Though many smile design programmes offer us solutions for rendering of multiple-tooth replacements, very often in our daily practice we encounter major challenges when just a single tooth needs to be substituted.
In order to estimate the risk of an unacceptable aesthetic final result of our treatment and to determine the most effective and predictable treatment plan, it is necessary, also in these cases, to perform an analysis of the desired tooth shape, the soft tissue architecture and the bone volume necessary to stabilise an implant in the optimal position and support the soft tissue. This analysis can be done using several means. In the traditional workflows, we asked our dental technician, after taking impressions of the dental arches and registering the occlusion, to perform a wax-up to obtain information about tissue volume available and needed. It was difficult to get from this hard model information about the lip line and gingival exposure, and before the era of 3D scanning, it was impossible to interface the teeth with the deeper anatomy. With the arrival of digital photography, video, intraoral scanners1 and CBCT scanners, our possibilities have grown enormously, thus raising the accuracy and predictability of our treatments.
In the following case report, the author will try to describe how he and his team approach cases in which a single tooth needs to be replaced by an implant-supported crown. Most of the procedures can be applied to more extensive cases, since the basic rules of implant dentistry are universal. After an anamnestic interview in which patient expectations play a fundamental role, we proceed with the intraoral examination. Hygiene and periodontal health are checked, and if required, a session for calculus debridement, motivation and instruction is scheduled.
Normally, the first radiographic examination performed is an intraoral radiograph for a single tooth (Fig. 1) or a dental panoramic tomogram if the need for a more extensive treatment is suspected. In the same session, both dental arches are scanned with an intraoral scanner and the bite is registered. A simple photographic sequence is followed:
