Monitoring the developing dentition is part and parcel of a general dental practitioner’s (GDP) routine and this relies on the basic knowledge of tooth exfoliation and eruption times.
Delayed eruption of maxillary central incisors can be a reason that parents/carers bring their child in for a dental assessment. Nevertheless, detecting this anomaly by a GDP by chance on routine examination can occur. According to Yacoob et al (2010)1 intervention for the delayed eruption of maxillary incisors, beyond the normal eruption dates, is needed in many cases. For example, if the eruption of the antimere incisor tooth occurred greater than six months previously; or if both central incisors remained unerupted and the lower incisors have erupted greater than one year previously or there is deviation from the normal sequence of eruption (e.g. lateral incisors erupting prior to the central incisor). This issue is important from the interceptive orthodontic point of view and it may have an effect on the facial aesthetics and psychology of the child2, in addition to some difficulties in pronouncing some letters for example ”S” which will lessen the patient’s self-esteem and social interactions.3,4 We report a case of an unerupted permanent maxillary central incisor and its multifaceted treatment in a child patient.
Causes of the unerupted maxillary permanent central incisor
• Heredity (cleft lip and palate, cleidocranial dysostosis, supernumerary teeth, hypodontia, ectopic tooth germ, gingival fibromatosis, tissue scar, odontomes, generalised delayed eruption).
• Environmental (trauma, retained primary teeth, cystic formation, early extraction or loss of primary teeth+/-space loss, endocrine abnormalities)5.
• The incidence of unerupted maxillary central incisor in 5-12 year old children is 0.13% and the prevalence is 2.6%.6,7
Investigations
When an unerupted maxillary incisor is suspected, a full set of investigations should be carried out including a medical and dental history, family history, history of dental trauma. A clinical investigation and examination should include direct palpation of the alveolus, assessing if buccal or palatal swellings are present, if a retained primary incisor is present, carrying out space analysis and dental charting. Special tests may be required like sensibility tests but most importantly radiographs (DPT, upper anterior occlusal, periapical) to assess if the unerupted tooth is present or not, if it is malformed (e.g dilaceration), if an obstructing feature is present (like a supernumerary or odontome) and to locate its correct position by parallax (i.e. buccal or palatal).
Management depends on the findings
• Remove retained deciduous tooth
• Create and maintain sufficient mesial and distal space orthodontically
• Remove any physical obstruction (eg: supernumerary teeth)
• Exposure (open or closed eruption technique) with or without a gold chain/attachment
• Incisor removal (e.g.: unfavourable root formation, ankylosed maxillary incisor)
• Osteotomy of segment and repositioning of the dentoalveolar structure in some cases
• Autotransplantation
A Case Report
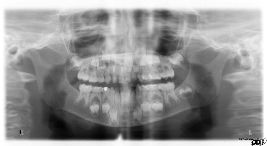
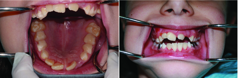
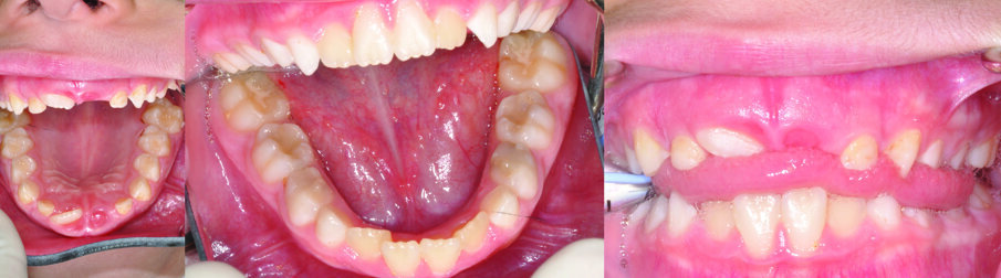
An eight and half year-old girl (LT) attended the paediatric dentistry department of Hamdan Bin Mohammed College of Dental Medicine (HBMCDM) in Dubai Healthcare City for an opinion. The patient’s mother was concerned about the delayed eruption of an upper front tooth (21) that was affecting her child’s appearance (Figs. 1 a, b & c). LT was medically fit and healthy with no history of previous dental trauma. She was in the mixed dentition stage. Tooth 11 had erupted 4 months ago in cross bite but 21 had not erupted yet. Its eruption was much delayed (usually erupts at 7 ½ years of age). Looking back at previous x-rays, a DPT was taken a year ago and it was noticed that an important feature was missed. Retrospectively, the presence of a supernumerary tooth ($) in the area of 21 and congenital missing 47 was confirmed (Fig. 2). Two new x-rays, namely upper intra oral periapicals and the parallax technique (distal shift) showed a supernumerary tooth (conical and inverted) in a palatal position (Figs. 3 a & b). LT also had dental caries of her primary teeth (Figs. 4 a & b), had a pronounced gag reflex and was dentally anxious.
