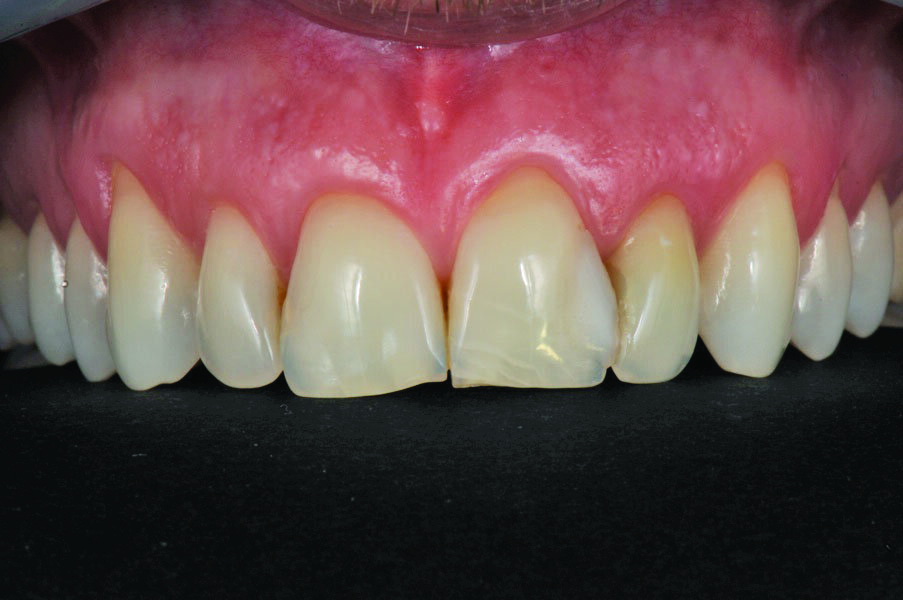
Fig. 1: Younger male patient with failing composite fillings on central well as right lateral incisors. Also in need of a crown on left lateral incisor. Agreement to make three veneers in addition to the crown to improve his aesthetics and cover the defects.
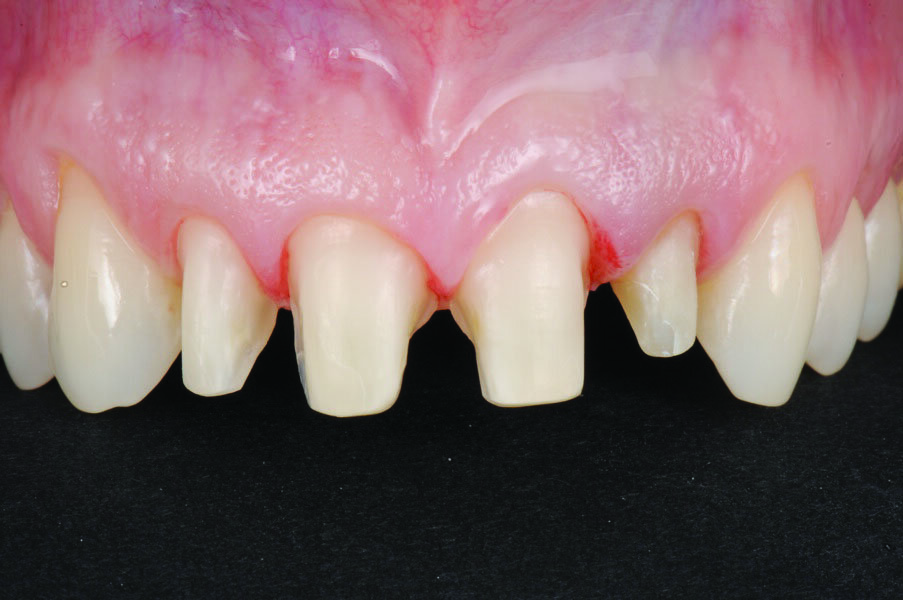
Fig. 2: Situation after tooth preparation.
Fig. 3: The placement of two retraction cords per tooth to open up sulcus well for impression taking.
Fig. 4: Application of 3M™ Impregum™ L DuoSoft™ Polyether Light Body Impression material keeping tip well immersed.
Fig. 5: Making the temporary restoration with 3M™ Protemp™ 4 Temporization Material and a silicone matrix.
Fig. 6: Finished temporary restoration.
Fig. 7: Temporary in the mouth.
Fig. 8: Fabrication of the final restorations in the laboratory: three Lithium disilicate veneers and a zirconia crown.
Fig. 9: Try in of the restorations with 3M™ RelyX™ Try-In Paste to determine the optimal cement shade.
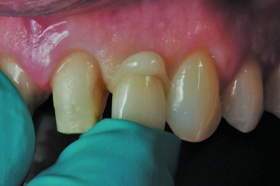
Fig. 10: Aspect after try in.