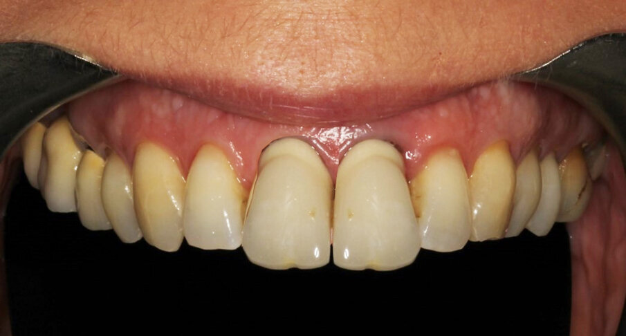
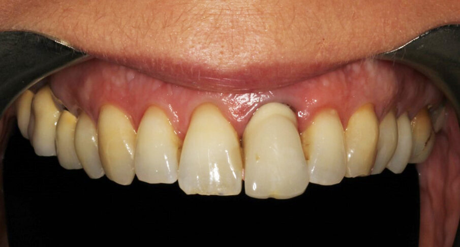
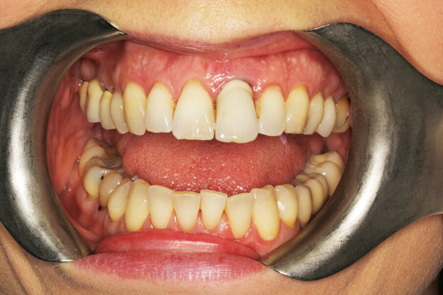
1. Full frontal view intraoral photograph (Fig. 2).
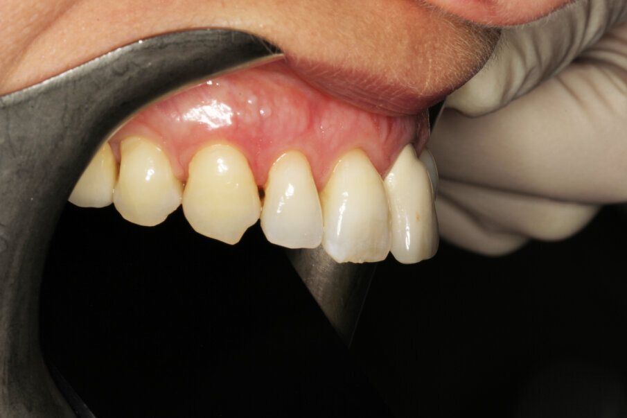
2. Detailed photograph of the single arch, possibly with a black mirror to contrast the teeth (Fig. 3).
3. Photograph of laterolateral detail of the tooth and gingival profile (Fig. 4).
4. Full-face photograph with maximum gingival exposure (Fig. 5).
5. Full-face photograph of a spontaneous smile (Fig. 6).
6. Photograph of the full face at rest.
This sequence allows one to view immediately the presence of orthognathic and periodontal issues (Figs. 1 & 2), to evaluate the biotype (Figs. 2 & 3) and to estimate aesthetic challenges, like tooth colour, tooth texture, soft tissue/lip exposure and position of the incisal edge/lip (Figs. 2 & 4–6). The 3D intraoral scan is extremely helpful for determining orthodontic alignment of the teeth and in our protocol replaces an occlusal and/or 12 o’clock photograph in most cases.
“There can be different ways of treating a disease, but there can be only one correct diagnosis.” Dr Morton Amsterdam, 1974. When anamnesis, intraoral examination and preliminary radiographs are sufficient to conclude that the tooth in question cannot be preserved, it needs to be decided what the optimal timing for extraction and a CBCT scan is and how to provide for a temporary tooth replacement. Also, the timing of implant placement is essential and the operator must choose between immediate, early or delayed placement in the fresh extraction socket. Will there be a (potential) need for bone augmentation and/or a soft tissue graft? In short, our policy is the following: in case of acute inflammation that cannot be effectively treated in a way that an infection of the future implant site will be prevented, we will proceed with extraction. A temporary fixed etch and bond or removable prosthesis can be used to guarantee acceptable aesthetic comfort to the patient. In these cases, a CBCT scan will be taken after extraction so that the most detailed image of the socket anatomy can be obtained. Since a provisional solution has been provided for, there is no need for very early implant placement. Timing is now based on the expected period needed for the infection to be eliminated and the risk of loss of volume by the collapse of tissue. Normally, the implant is placed four to six weeks after the extraction. Another reason for delayed implant placement can be the need for healed soft tissue in order to facilitate proper wound closure to protect, for example, bone substitutes and membranes when bone augmentation is necessary. Additionally, if the patient is suffering owing to the tooth that is to be extracted, it can be a reason to proceed quickly with the extraction, thus gaining time for adequate treatment planning and preparing for surgery and eventual immediate temporary crowns. If the anatomy and biological conditions are favourable, one can decide to proceed with implant surgery at an early stage after extraction, such as one week. Only in those cases in which there is no acute inflammation or infection, and sufficient bone and soft tissue quantity and quality are present is it recommendable to place the implant in the fresh extraction socket. Obviously, in such a case, the CBCT scan would be performed before proceeding. Minor bone augmentation and/or connective tissue grafting can be performed contemporaneously. The decision to place an immediate provisional crown on the implant is strongly related to the expected primary stability of the implant, as well as the opportunity to manage the position of biomaterials in such way that undisturbed and uncontaminated healing is guaranteed. After healing, good aesthetics and sufficient protection of the underlying implant and implant–prosthesis connection are requisite if we wish to treat our patients in the best possible way and earn their long-term trust.
Risk evaluation
First aesthetic risk evaluation
A very simple tool to start with can be a render of a 2D photograph. We use the macro intraoral shot with the black background behind the teeth (Fig. 3). With Adobe Photoshop, GIMP, Microsoft PowerPoint or Keynote, for example, it is possible, with little time invested and no expense, to cut out the shape of the contralateral tooth that will not be extracted, copy it, flip it horizontally and paste it in the position of the tooth that needs replacement.
It will be clear immediately whether this shape, which provides for symmetry, supports the papillae sufficiently or whether there is a lack of volume that needs to be compensated for (Fig. 7). Another trick is to use this image with the flipped contralateral tooth and align it with the original photograph and then draw a horizontal line across both images that coincides with the same gingival reference points. This will demonstrate whether there is a vertical component that indicates a lack or abundance of soft tissue (Fig. 8). This can be easily quantified in a metric system if an intraoral reference is measured with a calliper. We can now inform the patient whether an additional procedure like guided bone regeneration (GBR) or a connective tissue graft will be needed, which can be helpful for informed consent and financial planning.