The patient had a Class I skeletal and molar relationship, with a slight rotation and anterior crossbite of 11. Due to the complex nature of this case, requiring a multidisciplinary approach, a joint orthodontic-paediatric dentistry case conference was arranged, and a diagnostic list and treatment plan was formulated.
Figs. 1 (a, b & c). An 8 ½ year old girl presented with delayed eruption of 21 and a palpable palatal swelling. Lower teeth were carious; see bitewings in Figure 4
Fig. 2. A previously taken DPT of 8 ½ year old (LT) when she was 7 showed the presence of a supernumerary tooth ($) (arrow) in the maxillary midline. This was accidently omitted at the time indicating the importance of a comprehensive report every time an x-ray is taken.
Figs. 3 (a & b). Periapical xrays show the presence of an inverted conical supernumerary tooth present palatally to 21 (parallax).
Figs. 4 (a & b). Patient LT, who was dentally anxious, also had dental caries which the above bitewings show.
Fig. 5. Palatal intracrevicular incision
Fig. 6. Raising a palatal mucoperiosteal flap
Fig. 7. Exposure of the supernumerary tooth $ bulge palatally.
Figs. 8. (a, b & c) show sequence of careful elevation of the supernumerary ($) tooth.
Fig. 9. A survey of the surgical site after irrigation and bone filing was made.
Figs. 10 (a & b). Repositioned palatal flap and wound closure with resorbable sutures. Tooth 21 is now exposed after a small apically repositioned flap
Figs. 11 (a, b & c). Show the immediate post operative views
Fig. 12. One week post surgery. Tooth 21 had begun to erupt into a crossbite after the removal of the $. Note that 11 is already in cross bite.
Fig. 13. Upper removable orthodontic appliance with an anterior expanding palatal screw; to correct the cross bite of 11 & 21. The expansion key is on the right
Fig. 14. The URA in place. Notice the posterior biteblocks opening the bite to facilitate the correction of the anterior crossbite.
Fig. 15 (a & b). GIC build ups on LT’s upper primary molars to open the bite
Fig. 16 (a & b). Final result. The anterior crossbite of teeth 11 and 21 had been corrected 4 months following surgery. There is a midline diastema, which is a normal phenomena at this stage and will subsequently close. The patient may later benefit by a 2X4 fixed orthodontic appliance to straighten both 11 & 21, but we will wait for the eruption of 22.
Diagnostic Summary
• 8 ½ year old anxious girl
• Delayed eruption of 21 & an inverted conical supernumerary mesiodens palatal to 21
• Dental caries of the primary molars 55, 65, 74, 75, 85, 84
• Unsealed first permanent molars
• 11 in crossbite
• Gag reflex
Treatment Plan
In lieu of the problem list, the following treatment plan was carried out:
Phase 1
• Dental prevention (Fissure sealants of the first permanent molars, Fluoride, diet analysis/advice and oral hygiene advice)
• Monitor the eruption of 21 for another 3 months.
Phase 2
• If no further eruption occurred and at the advice of the consultant orthodontist: arrange for the surgical removal of the supernumerary tooth with or without a gold chain attachment on 21 to allow extrusion of the said tooth.
• As the patient was dentally anxious (could not cope with having treatment under local anaesthesia with or without inhalation sedation) and also needed restorative treatment it was decided to surgically remove the impacted supernumerary under general anesthesia (GA) and restore the teeth at the same time (Complete Oral rehabilitation under GA).
