“We live very far away, in the Congo, but we come to Tunis twice a year, in December and August. We would like you to be our children’s orthodontist, and sincerely hope that you will accept them as your patients.”
After a review of the patient’s records and a brief period of reflection, I decided to begin treatment for T., aged 13. (The youngest sibling required no treatment at that time). The patient would be seen only twice a year, during his holidays in December and August.
What was the total length of treatment?
The treatment lasted 22 months and required 5 visits, including the bonding and debonding appointments.
In modern orthodontics, we are continuously striving to adapt to a changing world and to respond to emerging needs (comfort, esthetics, hygiene, etc.). Minimizing time commitments during the treatment process (shorter treatment duration, fewer visits) is an important part of this development. Aligner treatments have already started to embrace this trend, sometimes limiting patient visits to those required to begin and end treatment!
Is it possible to monitor long-distance patients undergoing multiband treatments?
The light, passive force of the Damon System brackets has helped to move the industry forward in this direction. In fact, with the Damon System, increasing the time between appointments is strongly recommended during the alignment/levelling phases. This enables the force system to act “gently” on the periodontal complex.
This raises two key questions:
Is it possible to take this concept even further?
Imagine being able to provide treatment to patients in just a few appointments, with the added benefit of:
• enabling patients (children and adults) to reduce the number of visits to the office to just 4 to 5 over the course of their treatment.
• reducing wait times as well as the number of calls and reminders managed by office staff.
How do we keep this approach from having a negative impact on the quality of treatment?
This article offers ideas and provides a starting point. It introduces the possibility of rethinking the appointment schedule for orthodontic treatments, which—in addition to saving time—opens up new opportunities:
• for patients, by more easily offering them a greater choice of practitioners. (Patients would no longer have to choose a less favorable practitioner based simply on the proximity of his or her office in order to make it to monthly appointments).
• for practitioners, by enabling them to more confidently take on a growing number of long-distance patients.
Codifying these new fixed appliance treatment modalities could establish an entirely new standard.
My thoughts
We now have the possibility of managing our offices based on this “spreadout” scheduling, with fewer visits to the chair. It can be implemented in the majority of cases, with a few minor exceptions such as those involving impacted teeth. Without this possibility, we would be forced to turn away patients, with whom a good relationship had already been established, and to make sometimes risky patient referrals.
Such a treatment is typically completed in 4 to 6 appointments spread over 6 to 12 months, without having a negative impact on the final outcome. In fact, these long breaks between visits can even be beneficial in terms of tissue integrity.
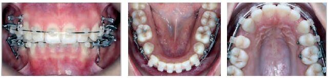
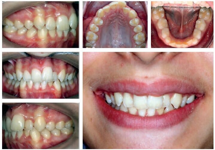
CASE NO 1
T.F. was 13 years old at the time of his first visit
Diagnosis
Class I, incisal-canine crowding in both arches
Class II long face syndrome, hyperdivergent
Retrusive chin
Presence of wisdom teeth buds
Treatment Plan
Non-extraction treatment
Alignment - levelling
Obtain a functional occlusion and accentuate the smile arc.
VISIT NO 1
Both appliances bonded on the same day.
SAP bracket placement
Torque Selection
Maxilla: Super low torque on the incisors – super torque on the canines.
Mandible: Low torque on the incisors – super torque on the canines.
014 CN archwires were placed along both arches, from the 1st molar to the 1st molar, without stops.
Bite turbos were bonded to 13 – 23 in order to unlock the occlusion, promote leveling, and protect the brackets on the lower arch.
VISIT NO 2: 4 MONTHS
The patient returned 4 months later. The arches showed excellent initial progress in terms of leveling.
New 014 archwires were placed to continue the leveling-alignment process.
Anterior stops were placed on both arches.
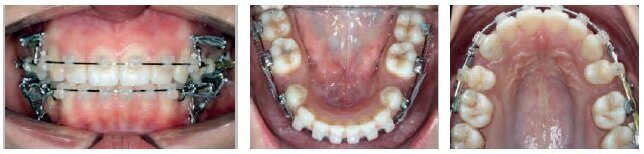
VISIT NO 3: 10 MONTHS
Ten months into the treatment, the 014 archwires were kept on, and both arches showed excellent progress in terms of leveling-alignment. Crowding was fully resolved.
