A 61-year-old Thai female presented with loosening 9-unit fixed dental prostheses (FDPs). Her chief complaint concerned her loose and unpleasing front teeth with unsatisfactory removable gingiva.
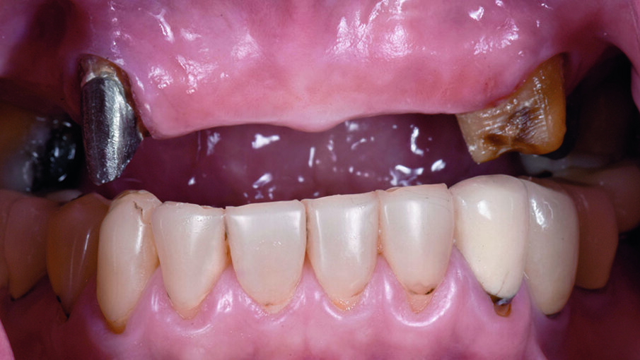
The initial clinical examination revealed a long-span Porcelain-Fused-to-Metal (PFM) FDPs of teeth 14-25 fixed with temporary cement since 2009 at private hospital (Fig 1,2). The patient had maxillary hard and soft tissue defects associated with alveolar ridge resorption and loss of lip support. Removable Acrylic Gingival Veneer (AGV, Fig 3.) was used to cover those FDPs in order to improve extra-oral soft tissue profile (Fig 4.). Without AGV, the patient has concave profile (Fig 5.). FDPs were removed to evaluate the existing abutments condition (Fig 6.). Abutment teeth 13,24,25 had first degree mobility. Panoramic XRAY (Fig 7.) revealed that tooth 13 had cast post and core with vertical root fracture. Tooth 25 was endodontically treated with a periapical lesion. After thorough diagnosis and analysis, the treatment plan was presented to the patient with the following phased treatment approach:
1) Aesthetic evaluation
2) Restorative phase with fabrication of provisional full arch bridge
3) Flapless guided-surgery with immediate loading protocol
Fig 1. Pre-operative Fixed Dental Prosthesis with Acrylic Gingival Veneer
Fig 2. Pre-operative without AGV
Fig 3. Acrylic Gingival Veneer. AGV
Fig 4. Extraoral smile with FDP in place
Fig 5. Concave facial profile
Fig 6. Pre-operative without 9-unit FDPs
Fig 7. Pre-operative Panoramic XRAY
Fig 8. Full-contour waxing was made according to teeth proportion and position.
Fig 9. Prepared cast and Diagnostic cast were scanned and transformed into STL file.
Fig 10. Two sets of STL data were super-imposed and sent for milling.
Fig 11. Milled Full-contour PMMA bridge
Fig 12. cutback was made to create gingival space for pink composite layering.
Fig 13. CeraResin bond 1 and 2 (CRB1 and CRB2) were applied to bond the Ceramage pink composite.
Fig 14. Ceramage GUM Opaque (GUM-O) was applied to mask the color of PMMA.
Fig 15. Ceramage GUM Dark (GUM-D) was applied on the attached gingiva area to the buccal flange
Fig 16. Ceramage GUM light (GUM-L) was applied in order to imitate the free gingival area.
Fig 17. Ceramage Flowable GUM Red (F-GUM-R) and White (F-W) were painted to mimic the mucogingival junction and vascular alveolar
Fig 18. Ceramage GUM translucent (GUM-T) was applied to reproduce of reddish translucent gingiva areas.
