Implant placement in the anterior aesthetic zone has been a topic of great interest in the field of implant dentistry for a number of years. Numerous treatment planning and implementation options have been pursued, triggered by the development of new techniques, the desire for aesthetic outcomes and significant progress in the understanding of tissue biology, including the influence of extraction on alterations in both soft and hard tissue. In the following article, the selection criteria for all treatment options in order to minimise bone loss and enhance aesthetic outcomes are presented, documented and illustrated with clinical case reports.
Introduction
Successful management of the extraction site can be challenging; clinicians are often confronted with changes in bone anatomy after tooth extraction. With the aim of limiting the changes to the buccal bone contour and thereby enhancing the aesthetics and function in post-extraction sites, a number of techniques have been presented. The available minimally invasive techniques are extraction followed by socket preservation; extraction with immediate implant placement/the dual zone technique/surgical veneer grafting;1,2 and partial extraction therapy/the socket shield technique/the root membrane technique.
With current challenges in providing aesthetic and predictable outcomes with preservation of hard and soft tissue in extraction sites, an adapted treatment plan should be adopted. The goal of the following paper is to present the available minimally invasive techniques in implant dentistry with optimum aesthetic results with reference to clinically relevant cases and to the literature.
Extraction followed by socket preservation
In light of current knowledge of the significant bone resorption that occurs after extraction, preserving the original bone dimension contours by limiting post-extraction resorption is important.3 Resorption of up to 2 mm in the vertical and 4 mm in the horizontal direction will develop within the first year of extraction.4 Placement of a bone substitute material inside the extraction socket will limit the changes in bone morphology and will enhance bone remodelling.5
Clinical Case 1
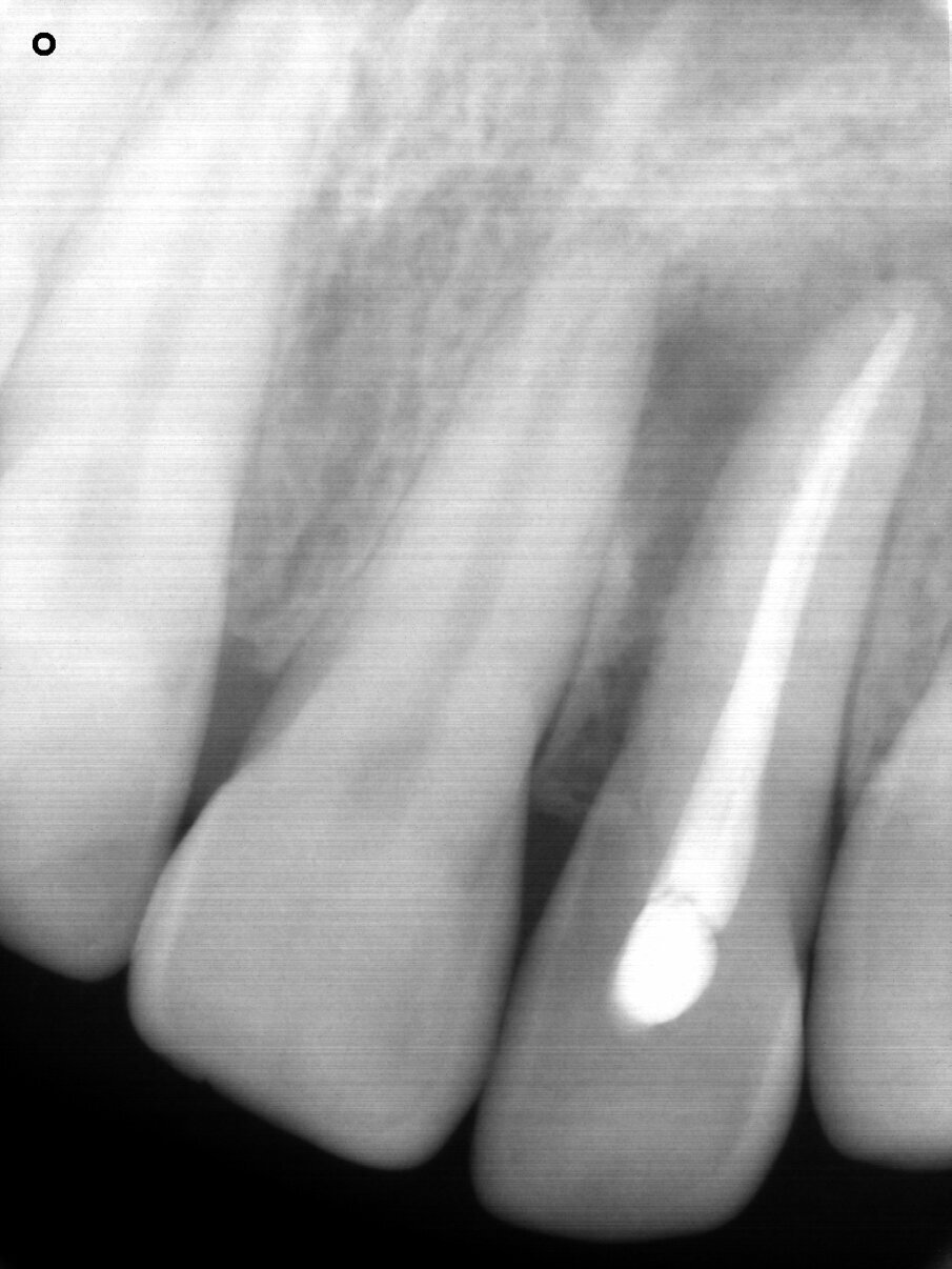
A 48-year-old male patient presented with a horizontal fracture of tooth #22 (Fig. 1). He complained of swelling of the tooth’s periapical area, and the periapical radiograph revealed a horizontal fracture with an unfavourable root–crown ratio (Fig. 2).