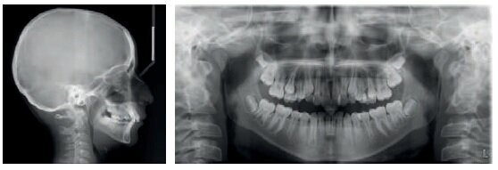
A panorex was done to confirm the proper placement of the initial brackets.
Only the maxillary central incisors (whose roots showed significant proclination) were rebonded with standard torque brackets.
Both arches were fitted with 16x25 CN archwires, and the bite turbos were gradually reduced.
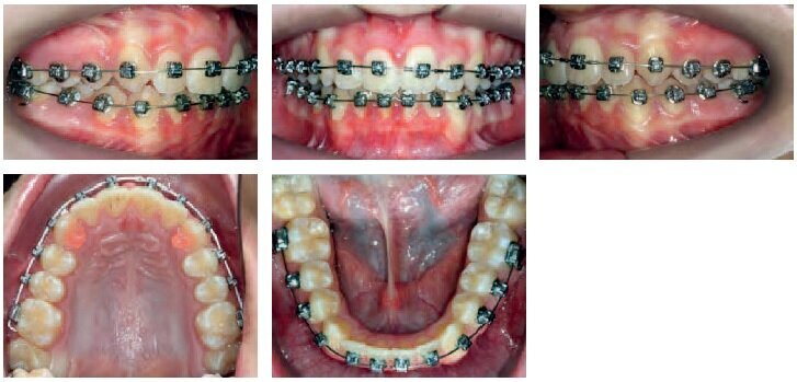
VISIT NO 4: 14 MONTHS
It was as if time was doing the work for us. After just 2 visits over 14 months, a remarkable correction was observed in all 3 orders.
Nonetheless, 13 was repositioned to provide a more gingival placement and to correct tipping (see the panorex taken 4 months earlier, which shows an excessive tip-back of this tooth).
For the maxillary arch, the 16x25 CN archwire was replaced with an 18x25 CN archwire, and the mandibular arch was fitted with a 17x25 TMA archwire. The patient was also required to wear vertical intercuspation elastics on the upper canines.
The bite turbos were removed completely during this appointment.
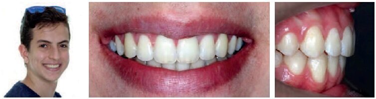
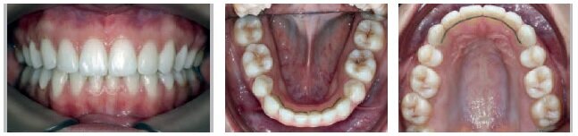
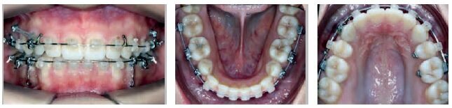
VISIT NO 5: 21 MONTHS
Seven months later, the family returned to the office over the summer break.
A long appointment was scheduled to—if all went well—remove the appliances and put a retainer in place. The day of the visit, the decision was made to proceed.
When I announced that the treatment would be completed that day, the patient and his parents had quite a memorable reaction: “Already? It went so fast! Thank you! He is going to have the best summer break!”
The results, although not perfect, were remarkable. The end-of-treatment records clearly show good tissue quality (periodontal and root integrity), undoubtedly thanks to the use of minimal force with long rest periods, a minimal number of archwires, and bonding which allowed for continuous improvement throughout the entire treatment, from beginning to end.
That same day, we began treatment for the youngest sibling, using the same protocol.
VISIT NO 6: POST-RETENTION PHOTOS +12 MONTHS
Today, 37% of my patients fitted with multibracket appliances are non-residents, meaning they live in another country, or even on another continent. These treatments would be impossible without this new flexible scheduling.
Even with these new treatment modalities, a certain level of precaution and organization is required in order to ensure continuous improvement (the promise touted by each new system on the market today):
• An appropriate prescription for the anterior torques.
• A SOLID bonding protocol (brackets and bite turbos) that eliminates the risk of bond failure almost entirely.