Second risk evaluation
The intraoral scan is imported into CAD software and transformed into a virtual master model without the tooth to be extracted and a separate STL shape of the ideal CAD-designed tooth (Fig. 9). Now there is the opportunity for 3D evaluation of the dimensional relation between the new tooth and the soft tissue before extraction. In the current case, the tooth involved had not been extracted and a CBCT scan was performed (X-Mind trium, ACTEON; 110 x 80 mm field of view; 0.15 mm voxel size) for further investigation and treatment planning. In the AIS 3D App software that comes with the CBCT X-Mind trium device, STL files can be matched and aligned with the 3D bone volume, thus giving the opportunity to plan the future implant position taking into account the shape and position of the future crown (Figs. 10a & b). In accordance with the prosthetic procedure preferred, cemented versus screw-retained, CAD/CAM-fabricated versus manual layering and the type of material to be used, all the information for the final treatment plan is available, on which decisions can be made regarding GBR, connective tissue graft and timing of implant loading.
Case report
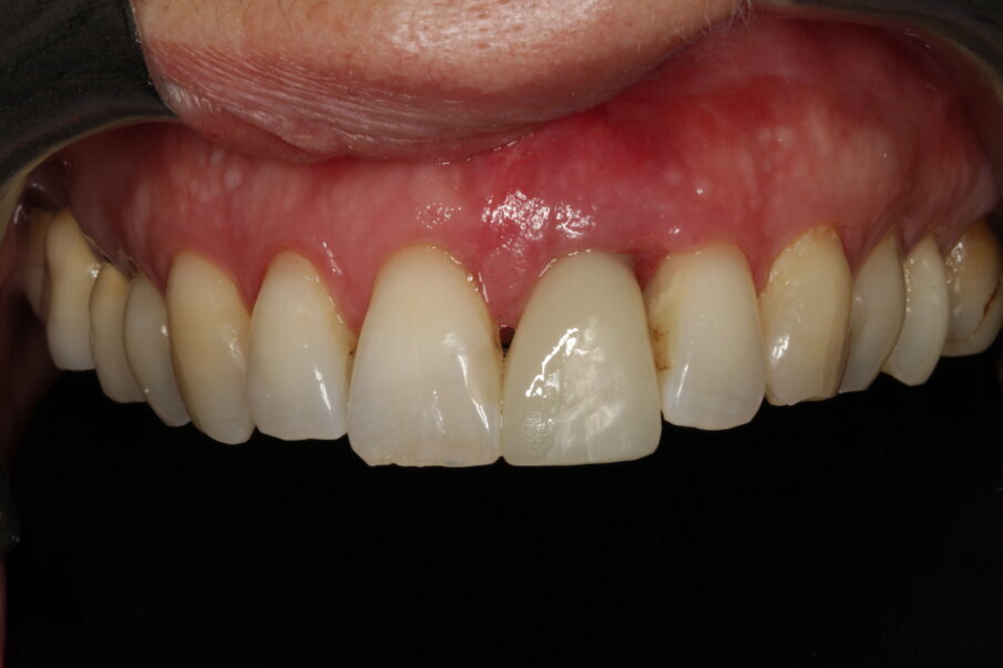
The female patient, aged 47 and a non-smoker, was in good general health. She performed regular oral hygiene and had good periodontal health. The patient experienced increasing mobility of the maxillary left central incisor and complained about compromised aesthetics due to the extrusion and progressive migration of the tooth in a buccal direction. The incisor had been treated with a crown at a preadolescent age after a violent trauma. The intraoral radiograph showed incomplete root development and evidence of a root canal therapy suggesting a strip perforation though no signs of periapical lesions were present. The shape of the crown was not symmetrical in relation to the triangular shape of the maxillary right central incisor, but had a wider and rectangular profile. Minor general gingival recession had led to the presence of a tiny inter-dental space. The marginal gingiva was reddened, and the central papilla was not symmetrical.
Probing depths were within 2 mm for both the right and left central incisors and the radiographic mesial and distal bone peaks were of a regular height.