The tooth was removed atraumatically (Fig. 3) with sectioning of the root, and the socket was debrided. No flap was elevated, and the buccal bone plate was intact after tooth extraction. A xenograft material (Geistlich Bio-Oss, Geistlich Pharma) was placed inside the extraction socket and covered with a non-cross-linked collagen membrane (Fig. 4). A periapical radiograph was taken after socket preservation and showed that the bone substitute material was acting as a scaffold (Fig. 5). A provisional acrylic Maryland bridge was placed as a temporary aesthetic and functional solution (Fig. 6).
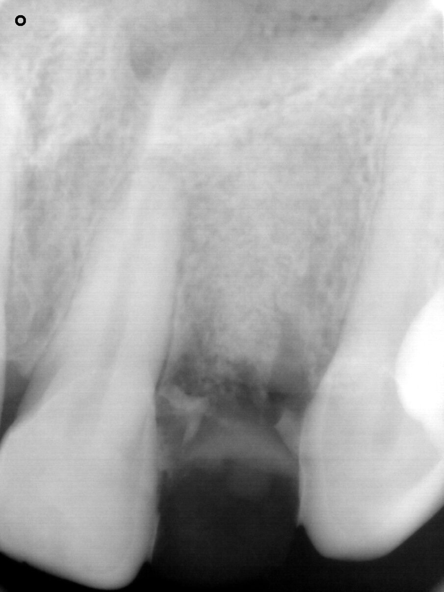
Six months after the primary socket preservation technique, an implant was placed (Figs. 7 & 8) and an immediate provisional restoration was placed. Four months later, the definitive screw-retained crown was placed (Figs. 9 & 10). The five-month postoperative periapical radiograph showed a good bone level around the implant (Fig. 11).
Fig. 1: Intra-oral pre-op situation of tooth #22, which had a horizontal fracture.
Fig. 2: Periapical radiograph showing the horizontal fracture of the endodontically treated tooth #22 and an unfavourable root–crown ratio.
Fig. 3: Clinical view after extraction of fractured tooth #22.
Fig. 4: Grafting material placed into the extraction socket and covered with a non-cross-linked collagen membrane.
Fig. 5: Periapical radiograph after socket preservation. Note the bone material acting as a scaffold to support the peri-implant soft tissue.
Fig. 6: Acrylic provisional restoration in place on the day of surgery.
Fig. 7: Radiograph after placement of the implant, showing the stable socket bone site.
Fig. 8: Clinical situation after four months of healing after removal of the provisional restoration.
Fig. 9: Clinical view after removal of the provisional restoration and placement of a customised impression coping replicating the emergence profile of the temporary crown.
Fig. 10: Clinical situation one month after placement of the definitive restoration. Note the preservation of the tissue volume and the gingival margin.
Fig. 11: Periapical radiograph taken five months after placement of the definitive restoration. Note the amount of peri-implant marginal bone that was preserved.