Fig. 11: Pretreatment of the bonding surface of the zirconia crown with aluminum oxide (maximum 2 bar and a grain-size of 30 or 50 μm).
Fig. 12: After etching with hydrofluoric acid the veneers are silanised with 3M™ Single Bond Universal Adhesive, rubbing it in for 20 seconds and then air thinning it gently until no more ripples are observed.
Fig. 13: Prior to cementing the crown the tooth preparation is mechanically cleaned with pumice paste, rinsed and gently dried to leave the surface slightly moist and shiny.
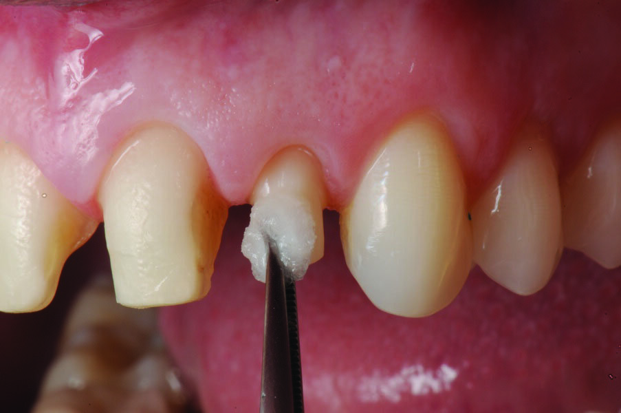
Fig. 14: 3M™ RelyX™ Unicem Aplicap™ Self-Adhesive Resin Cement is directly applied into the previously sandblasted zirconia crown.
Fig. 15: The crown is firmly seated under finger pressure and the excess removed with a scaler after a 1-2 second tack cure. Final cure for 20 seconds per surface. Finish and polish as needed.
Fig. 16: The veneer preparations are etched with phosphoric acid.
Fig. 17: Apply 3M™ Single Bond Universal Adhesive and rub it in for 20 seconds.
Fig. 18: 3M™ RelyX™ Veneer cement is applied into each of the pretreated veneers.
Fig. 19: Each veneer is carefully placed under slight pressure to extrude the excess. A 20 second spot light cure away from the margin is recommended to ensure a stabilized restoration in place prior to cleaning up the excess. Final cure for 30 seconds from all surfaces.
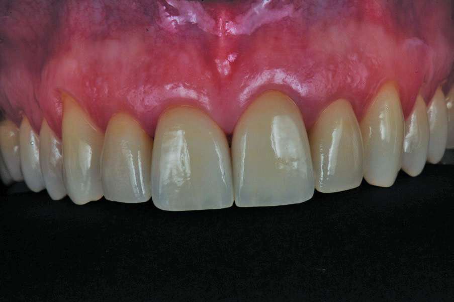
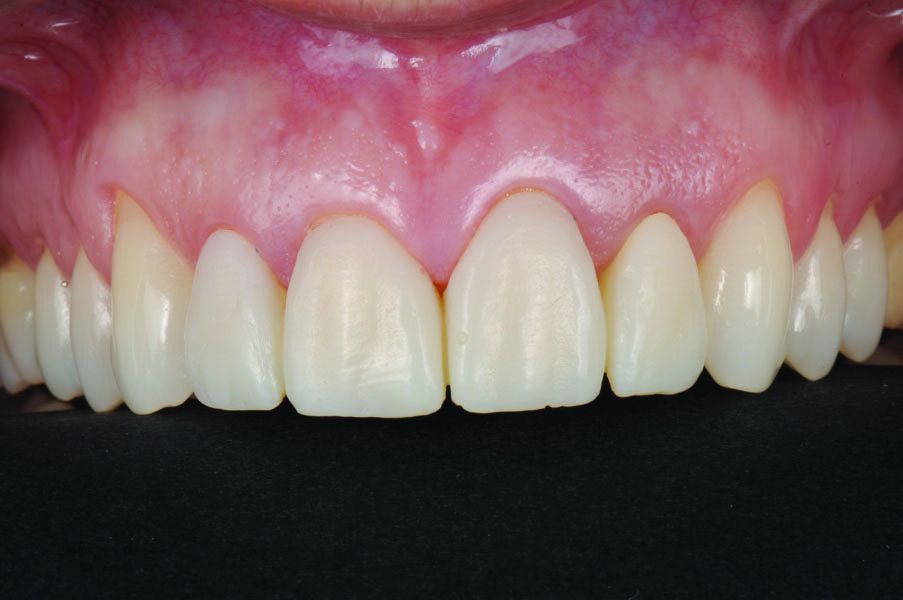
Fig. 20: Final restorations in place.
Fig. 21: Lateral view of a happy patient.
To post a reply please login or register