The photographic aesthetic evaluation showed that it would be very difficult to obtain symmetry in tooth shape and have good-looking and healthy soft tissue support at the same time. The patient’s maximum smile exposed the gingival contours. In such cases, it may be wise to consider also the possibility of altering the anatomy of the contralateral tooth with, for example, a ceramic veneer and discuss outcomes with the patient before finalising the treatment plan. This can be evaluated by performing the cut/copy/flip/paste sequence in reverse (Fig. 7). Together with the patient, it was decided to start performing the best possible replacement of the maxillary left central incisor and evaluate at an advanced stage with a temporary crown on the implant and mature, conditioned tissue whether to add a veneer to the maxillary right central incisor.
Analysing the CBCT scan
It became evident that the short-rooted tooth could be extracted without compromising the buccal bone, and that there was sufficient bone volume and quality to obtain good primary stability of the implant. Thanks to the AIS 3D App software, this information can be visualised using the bone density tool and linear measures tool (Fig. 10c) and represented in a graphic or according to a coloured scale. The presence of the nasopalatine duct prohibited ideal palatal positioning of the implant, and if the implant were to be placed flush with the palatal alveolar bone, this would have resulted in a 1.5–2.0 mm high exposure of the implant collar on the buccal aspect (Fig. 11b). This information, combined with the aesthetic analysis, led to the decision to place the implant in that position and to augment the buccal bone volume with a contemporaneous GBR procedure, thus also providing for major soft tissue support. As often described in the literature, it is to be expected that in some measure the implant will deviate buccally2–4 from the original planning because of the major mechanical resistance of the palatal plate. The author’s team prefers whenever possible screw-retained solutions. Several production centres are capable of milling angulated screw access holes in cobalt-chromium abutments of up to 25°,5 which is a range that covers most cases in daily practice. It can be easily checked in the implant planning software whether the future access hole will exit on the palatal aspect of the tooth, either by angulating the implant extension tool or by choosing a virtual abutment from the library. Confirming being in the safety range from this point of view allowed for an approach that foresaw the implant in native bone without the necessity for major GBR on the apical aspect of the implant. Knowing that a flap needed to be raised to facilitate the marginal tissue augmentation, it was decided to use a surgical guide (Figs. 11c) for only the first drill to determine with precision the position and angulation of the osteotomy that would be performed freehand thereafter. In order to limit surgery time and eliminate unpredictable factors inherent in immediate loading, a removable temporary prosthetic tooth was produced in advance.