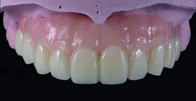
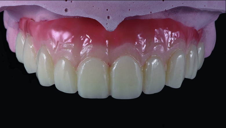
Fig 19. Completed Provisional Profile Prosthesis with gingival aesthetics that mimic nature
Fig 20. A Surgical guide with fully-guided sleeves
Fig 21. Fully-guided surgery was performed using Nobel Active
Fig 22. Post-operative panoramic XRAY
Fig 23. Post-operative occlusal view
Fig. 24. Post-operative frontal view
Fig 25. Post-operative smile with provisional profile prosthesis
Fig . 26. Post-operative smile with provisional profile prosthesis
Fig 27. Post-operative smile with provisional profile prosthesis
ContouringFinishingPolishing-2
ContouringFinishingPolishing-1
ContouringFinishingPolishing-3
Phase 1
Aesthetic evaluation
Aesthetic analysis was performed with evaluation of the smile line, incisal profile, length and proportion. Diagnostic wax-up was fabricated according to the aesthetic evaluation. (Fig. 8)
Phase 2
Provisional full arch bridge fabrication (Fig. 8 - 19)
Preparation cast with a diagnostic wax-up ca st was sent to a local laboratory for scanning and transforming into STL (Stereolithography) digital impression file. (Fig 8,9.) Two sets of STL impressions were super-imposed in the software in order to subtract the overlapping data. This process was done in order to transform the diagnostic wax-up into the STL digital impression. Consequently, the STL data was sent to the laboratory for milling. (Fig10.) A monochromatic milled-PMMA temporary bridge was fabricated in a local laboratory and returned to the dentist for composite layering. (Fig 11.) Gingival cutback was made to create sufficient gingival space for pink composite layering (Fig 12). Prior to composite layering CeraResin Bond 1 was applied and left for 10 seconds to prime the surface, followed by application of CeraResin Bond 2 for 10 seconds and light cured for 20 seconds (Fig 13.). Ceramage Indirect Composite gingival shade GUM-O (GUM Opaque) was applied to mask the color of PMMA (Fig 14.). GUM-D (GUM Dark) was applied on the attached gingiva area to the buccal flange (Fig 15.). GUM-L (GUM Light) was applied in the region of free gingiva (Fig 16.). F-GUM-R (Flowable GUM Red) and F-W (Flowable GUM White) were painted to mimic the mucogingival junction and vascular alveolar mucosa (Fig 17.) GUM-T (GUM Translucent) was applied to reproduce of reddish translucent gingiva areas (Fig 18) to achieve natural gingival aesthetics.
Contouring, Finishing and Polishing of temporary restoration
Meticulous finishing and polishing of the restoration is a crucial step to achieving the desired aesthetics. Dura-Green stone was used to contour the macro anatomical details while the Robot Carbide Fissure Bur was used to shape the interproximal and papilla areas. The course silicone points followed by Dura-Polishing paste Al2O3 with a medium strong brush was used to finish and pre-polish the restoration. Dura-Polish DIA, diamond polishing paste was applied with a fine brush followed by the cotton buff to achieve the final high-luster polishing (Fig 19.)1.
Phase 3
Flapless guided-surgery with immediate loading protocol
The questionable teeth (13, 24 and 25) were extracted under local anaesthesia. The surgical guide was secured in place on the maxillary arch with two anchor pins. (Figs. 21) Flapless surgery was performed using guided tissue punch. Sequential drilling were made according to the manufacturer’s protocol. All implants were placed through the surgical template. All implants were torqued 35 NCm to ensure primary stability. The extraction socket were filled with small particle Xenograft (Bio-Oss, Geistlich) and covered with resorbable collagen plug (Collar plug, Zimmer Biomet). Straight and angle multi-unit abutments were seated and torqued 15 NCm on each implants (Fig. 23)
The existing provisional bridge was utilized for converting to a provisional screw-retained prosthesis. An immediate loading protocol was utilised2. Metal temporary abutments were connected on each implant. Provisional full arch bridge was perforated to match the position of the metal temporary abutments, placed in their correct position and OVD, relined with self-cure acrylic resin. All surfaces were fine-polished. A light-cure denture sealant (Palaseal, Kulzer) was applied on the intaglio surface. The provisional bridge was delivered to the patient’s mouth. (Figs. 23-27) Post-operative panoramic XRAY revealed that implants were placed according to the pre-operative planning (Fig. 22) Suture was removed after surgery 14 days. A final profile protheses3 will be fabricated after implant osseointegration.
Conclusion
When treatment planning for resorbed maxilla, it is important to consider a holistic approach which includes replacement of missing teeth, restoration of significant segments of missing alveolar bone and soft tissue contours to achieve optimal aesthetics. This case helps to showcase the benefits of using a provisional profile prosthesis fabricated with CERAMAGE Gum Colors to help improve extra-oral soft tissue profile of the patient and result in an aesthetically pleasing maxillary full arch restoration.
Editorial note: A list of references can be obtained from the publisher.
BEAUTIFIL II ENAMEL and GINGIVA from Shofu are developed as a complementary line extension of BEAUTIFIL II series to easily create life-like direct ...
Dentists today are spoilt for choice with a variety of direct and indirect treatment options for aesthetic restorations in the anterior zone.
Direct restorations to date remain the most common type of treatment provided by dentists in routine clinical practice. With the advances in information ...
"I can`t afford e.max veneers, do you have something more affordable?" is a question often encountered in clinical practice today!
We are often faced with aesthetically challenging cases in our everyday practice. Selection of the right composite material combined with a comprehensive ...
The need for easier, simpler and faster workflow is more critical in dentistry, now more than ever before. Conventional composite restorations are ...
Bioactive direct composite resin materials like the next generation high strength injectables and low shrinkage packable composites, when used with advanced...
Przemyslaw Grodecki DDS, PhD
Przemyslaw Grodecki DDS, PhD
Przemyslaw Grodecki DDS, PhD
To post a reply please login or register