Dental Veneering is the process of covering the facial surfaces of teeth by using various types of dental materials. Most commonly used are porcelain veneers which are thin shells of porcelain that are shaped like the outer layer of the teeth and are used to cover the teeth, aiming to enhance their appearance.
Many celebrities opt for this esthetic treatment to achieve what may seem like a picture-perfect smile. This may lead people to a false expectation that everyone is a good candidate for veneers. However, from a dental clinician’s perspective preparing and planning for veneers is very challenging, and if proper analysis of the patient and proper techniques in preparing the teeth are not used, multiple complications can occur. These include gingival inflammation, chipping and breaking or even complete de-bonding of the veneers.
To decide whether a patient is a good candidate for veneers many factors should first be assessed; the condition of the patient’s teeth, habits, periodontal condition and most importantly the patient’s expectations and willingness to maintain their veneers after they are placed.
We should start by analysis of the teeth. This involves assessing their shape and proportion; diastemas, and analysis of the occlusion. Regarding shape and dimension, there should be sufficient tooth structure to retain the veneer, otherwise the longevity can be severely affected. In teeth with small surface areas such as lower incisors, or teeth with multiple cavities and fillings which decrease the available surface for bonding, there is an increased chance of the early displacement of the veneer. In such cases full crowns may offer a better long term option (H.Serdar Cotert et al, 2009).
In terms of diastemas, if these are too large veneers can only partly reduce the space, otherwise gingival inflammation and/or recession can occur due to the bulkiness of the veneer (Weisgold and Cohen, 1981) Additionally, a tooth which is unnaturally wide for its height looks unattractive. Orthodontics may be more appropriate to close gaps than veneers. When assessing a diastema the clinician must establish if it is stable or increasing since the latter may indicate periodontal bone loss or a harmful habit.
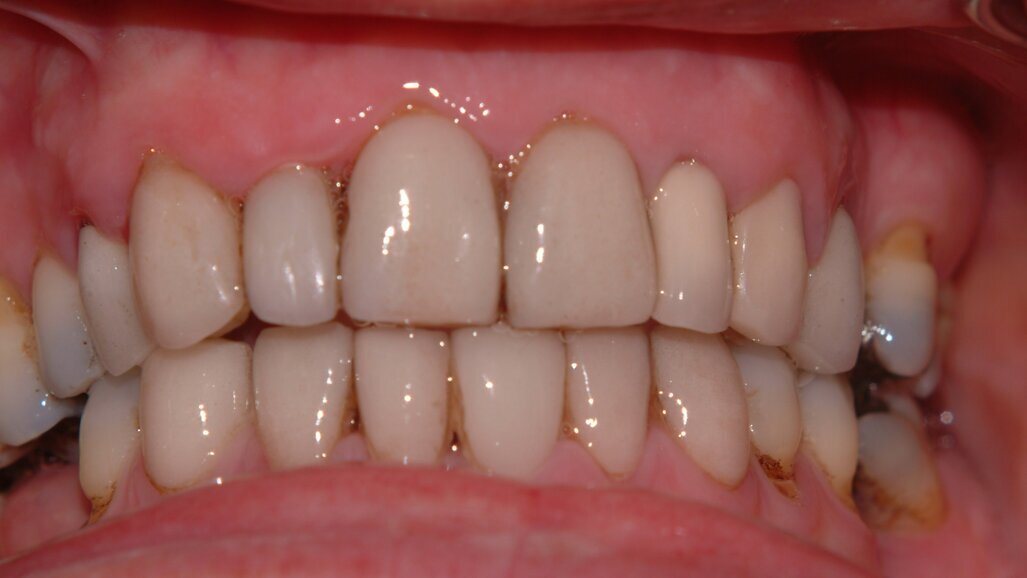
Finally in tooth analysis the occlusion must be considered. For veneers to have a longer survival rate they should not have excessive biting forces on their edges as is common in patients with an edge-to-edge occlusion which can lead to chipping and breaking of the veneers. Care must also be taken in patients with missing posterior teeth, as this increases the loading on the anterior teeth. Patients’ habits must also be considered. Night-time grinding or heavily clenching, often related to stress, or even biting or chewing on fingernails or objects like pens, create high horizontal forces impacting on survival of the veneers at a rate 8 times higher than patients who don’t have such habits. Such forces can readily lead to fracture, chipping or total de-bonding of the veneer. We should also consider the patient’s high consumption of dark or acidic foods as well as smoking habits which can lead to dark stains around the margins of the veneers (Fig 1). Since patients with dark stained teeth will often consider veneers as a solution, habits should be identified changed after veneer placement to maintain the esthetics of their veneers (Beier et al, 2012). Marginal stains can be minimised by brushing or rinsing after smoking and consumption of dark colored foods.
