Aesthetic corrections with veneers should be minimally invasive and limited to the enamel and, despite the thin layer thickness in the mouth, develop a natural play of shade and light.
The multichromatic CAD/CAM hybrid ceramic blank VITA ENAMIC multiColor (VITA Zahnfabrik, Bad Säckingen, Germany) has an integrated shade and translucency gradient with six finely graduated layers. The natural appearance of the tooth can be reconstructed almost at the touch of a button. Characterisation with stains can usually be omitted. The dual ceramic-polymer network structure of the hybrid ceramic allows narrow wall thicknesses of up to 0.2 millimeters, while remaining very edge-stable. These are the best conditions for restoring two upper middle incisors, as Dr. Andreas Kurbad (Viersen, Germany) shows in this case report.
1. The aesthetic challenge
A 45-year-old female patient presented in the office and was dissatisfied with the aesthetic effect of her front teeth. The middle incisors had presumably lost incisal edge contour and length, due to abrasive and erosive processes. In addition, the anterior teeth were clearly discolored. The patient wished to restore a natural appearance to these teeth using minimally-invasive therapy. For targeted therapy, the situation was scanned with the CEREC Omnicam (Dentsply Sirona, Bensheim, Germany), and photos were taken of the situation. The software Smile Designer Pro (Tasty Tech, Toronto, Canada) simulated the extension of the incisal edge and the recontouring of the morphology. On this basis, a clinical mock-up was created which satisfied all participants.
2. CAD/CAM-supported fabrication
The mock-up was scanned intraorally to be included in the virtual design in the CEREC software as a biogeneric copy. Due to the vestibular loss of substance on teeth 11 and 21, the preparation was performed in a very minimally invasive manner with a micro chamfer, applied in the cervical area. The clinical situation was now rescanned so that the virtual construction of the veneers and their CAD/CAM-based fabrication could take place. When working with rotating diamond tools, the focus was mainly on the surface texture. Finally, the veneers were polished to a high gloss and were incorporated in the same session.
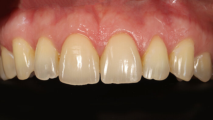
Fig. 1: Initial situation: Erosion and abrasion led to a shortened incisor and the loss of the morphology of teeth 11 and 21.
Fig. 2: With the software Smile Designer Pro, ideal middle incisors were constructively simulated.
Fig. 3: With a transparent silicone key and light-curing composite, the mock-up was fabricated intraorally.
Fig. 4: The mock-up corresponded to the aesthetic expectations of the patient.
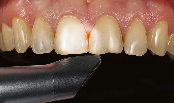
Fig. 5: The minimally invasive preparation during the application of a micro chamfer in the cervical area.
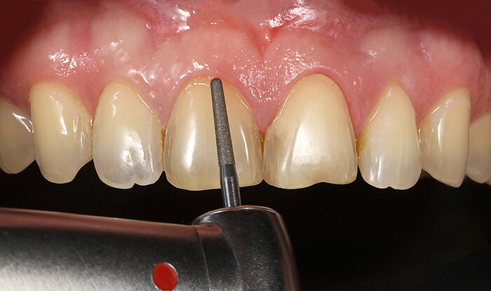
Fig. 6: The clinical situation was scanned with the CEREC Omnicam.
Fig. 7: The design of the hybrid ceramic veneer in the CEREC software.
Fig. 8: With the CEREC-Smile Design Application, the restorations can be evaluated together with the lips.
Fig. 9: The sheer veneers made of VITA ENAMIC multiColor immediately after grinding out.
Fig. 10: The incorporation of texture and morphology with the rotating diamond tool.
Fig. 11: A simple high-gloss polish was enough to finish the restorations.
Fig. 12: The finished veneers just before the clinical try-in.
Fig. 13: Conditioning with hydrofluoric acid creates a micro-retentive surface.
Fig. 14: A light-curing one-component adhesive was applied to the tooth surfaces.
Fig. 15: Both veneers integrated completely and naturally into the aesthetic zone.
Fig. 16: Result: The curve of the incisal edges harmonized with the curve of the lips.
3. Seating and final results
After clinical try-in, the two restorations were fully adhesively incorporated. The dominant feldspar ceramic network (86 wt%) of the hybrid ceramic veneer was etched in a proven manner with hydrofluoric acid and then silanized. The conditioning of the enamel was carried out with phosphoric acid and a light-curing singlecomponent adhesive. After incorporation with a shade-matched composite cement, the hybrid ceramic veneers fit harmoniously into the aesthetic zone.
Thanks to the rapid production without any crystallisation or sintering firing and the integrated shade gradient, the two central incisors could be efficiently and aesthetically restored. The patient was highly satisfied with the minimally invasive and fast result.
VITA® and other VITA products mentioned are registered trademarks of VITA Zahnfabrik H. Rauter GmbH & Co. KG, Bad Säckingen, Germany.
Implant placement in the anterior aesthetic zone has been a topic of great interest in the field of implant dentistry for a number of years. Numerous ...
Michelangelo took four years to paint the Sistine Chapel and two years to complete the sculpture of David.
Patient: 55-year-old patient with an insufficiently restored dentition and a reduced vertical Dimension of occlusion.
Akro‑Flex™ is an extremely flexible composite instrument which allows clinicians to effortlessly manipulate composite materials during aesthetic ...
"I can`t afford e.max veneers, do you have something more affordable?" is a question often encountered in clinical practice today!
Small dental laboratory now offers full-arch shell temps with palatal jig enabled by 3D Systems’ NextDent 5100 3D printer (Photo: 3D Systems)
With the information now available to the general public through internet access, many patients often come to visit a dentist already armed with some facts ...
A case study by Dr. Carlos Eduardo Sabrosa, DDS, MSD, DScD featuring 3M™ RelyX™ Veneer Cement and 3M™ RelyX™ Unicem Aplicap™ Self-Adhesive Resin ...
DAMMAM, Saudi Arabia: Aesthetic longevity remains a central concern in anterior composite restorations, where colour change is a frequent reason for ...
Live webinar
Thu. 14 May 2026
8:00 pm UAE (Dubai)
Live webinar
Thu. 14 May 2026
10:00 pm UAE (Dubai)
Prof. Hani Ounsi DDS PhD FICD
Live webinar
Tue. 19 May 2026
7:00 pm UAE (Dubai)
Live webinar
Tue. 19 May 2026
9:00 pm UAE (Dubai)
Prof. Dr. med. dent. Ivo Krejci
Live webinar
Wed. 20 May 2026
3:00 pm UAE (Dubai)
Dr. Graham Carmichael BDSc (Hons), DClinDent (Pros), FRACDS, Dr. Robert Gottlander DDS
Live webinar
Wed. 20 May 2026
5:00 pm UAE (Dubai)
Live webinar
Wed. 20 May 2026
9:00 pm UAE (Dubai)
Prof. Dr. med. dent. Tim Joda PhD, MSc, eMBA