Surgery
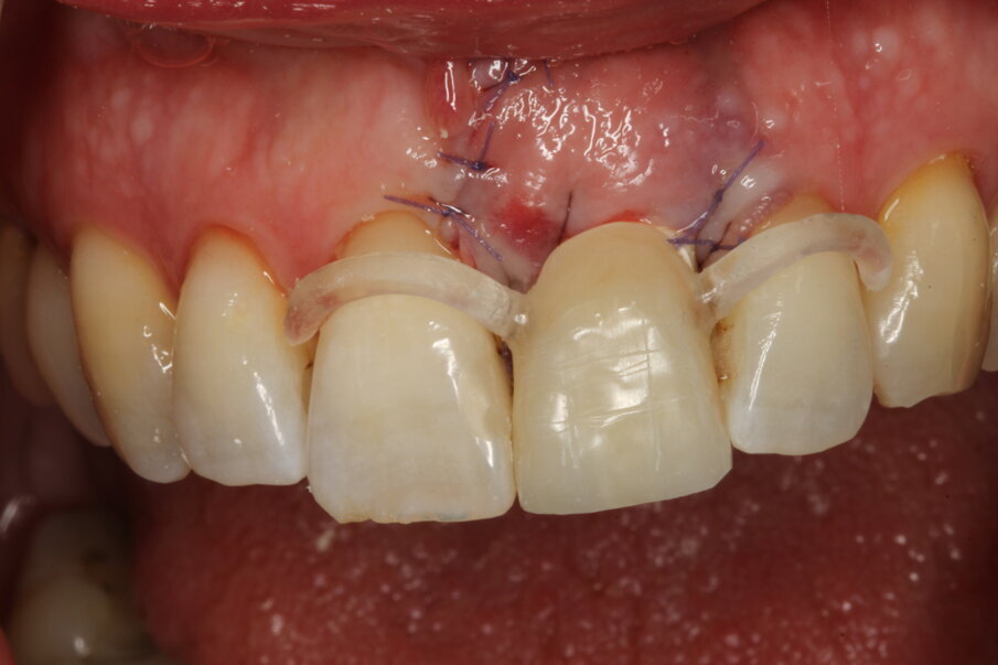
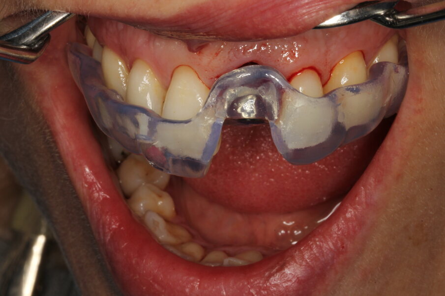
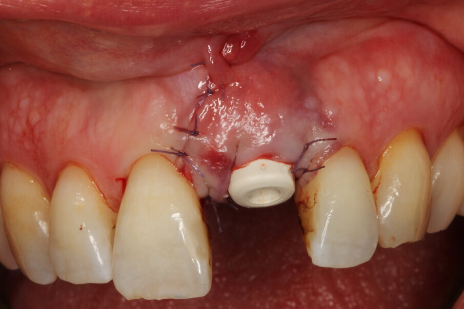
Local anaesthesia was performed with 2% mepivacaine with 1:100,000 adrenaline. Preventative antibiotic therapy with amoxicillin (1 g, b.d. for five days) was prescribed, aided by use of a 0.2 % chlorhexidine mouthrinse three times a day for one minute. The tooth was extracted and the sulcular epithelium removed with diamond burs. The milled surgical template (Figs. 12 & 13) served as a guide for the first 2 mm diameter pilot drill (Fig. 14). Thus, the planned depth, position and angulation of the osteotomy were obtained. The drill sequence was completed freehand, using tapered 3.0 and 3.4 mm drills. A Neoss Pro- Active Tapered Implant of 4 mm in diameter and 13 mm in length was inserted flush with the mesial/palatal/distal bone, motor driven up to a torque of 50 Ncm and then with a manual wrench (Fig. 15). The correct position of the internal hex was verified by checking the references on the implant driver, which ideally points in the buccal direction. Resonance frequency analysis with Penguin RFA (Integration Diagnostics Sweden) determined an ISQ value of 73/76. At this stage, a Neoss Esthetic Healing Abutment with a ScanPeg was connected to the implant (Fig. 16). A flap was then raised after a vertical incision of the frenulum and the expected buccal exposure of the implant neck was evident. Autogenous bone harvested from the drills was positioned directly on the implant surface (Fig. 17), followed by a bone substitute on top of it and on the buccal cortical bone (Fig. 18). This material was covered with a resorbable membrane (Fig. 19). The mobilised flap was then repositioned by rotating it coronally and fixed with single sutures (Fig. 20). The removable partial denture was adapted and delivered (Fig. 21). An immediate postoperative CBCT scan of 60 x 60 mm was performed, and it confirmed a perfectly centred implant position (Figs. 22 & 23).
Intraoral scan
Eight days after surgery, the patient reported that healing was uneventful and the prosthodontist removed the stitches. It has become the author’s standard protocol to perform an intraoral scan for implant position in this same session (Figs. 24 & 25). The specific and unique PEEK healing abutment used has an internal circular channel and on one side, normally positioned on the buccal aspect, a vertical rectangular slot (Fig. 26). After removing the PTFE tape used to plug this area during surgery, a ScanPeg can be positioned inside the healing abutment. This allows for a unique scanning procedure without removing the healing abutment, thus avoiding disturbing healing tissue or dislocating recently placed biomaterials. The producer provides libraries for STL files of the five different anatomical shapes—wide incisor, narrow incisor, canine, premolar and molar—that determine the basic profile of the gingival tunnel during healing.