The patient’s oral hygiene must also be assessed, which leads us to the last key point of gingival health. Veneers should not be prepared on bleeding inflamed gingiva, which indicates poor oral hygiene. If this is done, complications which arise include placing the veneer margin too deep due to gingival enlargement, and bleeding during preparation and bonding leading to poor marginal seal and marginal staining after veneer placement. Eventually gingival recession or worsening inflammation will result. Good oral hygiene and gingival health should be achieved before veneers are started. All of these factors need to be considered during the initial assessment to avoid complications.
Additional complications can arise during the preparation of teeth. There are two common approaches to placing porcelain veneers, one is done without altering the natural teeth - bonding the porcelain veneers to unprepared teeth. This might seem a conservative choice avoiding alteration to tooth surfaces, but it inevitably creates a bulky over-contoured appearance and increases the risk of the veneer de-bonding and gingival complications. Alternatively teeth are prepared for veneers by changing external contour, removing less than a millimetre of the facial surfaces and around 2 mms of the incisal edges, thus porcelain replaces the tooth structure removed, ensuring the porcelain is seated properly onto the tooth with enough bulk of porcelain at the edge to minimise chances of chipping and breaking . Studies have shown that the overall success and survival of the first method is much lower than the second method. The commonest complications with veneers are breaking and chipping (H.Serdar Cotert et al, 2009)(Layton and DPhill, 2013)(Akoglu et al, 2011).
A study analyzing the overall survival rate of porcelain veneers over a 20 year period concluded that the estimated survival rate over a 5 year period is at 95%, at 8 years is 94%; at 10 years is 86% and at 20 years is 83% (Beier et al, 2012). It should be noted that these were veneers placed after adequate tooth preparation.
The clinician must consider all these factors before choosing to place veneers if complications are to be minimised and patient satisfaction achieved.
Editorial Note: References are available from the authors.
DAMMAM, Saudi Arabia: Aesthetic longevity remains a central concern in anterior composite restorations, where colour change is a frequent reason for ...
Technological advancements have increased clinicians’ access to dental implant treatment; however, even the most cutting-edge tools, such as ...
DOHA, Qatar: Since periodontitis and COVID-19 are both associated with systemic inflammation, researchers from Qatar University and Hamad Medical ...
Dr Yasser Khabbaz is a consultant periodontist and implantologist at Ambulatory Healthcare Services in Abu Dhabi and runs a practice limited to periodontics...
MOSCOW, Russia: Researchers from Austria, Germany and Russia have collaborated in successfully using lithography-based ceramic manufacturing (LCM), a form ...
"I can`t afford e.max veneers, do you have something more affordable?" is a question often encountered in clinical practice today!
Aesthetic corrections with veneers should be minimally invasive and limited to the enamel and, despite the thin layer thickness in the mouth, develop a ...
In the heart of the Intercontinental Hotel Festival City in Dubai, Dr. Eduardo Mahn from Chile will present the latest techniques for preparation and ...
Prepare to seize a rare opportunity as Dr Galip Gürel, the esteemed author of “The Science and Art of Porcelain Laminate Veneers,” arrives in Dubai to ...
Live webinar
Thu. 14 May 2026
8:00 pm UAE (Dubai)
Live webinar
Thu. 14 May 2026
10:00 pm UAE (Dubai)
Prof. Hani Ounsi DDS PhD FICD
Live webinar
Tue. 19 May 2026
7:00 pm UAE (Dubai)
Live webinar
Tue. 19 May 2026
9:00 pm UAE (Dubai)
Prof. Dr. med. dent. Ivo Krejci
Live webinar
Wed. 20 May 2026
3:00 pm UAE (Dubai)
Dr. Graham Carmichael BDSc (Hons), DClinDent (Pros), FRACDS, Dr. Robert Gottlander DDS
Live webinar
Wed. 20 May 2026
5:00 pm UAE (Dubai)
Live webinar
Wed. 20 May 2026
9:00 pm UAE (Dubai)
Prof. Dr. med. dent. Tim Joda PhD, MSc, eMBA
To post a reply please login or register