• LT’s mother consented for the aforementioned treatment to be carried out under GA. This was carried out in a GA day case setting.
The elective day case GA
The following treatment was carried out under the elective GA:
a) Restorative treatment
- Fissure sealants of the 6s
- Pulpotomies with stainless steel crowns on 85, 84, 74, 75 and composites with fissure sealants on 55 & 65
b) Surgical treatment
- After giving local anaesthesia, a continuous palatal intracrevicular (sulcular) incision was carried out from 54 to 64 (Fig. 5)
- Raised a mucoperiostial flap with the nasopalatine bundle exposed and preserved (Fig. 6)
- The palatal bone was exposed and a bulbosity was noted in the supernumerary ($) area. The overlying “egg shell” bone was removed with an osteotome. The $ was identified carefully as not to be confused with tooth 21 (Fig. 7)
- The $ tooth was elevated atraumatically as possible (Fig 8 a, b & c)
- The bone was filed and irrigated with saline and tooth 21 was incisally-exposed. A decision not the place a gold chain attachment on 21 was made as 21 was not covered with bone. (Fig. 9)
- The flap was repositioned and interrupted sutures were placed (resorbable sutures) after exposure of 21 with a small buccal apically repositioned flap (Fig. 10 a & b).
- Extraction of loose 52, 62
- A post surgical intra-operative assessment was carried out (Fig 11 a, b & c)
Follow up post surgery
At one-week follow up, the patient was reviewed. She had no complaints. Tooth 21 had begun to erupt (Fig. 12). At one month’s follow up, tooth 21 had erupted in cross bite. Tooth 11 was already in cross bite.
Phase 3
• This phase included interceptive orthodontics which involved the cross bite correction of both teeth 11 & 21.
Upper and lower alginate impressions were taken (with difficulty due to LT’s gag reflex) to fabricate an upper removable anterior segment palatal expansion appliance (with an anterior expanding screw) and posterior bite blocks to correct the anterior cross bite (Fig. 13).
The appliance was activated using the key (seen in Fig. 13) and the patient was asked to wear the appliance for 24 hours a day (except at meal times) (Fig.14).
When she was reviewed a month later, tooth 11 was corrected and over the bite but tooth 21 was still in cross bite. LT subsequently lost the appliance, so an alternative method to correct the cross bite without subjecting the patient to new impressions (due to her gag reflex) was used. We placed glass ionomer cement (GIC) on the occlusal surface of 55, 65, 75, and 85 to open the bite (Fig.15 a & b).
This would allow for spontaneous correction of the anterior cross bite of 21 due to the positive pressure of the patient’s tongue. At two-month follow up, tooth 21 had moved but was still in cross bite. We placed a composite ramp/restoration on 31 incisally, to finalise the correction of the cross bite. One month later, tooth 21 was over the bite and in the correct anterior-posterior position (Fig. 16 a & b).
Discussion
Supernumerary teeth occur in 1.5-3.5% of cases in the permanent dentition8. Supernumeraries may present as tuberculate, conical, supplemental, inverted, pegged shaped or odontome shaped teeth. There is a male to female ratio approximately 2:1.8 They are more frequent in maxilla to mandible ratio around 5:1 and are called mesiodens in the maxillary anterior region. The effect of supernumeraries causing the failure or delayed eruption of permanent incisors was reported to be in 28% to 38% of the cases. Tuberculate supernumerary teeth are more likely to cause obstruction.9 In 54-78% of the cases removal of the supernumerary will result in the permanent incisor erupting spontaneously within an average of 16 months10. In this case, the inverted conical supernumerary was obstructing the eruption of 21, and its removal facilitated the eruption of 21 almost immediately. Correction of anterior crossbites is essential because they (if left untreated) may cause attrition to the labial surface of the upper incisors, fractures or mobility of incisor teeth or gingival recession. The treatment modalities adopted here fit with the best current practice UK guidelines.1,11
Conclusion
Monitoring the developing dentition may reveal anomalies that require multifaceted intervention by the paediatric dentist. The paediatric dentist skills should cover the range of restorative, interceptive orthodontic and oral surgical procedures as demonstrated in this case. GDPs must always check for delayed eruption of permanent central incisors specially if one had erupted more than 6 months prior. If detected, an appropriate referral should be made to a paediatric dentist for overall management. We recommend following the Royal College of Surgeons of England (RCSEng) Guidelines (2010)1 on management of unerupted maxillary incisors.