Temporary crown
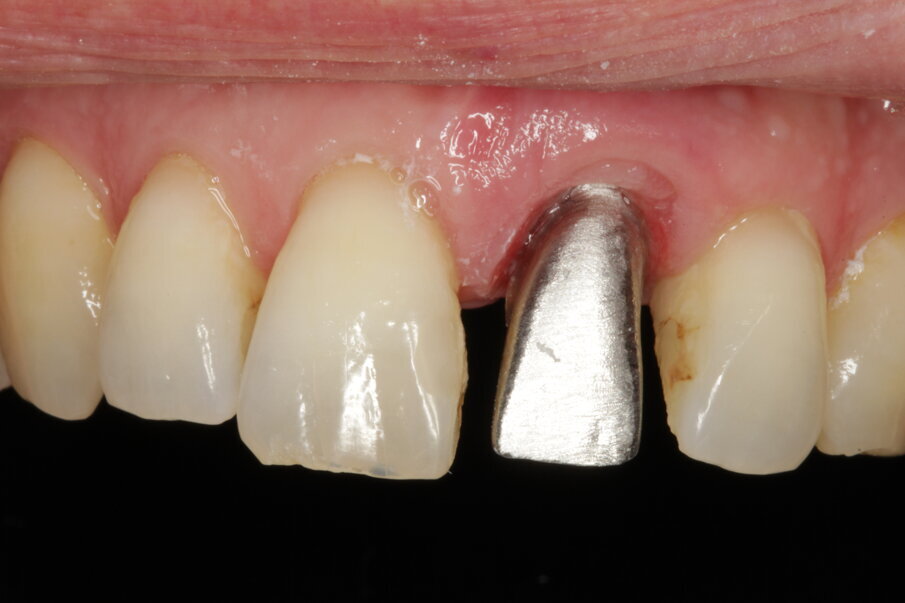
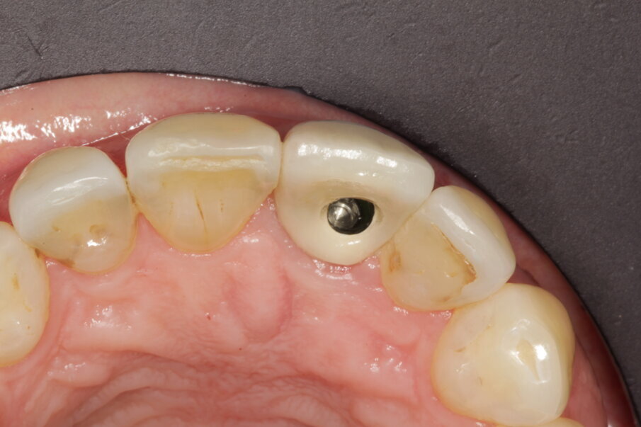
The surgeon indicated that the healing abutment may be removed after four weeks. By then, the temporary screw-retained crown had already been fabricated by the technician, who had prepared a CAD/CAM-milled acrylic tooth glued on to a Neoss NeoLink abutment (Figs. 27–30). As a result of the decision to place the implant entirely in native bone, the angulation was such as to locate the screw access hole of the provisional on the buccal aspect. This can be easily camouflaged by a simple composite filling after plugging the channel with PTFE tape. The gingival profile copies in this first stage of loading the central incisor anatomy of the Neoss Esthetic Healing Abutment (Fig. 31).
Tissue conditioning
As evidenced by the aesthetic analysis before treatment, it was clear that symmetry with the contralateral incisor would be impossible. The implant was placed slightly distal because the distal papilla normally has a narrower mesiodistal basis than the central papilla. The tissue volume augmentation helped to obtain the necessary quantity of gingiva to shape nice papillae, leaving a minimal gap. The soft tissue architecture was conditioned (Fig. 32) by adding composite to the temporary crown and grinding material where necessary until the prosthodontist and the patient felt an optimal result had been achieved.