Extraction with immediate implant placement/dual zone technique/surgical veneer grafting
The challenge nowadays for clinicians placing implants in the anterior region is no longer ensuring osseointegration, but instead it is adopting protocols to achieve a minimally invasive procedure and more predictable aesthetic result.6 When a tooth is extracted, dimensional changes to the alveolar ridge will occur. The protocol of extraction with immediate implant placement in the anterior region should consider both the soft tissue and bony zone as a dual zone. The next essential step after treatment planning should be atraumatic extraction in order to limit changes in soft- and hard-tissue dimensions,7 followed by immediate implant placement and gap filling using bone substitute material, which will be used as a scaffold to limit soft- and hard-tissue volume changes.
Clinical Case 2
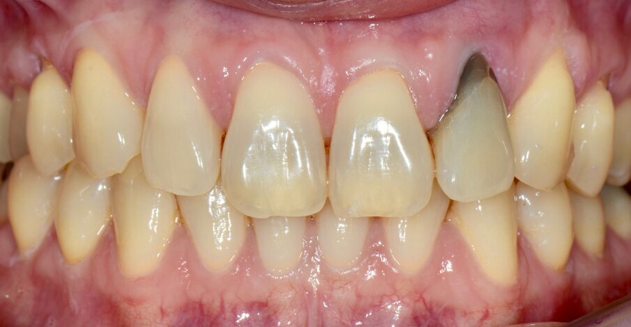
A 37-year-old female patient presented to our practice with advanced mobility of tooth #11. Intra-oral examination found advanced mobility and slight pain on vertical and horizontal percussion. The CBCT scan showed root resorption, making the tooth unrestorable, and an unfavourable root–crown ratio (Fig. 12a). Extraction with immediate implant placement was planned, and a provisional restoration was planned for tooth #11, as was a crown for tooth #12 and veneers for teeth #21 and 22.
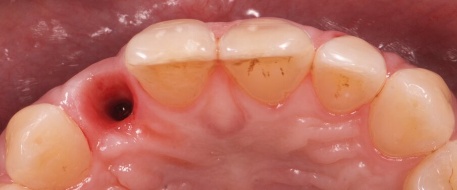
Atraumatic tooth extraction of tooth #11 was performed, debris was removed from the extraction socket and the implant was placed (Fig. 12e). The screw-retained provisional restoration was prepared in imitation of the shape and contour of the socket and a xenograft bone substitute material (Geistlich Bio-Oss) was placed to fill the gap in the dual zone (Fig. 13). A radiograph was taken, and it showed the ideal positioning of the implant (Fig. 12c). The provisional restoration was then placed (Fig. 12f).
Six months of healing was necessary (Fig. 14) before unscrewing the provisional restoration, taking impressions and placing the definitive screw-retained crown on to the implant. Predictable aesthetic and functional results can be obtained using the technique described (Fig. 15); therefore, a rough clinical case study should always be conducted prior to any case in order to ensure atraumatic extraction and placement of implants and bone substitute in the optimal position.
Figs. 12a–f: Pre-op CBCT scan showing the resorbed root of tooth #11 (a). Caption (b). Post-op CBCT scan showing the position of the implant in the extraction site (c). Caption (d). A surgical guide was manufactured to help place the implant in the optimum position with respect to the soft and hard tissue (e). Provisional screw-retained crown placed for six months to serve as a guide for soft- and hard-tissue healing (f).
Fig. 13: Per-op clinical view showing the implant placed in the ideal position and the xenograft filling the gap and serving as a scaffold.
Fig. 14: The six-month post-op examination revealed healthy tissue and an aesthetic outcome.
Figs. 15a & b: Pre-op (a) and post-op clinical views (b) showing an aesthetic result and healthy periodontal tissue.
Partial extraction therapy/socket shield technique/root membrane technique
As many studies showed changes in bone morphology and the surrounding soft tissue after tooth extraction, more techniques were developed that sought to limit the aesthetic and functional alterations. The socket shield technique is a treatment modality aimed at maintaining both aesthetic and functional outcomes, the main principle being root preparation in a way that two-thirds of the buccal root remains in place and serves as a shield for the periodontium and buccal bone. The root fragment remains undamaged and prevents remodelling of the buccal soft and hard tissue.8 The procedure is considered a minimally invasive surgical approach that aims to enhance soft and hard tissue around implants while shortening the treatment period. Like any other technique, the socket shield technique has its limitations and is indicated only in cases of immobile teeth.
Clinical Case 3
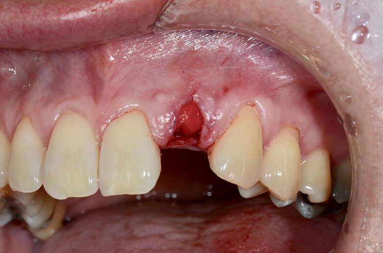
A 39-year-old male patient presented to our clinic with a fractured tooth #21 (Figs. 16 & 17). The CBCT scan showed an unfavourable root–crown ratio for tooth #21 (Fig. 18), which was an indication for extraction.
