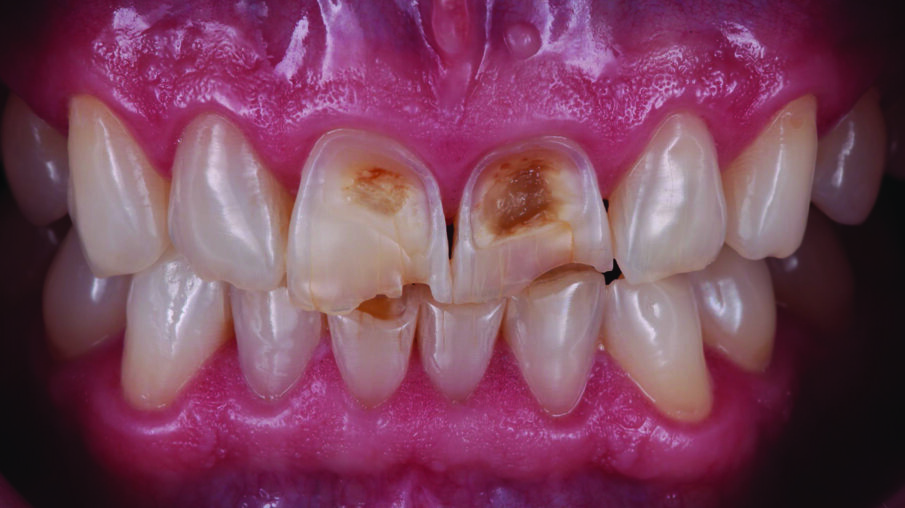
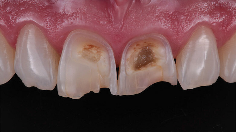
A 50-year-old male patient presented for professional tooth cleaning. He had deep erosive lesions affecting the vestibular aspects of his maxillary central incisors, which he did not consider an issue. Nevertheless, the team informed him about the options to improve the aesthetics and protect the remaining tooth structure.
The patient agreed to carry out a home-bleaching treatment followed by a direct restorative treatment with composite.
Challenge
The biggest challenge was to mask the heavy discoloration while restoring the teeth to a natural shape and shade. 3M™ Filtek™ Universal Restorative was selected to accomplish this task. The Pink Opaquer was applied in a thin layer to cover and optically mask the discolorations.
Outcome
The patient was happy with the treatment outcome. Three things were achieved with minimal effort. The discolorations were masked, the teeth were restored to their natural shape and the shade blended naturally with the adjacent teeth.
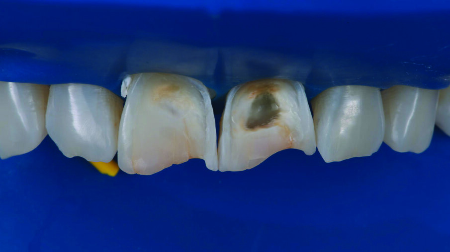
INITIAL SITUATION: Preoperative frontal view of the patient’s teeth, showing severe erosive tooth wear on the vestibular surfaces and incisal edges.
Detailed view of the maxillary incisors. The teeth didn’t show any highly translucent areas, so the use of a single shade/opacity of 3M™ Filtek™ Universal Restorative was selected.
Lateral view of the anterior teeth revealed the depth of the lesions on the vestibular surfaces.
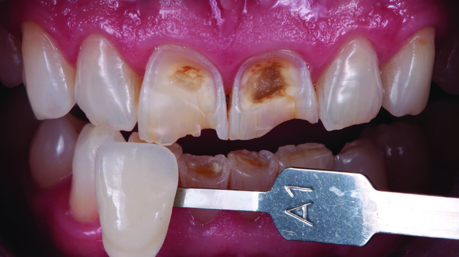
Tooth shade was determined with the aid of the VITA classical A1-D4® shade guide. The shade A1 matched the sound tooth structure. This corresponded with 3M™ Filtek™ Universal Restorative’s A1 shade.
INITIAL SITUATION: Preoperative frontal view of the patient’s teeth, showing severe erosive tooth wear on the vestibular surfaces and incisal edges.
Detailed view of the maxillary incisors. The teeth didn’t show any highly translucent areas, so the use of a single shade/opacity of 3M™ Filtek™ Universal Restorative was selected.
Lateral view of the anterior teeth revealed the depth of the lesions on the vestibular surfaces.
Tooth shade was determined with the aid of the VITA classical A1-D4® shade guide. The shade A1 matched the sound tooth structure. This corresponded with 3M™ Filtek™ Universal Restorative’s A1 shade.
3M™ Scotchbond™ Universal Adhesive was applied to the rinsed and dried tooth structure. The adhesive was rubbed for 20 seconds, treated with a gentle stream of air for solvent evaporation, and light cured for 10 seconds.
Two anterior matrices were placed to help create a natural anterior tooth shape and facilitate restoration of the interproximal and cervical margins.
A 1 mm layer of the Pink Opaquer (PO) was placed onto the discolored sclerotic dentin to mask dark areas and light cured for 20 seconds. The material offered a similar creamy handling as the body shades of 3M™ Filtek™ Universal Restorative.
Appearance of the teeth after the first application of 3M™ Filtek™ Universal Restorative A1 shade. No additional body shades were needed (to mask sclerotic dentin) when using the Pink Opaquer.
Placement of the second and final layer of 3M™ Filtek™ Universal Restorative A1 shade.
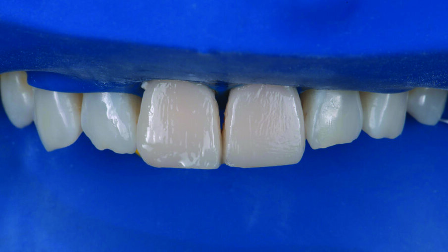
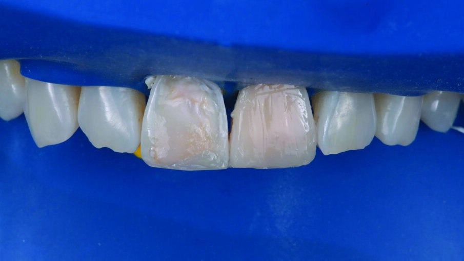
Restorations after polishing using the 3M™ Sof-Lex™ Diamond Polishing System.
Treatment outcome immediately after rubber dam removal. The discolorations were gone, the restorations and the adjacent teeth had a similar shade, and a natural shape was achieved.
A case study by Dr. Carlos Eduardo Sabrosa, DDS, MSD, DScD featuring 3M™ RelyX™ Veneer Cement and 3M™ RelyX™ Unicem Aplicap™ Self-Adhesive Resin ...
How much time and effort do you spend creating beautiful smiles? Whether you currently use a rubberized finishing and polishing system or an intraoral ...
3M Oral Care participated in the Saudi International Dental Conference from 9-11 Jan 2017 held at the Riyadh International Convention and Exhibition Center....
Interview with Dr. Joachim Zech, Head of Research & Development of Dental Impression Materials, 3M Oral Care, Seefeld, Germany
Dr. Marcin Krupinski, Dr. Ektor Grammatopoulos
Dr. Marcin Krupinski, Dr. Ektor Grammatopoulos
To post a reply please login or register