References
1. Management of unerupted maxillary incisors. Yaqoob O, O’Neill J, Gregg T, Noar J, Cobourne M, Morris, D. Guidelines of the Royal College of Surgeons of England, 2010
2. Cons N C, J, Kohout F J. DAI: The dental aesthetic index. Iowa: College of Dentistry, University of Iowa; 1986.
3. Snow K, Articulatory Proficiency in Relation to Certain Dental Abnormalities. Journal of Speech and Hearing Disorders 1961; 26: 209-12
4. Show W C, O’Brien KD, Richmond S, Brook P. Quality control in orthodontics: risk/benefit considerations. Br Dent J 1991; 170:33-37.
5. Hitchen A D. The impacted maxillary incisor. Dent Pract Dent Rec 1970; 20:423-33
6. Mac Phee CG. The incidence of erupted supernumerary teeth in consecutive series of 4000 school children. Br Dent J 1935;58:59-60
7. Di Biase DD. Midline supernumeraries and eruption of maxillary central incisors. Transactions of the BSSO 1968-1969;83-88.
8. Welbury R, Duggal M, Hosey M. Paediatric Dentistry Fourth Edition 2012.
9. Foster T D, Taylor G S. Characteristics of supernumerary teeth in the upper central incisor region. Dent Pract Dent Rec 1969;20:8-12.
10. Mitchell L, Bennett T G. Supernumerary teeth causing delayed eruption - a retrospective study. Br J Orthod 1992;19:41-46.
11. Borrie, F & Bearn D. Interceptive orthodontics. Interceptive Orthodontics-Current Evidence- Based Best Practice. Dent Update 2013; 40: 442–450
Though many smile design programmes offer us solutions for rendering of multiple-tooth replacements, very often in our daily practice we encounter major ...
Ectopic eruption of the first permanent molar occurs due to the abnormal mesioangular eruption path of the molar resulting in an impaction at the distal ...
In this laid-back and engaging conversation with Dental Tribune Middle East, Dirk Jeffs, President and CEO of Ultradent Products, Inc., and Barbara ...
Molar incisor hypomineralisation (MIH) is a relatively common dental defect that appears in first permanent molars and incisors and varies in clinical ...
JEDDAH, Saudi Arabia: Dr Khaled Abouseada worked with five different types of aligner systems for about ten years before deciding on eCligner. Using 3-D ...
Dr Rajiv Patel from the US will be a speaker at the upcoming ROOTS SUMMIT, which will take place from 9 to 12 May in Athens in Greece. His lecture will ...
Dentsply Sirona, the world's largest manufacturer of dental products and technologies, and SICAT, provider of software and hardware solutions for the dental...
Dental imaging has been a corner-stone of diagnostic and procedural dentistry for well over a century. The first foundational principles of dental ...
Dentistry is evolving faster than ever. From digitalisation to changing economic realities, global market changes are redefining how clinicians work and how...
HuFriedyGroup has come together to provide the best dental experience to the industry. Our unique combination of products, services, and support enable ...
Live webinar
Thu. 14 May 2026
8:00 pm UAE (Dubai)
Live webinar
Thu. 14 May 2026
10:00 pm UAE (Dubai)
Prof. Hani Ounsi DDS PhD FICD
Live webinar
Tue. 19 May 2026
7:00 pm UAE (Dubai)
Live webinar
Tue. 19 May 2026
9:00 pm UAE (Dubai)
Prof. Dr. med. dent. Ivo Krejci
Live webinar
Wed. 20 May 2026
3:00 pm UAE (Dubai)
Dr. Graham Carmichael BDSc (Hons), DClinDent (Pros), FRACDS, Dr. Robert Gottlander DDS
Live webinar
Wed. 20 May 2026
5:00 pm UAE (Dubai)
Live webinar
Wed. 20 May 2026
9:00 pm UAE (Dubai)
Prof. Dr. med. dent. Tim Joda PhD, MSc, eMBA
To post a reply please login or register