• Extremely precise brackets placement, reducing the need for repositioning.
• Biomechanical foreplanning: sufficient wire supply for leveling – proper placement of stops – lasting activation devices (coils, for example, rather than power chains) – anticipating biomechanical effects with the use of mini-screws, etc.
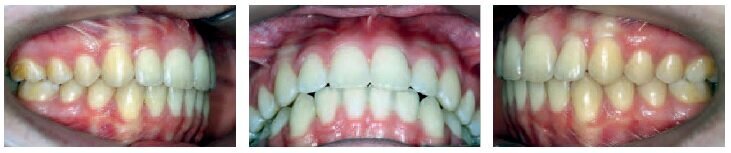
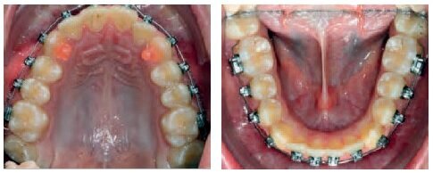
CASE NO 2
This patient, aged 15 years, was treated in 5 visits spread over 31 months.
These photos show the treatment stages and the intervals between appointments. A Damon System was used to treat this case of a Class III malocclusion, with incredible results observed in the teeth and facial features.
CASE NO 3
This “spread-out” scheduling approach can also be applied to treatments involving extractions. In this case, the patient moved to Canada in the middle of her treatment (at 11 months), still with several spaces left to be closed. Having already undergone an initial 3 year treatment (see photos), the patient wanted to remain with the same orthodontist and agreed to travel from Canada every 6 months to continue her treatment.
After moving away, she was seen just 3 more times, including the debonding appointment.
At 11 months of treatment, when the patient moved to Montreal
6 months later (at 17 months)
6 months later (at 23 months)
Photos taken at the end of treatment (total of 23 months – 2 appointments in 12 months)
Recently, several new ceramic materials were launched in the market due to the growing demand for safety and aesthetically pleasing prosthetic solutions. ...
CROATIA, Zagreb: NUVO ConicalFIT, a new dental implant system, was launched in Croatia with great success. The launch event featured experienced ...
DAMASCUS, Syria: As health workers, dentists are occasionally placed at risk of disease transmission, since they are exposed to bloodborne infections of ...
On the evening of 27 June 2024, Oral-B and the Center for Advanced Professional Practices (CAPP) came together to host an insightful event dedicated to the ...
In mid-April, for the 14th time, the focus will once again will be on the digital versatility of dentistry
DUBAI, UAE: Together with the Centre for Advanced Professional Practices, dental manufacturer Sirona will be holding the first CEREC Desert Fest in Dubai on...
DUBAI, United Arab Emirates: A new oral health care study, commissioned by international gum manufacturer Wrigley, has found that the majority of people in ...
Healthcare is not just about treatment; it is about people—and the words we use have the power to change lives. In fact, the language we use has ...
AJMAN, UAE: A study by researchers in Iraq and the UAE has found that dentists working in these countries feel ill-equipped to provide optimal oral care to ...
The 13th CAD/CAM & Digital Dentistry Conference & Exhibition to be held by CAPP (Centre for Advanced Professional Practices) in May 2018 in Dubai, CAD/CAM, ...
Live webinar
Thu. 14 May 2026
8:00 pm UAE (Dubai)
Live webinar
Thu. 14 May 2026
10:00 pm UAE (Dubai)
Prof. Hani Ounsi DDS PhD FICD
Live webinar
Tue. 19 May 2026
7:00 pm UAE (Dubai)
Live webinar
Tue. 19 May 2026
9:00 pm UAE (Dubai)
Prof. Dr. med. dent. Ivo Krejci
Live webinar
Wed. 20 May 2026
3:00 pm UAE (Dubai)
Dr. Graham Carmichael BDSc (Hons), DClinDent (Pros), FRACDS, Dr. Robert Gottlander DDS
Live webinar
Wed. 20 May 2026
5:00 pm UAE (Dubai)
Live webinar
Wed. 20 May 2026
9:00 pm UAE (Dubai)
Prof. Dr. med. dent. Tim Joda PhD, MSc, eMBA
To post a reply please login or register