The socket shield technique was planned for this case. Vertical root sectioning was done, removing the palatal part of the root and leaving the facial section intact. Another CBCT scan was taken, and it showed the guide pin in place (Fig. 19). The implant was placed without flap elevation (Fig. 20), and bone substitute was placed to fill the gap (Fig. 21). A screw-retained provisional restoration was placed immediately after implant placement to guide the periodontal tissue healing (Fig. 23). Four months after the procedure, the definitive screw-retained restoration was placed, and very satisfying aesthetic and functional results were evident (Fig. 24).
Fig. 16: Pre-op clinical view showing a greyish fractured tooth #21.
Fig. 17: Intra-oral view after removal of the horizontally fractured tooth #21.
Fig. 18: CBCT scan showing the horizontally fractured tooth #21.
Fig. 19: CBCT scan showing the facial root section and the guide pin in place.
Fig. 20: Vertical sectioning of the root and atraumatic extraction of the palatal half in the socket shield technique and placement of the implant into site #21.
Fig. 21: Clinical view showing the intact root serving as a buccal shield, the implant in place and the gap to be filled with bone substitute material.
Fig. 22: Intra-oral view three months after the procedure showing the emergence profile.
Fig. 23: Four months after healing, the gingiva was healthy and showed excellent buccal volume coincident with the adjacent central incisor.
Fig. 24: Definitive restoration and healthy periodontal tissue.
Discussion
After tooth extraction, dimensional changes to the buccal and lingual alveolar ridge will occur and these are more extensive buccally than lingually.9 Araújo and Lindhe in 2009 demonstrated that the placement of biomaterial in an extraction socket will enhance bone remodelling and compensate for the marginal ridge contraction.5
Immediate implant placement in a fresh extraction socket is considered one of the treatments of choice in aesthetically demanding areas, reducing patient appointments and treatment time, and enhancing patient comfort.10 Many factors influence the decision to perform immediate implant placement and temporisation, such as atraumatic extraction, implant design and implant stability; therefore, the clinical application should be well planned prior to implementation.11
The clinical techniques mentioned in this article helped achieve predictable aesthetic results by limiting the amount of buccal bone change in the extraction site and potentially conserving the soft tissue.6 While decreasing the duration of the surgical phase and the number of procedures, immediate implant placement has been found to have the same survival rate as delayed placement.12 This leaves it up to the clinician, after a thorough discussion with patient, to decide which placement and loading protocol to employ in order to optimise the aesthetic and functional results.
The amount of time for the socket preservation technique is more extensive for the patient, making the dual zone and socket shield techniques a priority for the clinician to achieve faster aesthetic results while retaining the biology of the extraction site. Long-term aesthetic results are predictable when the clinician understands the management of the clinical and biological factors. There are many workflows for achieving minimally invasive treatment in the anterior region, and this article, via the three clinical cases, has demonstrated the predictable aesthetic and functional outcomes that can be achieved according to the technique the clinician decides on based on his or her expertise.
Conclusion
Improvements in implant design, implant stability measures, and the understanding of bone biology and the changes that occur after extraction have helped clinicians advance treatment appropriate to the patient, including socket preservation, immediate implant placement and the dual zone technique.
The three techniques demonstrated in this article showed successful results with respect to aesthetic and functional outcomes, and the treatment duration and number of surgical interventions were limited in both the dual zone and socket shield techniques.
References
- Chu SJ, Salama MA, Salama H, Garber DA, Saito H, Sarnachiaro GO, Tarnow DP. The dual-zone therapeutic concept of managing immediate implant placement and provisional restoration in anterior extraction sockets. Compend Contin Educ Dent. 2012 Jul–Aug;33(7):524–32, 534.
- Agnini A, Salama MA, Salama H, Garber DA, Agnini AM. Surgical veneer grafting: compensation for natural labial plate remodeling after immediate implant placement. J Cosmetic Dent. 2017;32(4):71–85.
- Araújo M, Linder E, Wennström J, Lindhe J. The influence of Bio-Oss collagen on healing of an extraction socket: an experimental study in the dog. Int J Periodontics Restorative Dent. 2008 Apr;28(2):123–35.
- Tan-Chu JH, Tuminelli FJ, Kurtz KS, Tarnow DP. Analysis of buccolingual dimensional changes of the extraction socket using the “ice cream cone” flapless grafting technique. Int J Periodontics Restorative Dent. 2014 May–Jun;34(3):399–403. doi: 10.11607/prd.1605.