Transfer of the profile
A new intraoral scan sequence was performed. First was the scan of the full arch with the temporary crown in place. The provisional was then removed from the mouth and screwed on to an implant replica fixed to a stable support with wax. The second scan revealed in 360° the modified shape of the temporary crown, including the gingival profile (Fig. 33). These files can be easily matched in the CAD software when the technician designs the definitive crown (Figs. 34–36). If a monolithic material is used, the technician may copy the entire shape of the temporary. When a support is needed that will be layered with ceramic afterwards, at least the gingival profile can be duplicated in a reliable way.
Definitive crown
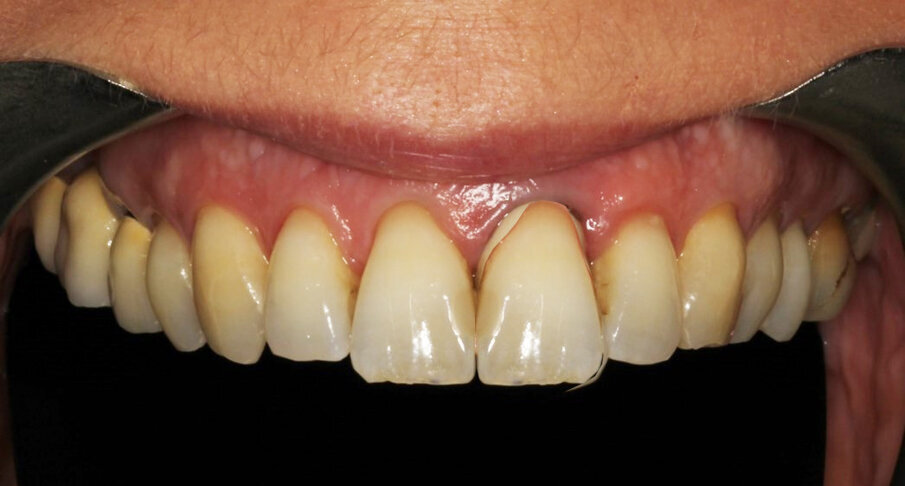
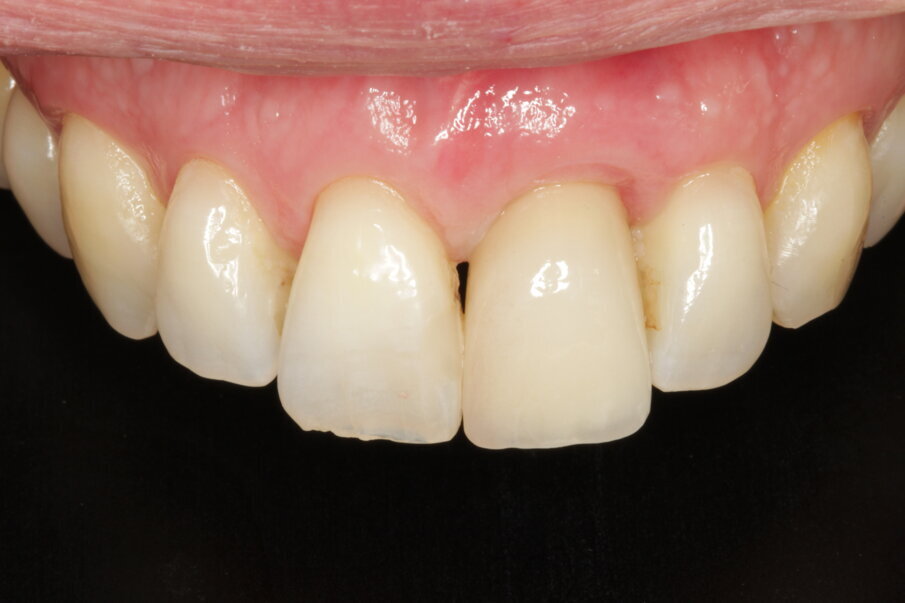
The author strongly prefers screw-retained devices. Owing to the angulation of the implant, it was necessary to relocate the screw access hole. In CAD, the design for a cobalt-chromium support that copied the gingival profile of the temporary was prepared, and the screw access was brought to the palatal aspect (Fig. 37). The file was sent to the Arc solutions milling centre in Helsingborg in Sweden. High-quality material and CAM production guarantee an excellent outcome in terms of connection and smooth surfaces (Figs. 38–40). The technician layered feldspathic ceramics to obtain the final anatomy and texture. The patient was totally satisfied with the result and did not wish for intervention for the maxillary right central incisor. Minor gingival asymmetries, though evident at high magnification in photography, are not really disturbing when viewed at social distance if all other parameters, like colour, incisal edge, tooth texture, correct proportion of the incisal two-thirds of the tooth and transitions, are respected (Figs. 41–43).
