm all around to ensure uniform finish with proper shade characteristics
Contouring and finishing protocol
- Yellow banded Super Fine Diamond burs in high speed and Super-Snap Black disks in low speed were used to contour and create a uniform surface.
- Super-Snap Purple disks were used to create the mesial and distal reflective line angles.One Gloss polisher was used in the cervical area and to achieve the natural surface texture.
- Super-Snap X-Treme Green and Pink disks were used to polish the restoration.
- Super Buff impregnated super polisher was used for final polishing to achieve enamel-like luster.
Results and conclusion
The planned cosmetic restorative treatment with non-prep composite resin veneers was successfully completed and the patient was extremely happy with her enhanced “natural” smile (Fig 14, 15). The emphasis on shade selection and adoption of the 3X protocol which takes into consideration “prevention from eXtension” by avoiding over-preparation, “prevention from undue eXpenditure” by eliminating cost while maintaining quality and “managing patient eXpectations”. As a clinician, our final aim with cosmetic treatment is to recreate a natural smile that meets or exceeds the patient’s expectations while ensuring longevity of the restorations. This concept can be easily achieved today with the help of innovative, bioactive composites capable of recreating natural life-like aesthetics with a predictable outcome.
Dentists today are spoilt for choice with a variety of direct and indirect treatment options for aesthetic restorations in the anterior zone.
Direct restorations to date remain the most common type of treatment provided by dentists in routine clinical practice. With the advances in information ...
Bioactive direct composite resin materials like the next generation high strength injectables and low shrinkage packable composites, when used with advanced...
BEAUTIFIL II ENAMEL and GINGIVA from Shofu are developed as a complementary line extension of BEAUTIFIL II series to easily create life-like direct ...
A 61-year-old Thai female presented with loosening 9-unit fixed dental prostheses (FDPs). Her chief complaint concerned her loose and unpleasing front teeth...
We are often faced with aesthetically challenging cases in our everyday practice. Selection of the right composite material combined with a comprehensive ...
The need for easier, simpler and faster workflow is more critical in dentistry, now more than ever before. Conventional composite restorations are ...
Przemyslaw Grodecki DDS, PhD
Przemyslaw Grodecki DDS, PhD
Przemyslaw Grodecki DDS, PhD
To post a reply please login or register