- Araújo MG, Lindhe J. Ridge alterations following tooth extraction with and without flap elevation: an experimental study in the dog. Clin Oral Implants Res. 2009 Jun;20(6):545–9. doi: 10.1111/j.1600-0501.2008.01703.x
- Tarnow DP, Chu SJ. Human histologic verification of osseointegration of an immediate implant placed into a fresh extraction socket with excessive gap distance without primary flap closure, graft, or membrane: a case report. Int J Periodontics Restorative Dent. 2011 Sep–Oct;31(5):515–21.
- Sanz M, Cecchinato D, Ferrus J, Pjetursson EB, Lang NP, Lindhe J. A prospective, randomized-controlled clinical trial to evaluate bone preservation using implants with different geometry placed into extraction sockets in the maxilla. Clin Oral Implants Res. 2010 Jan;21(1):13–21. doi: 10.1111/j.1600-0501.2009.01824.x.
- Gluckman H, Du Toit J. The management of recession midfacial to immediately placed implants in the aesthetic zone. Int Dent Afr Ed. 2015;5(1):6–15.
- Araújo MG, Lindhe J. Dimensional ridge alterations following tooth extraction. An experimental study in the dog. J Clin Periodontol. 2005 Feb;32(2):212–8. doi: 10.1111/j.1600-051X.2005.00642.x.
- Kan JY, Rungcharassaeng K, Lozada J. Immediate placement and provisionalization of maxillary anterior single implants: 1-year prospective study. Int J Oral Maxillofac Implants. 2003 Jan–Feb;18(1):31–9.
- Touati B, Guez G. Immediate implantation with provisionalization: from literature to clinical implications. Pract Proced Aesthet Dent. 2002 Nov–Dec;14(9):699–707; quiz 708.
- Araújo MG, Linder E, Lindhe J. Bio-Oss collagen in the buccal gap at immediate implants: a 6-month study in the dog. Clin Oral Implants Res. 2011 Jan;22(1):1–8. doi: 10.1111/j.1600-0501.2010.01920.x.
Aesthetic corrections with veneers should be minimally invasive and limited to the enamel and, despite the thin layer thickness in the mouth, develop a ...
With more and more Implants placed, the challenges of the dental professionals increase to remove calculus and biofilm safely and efficiently. E.M.S., the ...
A 50-year-old male patient presented for professional tooth cleaning. He had deep erosive lesions affecting the vestibular aspects of his maxillary central ...
CAPP Tipton Dental Academy and The British Academy of Restorative Dentistry (BARD) welcomed two groups of dentists from 18 different countries to Module 3 ...
The COMBI touch combines ultrasound and air-polishing in one unit to provide a complete prophylaxis treatment from removal of supra-gingival and subgingival...
TOKYO, Japan: Leading dental manufacturer GC Corp. has invited global dental professionals to save the date for its sixth International Dental Symposium, ...
Interview with Dr. Meshari Al-Otaibi, President, Makkah International Dental Conference, Past General Director of Security Forces Hospital, Makkah, Saudi ...
Based on our long-term bonding expertise, we developed GLUMA Bond Universal – a universal bonding answering to all your bonding needs. It is a reliable ...
Implant dentistry has evolved dramatically in the 50 years since Branemark’s first patient was treated. The combination of improved micro-roughened ...
Dentsply Sirona Implants presents the next step in the continuous evolution of the Astra Tech Implant System. The Astra Tech Implant System EV is designed ...
Live webinar
Thu. 14 May 2026
8:00 pm UAE (Dubai)
Live webinar
Thu. 14 May 2026
10:00 pm UAE (Dubai)
Prof. Hani Ounsi DDS PhD FICD
Live webinar
Tue. 19 May 2026
7:00 pm UAE (Dubai)
Live webinar
Tue. 19 May 2026
9:00 pm UAE (Dubai)
Prof. Dr. med. dent. Ivo Krejci
Live webinar
Wed. 20 May 2026
3:00 pm UAE (Dubai)
Dr. Graham Carmichael BDSc (Hons), DClinDent (Pros), FRACDS, Dr. Robert Gottlander DDS
Live webinar
Wed. 20 May 2026
5:00 pm UAE (Dubai)
Live webinar
Wed. 20 May 2026
9:00 pm UAE (Dubai)
Prof. Dr. med. dent. Tim Joda PhD, MSc, eMBA
To post a reply please login or register