Conclusion
Innovative technologies enable extremely accurate diagnosis and treatment planning. Affordable high-quality CBCT has profoundly changed our profession. In the current case, the detailed X-Mind trium 3D images allowed for planning and performing implant placement in the optimal mesiodistal position. Correct distances to the lateral incisor and the nasopalatine duct were obtained. Final choices will always remain related to the experience, skills and equipment of the performing team. After collecting all of the necessary information and knowing what technology can provide, it is possible that one team will opt for GBR and monolithic crowns, where another might try to minimise the invasiveness of surgery and employ innovative milling strategies to deliver a predictable, beautiful solution. In the actual challenging buccopalatal dimension, the implant was perfectly planned and guided into to the centre of the native bone. Guided bone regeneration was limited to the minimum and minor buccal exposure of the implant was predicted. Reviewing the case described above, the fact that bone volume could be matched with the dental preoperative situation and the CAD virtual wax-up made the whole procedure, from extraction to final restoration, highly predictable. Bone volume, bone quality, extent of GBR indicated and the type of prosthodontic solution were all known before starting treatment thanks to the implant planning with the AIS 3D App software.
Both the clinician and patient were well informed and prepared, avoiding surprises, improvisations and unnecessary stress. New developments like smart, scannable healing abutments will help to continue creating treatment outcome and comfort improvements.
Editorial note: A list of references is available from the author.
Monitoring the developing dentition is part and parcel of a general dental practitioner’s (GDP) routine and this relies on the basic knowledge of tooth ...
Molar incisor hypomineralisation (MIH) is a relatively common dental defect that appears in first permanent molars and incisors and varies in clinical ...
Aim: To assess the roughness and loss of substance of tooth surfaces after instrumentation with AirFlow, ultrasonics, hand instruments and polishing methods...
People who have a severe fear of the dentist are more likely to have tooth decay or missing teeth, according to a new study from King’s College London.
People who have a severe fear of the dentist are more likely to have tooth decay or missing teeth, according to a new study from King’s College London.
In this laid-back and engaging conversation with Dental Tribune Middle East, Dirk Jeffs, President and CEO of Ultradent Products, Inc., and Barbara ...
Today’s technological and design innovations have seen the humble dental chair evolve into state-of-the-art treatment centers, putting ergonomics and ...
Dentistry is evolving faster than ever. From digitalisation to changing economic realities, global market changes are redefining how clinicians work and how...
Dentsply Sirona is announcing its latest upgrade for both Connect and CEREC Software, giving users new functionalities and even better performance*. Patient...
Dentsply Sirona is announcing its latest upgrade for both Connect and CEREC Software, giving users new functionalities and even better performance*. Patient...
Live webinar
Thu. 14 May 2026
8:00 pm UAE (Dubai)
Live webinar
Thu. 14 May 2026
10:00 pm UAE (Dubai)
Prof. Hani Ounsi DDS PhD FICD
Live webinar
Tue. 19 May 2026
7:00 pm UAE (Dubai)
Live webinar
Tue. 19 May 2026
9:00 pm UAE (Dubai)
Prof. Dr. med. dent. Ivo Krejci
Live webinar
Wed. 20 May 2026
3:00 pm UAE (Dubai)
Dr. Graham Carmichael BDSc (Hons), DClinDent (Pros), FRACDS, Dr. Robert Gottlander DDS
Live webinar
Wed. 20 May 2026
5:00 pm UAE (Dubai)
Live webinar
Wed. 20 May 2026
9:00 pm UAE (Dubai)
Prof. Dr. med. dent. Tim Joda PhD, MSc, eMBA